4.05M
Категория: БиологияБиология

Эпителиальные ткани

1.

Эпителиальные ткани

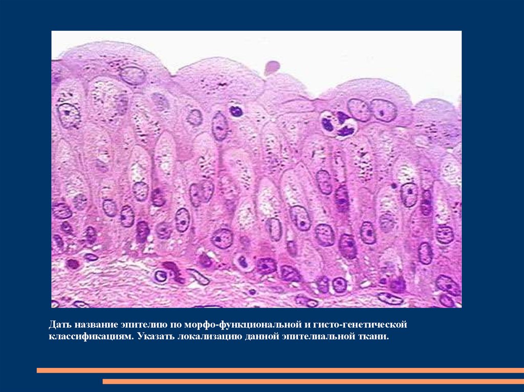
2.

Дать название эпителию по
морфо-функциональной и
гисто-генетической
классификациям. Указать
локализацию данной
эпителиальной ткани.

3.

Дать название эпителию по морфо-функциональной и гистогенетической классификациям. Указать клеточный состав,
строение и функции каждого вида клеток данного эпителия.
Указать локализацию данной эпителиальной ткани.

4.

Дать название эпителию по
морфо-функциональной и
гисто-генетической
классификациям. Указать
клеточный состав, строение и
функции каждого вида
клеток данного эпителия.
Указать локализацию данной
эпителиальной ткани.

5.

Дать название эпителию
по морфофункциональной и гистогенетической
классификациям.
Указать клеточный
состав, строение и
функции каждого вида
клеток данного эпителия.
Указать локализацию
данной эпителиальной
ткани.

6.

Дать название эпителию по морфо-функциональной и гистогенетической классификациям. Указать клеточный состав, строение и
функции каждого вида клеток данного эпителия. Указать
локализацию данной эпителиальной ткани.

7.

Дать название эпителию по морфофункциональной и гисто-генетической
классификациям. Назвать слои данного
эпителия. Указать локализацию данной
эпителиальной ткани.

8.

Дать название эпителию по морфо-функциональной и гисто-генетической
классификациям. Назвать слои данного эпителия. Указать локализацию данной
эпителиальной ткани.

9.

Дать название эпителию по морфо-функциональной и гисто-генетической
классификациям. Назвать слои данного эпителия. Указать локализацию данной
эпителиальной ткани.

10.

11.

Дать название эпителию по морфо-функциональной и
гисто-генетической классификациям. Назвать слои
данного эпителия. Указать локализацию данной
эпителиальной ткани.

12.

Дать название эпителию по морфо-функциональной и гисто-генетической
классификациям. Указать локализацию данной эпителиальной ткани.

13.

Электронные микрофотографии
- см. стенд и рабочую тетрадь
English     Русский Правила