Пневмоцистная пневмония
Пневмоцистная пневмония
Цикл развития пневмоцист.
Диагностика
1.07M
Категория: МедицинаМедицина

Пневмоцистная пневмония

1. Пневмоцистная пневмония

Выполнила: студентка 5 курса
лечебного факультета
Ушакова С.Т.

2. Пневмоцистная пневмония

Пневмоцистная пневмония – это антропонозное инфекционное заболевание,
вызываемое простейшими Pneumocystisjiroveci (ранее Pn. carini), с
воздушно-капельным путем передачи, возникающее на фоне
иммунологической недостаточности и проявляющаяся слабо выраженным
инфекционно-токсическим синдромом и поражением органов дыхания –
легких и мелких бронхов с возможностью развития дыхательной
недостаточности

3.

4.

Впервые Pneumocystiscarinii описана в 1909 году и выделена в 1912 году, в те времена
возбудитель не считался патогенным для человека. Именно в 1942 году пневмоциста былы
указана как причина интерстициальной пневмонии во время вспышки у новорожденных
детей и у детей с дефектами иммунитета. С 1980 года ранее отнесенная к простейшим
пневмоциста была отнесена уже в класс, занимающий промежуточное положение между
грибами фагомицетами и высшими грибами, о чем свидетельствуют общие биохимические
свойства и морфология
Причины появления пневмоцистной пневмонии
Возбудитель болезни – среднее между простейшими и грибами Pneumocystisjiroveci по
фамилии чешского ученого Отто Йировица, впервые описавшего возбудителя легочной
формы заболевания (предыдущее название рода Pneumocystiscarinii ). Это
малопатогенный для здоровых людей возбудитель, следовательно, заболевание может
возникнуть у иммунокомпроментированных лиц. Пневмоцисты тропны исключительно к
легочной ткани, то есть основными симптомами являются симптомы поражения легких.
При размножении возбудитель выделяет различные продукты обмена, обладающие
слабыми патогенными свойствами, поэтому инфекционно-токсический синдром
(лихорадка и интоксикация) при пневмоцистной пневмонии не выражен.

5. Цикл развития пневмоцист.

Pneumocystisjiroveci(carinii) является внеклеточным
паразитом и имеет свой цикл развития, протекающий
внутри альвеолы – структурного элемента легкого.
Цикл включает 4 стадии: трофозоит, прециста, циста,
спорозоит.

6.

7.

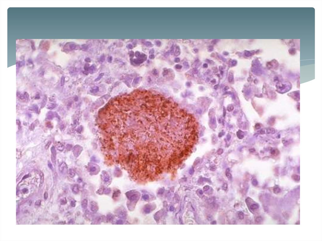
8.

Гистологическая картина пневмоцистоза также может быть
охарактеризована тремя стадиями:
В начальную стадию нет воспалительных изменений в
альвеолах, возможно выявление трофозоидов и цист.
Промежуточная стадия гистологической картины совпадает с
клиническими проявлениями и характеризуется изменениями
альвеолярного эпителия, обилия макрофагов внутри альвеол,
обнаружением большого количества цист.
Финальная стадия характеризуется развитием альвеолита,
изменением альвеолярного эпителия, интерстициональной
инфильтрацией эпителия. Обилие цист выявляется как в
просвете альвеол, так и внутри макрофагов.

9.

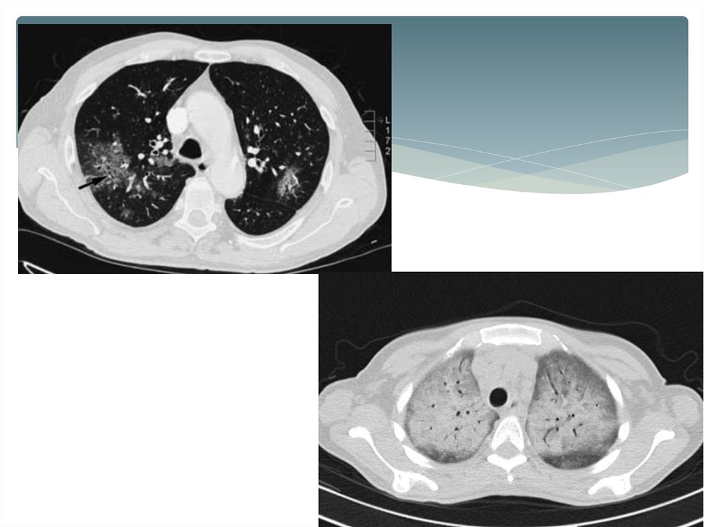
10. Диагностика

English     Русский Правила