2.19M
Категория: МедицинаМедицина

Паранефрит

1.

«Семей Медицина Университеті» КеАҚ
Хирургиялық пәндер кафедрасы
Тақырыбы: «Паранефрит.»
Семей 2020 ж

2.

1)Кіріспе бөлім
2)Негізгі бөлім
I)Анықтамасы, этиология, патогенез, классификация
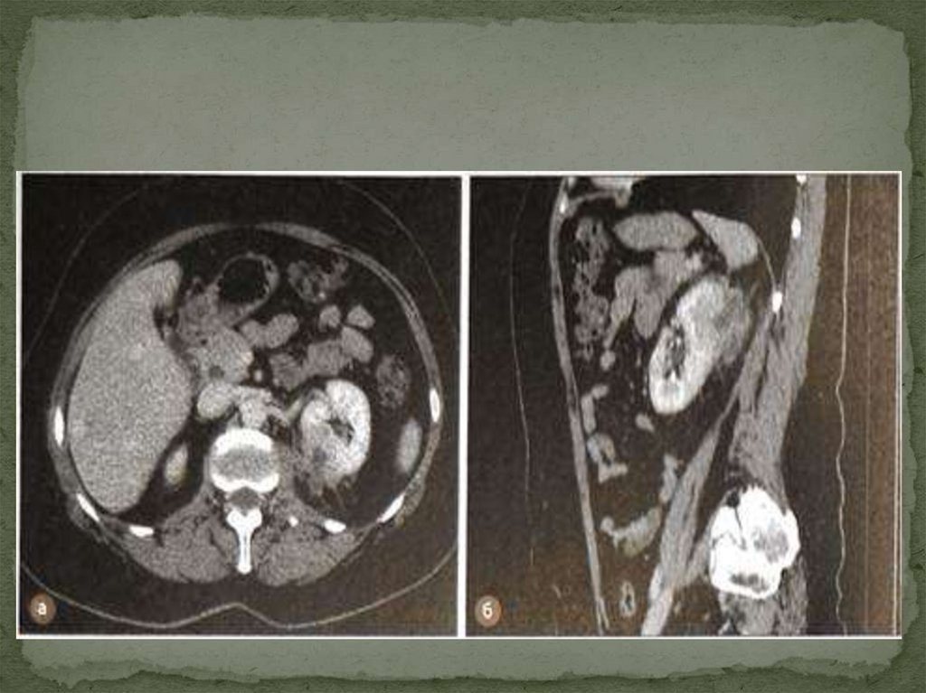
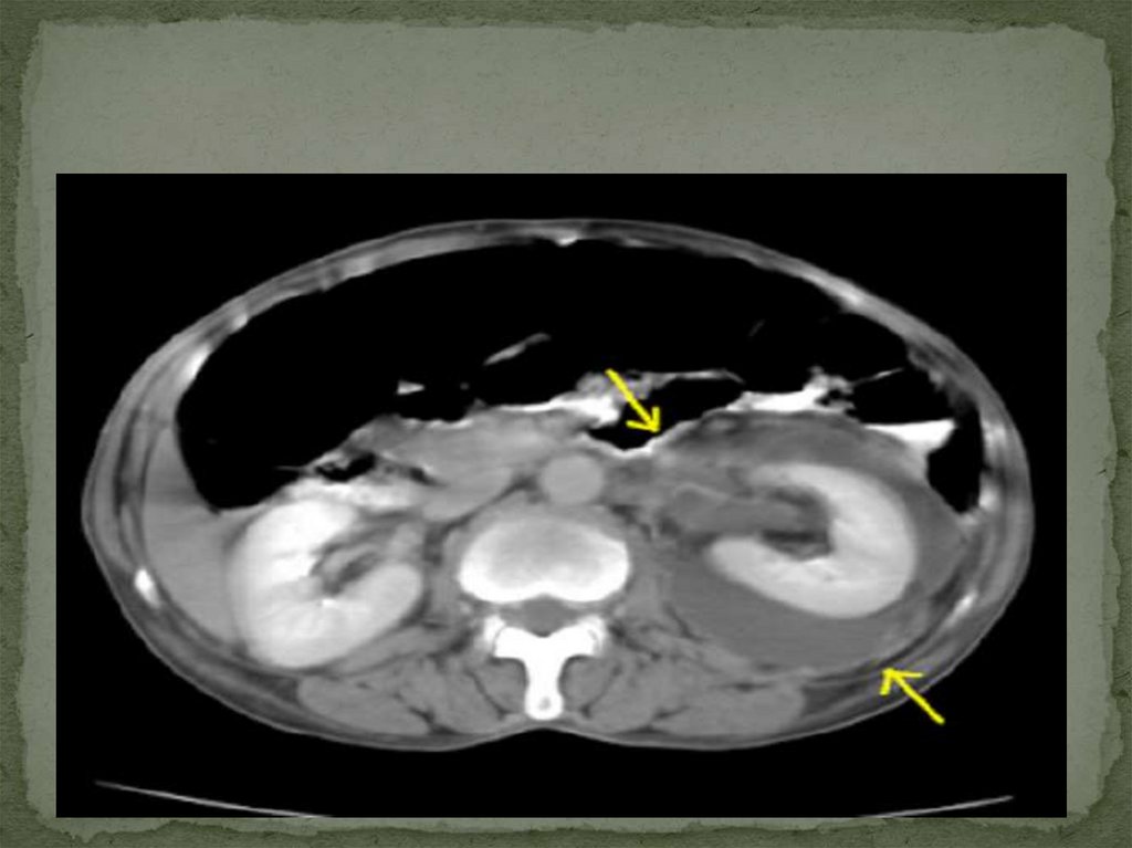
II)Клиникасы
III)Диагностика
IV) Дифференциалды диагностика
V)Емі

3.

Бүйрек айналасының іріңдеп қабынуы,
паранефриттің негізгі қоздырушылары
стафилококк, ішек таяқшалары болып есептеледі.

4.

I)Біріншілік
II)Екіншілік
Біріншілік паранефрит толық денсаулық
жағдайында пайда болуы мүмкін. Паранефриттің
бұл түрінің шығу тегі көбінесе ағзада әртүрлі іріңді
ошақтар (фурункул, панарициялар, флегмон,
ангина, құрсақ және кеуде қуысы мүшелеріндегі
әртүрлі іріңді процестер) болған кезде гематогенді
жолмен инфекциялардың енуімен байланысты.
Екіншілік паранефрит бүйректің іріңді-қабыну
процесі асқыну ретінде пайда болады

5.

1.Жедел
2.Созылмалы
1. Жіті паранефрит аурудың бастапқы сатысында тән
симптомдары жоқ және дене қызуының 39-40 °С-қа
дейін жоғарылауынан, қалтырау, әлсіздіктен
басталады. Тек үш-төрт тәуліктен кейін және одан да
көп қарқындылығы әр түрлі бел аймағында ауырсыну
түрінде жергілікті белгілер пайда болады
2. Созылмалы паранефрит жиі жедел паранефриттің
нәтижесі болып табылады. Ол жиі бүйрекке
операциялық араласудан кейін (несептің
паранефральды талшыққа түсуі), бүйректің
урогематоманың салдарынан жарақаттанған
зақымдануынан кейін пайда болады

6.

Бүйрек маңына, ірің қоздырушы микроағза,
көбінесе қан арқылы, кез келген іріңдік ошағынан
түседі (баспа бездің іріңдеуі, остеомиелит ауруы,
терідегі іріңдік жаралар) т.б.

7.

Іріңдік микробтары, сонымен қатар, тоқ ішектен
және сүйектің өзінен лимфа тамырлары арқылы да
түсуі мүмкін

8.

Паранефриттің негізгі қоздырушылары
стафилококк, ішек таяқшалары болып есептеледі.
Бүйрек маңына, іріңді қоздырушы микроағза,
көбінесе қан арқылы, кез келген іріңдік ошағынан
түседі (баспа бездің іріңдеуі, остеомиелит ауруы,
терідегі іріңдік жаралар) т.б. Іріңдік микробтары,
сонымен қатар, тоқ ішектен және сүйектің өзінен
лимфа тамырлары арқылы да түсуі мүмкін.

9.

Қабыну үрдісі ісіну, іріңдікке айналу, бүйрек
майының іріңнен ыдырауы кезеңдерінен өтеді.
Ірің, іш пердесінің арты арқылы, арқа еттеріне
тарайды, оны Пти үшбұрышы мен Грюнфельдің
ромбы аудандарының бұлтиғанынан аңғаруға
болады. Сонымен қатар, ірің іш пердесінің
артындағы ұлпа тіндерді итере отырып, көкеттің
астындағы кеңістікке, одан әрі іш құрсағына
жайылып перитонит ауруын қоздыруы мүмкін.

10.

Аурудың клиникасы жедел басталады, ағзаның
жалпы улану белгілеры ерекше білінеді. Науқастың
дене температурасы қатты көтеріліп, безгек секілді
қалтырап, бей-жай болып, аяқ-қолдың бұлшық
еттері сыздап ауыра бастайды. Кейінірек осы
айтылған клиникалық белгілерге бел төңірегінде
жанға батып, сыздайтын ауру сезімі пайда болады.
Арқа еттерінің қатаюы байқалып, жамбас буыны
деңгейінде аяқ ішке қарай тартылып, бүгіліп
қалады.

11.

12.

Бел аймағының шолу рентгенограммасында
омыртқаның бел бөлігінде зақымдану жағына
қарай қисаю, анық бүгілу немесе осы жағынан бел
бұлшықетінің контуры жиегінің болмауы жиі
кездеседі. Несепағардың жоғарғы бөлімі жиі сау
жаққа жылжиды. Жедел іріңді паранефритте
құнды ақпарат ультрадыбыстық зерттеу және
компьютерлік томография береді

13.

14.

Диагнозды аурудың алғашқы кезеңдерінде анықтау
өте қиын. Бұл кезде, паранефрит ауруынан гөрі
әртүрлі жұқпалы аурулардың диагнозы қойылады.
Олардың қатарына сүзек, өкпенің қабынуы, құрт
ауруларын жатқызуға болады. Тек бел арқада қатты
қозған ауру сезімі басталғаннан кейін, белдің
қисайып сколиоз болып майысып кеткеннен кейін,
жамбас буынынан аяқ ішке қарай бүгілгенінен
кейін, бел арқаның еттері қатайып, іріңдік бар
жағының білеуленіп ісінгенінен кейін барып қана
диагноз нақты анықтала бастайды.

15.

16.

Қанның талдамасында өте жоғары деңгейде ЭТЖ,
нейтрофильді лейкоцитоз, улану белгісі бар
нейтрофилдер табылады. Зәрдің талдамасында аз да
болса ақуыздың бары анықталады. Бүйректің ауруынан
пайда болған паранефрит кезінде зәрден ақуыз да,
лейкоциттер де көптеп байқалады. Құрсақ қуысының
жалпылай түсірілген рентген суретінде арқа-бел
еттерінің контуры қалыптағыдай бұлдырап көрінеді
және сколиоз анықталады. Егер паранефрит ауруы
гематогендік түрде пайда болған болса, онда бүйректің
функциясы хромоцистоскопия және венаға контрастты
зат жіберіп жасалған урограмма кезінде өзгеріске
ұшырамайды.

17.

Дифференциалды диагностика омыртқаның
туберкулезі кезінде ағатын іріңмен, шолу
рентгенографиясында температура реакциясы
болмаған кезде бір немесе бірнеше омыртқаның
деструкциясы анықталғанда жүргізіледі.
Созылмалы паранефритте бел аймағында
пальпацияланатын тығыз, бугристое ісікті
дистопиямен, бүйрек ісігімен, гидронефрозбен
және т. б. саралау керек.

18.

Антибиотиктерді үлкен дозада пайдалану арқылы
басталады. Антибиотиктерді пайдалану,
микроағзалардың антибиотиктерге сезімталдығын
анықтау арқылы іске асырылғанша, кешенді
қолданылады. Микроағзаларға қарсы
қолданылатын дәрілердің қатарына
антибиотиктерден басқа дәрілер – нитрофурандар,
невиграмон, ағзадан ұзақ уақыт шығатын
сульфаниламидтер, трихопол дәрілері де
пайдаланылады.

19.

Антибактериальдық дәрілермен бірге АТФ, ККБ,
жүрек гликозидтері енгізіледі. Егер де қарқынды
жүргізілген емдеу тәсілдері баланың жағдайын
жақсарта алмаса, онда бүйрек айналасы жалпы
наркоз беру арқылы кең тілініп, ашылып, іріңнен
тазартылады. Бүйрек айналасындағы іріңдіктің іші
саусақпен кеңейтіліп, оған ұзынынан жартылай
тілінген 2-3 силикон түтікше қалдырылады.

20.

1. http://www.rcrz.kz/
2. https://studfile.net/preview/5778825/page:20/
English     Русский Правила