ПОРАЖЕНИЕ ОПОРНО-ДВИГАТЕЛЬНОГО АППАРАТА ПРИ ИНФЕКЦИОННЫХ ЗАБОЛЕВАНИЯХ
ТУБЕРКУЛЁЗ
БРУЦЕЛЛЁЗ
ГОНОРЕЯ
СИФИЛИС
6.12M

ПОРАЖЕНИЕ ОПРНО-ДВИГАТЕЛЬНОГО АППАРАТА ПРИ ИНФЕКЦИОННЫХ ЗАБОЛЕВАНИЯХ

1. ПОРАЖЕНИЕ ОПОРНО-ДВИГАТЕЛЬНОГО АППАРАТА ПРИ ИНФЕКЦИОННЫХ ЗАБОЛЕВАНИЯХ

Медицинский институт
Кафедра пропедевтической и факультетской терапии с
курсом эндокринологии и ЛФК
К.м.н., доцент Карелин А.П.

2. ТУБЕРКУЛЁЗ

3.

ТУБЕРКУЛЁЗНЫЙ СПОНДИЛИТ

4.

ТУБЕРКУЛЁЗНЫЙ СПОНДИЛИТ

5.

6.

7.

8.

9.

10.

11.

12.

13.

14.

15.

16.

17.

18.

19.

20.

21.

22.

23.

24.

25.

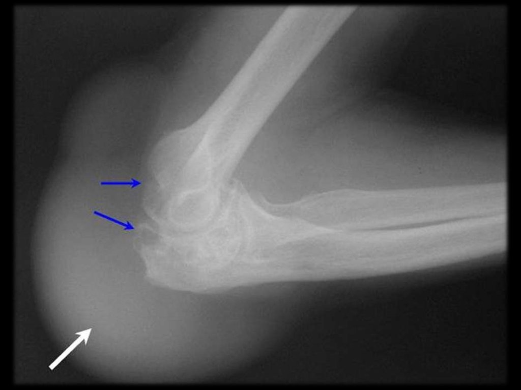
26.

27. БРУЦЕЛЛЁЗ

28.

29.

30.

На кожных покровах часто
отмечаются аллергические
проявления в виде
экзантем и дерматитов

31.

Сыпь типа крапивницы

32.

33.

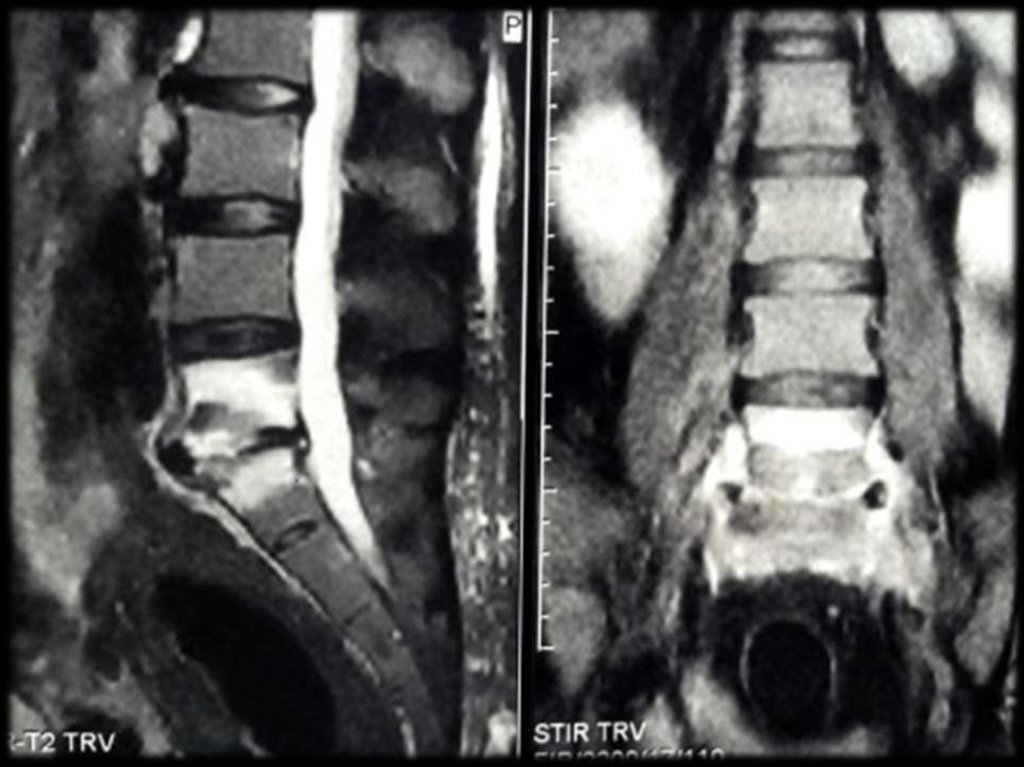
Слева — бруцеллезный спондилит поясничного
отдела позвоночника. Справа — двухсторонний
бруцеллезный сакроилеит.

34.

ТЕНДОВАГИНИТЫ

35.

Бруцеллёзый
менингоэнцефалит

36.

Поражение позвоночника при хроническом бруцеллёзе

37. ГОНОРЕЯ

38.

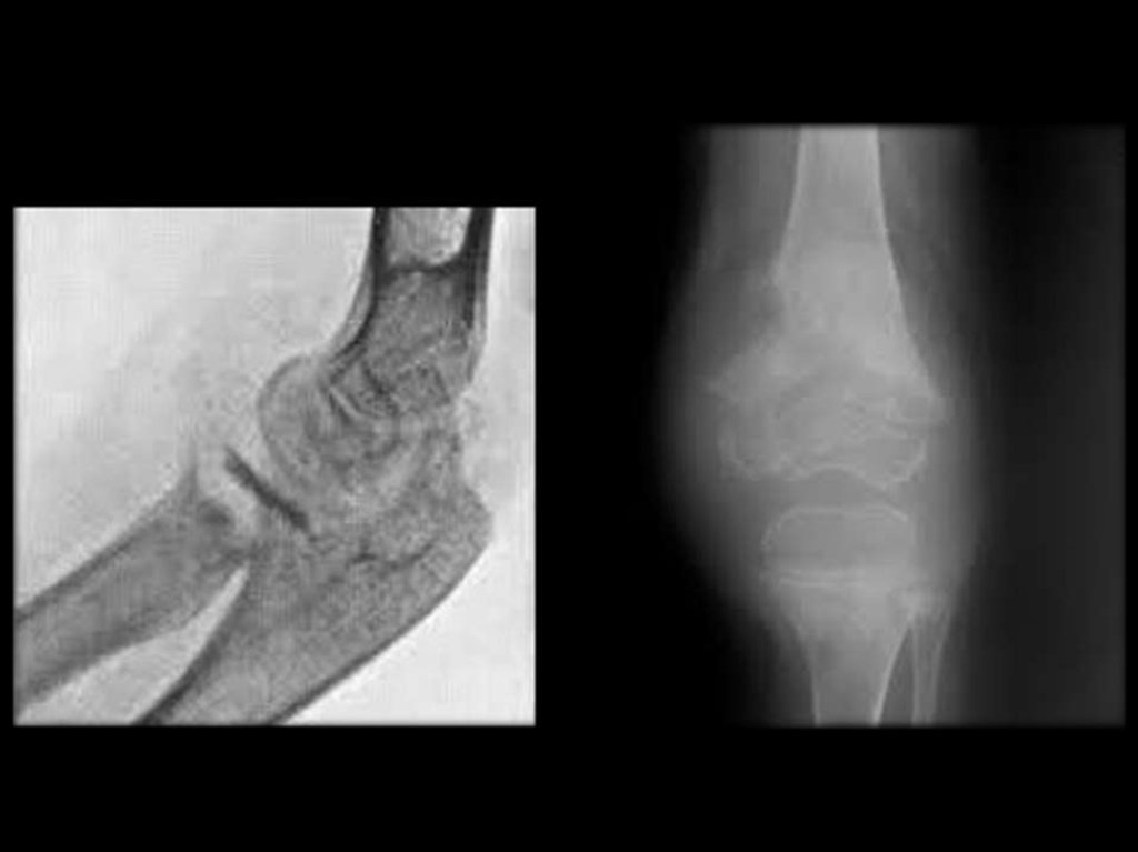
Острый гонорейный артрит левого коленного
сустава. Сгибательная контрактура.

39.

40.

41.

42.

43. СИФИЛИС

44.

Динамика рентгенологических изменений в
области суставов при хроническом сифилисе

45.

Сифилитический артрит левого коленного
сустава, контрактура

46.

47.

48.

Поздний
врождённый
сифилис
English     Русский Правила