14.78M
Категория:
Медицина
Похожие презентации:
Хронические заболевания легких у детей
Хронические заболевания легких у детей
Хронические нагноительные заболевания легких у детей
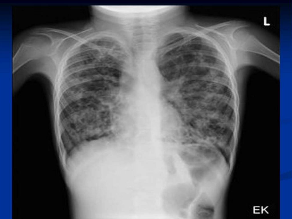
Наследственные хронические заболевания легких у детей. Муковисцидоз
Хронические неспецифические заболевания лёгких у детей
Хронические неспецифические заболевания легких
Хронические неспецифические заболевания лёгких у детей
Хронические неспецифические заболевания легких. Опухоли легких
Хронические неспецифические заболевания легких. Рак легких
Туберкулез и хронические неспецифические заболевания легких
Хронические неспецифические заболевания легких у детей
1.
English
Русский
Правила