27.52M
Похожие презентации:
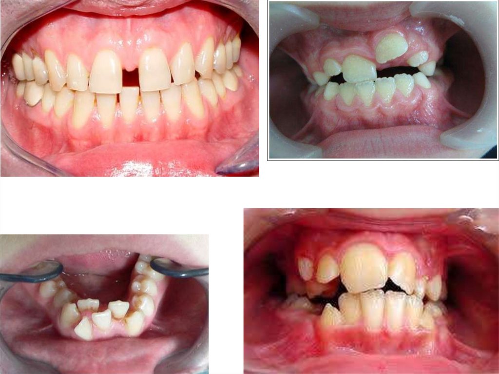
Аномалии развития зубочелюстной системы
Профилактика развития зубочелюстных аномалий
Зубочелюстные аномалии
Причины и механизм развития зубочелюстных аномалий
Классификации зубочелюстных аномалий
Этиопатогенез зубочелюстных аномалий
Молочные зубы. Зубочелюстная система в целом. Прикусы. Аномалии развития зубов
Классификации зубочелюстных аномалий
Этиология зубочелюстных аномалий
Профилактика зубочелюстных аномалий
Для стоматологов аномалии развития зубочелюстной системы
1.
English
Русский
Правила