21.51M
Категория:
Биология
Похожие презентации:
Соединительная ткань. Классификация соединительной ткани
Соединительные ткани. Функции соединительных тканей
Соединительная ткань
Соединительная ткань
Ткани. Соединительная ткань
Соединительные ткани
Соединительные ткани
Соединительная ткань
Соединительные ткани. Функции соединительных тканей
Соединительные ткани
Соединительная ткань
1.
ЗАНЯТИЕ № 1
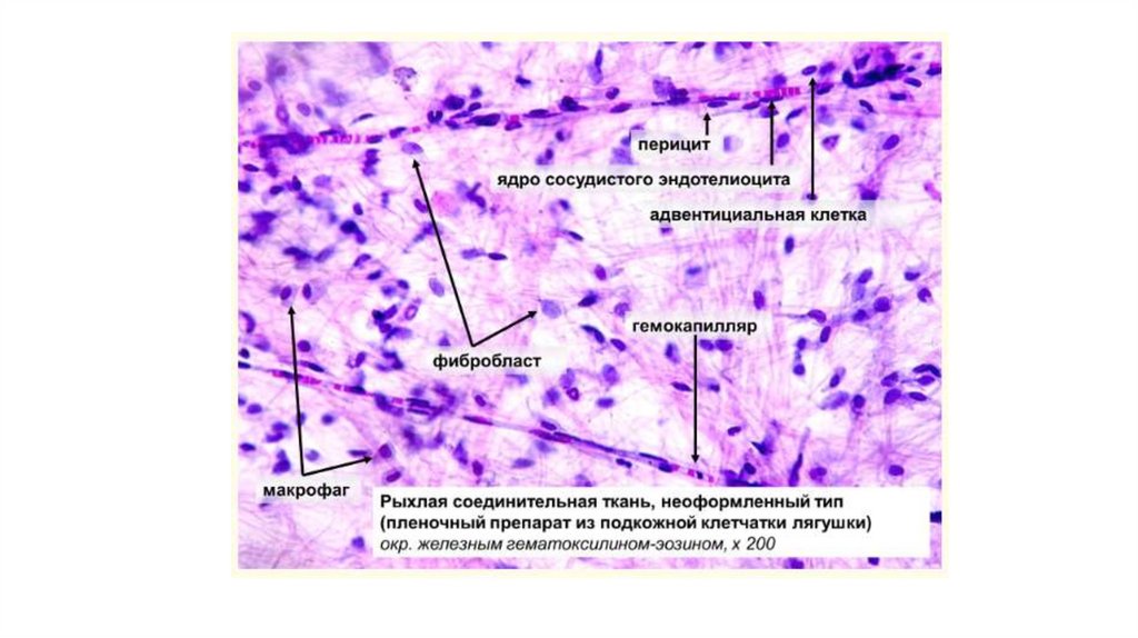
Тема: Соединительная ткань
2.
3.
4.
5.
6.
ЗАНЯТИЕ № 2
Тема: Понятие воспаления
7.
8.
9.
10.
11.
ЗАНЯТИЕ № 3
Тема: Хрящевые ткани
12.
13.
14.
ЗАНЯТИЕ № 4
Тема: Костные ткани
15.
16.
17.
18.
19.
20.
21.
22.
23.
ЗАНЯТИЕ № 5
Тема: Мышечные ткани
English
Русский
Правила