4.43M
Категория: МедицинаМедицина

Брюшные грыжи

1.

2.

3.

4.

5.

6.

7.

Эвентра́ ция (лат. eventratio —
е[х]- «отделение, удаление» +
venter — «живот») — остро
развивающийся дефект в
брюшине и мышечноапоневротическом слое
передней брюшной стенки, в
результате образования
которого создаются условия
для разгерметизации
брюшной полости и выхода
внутренностей за ее пределы.

8.

9.

10.

11.

12.

13.

14.

15.

16.

По течению
Первичные
Рецидивные
Послеоперационные

17.

По вправимости
Вправимые (содержимое грыжевого
мешка легко может быть вправлено в
брюшную полость через грыжевые
ворота или вправляется
самостоятельно)
Невправимые (чаще в результате
развития сращений, спаек; внезапно
развившаяся невправимость ранее
вправимой грыжи является
характерным симптомом ущемления
грыжи)

18.

19.

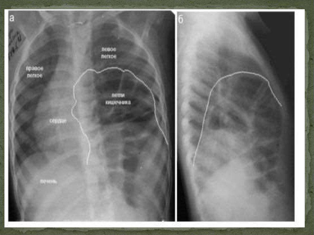
Внутренние грыжи - выходят в
карманы брюшины
отверстия
внутри
полости.
либо в
брюшной
Наружные грыжи — выходят
под кожу брюшной стенки.

20.

21.

22.

Внутренние
Составляют 25 %.
Внутрибрюшные
Грыжи сальниковой сумки (ворота — foramen Vinsloe)
Грыжи около сигмовидной кишки
Грыжи около слепой кишки
Грыжи около связки Трейтца, парадуоденальная
грыжа (lig. duodenojejunalis)
и другие внутрибрюшные образования
Диафрагмальные
ретрокостостернальные (справа — треугольника
Морганьи, слева — Ларрея)
пояснично-рёберные (Бохдалека)
сухожильного центра диафрагмы
(преимущественно — паракавальные грыжи)
грыжи пищеводного отверстия диафрагмы (ГПОД):
скользящие (аксиальные) и параэзофагеальные

23.

Наружные
Составляют 75 %
Паховая
Бедренные
Белой линии живота
Эпигастральная
Пупочная грыжа
Полулунной линии (Спигелиева)
Дугообразной линии
Треугольника Пти
Ромба (треугольника) Гринфельда-Лесгафта
Седалищные
Надпузырная Промежностная
Запирательная Боковая (за влагалищем
прямой мышцы живота)

24.

25.

26.

27.

28.

29.

30.

31.

32.

1.Жалобы на появление выпячивания в определенной
области у больного, которое появляется при физической
нагрузке. Кроме того, могут отмечаться некоторые тупые
непостоянные боли в области выпячивания. Если боль в
области выпячивания, которое уже не исчезает у больного,
постоянная, то это говорит о невправимости грыжи.
2.Анамнез: врач определяет связь возникновения грыжи с
тяжелой или непривычной физической нагрузкой, или
отмечает наличие грыжи с рождения.
3.Физикальные методы исследования: врач после осмотра
выпячивания ощупывает его, отмечает его консистенцию,
вправляется ли оно в полость, а также определяет состояние
естественных каналов и отверстий (на расширены ли они,
например, введением кончика пальца в паховый канал,
определяется, не расширен ли он)
4.Инструментальные методы исследования: к ним относятся
такой метод, как диафаноскопия, используемый с целью
отличия мошоночной грыжи от водянки. Он заключается в
том, что область мошонки просвечивается фонариком.
5.УЗИ.

33.

34.

35.

36.

37.

38.

39.

40.

41.

42.

43.

44.

45.

46.

Единственным способом лечения
грыж является оперативный.
Операция при грыже состоит из
двух основных этапов —
грыжесечения, которое включает в
себя иссечение грыжевого мешка и
пластику, которая включает в себя
закрытие грыжевых ворот. Все
методики можно разделить на две
группы: натяжные и ненатяжные
(tension free).

47.

Все способы хирургического
лечения грыж передней
брюшной стенки объединяются
в две группы:
1. пластика собственными
тканями
2. пластика с использованием
дополнительных материалов.
English     Русский Правила