Нормальная гистология головного мозга
Микроглия
Астроциты
Эпендима
Олигодендроглия
Cerebellum
Мальформации головного мозга (ГМ)
Мальформация Арнольда-Киари
Анэнцефалия (40 недель)
Анэнцефалия (19 недель)
Экзэнцефалия
Гидроцефалия (21 неделя)
Гидроцефалия
Энцефалоцеле
Артериовенозные мальформации
Церебральная кавернозная венозная мальформация (кавернозная гемангиома)
Капиллярная телеангиэктазия
Артериовенозные фистулы
Спасибо за внимание!
14.72M
Категория: МедицинаМедицина

Нормальная гистология головного мозга

1. Нормальная гистология головного мозга

Барановская Вера

2.

Otto F K. Deiters, 1865.
Jan E. Purkinje, 1837.

3.

http://droualb.faculty.mjc.edu/Lecture%20Notes/Unit%205/chapter_15_the_brain%20Spring%2007with%20figures.htm

4.

5.

6.

7.

Cui, D. (2011). Atlas of histology. 1st ed. Philadelphia: Wolters Kluwer Health/Lippincott Williams & Wilkins.

8. Микроглия

9. Астроциты

GFAP

10. Эпендима

http://missinglink.ucsf.edu/lm/introductionneuropathology/response%20_to_injury/EpendymalCells.htm

11. Олигодендроглия

2 - https://commons.wikimedia.org/wiki/File:Oligodendrocyte_HE_stain_high_mag.jpg

12.

13.

http://droualb.faculty.mjc.edu/Lecture%20Notes/Unit%205/chapter_15_the_brain%20Spring%2007with%20figures.htm

14.

Cui, D. (2011). Atlas of histology. 1st ed. Philadelphia: Wolters Kluwer Health/Lippincott Williams & Wilkins.

15.

https://medicine.stonybrookmedicine.edu/pathology/neuropathology/chapter1

16.

https://medicine.stonybrookmedicine.edu/sbumcfiles/images/223-002.JPG

17.

https://www.lfp.cuni.cz/histologie/Preparaty/preparaty2E.php?SYSTEM=Nervoustissue&PREPARAT=11

18.

19.

20.

21.

http://histology.medicine.umich.edu/sites/default/files/cerebrumTB%26E.jpg

22. Cerebellum

https://hiveminer.com/Tags/cerebellum,macro/Interesting

23.

https://hiveminer.com/Tags/cerebellum,macro/Interesting

24.

25.

26.

27.

http://clinicalgate.com/wp-content/uploads/2015/03/B9780323045704000111_gr1.jpg

28.

29.

Ретикулярная формация ствола головного мозга; гематоксилин + эозин

30. Мальформации головного мозга (ГМ)

31.

32. Мальформация Арнольда-Киари

https://commons.wikimedia.org/wiki/File:Chiari2.jpg?uselang=ru

33.

34.

35. Анэнцефалия (40 недель)

http://www.humpath.com/spip.php?article3410

36. Анэнцефалия (19 недель)

http://www.humpath.com/spip.php?article3410

37. Экзэнцефалия

38. Гидроцефалия (21 неделя)

39. Гидроцефалия

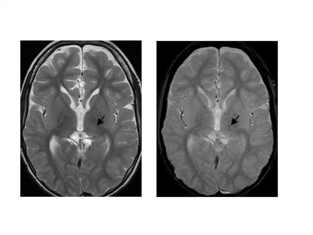
40. Энцефалоцеле

41.

42.

43. Артериовенозные мальформации

• Наблюдаются у 4% популяции, но
только у 12% наблюдаются клинические
проявления
• 38-70% манифестируют в виде
кровоизлияний
• Другие симптомы: обмороки, головная
боль, эпилепсия, неврологический
дефицит

44.

45.

46. Церебральная кавернозная венозная мальформация (кавернозная гемангиома)


48 – 86% - в полушариях
5 – 13% сосудистых мальформаций ЦНС
Манифестирует в 40-60 лет
Клиническая картина: обмороки (60%),
неврологический дефицит (50%),
кровоизлияния (20%), гидроцефалия
(50%)

47.

48.

49.

50. Капиллярная телеангиэктазия

• 20% сосудистых мальформаций ГМ,
обнаруженных на аутопсиях
• Локализация: мост, мозжечок, спинной
мозг

51.

52.

53. Артериовенозные фистулы

• Дуральная артериовенозная
мальформация
• Кавернозно-каротидная
фистула
• Мальформация вены Галена

54.

http://snc.md/cavernous-malformation-cavernoma/

55. Спасибо за внимание!

English     Русский Правила