МОСКОВСКИЙ ГОСУДАРСТВЕННЫЙ МЕДИКО-СТОМАТОЛОГИЧЕСКИЙ УНИВЕРСИТЕТ ИМ. А.И. ЕВДОКИМОВА КАФЕДРА ЧЕЛЮСТНО-ЛИЦЕВОЙ И ПЛАСТИЧЕСКОЙ
Этапы лечения
Прехирургический ортодонтический этап
Осмотр полости рта
Мезиальная окклюзия, сужение верхнего зубного ряда
Состояние прикуса и аппарат Норда для быстрого расширения верхней челюсти.
6.45M
Категория: МедицинаМедицина

Врожденные дефекты и деформации челюстей

1. МОСКОВСКИЙ ГОСУДАРСТВЕННЫЙ МЕДИКО-СТОМАТОЛОГИЧЕСКИЙ УНИВЕРСИТЕТ ИМ. А.И. ЕВДОКИМОВА КАФЕДРА ЧЕЛЮСТНО-ЛИЦЕВОЙ И ПЛАСТИЧЕСКОЙ

МОСКОВСКИЙ ГОСУДАРСТВЕННЫЙ МЕДИКОСТОМАТОЛОГИЧЕСКИЙ УНИВЕРСИТЕТ
ИМ. А.И. ЕВДОКИМОВА
КАФЕДРА ЧЕЛЮСТНО-ЛИЦЕВОЙ И
ПЛАСТИЧЕСКОЙ ХИРУРГИИ
Зав. кафедрой д.м.н. проф. Дробышев А.Ю.
ВРОЖДЕННЫЕ ДЕФЕКТЫ И
ДЕФОРМАЦИИ ЧЕЛЮСТЕЙ
Для стоматологического факультета

2.

Цель занятия:
научиться диагностировать дефекты, деформации
и аномалии развития челюстей;
ознакомиться с методами обследования больных с
врожденными и приобретенными дефектами и
деформациями нижней челюсти;
ознакомиться с методами обследования больных с
врожденными и приобретенными дефектами и
деформациями нижней челюсти ;
научиться определять показания к оперативному
лечению дефектов, деформаций и аномалий развития
нижней челюсти;

3.

Вопросы для повторения
1.Анатомия нижней челюсти;
2.Иннервация, кровоснабжение, функция нижней
челюсти;
3.Эмбриогенез и развитие челюстного-лицевого
скелета;
4.Формирование прикуса, виды
физиологического и патологического прикусов;

4.

Основные цели лечения врожденных
деформаций челюстей
Функция
Нормальное жевание, речь,
зрения и дыхание
Эстетика
Гармония лица
Стабильность
Предотвращение рецидивов
Сокращение
сроков лечения
Обеспечение наиболее
эффективного лечения в
минимально короткие сроки

5.

Различаются следующие основные виды
нарушений, могущие иметь между собой
различные сочетания:
1) верхняя макрогнатия (гиперплазия—чрезмерное развитие
верхней челюсти);
2) нижняя макрогнатия (гиперплазия— чрезмерное развитие
нижней челюсти);
3) увеличение обеих челюстей;
4) верхняя микрогнатия (гипоплазия — недоразвитие верхней
челюсти);
5) нижняя микрогнатия (гипоплазия — недоразвитие нижней
челюсти);
6) уменьшение обеих челюстей.
Кроме них выделяют аномалии, связанные с нарушением
положения челюсти относительно основания черепа, — прогнатию
и ретрогнатию.

6.

классификация деформаций челюстей разработанная В.И. Гунько
(1986) на основании клинико-рентгенологических проявлений
деформации
• Макрогнатия (верхняя, нижняя, симметричная,
несимметричная, различных отделов или всей
челюсти)
• Микрогнатия (верхняя, нижняя, симметричная,
несимметричная, различных отделов или всей
челюсти)
• Прогнатия (верхняя, нижняя)
• Ретрогнатия (верхняя, нижняя)

7.

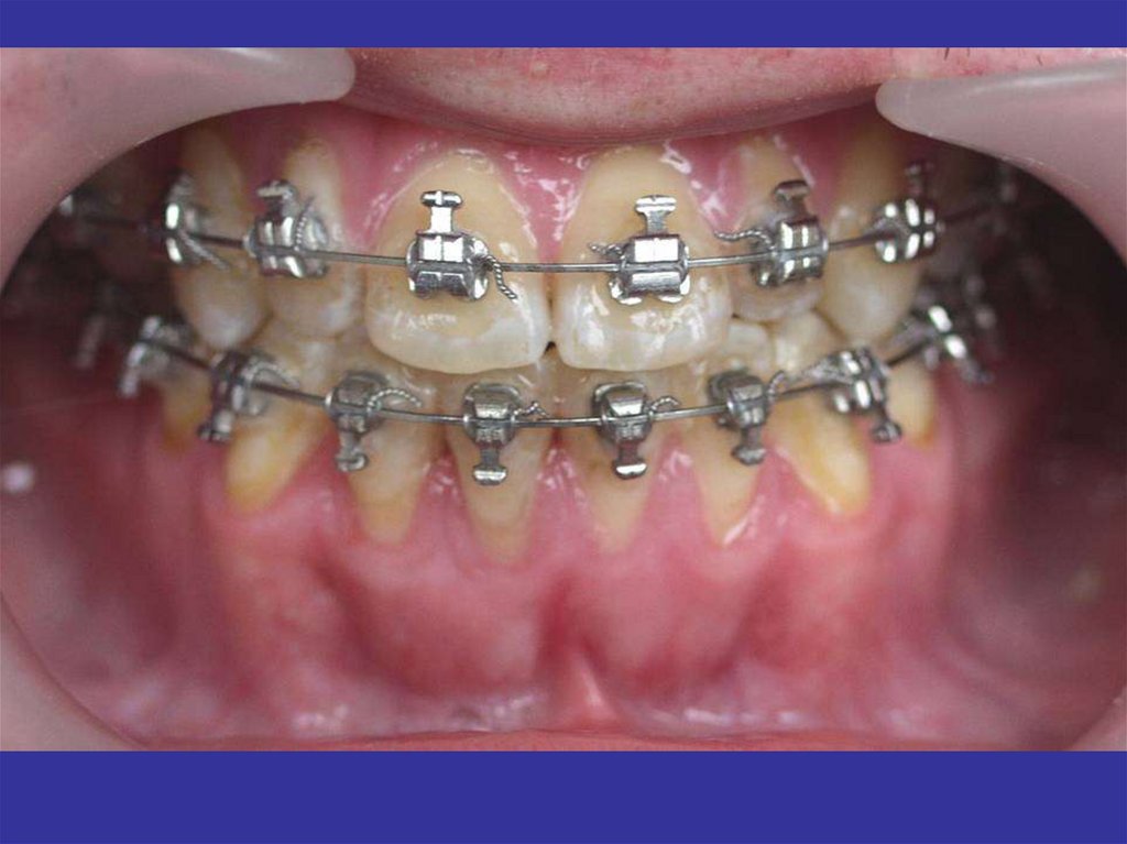
Планирование и
подготовка к
оперативному лечению

8.

Хирургическое лечение целесообразно
осуществлять у людей не моложе 16 лет, так
как к этому периоду жизни уже в основном
формирование костей лицевого скелета и
мягких тканей уже заканчивается. К тому же
большое число зубочелюстных деформаций в
детстве обусловлено диспропорциями роста и
развития зубочелюстной системы. К возрасту
16—18 лет часто происходит саморегуляция
прикуса.
полное cоединение эпифиза
и диафиза лучевой кости
Полная оссификация всех костей
кисти, скелетный рост завершен

9.

Обследование и предоперционная подготовка
пациентов с врожденными деформациями челюстей.
•Клиническое обследование
•Оценка психологического статуса
•Анализ фотографий лица
•Антропометрический анализ гипсовых моделей
челюстей
•Анализ телерентгенограмм головы
•Томография ВНЧС
•Магниторезонансная томография ВНЧС

10.

Клиническое обследование Для клиницистов очень важно
определить показания к ортодонтическому или хирургическому
лечению, а также к возможному их сочетанию, при этом необходимо
тщательное обследование пациентов и совместная работа
ортодонтов и хирургов.
Анализ фотографий лица Клиническая фотография
является неотъемлемой частью ортогнатической диагностики.
Она должна быть стандартизированной и очень высокого
качества. Изготавливают фото лица в покое и с улыбкой,.в три
четверти слева и справа, в профиль слева и справа
Если есть дополнительные деформации, например искривление
спинки носа, делают фотографию в теменно-подбородочной
проекции. При деформациях верхнего или нижнего зубных рядов
делают соответствующие дополнительные фотографии.

11.

Оценка психологического статуса
Анализ данных обследования позволил выявить у
пациентов пограничные психические нарушения
различной степени выраженности. Отмечено, что эти
нарушения были полиморфны. С учетом
преобладающих психических расстройств, данные
авторы выделили следующие ведущие
психопатологические нарушения:
1 - астено-невротический синдром (20%);
2 - тревожно-депрессивный синдром (35%);
3 - ипохондрический синдром (30%);
4 - психоорганический синдром (15%).

12.

Антропометрический анализ и анализ телерентгенограмм
головы
Телерентгенограмма (ТРГ) в прямой проекции
позволяет диагностировать аномалии зубочелюстной
системы в трансверсальном направлении.
ТРГ в боковой проекции - в сагиттальном и
трансверсальном направлениях.
На ТРГ отображаются кости лицевого и мозгового черепа и контуры
мягких тканей, что дает возможность изучить их взаимоотношения
С помощью ТРГ возможно определить:
- положение челюстей,
прогнатию, ретрогнатию,
- макро и
микрогнатию,
- взаимоотношение
челюстей,
- вертикальные изменения,
- направление окклюзионной
плоскости,
- взаимоотношение мягких
тканей лица и челюстных
костей.

13.

Телерентгенограмма головы,
выполненная в боковой
проекции. Компьютерный
анализ ТРГ

14.

Антропометрический
анализ контура
мягких тканей лица.

15.

При необходимости проводится обследование
ВНЧС которое может включать томографию
ВНЧС и\ или магниторезонансную
томография ВНЧС, аксиографию

16.

Планирование лечения
Ранее применявшиеся способы
прогнозирование тех изменениях,
которые произойдут с мягкими и
твердыми тканями после
определенных хирургических
перемещений с помощью
склеивания фотографий пациента
уступило место компьютерному
планированию
В настоящее время имеется
огромное количество различных
компьютерных имиджинговых
программ («Dolphin Imaging»,
«DigiPlan» и т.д.). Они во многом
облегчают сбор и обработку
диагностических данных, а также
планирование манипуляций для
получения желаемых скелетных и
мягкотканых изменений

17. Этапы лечения

1. прехирургический ортодонтический этап
2. хирургический этап
3. постхирургический ортодонтический этап

18. Прехирургический ортодонтический этап

• нормализация положения зубов
• нормализация наклона зубов
• выравнивание окклюзионной кривой
• координация размеров верхнего и
нижнего зубных рядов

19.

Задачи прехирургического
ортодонтического лечения
формулируют на
основании результатов
клинического
обследования, анализа
гипсовых моделей
челюстей и
цефалометрического
анализа.
Основной задачей этой фазы
ортодонтического лечения
является выравнивание
положения зубов по отношению к
основанию челюсти, сохраняя
пространственные соотношения.

20.

Диагностические модели и хирургия моделей.
Лицевая дуга.
При первичной консультации пациента у хирурга по поводу челюстно-лицевой
деформации после полного клинического обследования отливают
диагностические модели челюстей и изготавливают прикусной шаблон. Это
необходимо для планирования лечения и с помощью лицевой дуги переносят
модели в артикулятор.
При двучелюстных операциях необходимо изготовить две пары моделей. После
того как модели зафиксированы в артикуляторе в правильном положении
(согласно цефалометрическому анализу), изготавливают окклюзионные сплинты
из акриловой пластмассы.

21.

При одночелюстной хирургии
изготавливают только один, так
называемый «окончательный»
сплинт.
Если планируется двучелюстная
операция, изготавливают два
сплинта.
Первый называется
«промежуточный» и служит для
ориентации верхней челюсти после
остеотомии по отношению к
целостной нижней челюсти .
«Окончательный» сплинт
изготавливается после
перемещения сегментов верхней и
нижней челюсти в артикуляторе.

22.

Оперативные
вмешательства на нижней
челюсти
Можно выделить две большие группы
•Операции в области тела нижнней челюсти
•Операции в области ветви нижней челюсти

23.

Оперативные вмешательства в
пределах тела нижней челюсти
Цель оперативных вмешательств в этой
области –устранение деформации,
выражающейся в изменениях размеров
тела нижней челюсти
Операции в пределах зубного ряда
и подбородочном отделе

24.

Эта операция показана при
особых ситуациях, например при
открытом прикусе с прогнатией,
но стабильным соотношением
моляров по I Классу.
Здесь показана сагиттальная
остеотомия тела нижней
челюсти, предложенная Delaire и
Joos
Остеотомия тела нижней
челюсти по Delaire-Joos

25.

Вертикальная остеотомия с
клиновидной резекцией альвеолярного
отростка в пределах зубного ряда при
устранении открытого прикуса. по
Лимбергу
Горизонтальная остеотомия тела
нижней челюсти при выраженной
микрогнатии. Сопровождается
остеопластикой
К недостаткам операций в пределах зубного ряда можно отнести необходимость
удаления 2-4 зубов в ходе операции , возможность повреждения сосудистонервного пучка нижней челюсти. Смещение фронтального отдела кзади
сопровождается выраженным увеличением объема мягких тканей в щечных и
подчелюстных областях, что вызывает нарушения эстетических пропорций лица.
Не решаются проблемы неправильной формы лица. Из за сложности удержания
фрагментов возникают условия развития рецидивов и вторичных деформаций.
Инфицирование содержимым полости рта.

26.

Субапикальная остеотомия обычно
выполняется для коррекции
открытого прикуса, когда верхняя
челюсть находится в правильном
положении, и для коррекции нижней
прогнатии, когда боковые зубы
находятся в правильном
соотношении. Эти случаи
встречаются достаточно редко. Для
этой операции обычно удаляют
премоляры и выполняют остеотомию,
соблюдая осторожность, чтобы не
повредить подбородочный нерв и
верхушки корней фронтальных зубов

27.

Гениопластика
Это универсальная операция для коррекции вогнутого
или выпуклого профиля, латерогении и т.п. Выделяют
два вида гениопластики: остеопластика и
аллопластика.
Остеопластика выполняется внутриротовым
доступом через вестибулярный разрез и заключается в
остеотомии подбородка.
Аллопластика предполагает имплантацию костной
ткани и обычно выполняется внеротовым доступом
через субментальный разрез, чтобы избежать
микробной контаминации флорой полости рта.

28.

Существует большое
количество вариантов
проведения
остеотомии в
зависимости от
направления и
величины требуемых
перемещений .
Результаты
гениопластики
обычно
предсказуемы
и достаточно
впечетляющи.

29.

30.

Оперативные вмешательства на ветви
нижней челюсти.
Суть всех операций в этой области- рассечение ветви
челюсти на разных уровнях так, что бы сосудистонервный пучок был сохранен и находился на
большем фрагменте. В дальнейшем производится
перемещение зубосодержащего фрагмента в
необходимое положение.
Остеотомия ветви производится
•горизонтальная,
•вертикальная,
• межкортикальная
•ступенчатая.

31.

Горизонтальная остеотомия ветви
нижней челюсти
Ступенчатая остеотомия

32.

Вертикальная
остеотомия ветви
нижней челюсти
(IVRO)
Эта операция была разработана для
коррекции нижней прогнатии и в
некоторых случаях - латерогнатии,
когда с одной стороны требуется
ротация нижней челюсти или ее
смещение кзади. Вначале эта
операция проводилась внеротовым
доступом (субмандибулярно по
Risdon или ретромандибулярно по
Hinds). Затем с
усовершенствованием
хирургической техники и
инструментов был разработан
внтуриротовой доступ. Это
позволило избежать неэстетичных
рубцов и потенциального
повреждения лицевого нерва

33.

К достоинствам косой скользящей и
вертикальной остеотомии относятся:
•относительная легкость оперативной техники;
•широкий и тесный контакт между фрагментами,
обеспечивающий быструю консолидацию их;
• сохранение сосудисто-нервного пучка; сохранение всех
зубов, что позволяет наилучшим образом восстановить
жевательную функцию;
•получение хороших косметических результатов,
выражающихся в улучшении профиля лица, формировании
правильных контуров нижнечелюстных углов.
При сочетании прогнатии нижней челюсти с открытым
прикусом происходит удлинение ветвей челюсти

34.

Вертикальная остеотомия ветвей
нижней челюсти

35.

Косая скользящая остеотомия
ветвей н\ч в различных
модификациях
Robinson (1958), Hinds (1958),
Alling (1961) Васильев (1965)

36.

Обратная « L » остеотомия
Эта процедура была разработана
для перемещения нижней челюсти
вперед на большие расстояния,
для увеличенного межкостного
контакта и для фиксации костных
трансплантатов между сегментами.
Изначально она использовалась
для коррекции очень выраженной
нижней ретрогнатии, например при
краниофациальной микросомии.
Операция выполняется
внеротовым суб- или
ретромандибулярным доступом
Горизонтальный разрез должен быть параллелен предполагаемым
изменениям окклюзионной плоскости, если они планируются. После
выдвижения челюсти и межчелюстной фиксации в промежуток между
сегментами помещают костный трансплантат. Эта операция имеет скорее
историческое, чем практическое значение из-за ограниченных показаний и
увеличения процента осложнений, связанных с необходимостью в костной
трансплантации и внеротовым доступом.

37.

Межкортикальная остетомия
(бикортикальная сагиттальная
сплинтостеотомия ветви, BSSO)

38.

Схема поверхностной
межкортикальной
остеотомии ветвей н\ч по
методу Кац с соавт.
1
2
Межкортикальная остеотомия
в нижнего отдела ветви
челюсти по методу
Митрофановы и Рудько(1) и
Сукачева и Гунько(2)
Сагитальная
ретромалярная
остеотомия н\ч по Dal
Pont

39.

Межкортикальной
остеотомии нижней
челюсти на данный
момент является
самой эффективной,
но и самой сложной в
исполнении
операцией.

40.

41.

Ортопантомограммы и телерентгенограммы до
операции (слева) и после операции (справа)

42.

Исправление не
симметричных
деформаций
донижней челюсти
после

43.

44.

Операции на верхней челюсти
Остеотомия верхней челюсти проводится для
коррекции различных краниофациаль-ных и
дентофациальных деформаций: в сагиттальной,
трансверсальной и вертикальной плоскостях и
асимметрии. Условно проводимые операции
можно разделить на группы как LeFort I, II, III
так как в большинстве случаев линии
остеотомии проходят в областях типичных для
переломов

45.

Схема остеотомии верхней
челюсти по LeFort 1,
демонстрирующая разные
возможности перемещений при
этой операции
Наиболее часто проводится
остеотомия по линии LeFort I.
Эта операция наиболее «легкая»
в исполнении, но дает
минимальный косметический
эффект .
Обычно они выполняются с
одним или несколькими
сегментами в зависимости от
того, сопровождаются ли
сагиттальная и вертикальная
аномалии нарушениями в
трансверсальной плоскости.
Операция выполняется под
носо-трахеальной интубацией.
Это необходимо для того, чтобы
во время операции можно было
свободно

46.

Схема, демонстрирующая
положение остеотома при
птеригомаксиллярной
остеотомии
С наибольшей осторожностью
разъединяют
птеригомаксиллярный шов.
Манипуляция проводится
закругленным 10 мм остеотомом,
который направляют кзади, чтобы
предотвратить перелом отростков
клиновидной кости и
возникновение серьезных
осложнений, например
образование каротиднокавернозного свища,
цереброспинальной ликворреи и
даже слепоты

47.

Комбинированная остеотомия
верхней челюсти по методу Bell
McBride
Остеотомия В/Ч с костной
пластикой за буграми по методу
Obwegesr
Остеотомия фронтального отдела
альвеолярного отростка верхней
челюсти по методу Семенчено
Остеотомия В/Ч с костной
пластикой за буграми по
методу по Безрукову

48.

49.

Схема носо-орбитоверхнечелюстной
(пирамидальной )
остеотомии по Converse
Эта операция разработана для коррекции гипоплазии
средней и центральной части лица, когда помимо скелетной
деформации Класса III имеется выраженная гипоплазия носа,
но с нормальным развитием скуловой области. Линия
остеотомии проходит по линии LeFort 2. Операция выполняется
несколькими внутри- и внеротовыми доступами.

50.

Помимо необходимости в
нескольких доступах для
стабилизации сегментов и
закрытия
межфрагментарных
промежутков необходима
костная трансплантация.
Эта операция имеет
ограниченные показания.

51.

Быстрое небное расширение
В тех случаях, когда трансверсальное недоразвитие верхней
челюсти более 5 мм (в области верхних премоляров), рекомендуется
хирургическое быстрое небное расширение. Оно обычно
выполняется у пациентов, краниофациальный рост которых
практически или полностью завершен.
В этих случаях ортодонтическое расширение верхней
челюсти не позволяет провести перемещение и раскрытие небного
шва, а вызывает наклон верхних зубов с последующим рецидивом
после снятия ортодонтической аппаратуры.
Операция достаточно проста в исполнении. Она проводится
вестибулярным доступом, иногда в сочетании с небным. Этапы
операции такие же, как и при остеотомии по LeFort 1, за
исключением того, что линия остеотомии проходит по срединному
небному шву, при этом отделения верхней челюсти не проводят

52.

Схема операции
и аппарат Норда
фиксированный в
полости рта. На
R-грамме
аппарат
активирован.

53.

Устранение
несимметричных
деформации
челюстей

54.

55.

Силиконовые
позиционеры
используются в
послеоперационном
периоде для
стабилизации прикуса

56.

Постхирургический ортодонтический этап
Разобщение
зубных рядов на
толщину сплинта
Нормализация
окклюзии
(продолжение
ортодонтического
лечения)

57.

Клинические случаи

58.

Несимметричная
деформация верхней и
нижней челюсти

59.

Состояние после клиновидного
иссечения на верхней челюсти
слева и межкортикальной
остеотомией нижней челюсти с
ротацией и постановкой в прикус

60.

Макрогнатия нижней
челюсти

61.

62.

До лечения
После лечения

63.

До лечения
После лечения

64.

СИТУАЦИОННЫЕ ЗАДАЧ И
ВОПРОСЫ ДЛЯ
САМОКОНТРОЛЯ

65.

КАКОЙ ВИД ДЕФОРМАЦИИ НИЖНЕЙ ЧЕЛЮСТИ ПРЕДСТАВЛЕН НА
ДАННОЙ РЕНТГЕНОГРАММЕ
1.недоразвитие нижней челюсти
2.чрезмерное развитие нижней челюсти
3.без патологии
4.фиброзная дисплазия нижней челюсти
5.перелом нижней челюсти

66.

МЕТОД ИССЛЕДОВАНИЯ, ПРЕДСТАВЛЕННЫЙ ДЛЯ
ОРТОДОНТИЧЕСКИХ РАСЧЕТОВ
1.ортопантомограмма
2.телерентгенограмма
3.панорама нижней челюсти
4.компьютерная томография
5.магнито-резонансная томография

67.

ОСТЕОТОМИЯ
НИЖНЕЙ ЧЕЛЮСТИ
ПРОИЗВЕДЕНА ПО
АВТОРУ
1.Обвегейзеру
2.Рудько
3.Карапетяну
4.Евдокимову
5.Седилло

68.

ОСТЕОТОМИЯ НИЖНЕЙ
ЧЕЛЮСТИ ПРОИЗВЕДЕНА
ПО
1.Обвегейзеру
2.Дель-Понту
3.Рудько
4.Карапетяну
5.Макиенко

69.

ВИД ОСТЕОТОМИИ ВЕРХНЕЙ ЧЕЛЮСТИ
ВО ФРОНТАЛЬНОМ ОТДЕЛЕ
1.Обвегейзеру
2.Ле Фор 2
3.Сегментарный
4.Дель-Понту
5.Ле Фор 3

70.

РАСЧЕТЫ СМЕЩЕНИЯ ЧЕЛЮСТЕЙ ПРИ ИХ ОСТЕОТОМИИ ВЕДУТ ПО
1) ортопантомограмме
2) телерентгенограмме
3) компьютерной томограмме
4) панорамной рентгенограмме
5) обзорной рентгенограмме костей лица

71.

ТЕРМИН «НИЖНЯЯ МАКРОГНАТИЯ» ОПРЕДЕЛЯЕТ
НИЖНЮЮ ЧЕЛЮСТЬ
1) недоразвитой
2) несимметричной
3) смещенной кзади
4) чрезмерно развитой
5) смещенной кпереди

72.

ТЕРМИН «НИЖНЯЯ РЕТРОГНАТИЯ» ОПРЕДЕЛЯЕТ
НИЖНЮЮ ЧЕЛЮСТЬ
1) недоразвитой
2) несимметричной
3) смещенной кзади
4) чрезмерно развитой
5) смещенной кпереди

73.

НИЖНЯЯ ТРЕТЬ ЛИЦА У БОЛЬНЫХ С НИЖНЕЙ
МИКРОГНАТИЕЙ
1) деформирована
2) уменьшена
3) увеличена
4) несимметрична
5) не изменена

74.

ОСНОВНЫЕ ЖАЛОБЫ ПРИ НИЖНЕЙ МАКРОГНАТИИ
1) увеличение языка
2) косметический дефект, невнятная речь
3) увеличение языка, затрудненное жевание
4) косметический дефект, затрудненное жевание
5) косметический дефект, затрудненное откусывание

75.

ПРИЧИНЫ РАЗВИТИЯ РЕЦИДИВА ПРИ ЛЮБОМ ВИДЕ
ОСТЕОТОМИИ НИЖНЕЙ ЧЕЛЮСТИ
1) термическая травма кости
2) послеоперационная гематома
3) травма сосудисто-нервного пучка
4) нарушение иннервации костной ткани
5) технические погрешности при перемещении фрагментов

76.

ВИД ОБЕЗБОЛИВАНИЯ ПРИ ПРОВЕДЕНИИ ОСТЕОТОМИИ
НИЖНЕЙ ЧЕЛЮСТИ
1) местное
2) комбинированное
3) общее (наркоз)
4) нейролептаналгезия
5) акупунктура

77.

ФИКСАЦИЯ ФРАГМЕНТОВ НИЖНЕЙ ЧЕЛЮСТИ ПОСЛЕ
ОСТЕОТОМИИ ВНУТРИРОТОВЫМ СПОСОБОМ
ПРОВОДИТСЯ
1) микропластиной
2) спицей Киршнера
3) реконструктивной штангой
4) минипластиной
5) проволочным швом

78.

Ответы на вопросы
№№
Ответ
№№
№№
Ответ
№№
Ответ
4
Отве
т
3
1
2
7
4
10
5
2
2
5
3
8
3
11
5
3
1
6
2
9
2
12
3

79.

Судьба многих пациентов складывается
драматично, причем не только в
следствии тяжести пороков, но и в
результате несовершенства
первоначальных методов хирургического
лечения

80.

81.

82.

83.

84.

Вижу тебя на сквозь!

85. Осмотр полости рта

86.

До лечения
После лечения

87.

До лечения
После лечения

88. Мезиальная окклюзия, сужение верхнего зубного ряда

89. Состояние прикуса и аппарат Норда для быстрого расширения верхней челюсти.

English     Русский Правила