NIRVE Rounds Oct 2020 Eyebrow tremor A localisation exercise
782.25K
Категория: ОбразованиеОбразование

Eyebrow tremor

1. NIRVE Rounds Oct 2020 Eyebrow tremor A localisation exercise

DR TUDOR MUNTEANU
PROF TIM LYNCH
DUBLIN NEUROLOGICAL INSTITUTE
MATER MISERICORDIAE UNIVERSITY HOSPITAL
DUBLIN, IRELAND

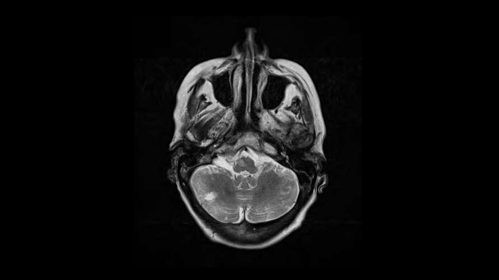
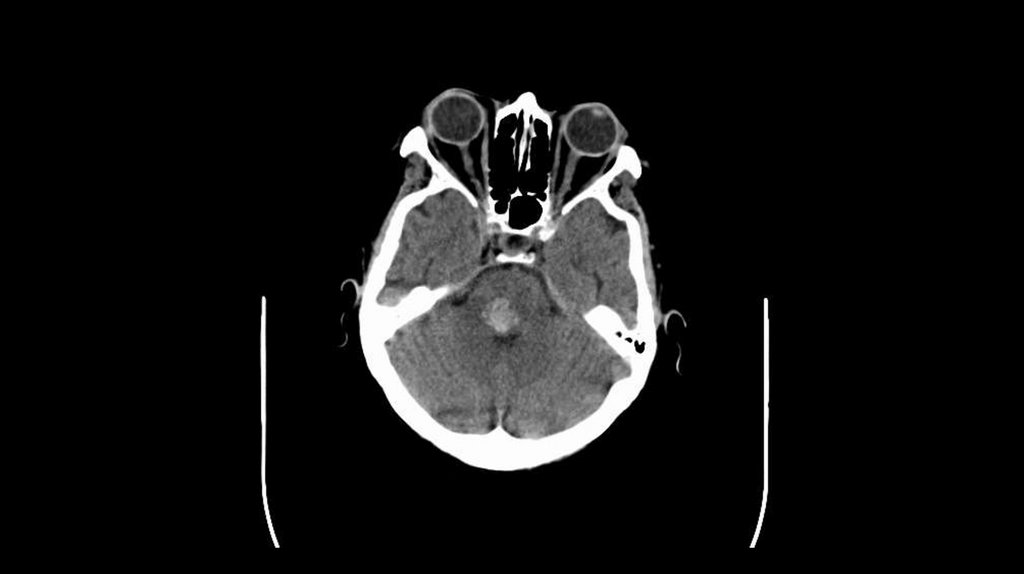
2.

67 year-old woman
Presented with left sided
weakness
Slurred speech
Left facial droop
Double vision
BP: 210/110 mm Hg
Past Medical History
Stroke
SCC of oral cavity
HTN
Dyslipidaemia
Gastric ulcer
COPD
Medication:
Aspirin
Atorvastatin
English     Русский Правила