Рубежный контроль по R-диагностике заболеваний органов дыхания
26.50M

Рубежный контроль по R-диагностике заболеваний органов дыхания

1. Рубежный контроль по R-диагностике заболеваний органов дыхания

Уважаемые обучающиеся!
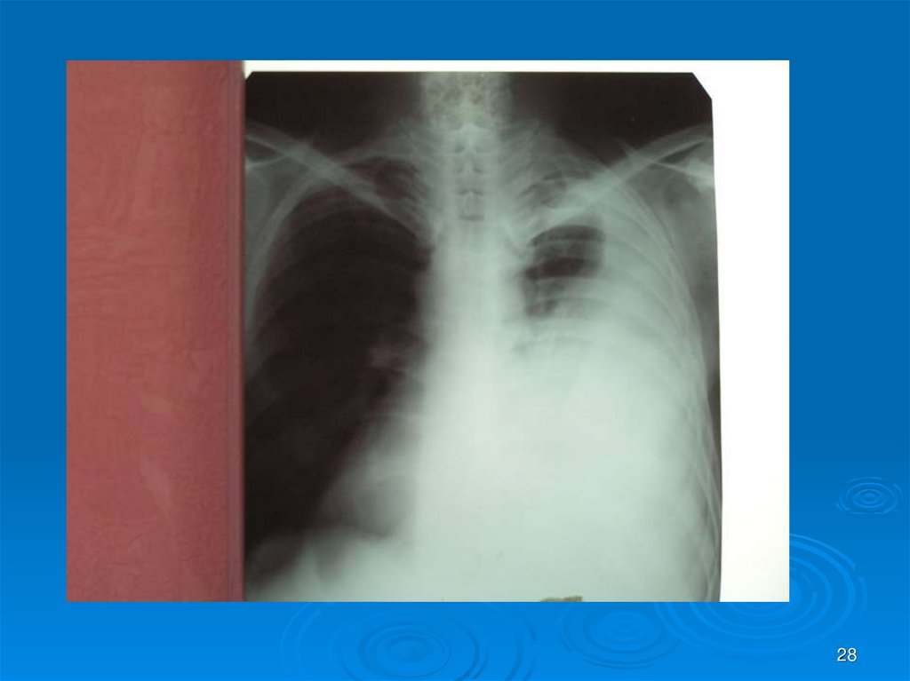
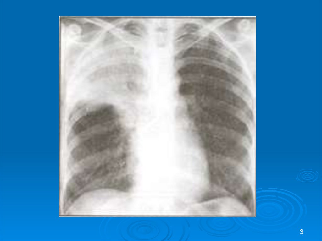
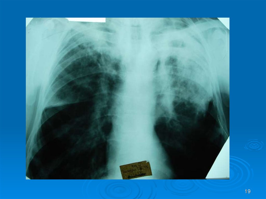
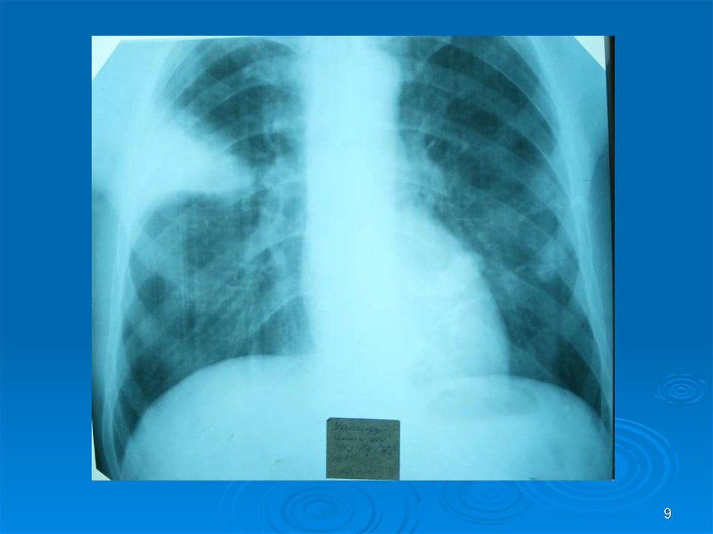
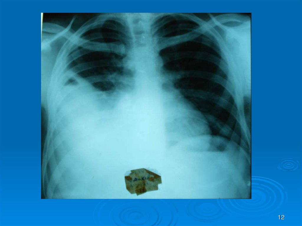
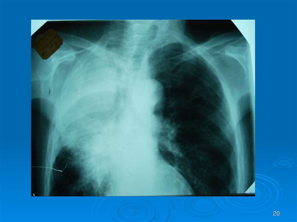
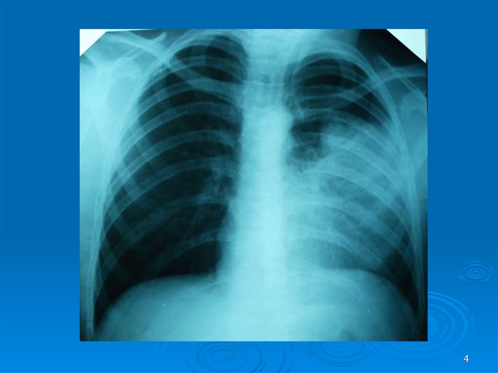
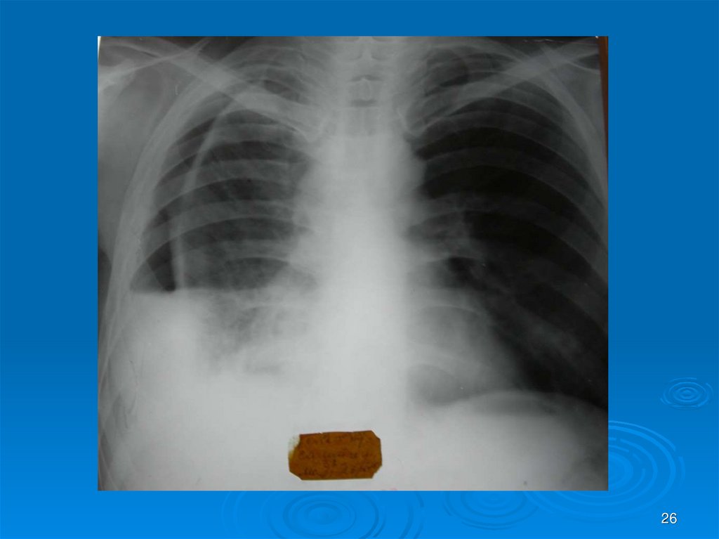
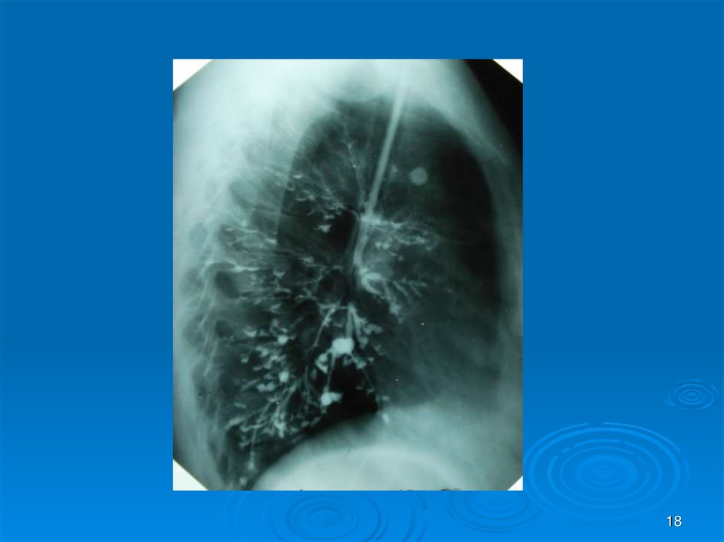
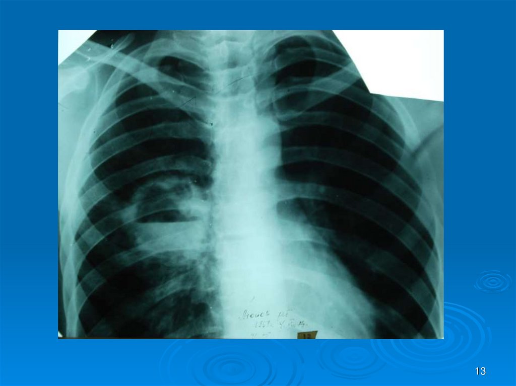
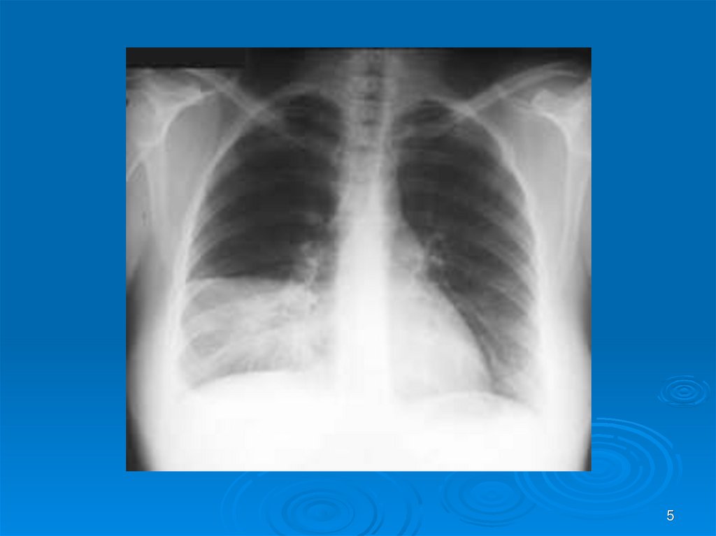
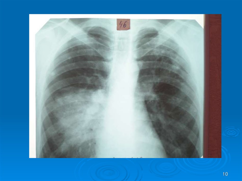
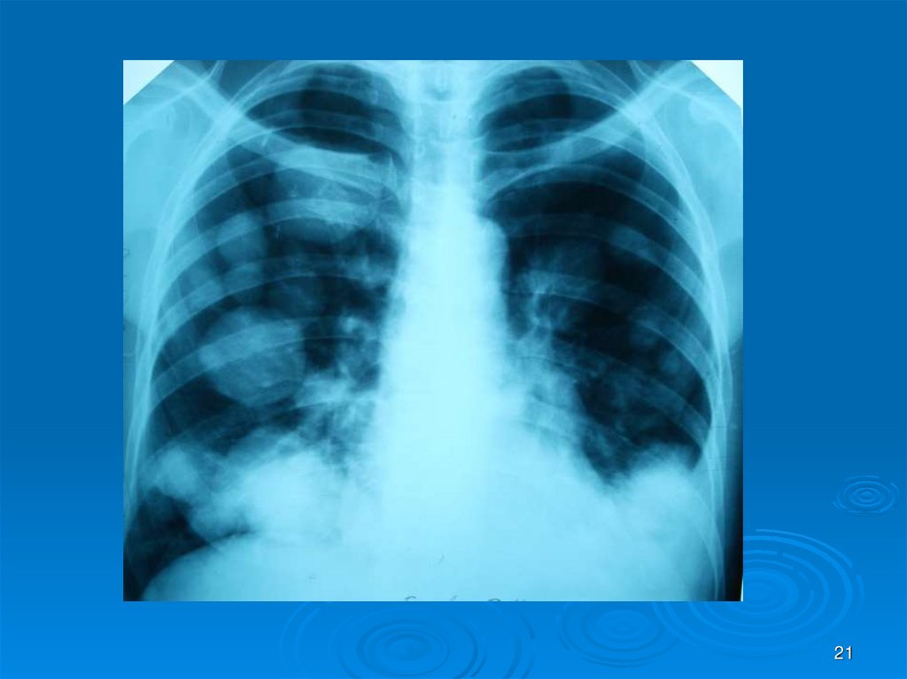
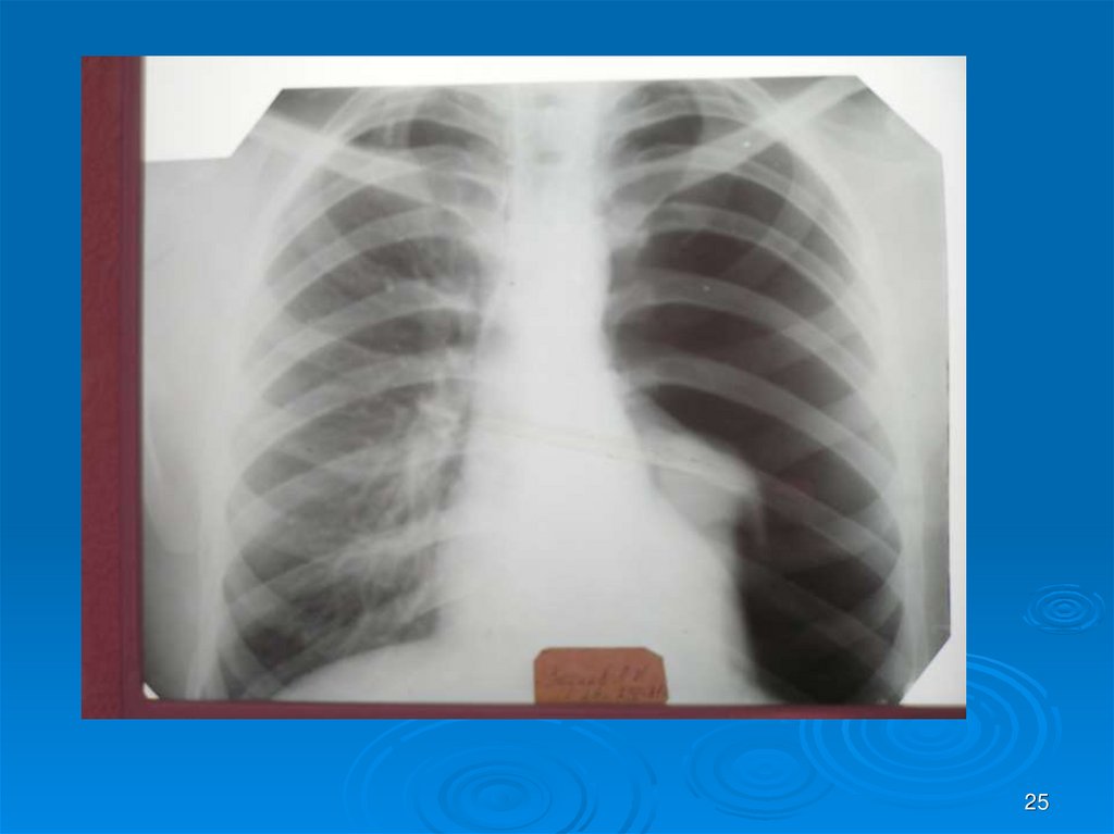
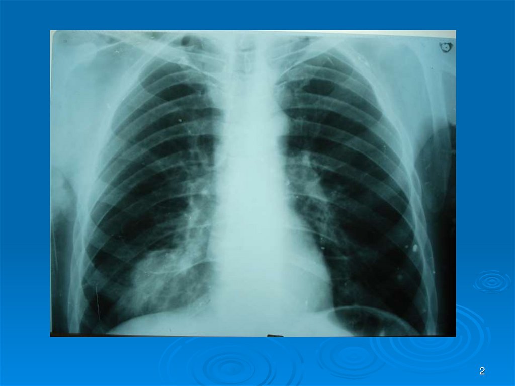
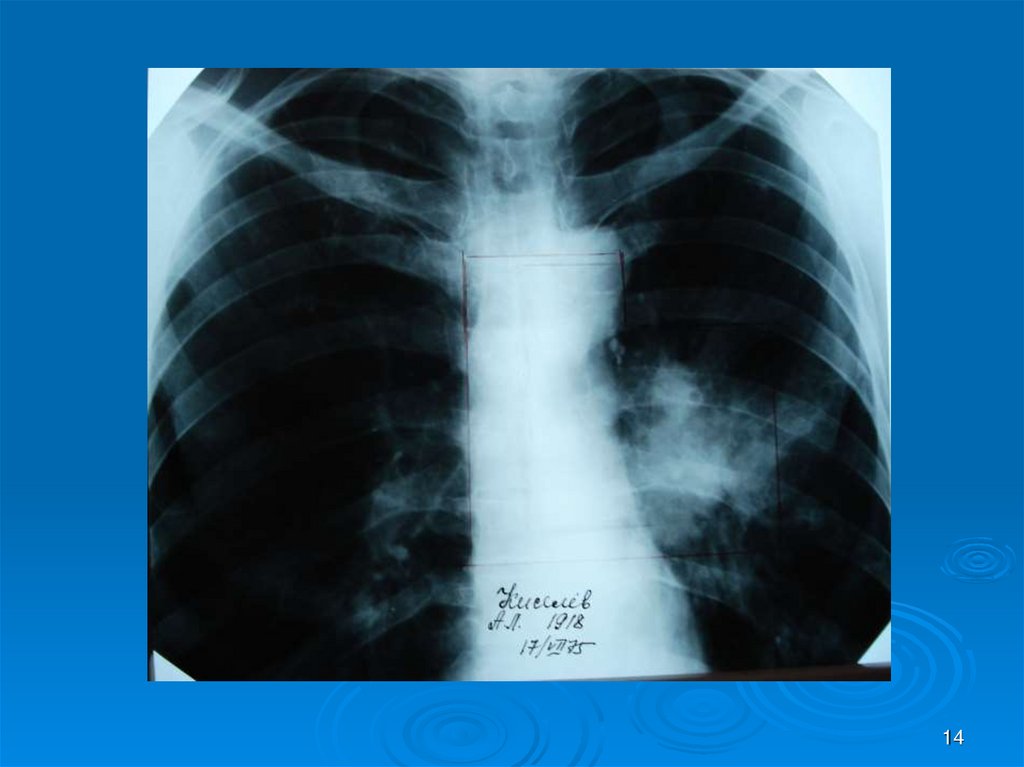
Каждый из вас должен интерпретировать Rснимки (всего 30) в ММ-презентации: назвать
заболевание, его локализацию, если осложнение
заболеваний – то указать какое. На снимках могут
быть пневмония (очаговая, сегментарная,
долевая), абсцесс легких I и II стадии, гангрена
легких, плеврит, ХОБЛ и сходные с ними болезни
легких, требующие дифференциальной
диагностики (туберкулез и др.). Успехов в работе!
Ответы прислать для проверки
1

2.

2

3.

3

4.

4

5.

5

6.

6

7.

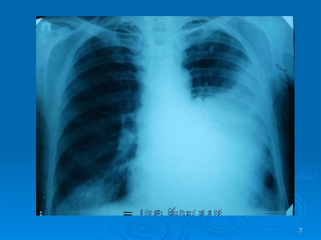
7

8.

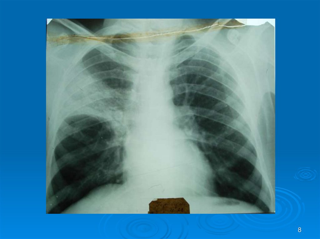
8

9.

9

10.

10

11.

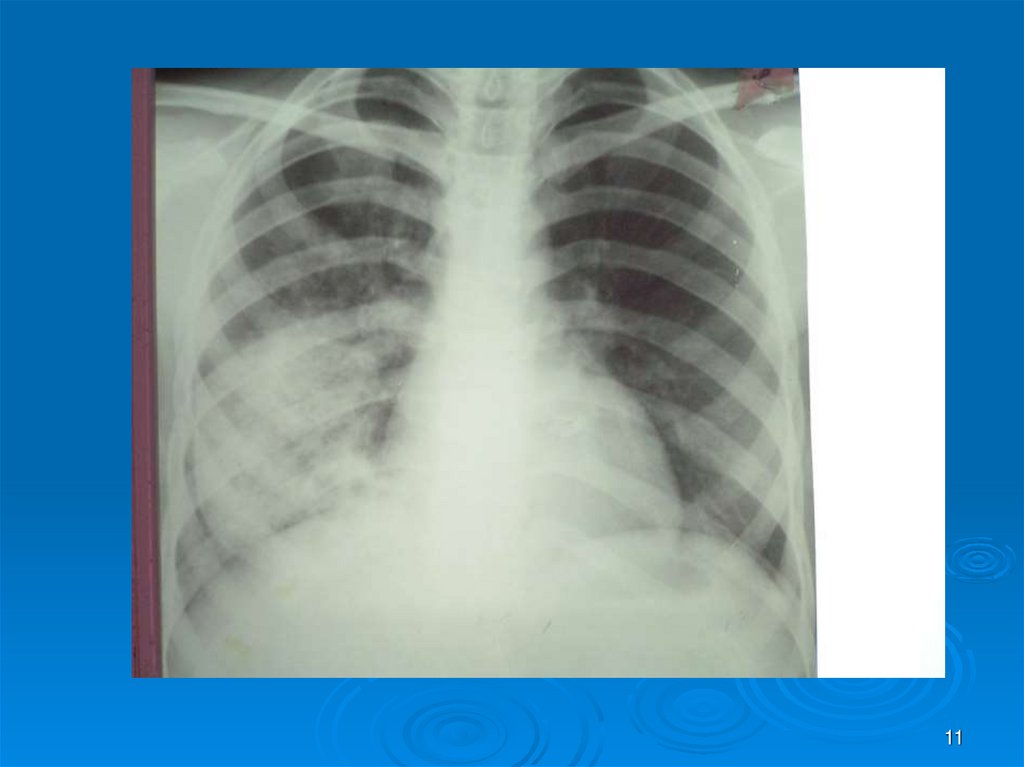
11

12.

12

13.

13

14.

14

15.

15

16.

16

17.

17

18.

18

19.

19

20.

20

21.

21

22.

22

23.

23

24.

24

25.

25

26.

26

27.

27

28.

28

29.

29

30.

30

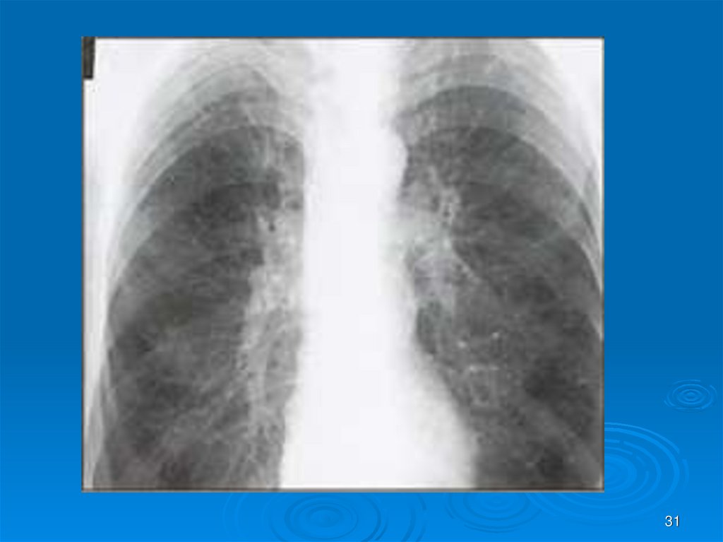
31.

31
English     Русский Правила