18.58M
Категория: БиологияБиология

Каротидные тельца. Секреторные кадриомиоциты. Телоциты

1.

2.

ТЕМЫ, КОТОРЫЕ МЫ СЕГОДНЯ РАССМОТРИМ:
01 КАРОТИДНЫЕ ТЕЛЬЦА
02 СЕКРЕТОРНЫЕ КАДРИОМИОЦИТЫ
03 ТЕЛОЦИТЫ

3.

КАРОТИДНЫЕ ТЕЛЬЦА
КАРОТИДНЫЕ ТЕЛЬЦА КАРОТИДНЫЕ ТЕЛЬЦА КАРОТИДНЫЕ ТЕЛЬЦА КАРОТИДНЫЕ ТЕЛЬЦА
КАРОТИДНЫЕ ТЕЛЬЦА КАРОТИДНЫЕ ТЕЛЬЦА КАРОТИДНЫЕ ТЕЛЬЦА КАРОТИДНЫЕ ТЕЛЬЦА
КАРОТИДНЫЕ ТЕЛЬЦА КАРОТИДНЫЕ ТЕЛЬЦА КАРОТИДНЫЕ ТЕЛЬЦА КАРОТИДНЫЕ ТЕЛЬЦА
КАРОТИДНЫЕ ТЕЛЬЦА КАРОТИДНЫЕ ТЕЛЬЦА КАРОТИДНЫЕ ТЕЛЬЦА КАРОТИДНЫЕ ТЕЛЬЦА
КАРОТИДНЫЕ ТЕЛЬЦА КАРОТИДНЫЕ ТЕЛЬЦА КАРОТИДНЫЕ ТЕЛЬЦА КАРОТИДНЫЕ ТЕЛЬЦА
КАРОТИДНЫЕ ТЕЛЬЦА КАРОТИДНЫЕ ТЕЛЬЦА КАРОТИДНЫЕ ТЕЛЬЦА КАРОТИДНЫЕ ТЕЛЬЦА
КАРОТИДНЫЕ ТЕЛЬЦА КАРОТИДНЫЕ ТЕЛЬЦА КАРОТИДНЫЕ ТЕЛЬЦА КАРОТИДНЫЕ ТЕЛЬЦА

4.

ЛОКАЛИЗАЦИЯ
КАРОТИДНЫХ ТЕЛЕЦ
Каротидное тельце - это парный орган
артериальной хеморецепции, расположенный
в задней стенке общей сонной артерии в
месте ее разделения на внутреннюю и
наружную сонную артерию.

5.

М
О
Р
Ф
О
Л
О
Г
И
Я

6.

А
Б
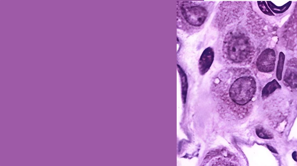
В ГЛАВНЫХ КЛЕТКАХ КАРОТИДНОГО ТЕЛЬЦА
НАХОДЯТСЯ ГРАНУЛЫ С ПЛОТНЫМ ЦЕНТРОМ,
ОКРУЖЕНЫ ПОДДЕРЖИВАЮЩИМИ КЛЕТКАМИ ТИПА
ГИАЛИНОВЫХ.
ОКРАСКА: ПАРАРОЗАНИЛИН –
ТОЛУИДИНОВЫЙ СИНИЙ.
А – МАЛОЕ ЕВЕЛИЧЕНИЕ.
Б – СРЕДНЕЕ УВЕЛИЧЕНИЕ.

7.

ФУНКЦИИ
КАРОТИДНЫХ ТЕЛЕЦ
• Реакции дыхания на изменение газового состава
крови;
• Значительная роль в апноэ новорожденных;
• Запуск кл .1 типа потенциала действия в нервных
окончаниях каротидных ветвей языкоглоточного
нерва, передающего его в ЦНС.

8.

ГИСТОЛОГИЯ
• яйцевидная форма
• крупное ядро
• множественные гранулы (пузырьки)
с плотной сердцевиной
• цитоплазматические отростки
различной длины
• клетки электрически связаны друг
с другом и с волокнами
каротидного нерва
ГЛОМЕРУЛЯРНЫХ КЛЕТОК

9.

ФУНКЦИИ
гломерулярных клеток
01Функция сенсорных хеморецепторов
02Функция модуляторов чувствительности хеморецепторов
модуляторов возбудимости терминалей афферентных
03Функция
волокон

10.

СВЯЗЬ КАРОТИДНЫХ ТЕЛ С
СИМПАТИЧЕСКОЙ НЕРВНОЙ
oхронические заболевания сердечнососудистой системы, например,
артериальная гипертензия;
oувеличение уровня глюкозы в плазме
крови;
oбыстро изменяться состояние
симпатической нервной системы;
oночное апноэ.

11.

КАРОТИДНЫЕ ТЕЛЬЦА VS АОРТАЛЬНЫЕ ТЕЛЬЦА
К
А
• чувствительны к
повышению уровня
ПдСО2 ;
• менее чувствительны,
чем каротидные ;
• расположены на
бифуркации сонной
артерии.
VS
• чувствительны к
карбоксигемоглобинемии;
• расположены в области
дуги аорты.

12.

СЕКРЕТОРНЫЕ
СЕКРЕТОРНЫЕ КАРДИОМИОЦИТЫ
КАРДИОМИОЦИТЫ

13.

ОБЩИЕ
СВЕДЕНИЯ
oСЕКРЕТОРНЫЕ КАРДИОМИОЦИТЫ это
атипичные
клетки
миокарда сердца человека.
oЛОКАЛИЗАЦИЯ: в предсердиях,
в основном правом.
oФУНКЦИЯ: эндокринная, т.е.
вырабатывают
натрийуретический фактор.

14.

ИСТОРИЯ ОТКРЫТИЯ
• Henry
J.
P:
открытие
исследованиями.
эндокринной
функции
сердца
связывают
с
• DeBold A. J. и Flynn T. G.: выявили белок, названный «кардионатрином I»
или «предсердным натрийуретическим фактором».
• Kangava K.: выделили из экстракта ткани предсердий
компонента натрийуретического фактора (α, β, γ).
человека
три
• 1988 г. - был выделен схожий с ANP натрийуретический пептид, названный
мозговым натрийуретическим пептидом
• Последующие экспериментальные работы показали, что BNP продуцируется не
только мозгом, но и кардиомиоцитами и имеет такой же рецепторный

15.

• хорошо развит
секреторный
аппарат:
01гранулярная
эндоплазматическая
02 сеть;
комплекс Гольджи;
03 многочисленные
электронно-плотные
секреторные гранулы.
МОРФОЛОГИЯ

16.

НАТРИЙУРЕТИЧЕСКИЙ
это
пептид,
содержащий
28
аминокислот
с
единственным
дисульфидным
мостиком.
ПНФ
синтезируется, главным образом, в кардиомиоцитах
предсердий,
и
хранится
в
виде
препрогормона,
состоящего из 126 аминокислотных остатков.
Основным
фактором,
регулирующим
секрецию
предсердного натрийуретического фактора, является
увеличение АД. Другие стимулы секреции — увеличение
осмолярности плазмы, повышение частоты сердцебиений,
повышенный уровень катехоламинов и глюкокортикоидов
в крови.
Основные клетки-мишени ПНФ — почки, периферические
артерии.
ФАКТОР

17.

ПНФ + рецептор –> активация G-белка –>активация
ГЦ –> синтез цГМФ из ГТФ.
цГМФ –> активирует ПК (протеинкиназа) –>
активируются натриевые и калиевые каналы, Nа-КАТФаза.
Происходит выведение Na, Н2О и реадсорбция К,
после чего в крови: повышается К, снижаются Na и
Н2О.

18.

Гладкомышечные клетки сосудов: ПНФ + рецептор –>
активация G-белка –>активация ГЦ –> синтез цГМФ –
> цГМФ активирует протеин-киназу –> ПК активирует
Са-АТФазу : выведение Са из цитоплазмы в депо –> Са
снижается в цитоплазме, клетка расслабляется,
снижается АД.

19.

ЗНАЧЕНИЕ
ПНФ
oУсиливает секрецию натрия
почками, расслабляет
гладкие миоциты стенки
артерий, подавляет
секрецию гормонов,
вызывающих гипертензию
(альдостерона и
вазопрессина).
oВсё это ведёт к
увеличению диуреза и
просвета артерий,
снижению объёма
циркулирующей жидкости и
в результате – к снижению
артериального давления

20.

ТЕЛОЦИТЫ ТЕЛОЦИТЫ ТЕЛОЦИТЫ ТЕЛОЦИТЫ ТЕЛОЦИТЫ
ТЕЛОЦИТЫ ТЕЛОЦИТЫ ТЕЛОЦИТЫ ТЕЛОЦИТЫ ТЕЛОЦИТЫ
ТЕЛОЦИТЫ ТЕЛОЦИТЫ ТЕЛОЦИТЫ ТЕЛОЦИТЫ ТЕЛОЦИТЫ
ТЕЛОЦИТЫ ТЕЛОЦИТЫ ТЕЛОЦИТЫ ТЕЛОЦИТЫ ТЕЛОЦИТЫ
ТЕЛОЦИТЫ ТЕЛОЦИТЫ ТЕЛОЦИТЫ ТЕЛОЦИТЫ ТЕЛОЦИТЫ
ТЕЛОЦИТЫ ТЕЛОЦИТЫ ТЕЛОЦИТЫ ТЕЛОЦИТЫ ТЕЛОЦИТЫ
ТЕЛОЦИТЫ ТЕЛОЦИТЫ ТЕЛОЦИТЫ ТЕЛОЦИТЫ ТЕЛОЦИТЫ
ТЕЛОЦИТЫ ТЕЛОЦИТЫ ТЕЛОЦИТЫ ТЕЛОЦИТЫ ТЕЛОЦИТЫ
ТЕЛОЦИТЫ ТЕЛОЦИТЫ ТЕЛОЦИТЫ ТЕЛОЦИТЫ ТЕЛОЦИТЫ
ТЕЛОЦИТЫ ТЕЛОЦИТЫ ТЕЛОЦИТЫ ТЕЛОЦИТЫ ТЕЛОЦИТЫ
ТЕЛОЦИТЫ ТЕЛОЦИТЫ ТЕЛОЦИТЫ ТЕЛОЦИТЫ ТЕЛОЦИТЫ
ТЕЛОЦИТЫ ТЕЛОЦИТЫ ТЕЛОЦИТЫ ТЕЛОЦИТЫ ТЕЛОЦИТЫ
ТЕЛОЦИТЫ ТЕЛОЦИТЫ ТЕЛОЦИТЫ ТЕЛОЦИТЫ ТЕЛОЦИТЫ
ТЕЛОЦИТЫ ТЕЛОЦИТЫ ТЕЛОЦИТЫ ТЕЛОЦИТЫ ТЕЛОЦИТЫ
ТЕЛОЦИТЫ ТЕЛОЦИТЫ ТЕЛОЦИТЫ ТЕЛОЦИТЫ ТЕЛОЦИТЫ
ТЕЛОЦИТЫ ТЕЛОЦИТЫ ТЕЛОЦИТЫ ТЕЛОЦИТЫ ТЕЛОЦИТЫ
ТЕЛОЦИТЫ

21.

МОРФОЛОГИЯ
• маленькая клетка овальной формы:
o ядро, окруженное небольшим количеством цитоплазмы
o ветвящимися отростками, нередко образующими трехмерную сеть
o митохондрий, небольшой комплекс Гольджи, элементы
гранулярного и агранулярного эндоплазматического ретикулума

22.

ОСНОВНЫЕ ПРИЗНАКИ
01 Количество
02 Толщина
03 Длина
04 Ветвление
05 Организация в сеть

23.

• Телоподия —
специфическая черта
Тц, отличающая их от
других клеток:
нейронов,
антигенпрезентирующих
дендритных клеток,
фибробластов и
миофибробластов.
Схематическое
изображение
телоцитов
с
телоподиями
(синий
цвет).
(рисунок
составлен
на
основе
электронограмм).
Тц

телоцит; Тп — телоподия; П —
подом; КМЦ — кардиомиоцит; Ск
— стволовая клетка.

24.

ИДЕНТИФИКАЦИЯ ТЦ В ТКАНЯХ
• На разных этапах изучения Тц установление их
роли являлось предметом дискуссий.
• На
данный
момент
выделяют
ряд
функций
телоцитов:
oреализациЯ межклеточных коммуникаций;
oмеханическая опора;
oучаствуют в тканевом гомеостазе;
oпричастны к тканевой репарации/регенерации;
oпотенциальные стимуляторы ангиогенеза.

25.

РОЛЬ ТЕЛОЦИТОВ В СЕРДЦЕ
• участвуют в межклеточной сигнализации
• образуют «атипичные» контакты
• имеют прямые наноконтакты со
шванновскими клетками, эндотелиальными
клетками и перицитами, макрофагами,
тучными клетками, фибробластами,
стволовыми клетками, клеткамипредшественниками и КМЦ
• способны формировать особые точечные
соединения
• могут влиять на скорость и ритмичность
генерации импульса в миокарде
• Тц играют ключевую роль в сердечной
регенерации и, вероятно, в сердечной
репарации
• «обеспечивают» необходимым кардиальные
предшественники и тем самым вносят
значительный вклад в сердечное
обновление и восстановление при
патологии

26.

СПАСИБО ЗА ВНИМАНИЕ!
English     Русский Правила