Выделительная система
Что нужно выделять?
Где производятся продукты выделения?
Строение выделительной системы
Строение почки
Нефрон
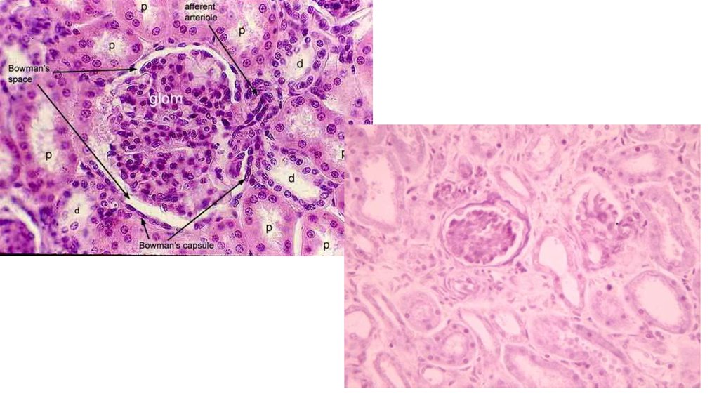
Капсула Боумена-Шумлянского
Первичная моча
Транспорт веществ в дистальном извитом канальце
Собирательные трубочки
Обратный кровоток
Осмотичность
Суммарно
Регуляция в почках
2.32M
Категория: БиологияБиология

Выделительная система

1. Выделительная система

2. Что нужно выделять?

• Продукты белкового обмена
• Другие метаболиты
• Избыток солей
• Избыток воды (если он есть)

3. Где производятся продукты выделения?

Синтез мочевины в печени и почках
Синтез растворимых метаболитов в печени

4. Строение выделительной системы

5. Строение почки

6. Нефрон

7.

8. Капсула Боумена-Шумлянского

9.

10. Первичная моча

11.

12.

13.

14.

15. Транспорт веществ в дистальном извитом канальце

Реабсорбция Na+ + Cl-

16. Собирательные трубочки

Аквапорины

17. Обратный кровоток

18.

19. Осмотичность

20. Суммарно

21. Регуляция в почках

English     Русский Правила