10.55M
Категория: МедицинаМедицина

Заболевания почек

1.

Заболевания почек

2.

Схема строения почки

3.

Гистологическое строение почки в норме

4.

Схема строения нефрона

5.

Схема гистологического строения мальпигиева тельца:
3a, b — подоциты
5a — мезангий
2 — нефротелий

6.

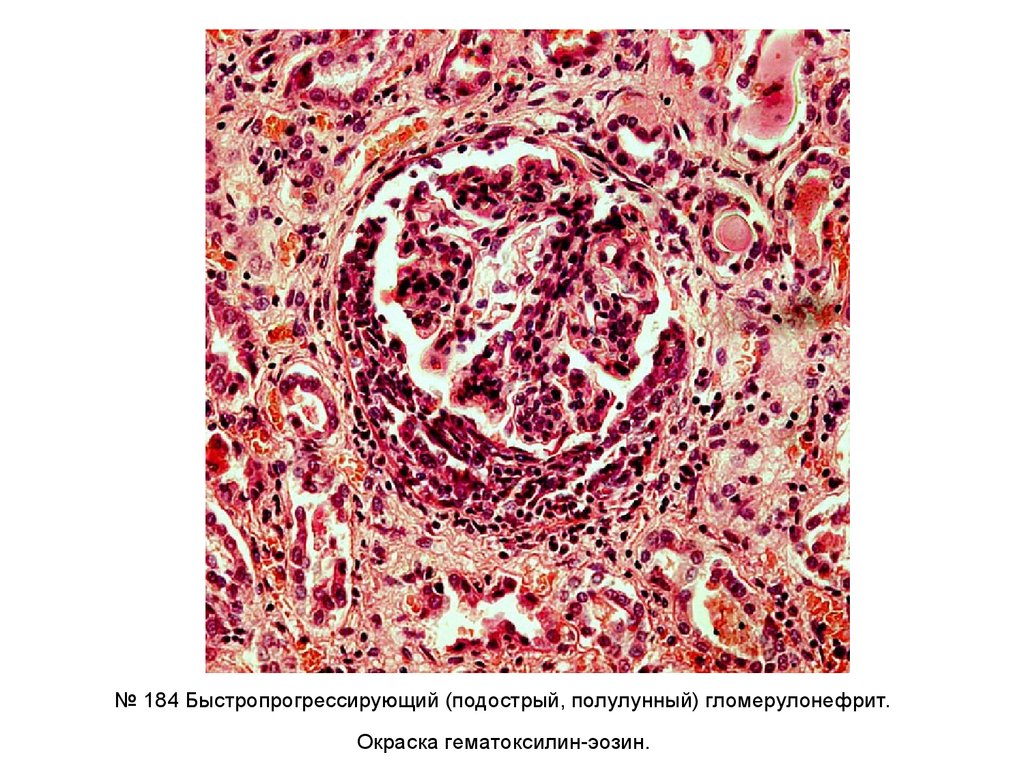
№ 184 Быстропрогрессирующий (подострый, полулунный) гломерулонефрит.
Окраска гематоксилин-эозин.

7.

Незначительные
круглоклеточные
воспалительные
инфильтраты в
строме
Деформация,
дольчатость
сосудистого
клубочка.
Умеренный
склероз стромы
Почечные канальцы
с признаками
дистрофии и
атрофии.
«Полулуния»: капсула БоуменаШумлянского резко утолщена из-за
пролиферации нефротелия, макрофагов
и подоцитов.
№ 184 Быстропрогрессирующий (подострый, полулунный) гломерулонефрит.
Окраска гематоксилин-эозин.

8.

№ 185 Хронический гломерулонефрит.
Окраска гематоксилин-эозин.

9.

№ 185 Хронический гломерулонефрит.
Окраска гематоксилин-эозин.
Атрофия, склероз и гиалиноз
почечных клубочков,
нормальные элементы
клубочка практически
полностью утрачены.
Склероз и гиалиноз
артериол и мелких артерий.
Дистрофия, атрофия почечных
канальцев.
Склерозированная строма.
Единичные
гипертрофированные
почечные клубочки.
Круглоклеточная воспалительная инфильтрация.
«Лапчатый» клубочек

10.

№ 183 Некроз эпителия извитых канальцев почки (некротический
нефроз).
Окраска гематоксилин-эозин.

11.

№ 183 Некроз эпителия извитых канальцев почки (некротический нефроз).
Окраска гематоксилин-эозин.
Клетки эпителия
извитых канальцев
увеличены в
размерах, просвет
канальцев сужен или
отсутствует.
Петля Генле
(вставочный отдел)
обычного строения.
Эпителиальные
клетки извитых
канальцев лишены
ядер (кариолизис).
В строме слабая
лейкоцитарная
инфильтрация.
Коллапс капиллярных
петель сосудистого
клубочка.

12.

№ 18 Амилоидоз почки.
Окраска гематоксилин-эозин

13.

№ 19 Амилоидоз почки.
Окраска конго-красный.

14.

№ 19 Амилоидоз почки.
Окраска конго-красный.
Склероз стромы.
Отложение амилоида
в почечных клубочках
с утратой нормальных
структур клубочков.
Отложение амилоида по
ходу базальной мембраны
почечных канальцев.
Дистрофия,
атрофия
почечных
канальцев.
Отложение амилоида в
строме.
Отложение амилоида
в стенках артериол и
мелких артерий.

15.

Макропрепараты
1) Геморрагический гломерулонефрит
На препарате почка. Увеличена в размере. На наружной поверхности органа видны
множественные мелкие равномерно расположенные патологические очаги темнокрасного цвета.
2)Некронекроз
На препарате почка увеличена в размере. Мозговое вещество бледное сероватого
цвета, пирамиды темно-вишневого цвета.
English     Русский Правила