Серцево-судинна система
ПОВТОРЕННЯ Назвіть тип тканини та місцезнаходження
Кров
Плазма
Формені елементи
Еритроцити = червоні кров'яні тільця
Лейкоцити = білі кров'яні тільця
Тільця Барра
Тромбоцити
Дякую за увагу
10.07M
Категория: БиологияБиология

Серцево-судинна система

1. Серцево-судинна система

Узагальнення шкільного курсу з
біології.
Підготовка до олімпіад.
http://vk.com/biology_145

2. ПОВТОРЕННЯ Назвіть тип тканини та місцезнаходження

1
2
3
4

3.

1.
2.
3.
4.
Яка тканина не має капілярів?
Остеокласти відносяться до … тканини
Скоротливі білки м'язової тканини - …
Клітини власне сполучної тканини
називаються … та …
5. Основний білок епітеліальної тканини - …
6. Волокнистий хрящ присутній у …
7. Клітини глії, що утворюють мієлінову
оболонку: … та …

4. Кров

Плазма = 55%
Вода, білки,
транспортні речовини
Формені елементи = 45%
•Еритроцити
•Лейкоцити
•Тромбоцити

5. Плазма

• Білки: альбуміни, глобуліни, фібриноген
• Вода – 90%

6. Формені елементи

7. Еритроцити = червоні кров'яні тільця


Переносять кисень
Живуть 120 днів
Утворюються у чкм
Руйнуються у печінці
Анемія, поліцитемія, цитопенія

8.

9.

10.

11.

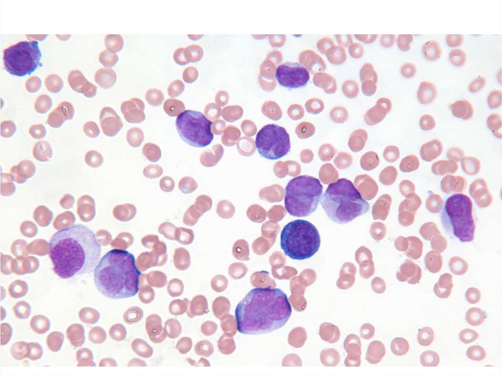
12. Лейкоцити = білі кров'яні тільця

• Утворюються у чкм
• Деякі живуть до десятків років
• Лейкоцитоз, лейкопенія

13.

14.

15.

16.

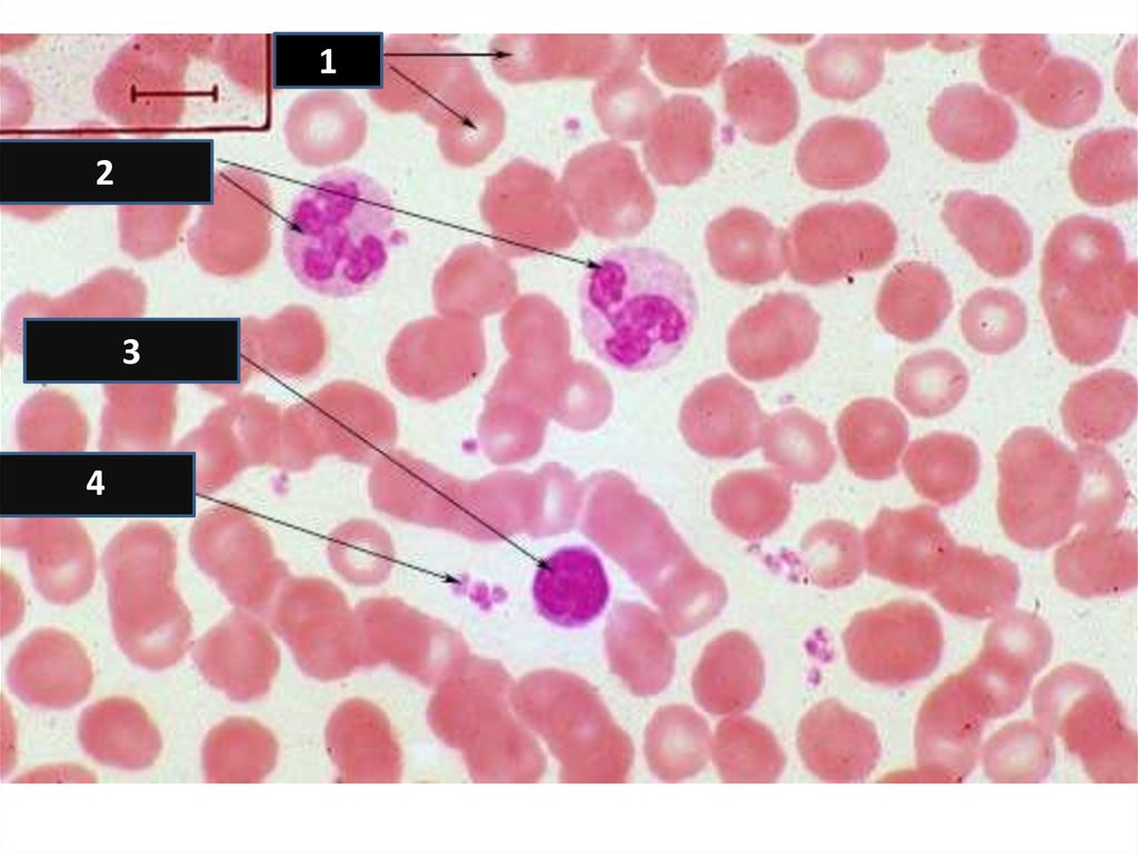
1
2
3
4

17. Тільця Барра

18.

19. Тромбоцити


Залишки клітин
Не мають ядра
У крові – 5-11 днів
Забезпечують гемостаз
Руйнуються у печінці, селезінці, легенях
тромбоцитопенія

20.

21.

22.

23.

24.

25.

26.

27.

28. Дякую за увагу

Що тут
відбувається?
Вечірка тромбоцитів!
Вечірка
тромбоцитів!
А що, я роками
так не веселився!
Я думаю,
ми застрягли
Вечірка тромбоцитів!
Вечірка
тромбоцитів!
Ні, серйозно,
ми застрягли
Вечірка тромбоцитів!
English     Русский Правила