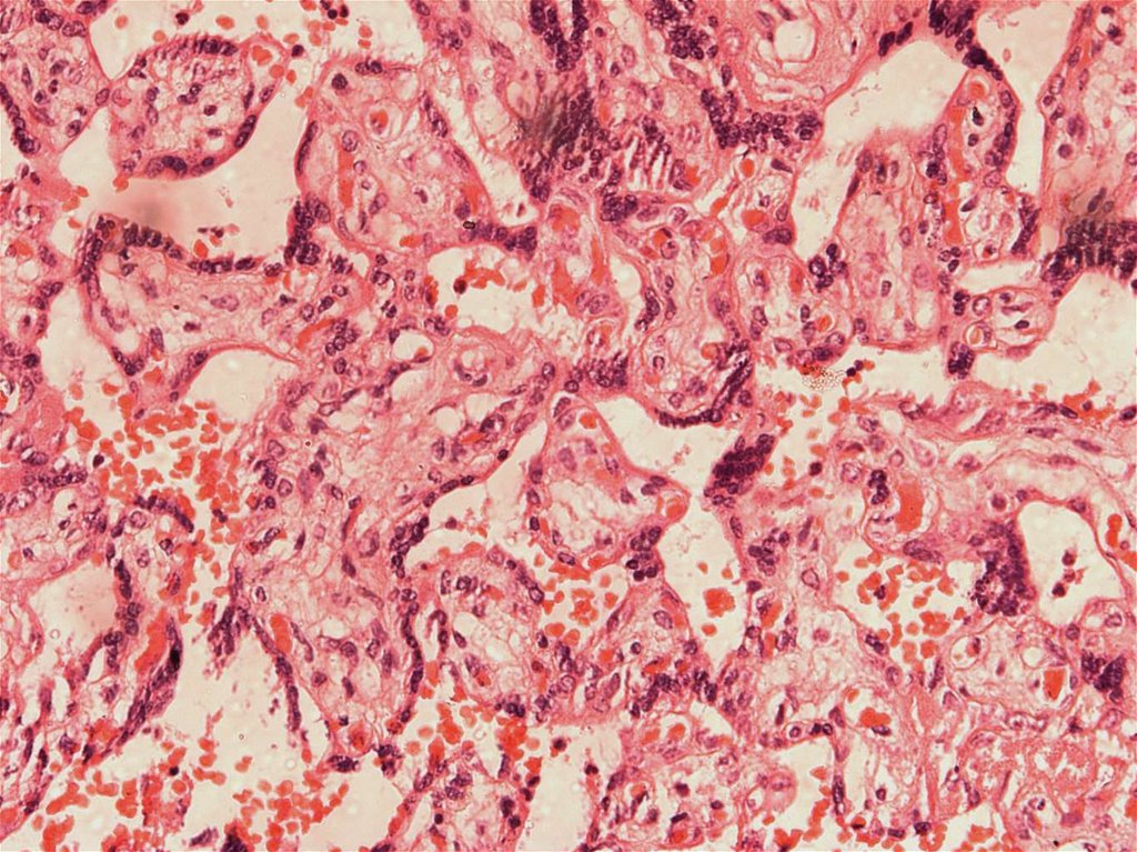
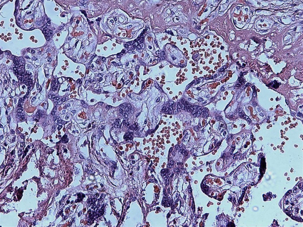
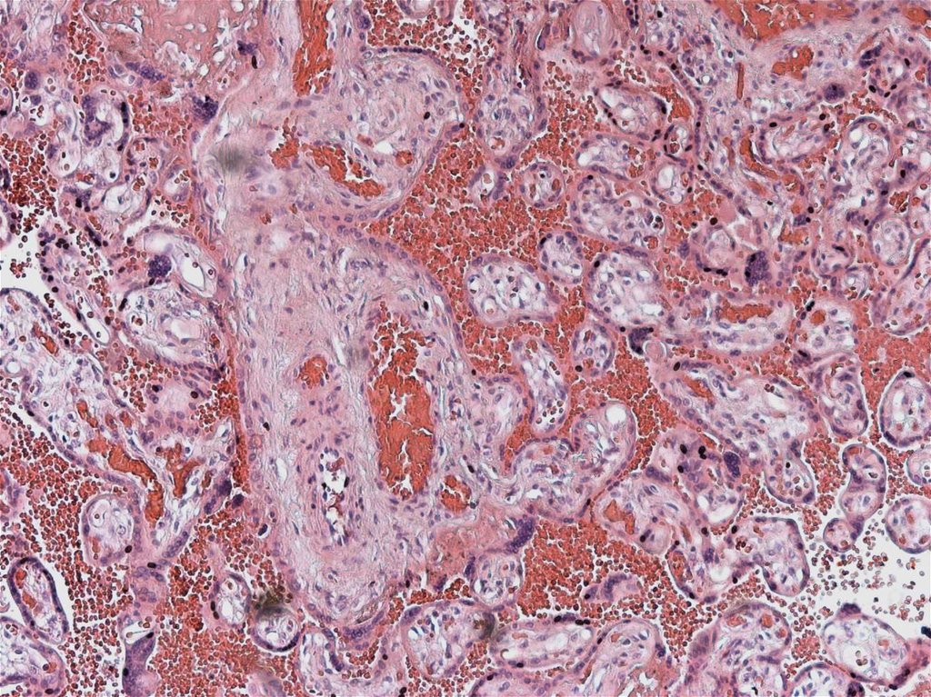
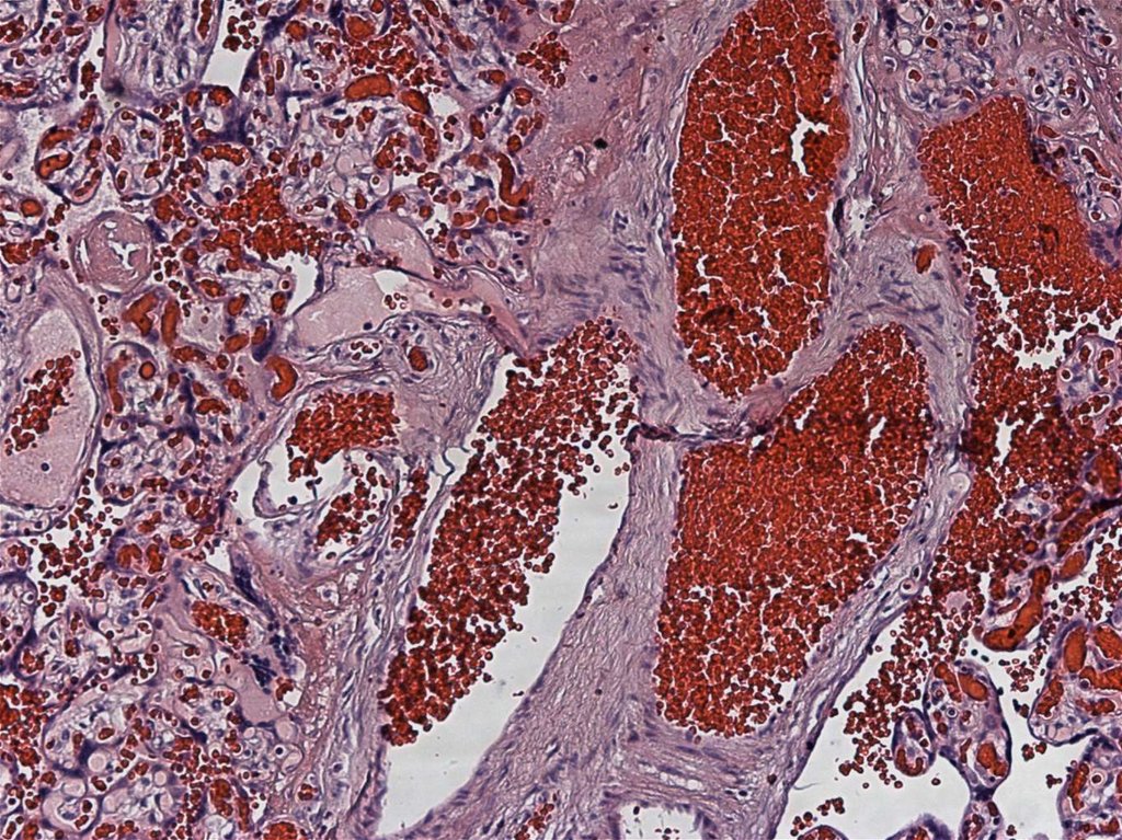
Клинико-морфологические особенности ПОНРП
Клинико-морфологические особенности ПОНРП
Клинико-морфологические особенности ПОНРП
Плацентарная недостаточность:
38.92M
Категория: МедицинаМедицина

Клинико-морфологические особенности ПОНРП

1. Клинико-морфологические особенности ПОНРП

Романчикова А.В. VI курс , Сафонова А.А. V курс
Научный руководитель- к.м.н. М.О. Александрова

2. Клинико-морфологические особенности ПОНРП

Романчикова А.В. VI курс , Сафонова А.А. V курс
Научный руководитель- к.м.н. М.О. Александрова

3. Клинико-морфологические особенности ПОНРП

Романчикова А.В. VI курс , Сафонова А.А. V курс
Научный руководитель- к.м.н. М.О. Александрова

4. Плацентарная недостаточность:

болезни матери
гипоксические и трофические нарушения развития плода
гестационная последовательность (первичная, вторичная)
давность существования( хроническая,острая)
степень выраженности компенсаторноприспособительных реакций (декомпенсированная,
субкомпенсированная и компенсированная)

5.

доношенные
недоношенные
1
5
6
19
С ГИПОТРОФИЕЙ
С НОРМАЛЬНОЙ МАССОЙ ТЕЛА

6.

0,25
0,2
0,20
0,15
0,16
0,1
0,05
0
Доношенные
Недоношенные
English     Русский Правила