Показатели спирографии
Рентгенологическое исследование грудной клетки
Томография легких (рентгенологическая, компьютерная)
УЗИ плевральной полости
Вентиляционно-перфузионное сканирование
Ангиография легочной артерии
Эндоскопические методы
Исследование газового состава крови
5.52M
Категория: МедицинаМедицина
Похожие презентации:

Лабораторные инструментальные и функциональные методы исследования системы органов дыхания

1.

2.

3.

4.

5.

6.

7.

8.

9.

10.

11.

12.

13.

14.

15.

16.

17.

18.

19. Показатели спирографии

• Объемные – ЖЕЛ (VC), ФЖЕЛ (FVC), ОФВ1 (FEV1)
• Скоростные – МОС25% (FEF25%), МОС50%
(FEF50%), МОС75% (FEF75%), ПСВ (PEF)
• Индекс Тиффно = ОФВ1/ЖЕЛ
• Модифицированный индекс Тиффно
= ОФВ1/ФЖЕЛ
РЕСТРИКТИВНЫЕ НАРУШЕНИЯ (снижение
объемных показателей)
ОБСТРУКТИВНЫЕ НАРУШЕНИЯ (снижение
объемных и скоростных показателей)

20.

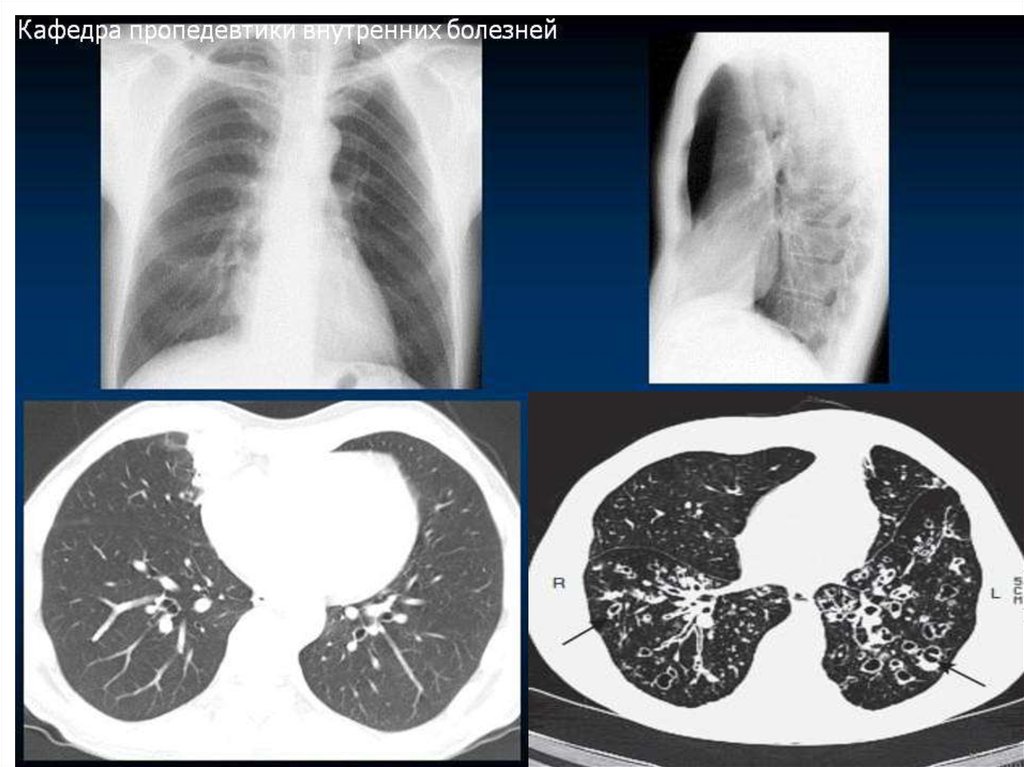
21. Рентгенологическое исследование грудной клетки

• В прямой проекции:
- состояние легочных
полей, сердца,
средостения, сосудов и
грудной клетки
• В боковой проекции:
- патология позади
сердца
- патология глубоко в
диафрагмальном синусе

22. Томография легких (рентгенологическая, компьютерная)


Локализация и размер повреждения легких
Участки кальцификации
Участки образования полостей
Определение степени и типа эмфиземы
легких
• Проводится при подозрении на рак легких
(чрескожная тонкоигольная биопсия)
• Диагностика ТЭЛА (КТ с ангиографией ЛА)

23.

24. УЗИ плевральной полости

• оценка наличия плевральной жидкости
• биопсия плевры (под контролем УЗИ) – с
гистологическим и цитологическим
исследованием материала

25. Вентиляционно-перфузионное сканирование

26. Ангиография легочной артерии

27. Эндоскопические методы

• Ларингоскопия
• Бронхоскопия

28. Исследование газового состава крови

English     Русский Правила