Как вы думаете “ курение” – это хорошо или плохо?
4.00M
Категория: БЖДБЖД

Влияние курения на организм человека

1.

2.

Курить – здоровью
вредить!

3.

Курение – враг человечества.
Это самая распространенная
вредная привычка и одна из
опаснейших. Это добровольная
смерть!

4.

5.

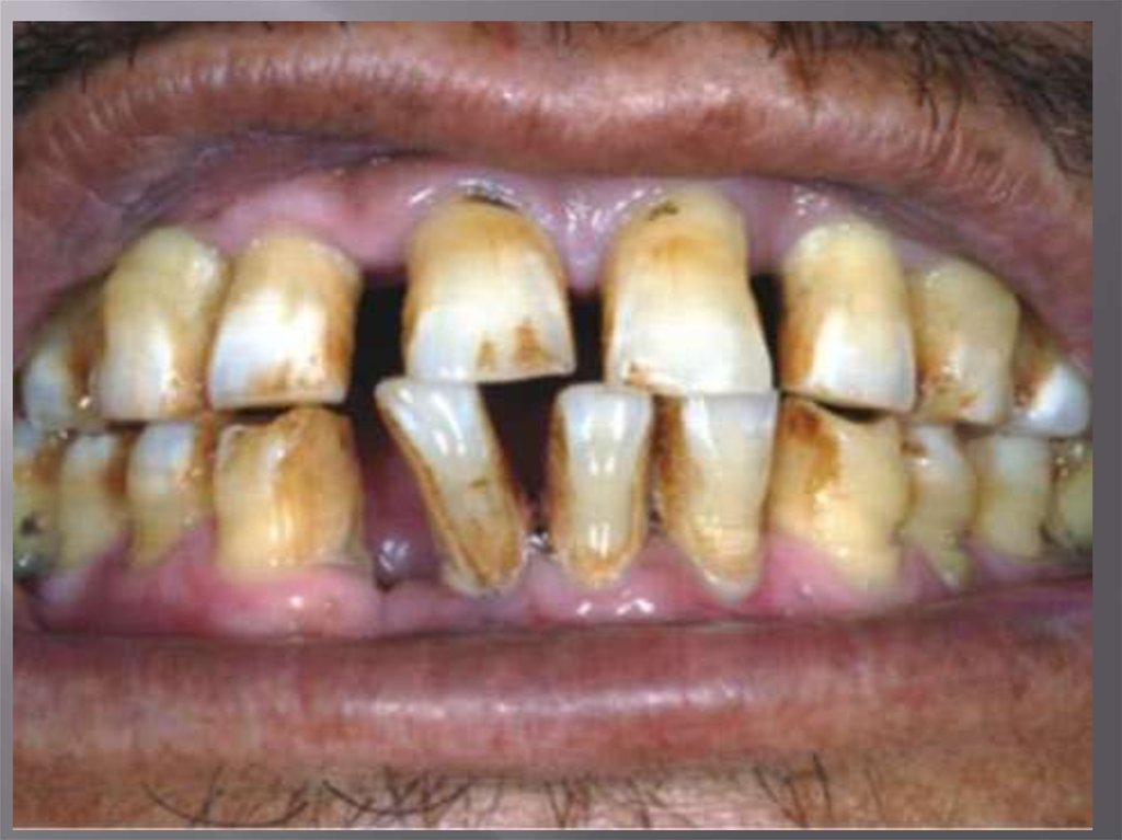
Курение вызывает раковые
заболевания!

6.

7.

8.

9.

10.

11.

Пассивный курильщик курящий человек

12.  Как вы думаете “ курение” – это хорошо или плохо?

13.

Счастье заключается прежде всего в здоровье
English     Русский Правила