25.11M
Категория:
Биология
Похожие презентации:
Диагностика препаратов. Список препаратов
Диагностика препарата по паразитологии
Диагностика паразитологических препаратов
Препараты к Диагностике №1
Диагностика паразитологических препаратов
Диагностика №2. Препараты
Препараты. Мышечные ткани. Диагностика №2
Гидрозольные препараты для экспрессной бесприборной диагностики лейкоза КРС
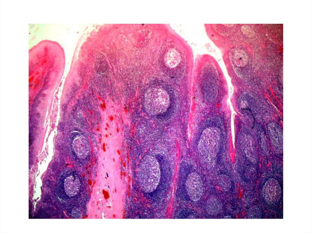
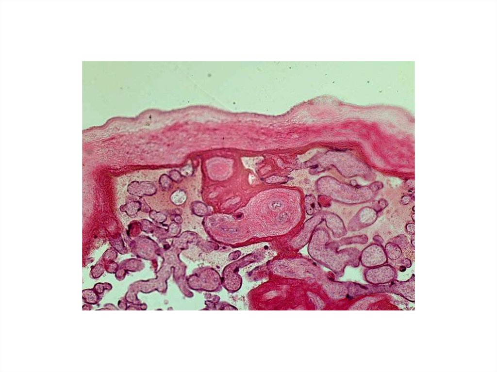
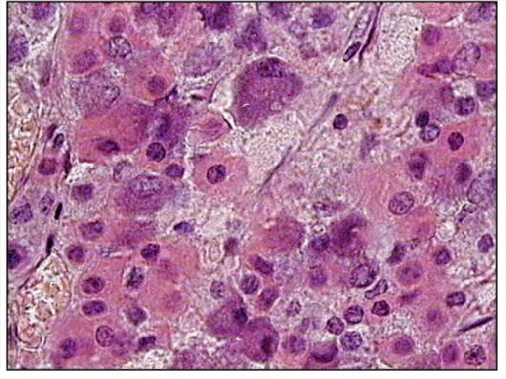
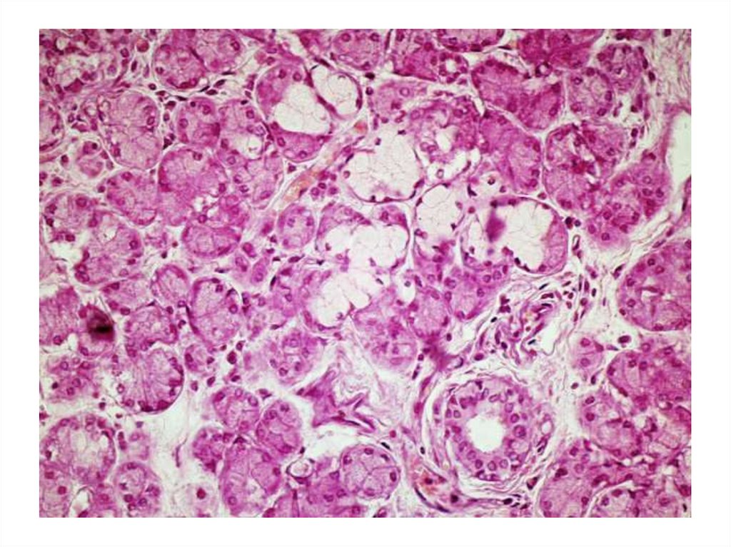
Препараты по гистологии
Гидрозольные препараты для экспрессной бесприборной диагностики различных заболеваний человека и животных
Диагностика препаратов (снимки)
1.
English
Русский
Правила