Безэлектродные системы
В России не зарегистрированы
ПОказания
Система имплантации
Техника операции
3.56M
Категория: МедицинаМедицина

Безэлектродные системы

1. Безэлектродные системы

БЕЗЭЛЕКТРОДНЫЕ СИСТЕМЫ
ГАНЕЕВА ОЛЬГА НИКОЛАЕВНА

2. В России не зарегистрированы

В РОССИИ НЕ ЗАРЕГИСТРИРОВАНЫ

3.

4.

• Стимуляция в однокамерном
желудочковом режиме по
требованию VVIR
• Программируемые
параметры
• Срок жизни 5 - 7 лет;
• Меньше 7 см, вес 2 г

5. ПОказания

ПОКАЗАНИЯ
• НЕ ВКЛЮЧЕНЫ В ЕВРОПЕЙСКИЕ ИЛИ АМЕРИКАНСКИЕ РЕКОМЕНДАЦИИ;
• НЕ ВКЛЮЧЕНЫ В РОССИЙСКИЕ РЕКОМЕНДАЦИИ;
• КОНСЕНСУС EHRA – БРАДИФОРМА ФП ПРИ ЗАТРУДНЕННОМ СОСУДИСТОМ ДОСТУПЕ ЧЕРЕЗ
СИСТЕМУ ВЕРХНЕЙ ПОЛОЙ ВЕНЫ

6. Система имплантации

СИСТЕМА ИМПЛАНТАЦИИ

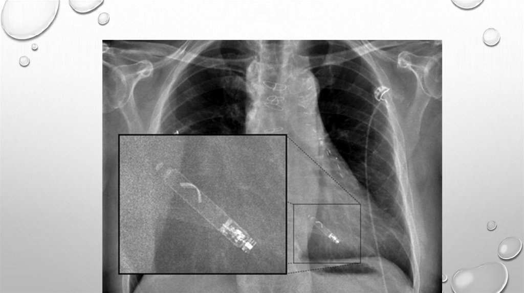
7. Техника операции

ТЕХНИКА ОПЕРАЦИИ
English     Русский Правила