Кировский государственный медицинский университет Кафедра внутренних болезней дисциплина Фтизиатрии
Задание:
Рентгенограмма №1
Рентгенограмма № 2
Рентгенограмма № 3
Рентгенограмма № 4
Рентгенограмма № 5
4.14M
Категория: МедицинаМедицина

Малые формы туберкулеза легких тренинг по основным малым формам туберкулеза легких

1. Кировский государственный медицинский университет Кафедра внутренних болезней дисциплина Фтизиатрии

Тема практического занятия:
Малые формы туберкулеза легких
тренинг по основным
малым формам туберкулеза легких
Материал подготовлен доц. к.м. н. Фесюк Е.Г.

2. Задание:

1. Определить методику, вид
рентгенологического исследования.
2. Описать рентгенограмму.
3. Выделить основной рентгенологический
синдром.
4. Сформулировать клинико-лучевое
заключение.

3.

4.

5.

6.

7.

8.

9.

10.

11.

12.

13.

14.

15.

16.

17.

18.

19.

20.

21.

22.

23.

24.

25.

26.

27.

28.

29.

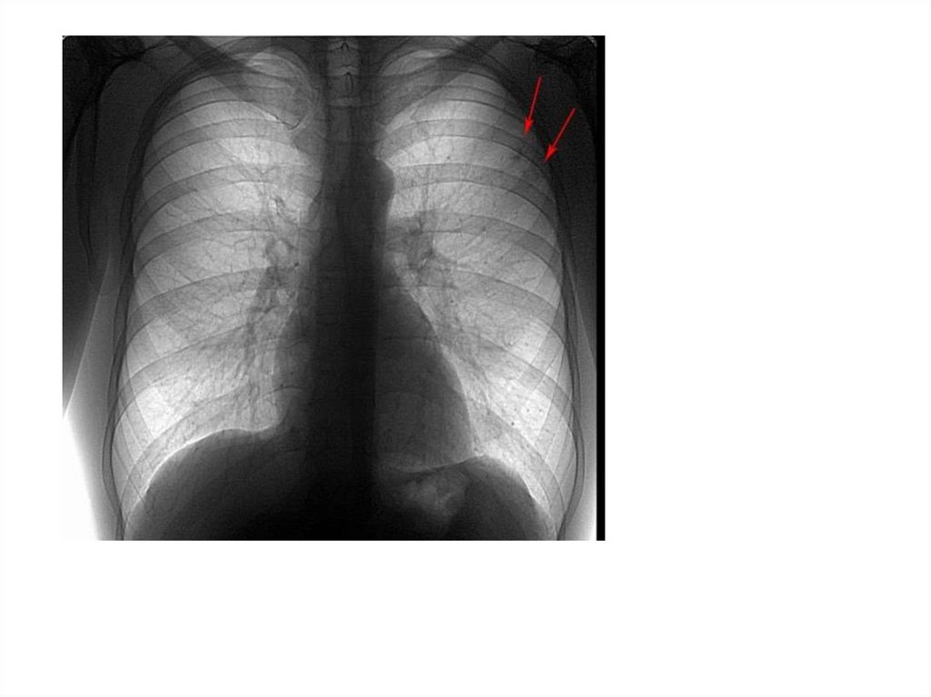
30. Рентгенограмма №1

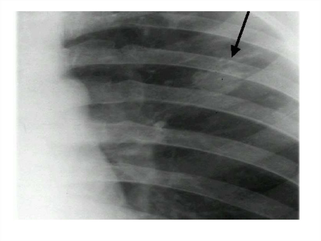
31. Рентгенограмма № 2

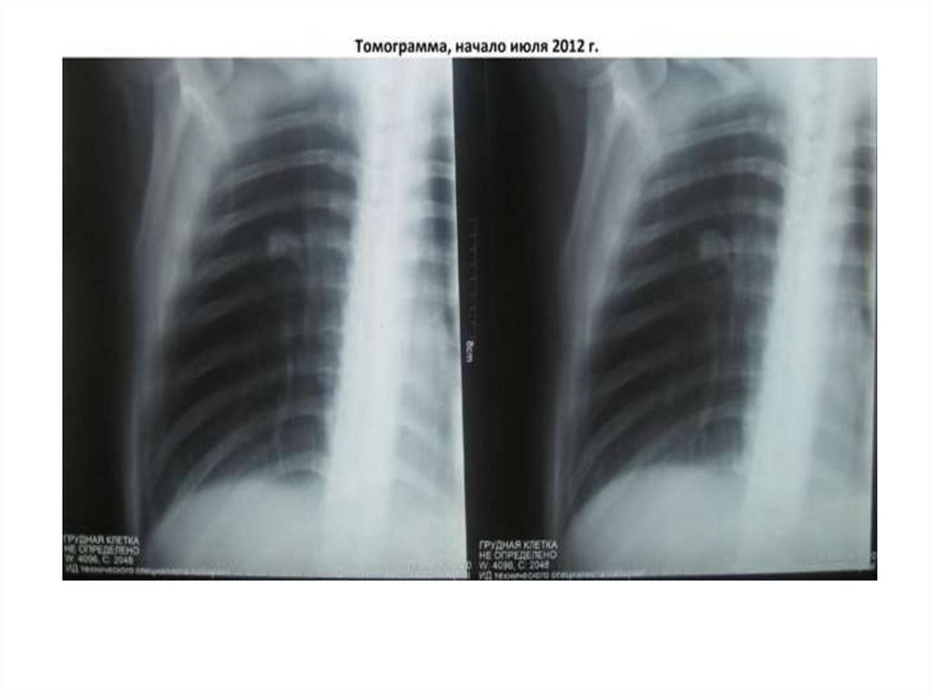
32. Рентгенограмма № 3

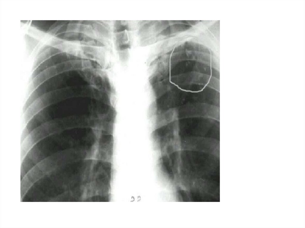
33. Рентгенограмма № 4

34. Рентгенограмма № 5

English     Русский Правила