Раздел 1. Учение о тканях Тема 1.1. Учение о тканях . Виды тканей . Эпителиальная ткань
План
1.Содержание предмета. История анатомии. История отечественной анатомии. Понятие об органах и системах органов. Положение
3 Цитология – учение о клетке. Клетка, как функционально-структурная единица организма. Морфофункциональная характеристика
4 Гистология – учение о тканях. Общий план строения ткани как системы. Классификация тканей.
ОБЩАЯ ГИСТОЛОГИЯ (УЧЕНИЕ О ТКАНЯХ)
Морфофункциональная классификация Келликера и Лейдига
5 Эпителиальные ткани. Классификация. Функции и отличительные особенности эпителиальных тканей. Расположение в организме.
Однослойный однорядный эпителий
Однослойный плоский
Однослойный кубический
Однослойный многорядный мерцательный эпителий
Многослойный плоский неороговевающий
Многослойный плоский ороговевающий
Многослойный переходный эпителий
Железистый эпителий
31.76M
Категория: БиологияБиология

Учение о тканях. Виды тканей. Эпителиальная ткань

1. Раздел 1. Учение о тканях Тема 1.1. Учение о тканях . Виды тканей . Эпителиальная ткань

АННПОО «Уральский медицинский колледж»
Раздел 1. Учение о тканях
Тема 1.1. Учение о тканях .
Виды тканей . Эпителиальная
ткань
Преподаватель : Азнабаева Мария
Александровна

2. План

1.
2.
3.
4.
5.
Содержание предмета. История анатомии. История
отечественной анатомии. Понятие об органах и системах
органов. Положение человека в природе. Анатомическая
терминология
Определение органа. Системы органов
Цитология – учение о клетке. Клетка, как функциональноструктурная единица организма. Морфофункциональная
характеристика клетки в целом и всех её структурных
компонентов
Гистология – учение о тканях. Общий план строения ткани как
системы. Классификация тканей
Эпителиальные ткани. Классификация. Функции и
отличительные особенности эпителиальных тканей.
Расположение в организме. Особенности строения различных
видов покровного эпителия. Железистый эпителий

3. 1.Содержание предмета. История анатомии. История отечественной анатомии. Понятие об органах и системах органов. Положение

человека в природе. Анатомическая
терминология
Анатомия (от греч. anatome – рассечение,
расчленение) – это наука, изучающая форму, строение
и расположение органов в организме в связи с
выполняемыми функциями и влиянием окружающей
среды
В истории анатомии можно выделить два основных
этапа:
• анатомия Древнего мира (Древний Египет,
Месопотамия, Индия, Греция, эллинистический
период, Древний Рим, средние века
• анатомия эпохи Возрождения, предшествующая
современному этапу развития анатомии

4.

По инициативе Петра I в 1707 году организована первая госпитальная
школа при Московском сухопутном госпитале, где изучали анатомию
Вклад М.И. Шеина — создание первого в России анатомического атласа
«Словник, или иллюстрированный указатель всех частей человеческого
тела» (1744). Шеин заложил основы русской анатомической терминологии

5.

Создание первой
анатомической школы при
Санкт-Петербургской медикохирургической академии
академиком П.А. Загорским
(1764–1846). Загорский утверждал
русскую анатомическую
терминологию вместо латинской,
создал первый в России
оригинальный отечественный
анатомический справочник.
Н.И. Пирогов — создание
топографической анатомии,
введение метода распилов
замороженных трупов («ледяная
анатомия»). В 1852–1859 годах
вышел классический атлас
Пирогова «Топографическая
анатомия, иллюстрированная
разрезами, проведёнными через
замороженное тело человека в
трёх направлениях».

6.

Орган – это часть организма, имеющая определенную форму,
строение, положение и выполняющая характерную функцию
К органам относятся:
• Мышцы
• Кости
• Кожа
• Внутренние органы, находящиеся в грудной и брюшной полостях
В образовании органа участвуют несколько тканей, но одна из них
является главной – рабочей
Рабочую ткань называют паренхимой
Ткань, образующую мягкий скелет или остов органов – строма
Кроме паренхимы и стромы в состав органов входят
• кровеносные сосуды
• лимфатические сосуды
• нервы
Все органы можно разделить на:
1. паренхимотозные (печень, селезенка, почки,поджелудочная
железа )
2. полые или трубчатые органы (кровеносные сосуды, трахея,
бронхи, органы пищеварения, мочевой пузырь

7.

8.

Система органов — это совокупность
органов, которые выполняют общую
функцию и взаимосвязаны между собой

9.

Анатомическая терминология — это система
терминов, которые описывают положение тела в
пространстве, расположение его частей
относительно друг друга, а также обозначают
органы
При описании частей тела и положения отдельных
органов используют три взаимно перпендикулярные
оси и плоскости
Различают три оси тела:
− сагиттальная ось
− вертикальная ось
− фронтальную ось

10.

11.

Сагиттальная плоскость проходит в
переднезаднем направлении и делит тело
человека на правую (dexter), и левую (sinister),
части
Фронтальная плоскость, располагается
параллельно плоскости лба и делит тело
человека на переднюю (anterior) и заднюю
(posterior) части
Горизонтальная плоскость, идет
перпендикулярно к фронтальной и сагиттальной
плоскостям и отделяет нижние (inferior), отделы
тела от верхних (superior)

12.

При описании положения органа или его частей используются
анатомические термины:
− медиальный (medialis), структура расположенная ближе к средней
линии;
− латеральный (lateralis), структура расположенная дальше от средней
линии;
− внутренний (internus), структура расположенная центрально;
− наружный (externus), структура расположенная на периферии
− глубокий (profundus) или поверхностный (superficialis), для описание
структур, расположенных на разной глубине;
− краниальное (cranialis) – структура направленная в сторону головы; −
каудальное (caudalis) – структура направленная в сторону копчика.
− вентральный (ventralis) – структура расположенная спереди, в
направление живота;
− дорсальный (dorsalis) – тыльный, структура расположенная спереди, в
направление спины
При описании конечностей используют термины проксимальный
(proximalis), часть конечности расположенная ближе к туловищу и
-дистальный (distalis) часть конечности, расположенная дальше от
туловища

13.

− medianus - серединный
− sagitalis - сагиттальный
− frontalis - фронтальный
− transversalis - поперечный
− medialis - медиальный, расположенный ближе к
серединной плоскости
− lateralis - латеральный, боковой, расположенный дальше
от серединной плоскости
− intermedius – промежуточный
− medius - средний
− anterior – передний
− posterior - задний
− ventralis - вентральный, передний, брюшной
− dorsalis - дорсальный тыльный, спинной
− internus – внутренний

14.

− externus - наружный
− dexter – правый
− sinister – левый
− longitudinalis – продольный
− cranialis - черепной, расположенный ближе к
головному концу −
caudalis - хвостовой, расположенный ближе к
хвостовому концу
− superior – верхний
− inferior - нижний
− superficialis - поверхностный
− profundus – глубокий
− proxsimalis - расположенный ближе к сердцу
− distalis - дистальный, расположенный дальше от
сердца

15. 3 Цитология – учение о клетке. Клетка, как функционально-структурная единица организма. Морфофункциональная характеристика

клетки в
целом и всех её структурных компонентов.
Цитология — наука об общих
закономерностях развития, строения и
функций клеток
Клетка (лат. — cellula) — это
микроскопической величины живая система,
ограниченная биологической мембраной,
состоящая из ядра и цитоплазмы,
обладающая свойствами раздражимости и
реактивности, регуляции состава
внутренней среды и самовоспроизводства

16.

17. 4 Гистология – учение о тканях. Общий план строения ткани как системы. Классификация тканей.

Гистология — это наука о строении,
развитии и жизнедеятельности тканей
животных организмов
В гистологию входят :
- общая гистология(учение о тканях)
- частная гистология (учение о
микроскопическом строении органов)
Гистология включает в себя и раздел о
внутриутробном развитии организма —
эмбриологию

18. ОБЩАЯ ГИСТОЛОГИЯ (УЧЕНИЕ О ТКАНЯХ)

Ткань-это система клеточных и неклеточных элементов,
связанных общностью строения, происхождения,
функции и детерминированных фило- и онтогенезом
Ведущими элементами тканевой системы являются
клетки. Кроме клеток, различают клеточные
производные и межклеточное вещество.
• К производным клеток относят симпласты (например,
мышечные волокна, наружная часть трофобласта),
синцитий (развивающиеся мужские половые клетки,
пульпа эмалевого органа), а также постклеточные
структуры (эритроциты, тромбоциты, роговые чешуйки
эпидермиса и т. д.).
• Межклеточное вещество подразделяют на основное
вещество и на волокна. Оно может быть представлено
золем, гелем или быть минерализованным.
• Среди волокон различают обычно три вида:
коллагеновые, ретикулярные, эластические.

19.

20. Морфофункциональная классификация Келликера и Лейдига

Различают следующие 4 группы тканей:
1.Эпителиальные или покровные ткани,объединяющиеся на основании
морфологических признаков.
2.Ткани внутренней среды, включающие в себя кровь, лимфу, костную, хрящевую и
собственно соединительную ткани. Все эти ткани объединяются в одну группу по двум
признакам. по общности строения (все они состоят из клеток и межклеточного
вещества) и происхождения (все они развиваются из мезенхимы).
3.Мышечные ткани (гладкая, поперечно-полосатая, сердечная, миоэпителиальные
клетки и мионевральные элементы). Ткани этой группы обладают одной функцией –
сократимостью, но происхождение и строение их разное.
4.Нервная ткань. Эта ткань представлена различными гистологическими элементами
клетками и глией. Единственным общим признаком для нервных клеток и глиальных
элементов является их постоянное совместное расположение, т.е. топографический
признак. Нервная ткань обеспечивает интегративную функцию, т.е. обеспечивает
единство организма.

21.

22.

23. 5 Эпителиальные ткани. Классификация. Функции и отличительные особенности эпителиальных тканей. Расположение в организме.

Особенности строения различных
видов покровного эпителия. Железистый эпителий
Эпителии покрывают
поверхность тела, серозные
полости тела, внутреннюю и
наружную поверхности многих
внутренних органов, образуют
секреторные отделы и
выводные протоки экзокринных
желез. Эпителий представляет
собой пласт клеток, под
которым есть базальная
мембрана.
Эпителии подразделяются на
покровные, которые выстилают
тело и все полости, имеющиеся
в организме, и железистые,
которые вырабатывают и
выделяют секрет.
.

24.

Функции:
разграничительная /барьерная/ (контакт с внешней средой);
защитная (внутренней среды организма от повреждающего
действия механических, физических, химических факторов
среды; выработка слизи, обладающей антимикробным
действием);
обмен веществ между организмом и окружающей средой;
секреторная;
экскреторная;
развитие половых клеток и др;
рецепторная /сенсорная/

25.

26.

27.

28.

29.

30.

31.

32.

Общие признаки строения эпителия:
Клетки лежат плотно друг к другу, образуя сплошной пласт
Гетерополярность - апикальные (верхушка) и базальные части клеток
отличаются по строению и по функции; а в многослойном эпителии - отличие
в строении и функции слоев
Состоит только из клеток, межклеточное вещество практически отсутствует
(десмосомы)
Эпителий всегда располагается на базальной мембране (углеводно-белковолипидный комплекс с тончайшими фибриллами) и им отграничивается от
подлежащей рыхлой соединительной ткани
Эпителий участвует в выделении секрет
Характерна повышенная регенераторная способность, обусловленная
пограничностью
не имеет собственных кровеносных сосудов, питается диффузно через
базальную мембрану, за счет сосудов подлежащей рыхлой соединит. ткани
Хорошо иннервирован (много нервных окончаний)

33. Однослойный однорядный эпителий

все ядра эпителиоцитов располагаются на
одном уровне, потому что эпителий состоит
из одинаковых клеток.
Регенерация однослойного однорядного
эпителия происходит за счет стволовых
(камбиальных) клеток, равномерно
разбросанных среди других
дифференцированных клеток.

34. Однослойный плоский

Состоит из одного слоя
резко уплощенных
клеток полигональной
формы (многоугольной);
основание (ширина)
клеток больше, чем
высота (толщина);
в клетках органоидов
мало, встречаются
митохондрии,
одиночные
микроворсинки, в
цитоплазме видны
пиноцитозные пузырьки

35.

36. Однослойный кубический

37.

38.

39.

40.

41.

42. Однослойный многорядный мерцательный эпителий

Все клетки контактируют с базальной мембраной, но имеют разную высоту и поэтому ядра
располагаются на разных уровнях, т.е. в несколько рядов. Выстилает воздухоносные пути.
Функция: очистка и увлажнение проходящего воздуха.
В составе этого эпителия различают 5 разновидностей клеток:
В верхнем ряду:
- Реснитчатые (мерцательные) клетки высокие, призматической формы. Их апикальная
поверхность покрыта ресничками.
В среднем ряду:
- Бокаловидные клетки - имеют форму бокала, плохо воспринимают красители (в препарате белые), вырабатывают слизь (муцины);
- Короткие и длинные вставочные клетки (малодифференцированные и среди них стволовые
клетки; обеспечивают регенерацию);
- Эндокринные клетки, гормоны которых осуществляют местную регуляцию мышечной ткани
воздухоносных путей.

43.

44.

45.

46.

47.

48. Многослойный плоский неороговевающий

Выстилает передний (ротовая полость, глотка, пищевод) и конечный отдел (анальный отдел прямой кишки)
пищеварительной системы, роговицу.
Функция: механическая защита.
Источник развития: эктодерма. Прехордальная пластинка в составе энтодермы передний кишки.
Состоит из 3-х слоев:
а) базальный слой - цилиндрической формы эпителиоциты со слабобазофильной цитоплазмой, часто с фигурой
митоза; в небольшом количестве стволовые клетки для регенерации;
б) шиповатый (промежуточный) слой - состоит из значительного количества слоев клеток шиповатой формы,
клетки активно делятся.
В базальном и шиповатом слоях в эпителиоцитах хорошо развиты тонофибриллы (пучки тонофиламентов из
белка кератина), а между эпителиоцитами — десмосомы и другие виды контактов.
в) покровные клетки (плоские), стареющие клетки, не делятся, с поверхности постепенно слущиваются.
Многослойные плоские эпителии обладают полиморфизмом ядер:
-ядра базального слоя вытянутые, расположены перпендикулярно к базальной мембране,
-ядра промежуточного (шиповатого) слоя - округлые,
-ядра поверхностного (зернистого) слоя вытянутые и расположены параллельно базальной мембране.

49.

50.

51. Многослойный плоский ороговевающий

Эпителий кожи
Развивается из эктодермы, выполняет защитную функцию - защита от
механических повреждений, лучевого, бактериального и химического
воздействия, разграничивает организм от окружающей среды.
В толстой коже (ладонные поверхности), которая постоянно испытывает
нагрузку, эпидермис содержит 5 слоёв:
1.базальный слой - состоит из призматических (цилиндрических) по
форме кератиноцитов, в цитоплазме которых синтезируется кератиновый
белок, формирующий тонофиламенты. Здесь же находятся стволовые
клетки дифферона кератиноцитов. Поэтому базальный слой называют
ростковым, или зачатковым

52.

2.шиповатый слой - образован кератиноцитами многоугольной
формы, которые прочно связаны между собой многочисленными
десмосомами. В месте десмосом на поверхности клеток имеются
мельчайшие выросты — «шипики», направленные навстречу друг
другу. В цитоплазме шиповатых кератиноцитов тонофиламенты
образуют пучки — тонофибриллы и появляются кератиносомы —
гранулы, содержащие липиды. Эти гранулы путем экзоцитоза
выделяются в межклеточное пространство, где они образуют
богатое липидами цементирующее кератиноциты вещество.
Помимо кератиноцитов, в базальном и шиповатом слоях
присутствуют отростчатой формы меланоциты с гранулами
черного пигмента — меланина, внутриэпидермальные макрофаги
(клетки Лангерганса) и клетки Меркеля, имеющие мелкие гранулы
и контактирующие с афферентными нервными волокнами
3.зернистый слой - клетки приобретают ромбовидную форму,
тонофибриллы распадаются и внутри этих клеток в виде зёрен
образуются белок кератогиалин, с этого начинается процесс
ороговения
4.блестящий слой - узкий слой, в нём клетки становятся плоскими,
они постепенно утрачивают внутриклеточную структуру (не ядер),
и кератогиалин превращается в элеидин

53.

5.роговой слой - содержит роговые чешуйки,
которые полностью утратили строение клеток,
заполнены пузырьками воздуха, содержат белок
кератин. При механической нагрузке и при
ухудшении кровоснабжения процесс ороговения
усиливается
В тонкой коже, которая не испытывает нагрузки,
отсутствует зернистый и блестящий слой.
Базальный и шиповатый слои составляют
ростковый слой эпителия, так как клетки этих
слоев способны к делению.

54.

55.

56.

57.

58.

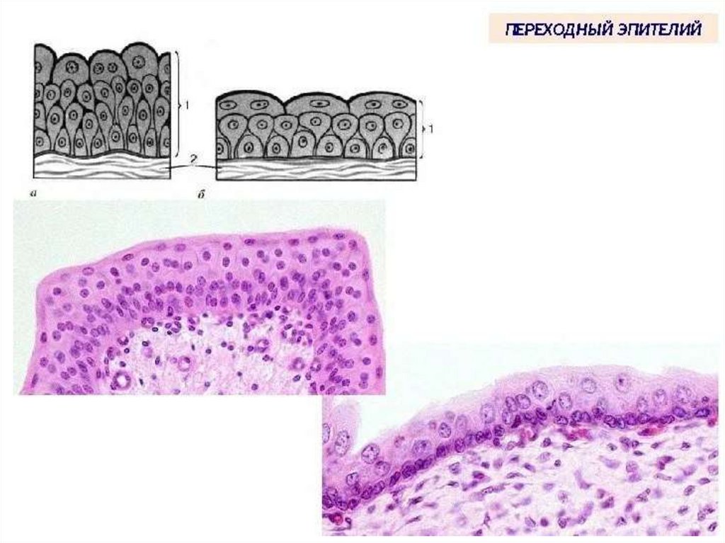
59. Многослойный переходный эпителий

Полиморфизма ядер нет, ядра всех клеток имеют округлые формы.
Источники развития: эпителий лоханки и мочеточника - из мезонефрального протока (производное
сегментных ножек), эпителий мочевого пузыря - из энтодермы аллантоиса и энтодермы клоаки.
Функция - защитная.
Выстилает полые органы, стенка которых способна сильному растяжению (лоханка, мочеточники,
мочевой пузырь).
Слои:
базальный слой - из мелких темных низкопризматических или кубических клеток малодифференцированные и стволовые клетки, обеспечивают регенерацию;
промежуточный слой - из крупных грушевидных клеток, узкой базальной частью, контактирующий
с базальной мембраной (стенка не растянута, поэтому эпителий утолщен); когда стенка органа
растянута грушевидные клетки уменьшаются по высоте и располагаются среди базальных клеток.
покровные клетки - крупные куполообразные клетки; при растянутой стенке органа клетки
уплощаются; клетки не делятся, постепенно слущиваются.
Таким образом, строение переходного эпителия изменяется в зависимости от состояния органа:
когда стенка не растянута, эпителий утолщен за счет "вытеснения" части клеток из базального слоя в
промежуточный слой;
при растянутой стенки толщина эпителия уменьшается за счет уплощения покровных клеток и перехода
части клеток из промежуточного слоя в базальный.

60.

61.

62.

63.

64. Железистый эпителий

Железистый эпителий специализирован на выработку секрета.
Секреторные клетки называются гландулоцитами
Железистый эпителий образует железы:
I. Эндокринные железы - не имеют выводных протоков, секрет
выделяется непосредственно в кровь или лимфу; обильно
кровоснабжаются; вырабатывают гормоны или биологически
активные вещества, оказывающие сильное регулирующее
влияние на органы и системы даже в небольших дозах
II. Экзокринные железы - имеют выводные протоки, выделяют
секрет на поверхность эпителия (на наружные поверхности или
в полости). Состоят из концевых (секреторных) отделов и
выводных протоков

65.

Принципы классификации экзокринных желез:
I. По строению выводных протоков:
1. Простые - выводной проток не ветвится
2. Сложные - выводной проток ветвится
II. По строению (форме) секреторных (концевых) отделов:
1. Альвеолярные - секреторный отдел в виде альвеолы,
пузырька.
2. Трубчатые - секреторный отдел в виде трубочки.
3. Альвеолярно-трубчатые (смешанная форма)

66.

III. По соотношению выводных протоков и секреторных отделов:
1. Неразветвленные - в один выводной проток открывается один секреторный
отдел
2. Разветвленные - в один выводной проток открывается несколько секреторных
отделов
IV. По типу секреции:
1. Мерокриновые - при секреции целостность клеток не нарушается. Характерно
для большинства желез (слюнные железы, поджелудочная железа)
2. Апокриновые (апекс - верхушка, кринио - выделение) - при секреции частично
разрушается (отрывается) верхушка клеток:
микро-апокриновые - в процессе выведения секрета разрушаются микроворсинки
(потовые железы);
макро-апокриновые - в процессе выведения секрета разрушается апикальная
часть цитоплазмы (молочная железа).
3. Голокриновые - при секреции клетка полностью разрушается (пр.: сальные
железы кожи).

67.

• V. По локализации:
• 1. Эндоэпителиальные - одноклеточная железа в
толще покровного эпителия. Пр.: бокаловидные
клетки в эпителии кишечника и воздухонос. путей.
• 2. Экзоэпителиальные железы - секреторный отдел
лежит вне эпителия, в подлежащих тканях.
• VI. По характеру секрета:
• белковые (вырабатываю белковую /серозную/
жидкость – околоушная железа),
• слизистые (ротовой полости; бокаловидная клетка),
• слизисто-белковые /смешанные/ - подчелюстная
железа,
• потовые,
• сальные,
• молочные и т.д.
English     Русский Правила