Анатомия
Анатомия
Причины
Клинические признаки
Рентгенологические исследования
Диагностика
Позитивно-контрастная цистоуретрограмма
карцинома простаты
Ультразвуковое исследование
Подход к пациенту с ОЗМ
Подход к пациенту с ОЗМ
Подход к пациенту с ОЗМ
Диагностические критерии в определении уроабдомина
Анатомия
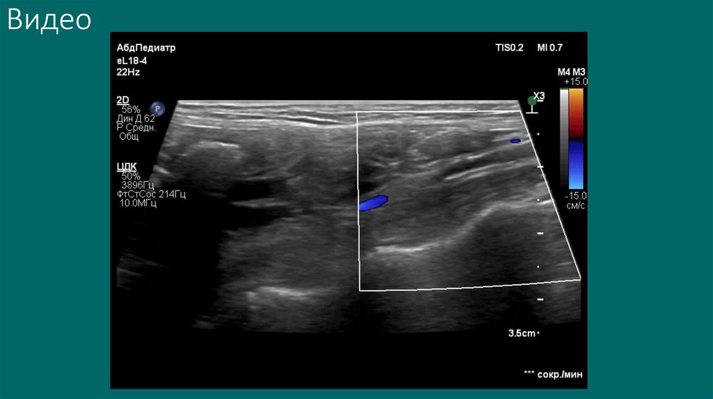
Видео
Причины
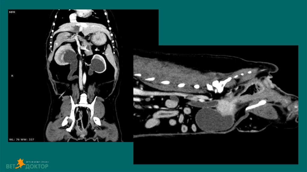
Уретеролитиаз-гидронефроз
Обструкция мочеточника
УЗИ
Клиническое значение расширения лоханки при УЗИ у кошек/собак
Экскреторная урография
Пиелография
Лечение
Инфузионная терапия
Показания к операции
Тотальный гидронефроз
Видео
Видео
На лечение через 3 месяца
Видео
Гидронефроз это не всегда нефроэктомия
Эктопия мочеточника
Новообразования мочевого пузыря
Сосудистая сеть почек
Острое повреждение почек
Классификация острого повреждения почек IRIS, 2016
Классификация острого повреждения почек IRIS, 2016.
Система RIFLE группы экспертов ADQI и ее модификация в вет. медицине собак.
Лаб диагностика
Мониторинг за состоянием пациента
Преренальная азотемия
Ренальная ОПП
Отравление этиленгликолем
Отравление лилейными
Отравление виноградом/изюм
Отравление витамином D
Токсины
Терапия ОПП
Терапия ОПП
Гемотрансфузия рекомендована, улучшает перфузию почек и доставку кислорода Противопоказания: острый
Показания ЗМТ-диализ
Длительно терапии?
20.46M
Категория: МедицинаМедицина

ПОЧКИ 2024 (1)

1.

Обструкция уретры.
Урологический синдром кошек.
Мелихова Евгения
Ветеринарные клиники
«Ветдоктор», Екатеринбург

2. Анатомия

3. Анатомия

4. Причины

Кошки
кошки до 10 лет: 60 - 70% - идиопатический цистит, 10 - 20 % - МКБ,
10% - структурные нарушения, < 2% инфекции МВП , <1% - новообразования
кошки старше 10 лет: <5% идиопатический цистит, > 50 % инфекции и МКБ
Собаки
МКБ ,заболевания простаты, стеноз мочеиспускательного канала.

5. Клинические признаки

o
Дизурия (затрудненное)
o
Поллакиурия(учащенное мочеиспускание)
o
Странгурия (частое, болезненное, затрудненное мочеиспускание)
o
Гематурия. Периурия (многократным присаживанием вне лотка)
o
Недержание мочи (собак)

6. Рентгенологические исследования

Размер и симметричность почек, размер и топографию мочевого пузыря, размер и
положение репродуктивных органов.
У собак почки имеют бобовидную форму. Размер в 2,5-3,5 раза превышают длину L 2
У кошек овальная до круглой. Размер почек измеряют на ВД проекции в 2,4-3,0 раза
превышают длину L2
Размер проксимального отдела мочеточника :
Собаки 2-3мм. Кошки 1-2мм
Метод выявления рентгеноконтрастных уролитов (фосфат кальция, оксалат кальция,
струвиты)
Ураты /цистеиновые уролиты рентгенопрозрачны.

7.

8. Диагностика

9.

10.

11.

12.

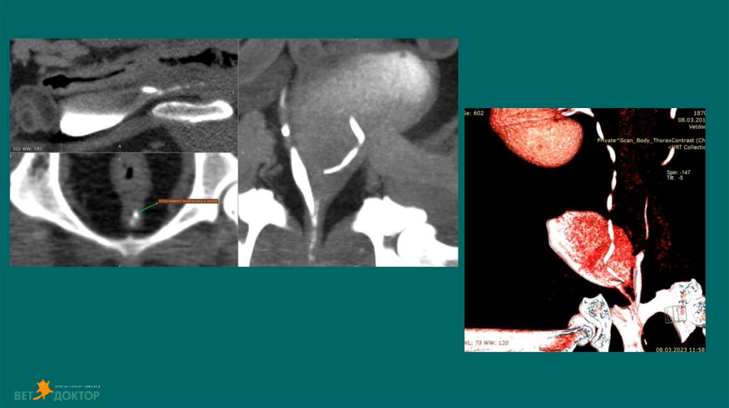
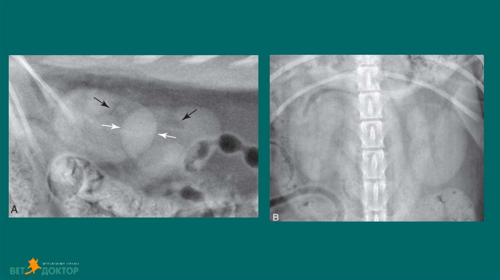
13. Позитивно-контрастная цистоуретрограмма

Показания:
Определение размера, формы и расположения мочевого пузыря
Определение проходимости или разрыва мочевого пузыря или уретры.
Обнаружение дефектов наполнения, связанных с уролитами (цистины/ураты) или гематомами,
выявления полипов или новообразований.
ПОДГОТОВКА
• Установка стерильного мочевого катетера для введения контраста
• Получение обзорных боковых и ВД снимков
• Введение стерильного йодсодержащего контраста в расчете 10мл/кг( разбавлен стерильным
физ.раствором 1:2 или 1:5)
• Выполняем латеральные/ВД снимки немедленно после введения контраста .
• Для получения уретрограммы оттянуть дистально катетер, ввести контраст одновременно сделать
боковой снимок ,провести серию снимков.
• Удаление контраста из мочевого пузыря по завершению

14.

15.

16.

17.

18. карцинома простаты

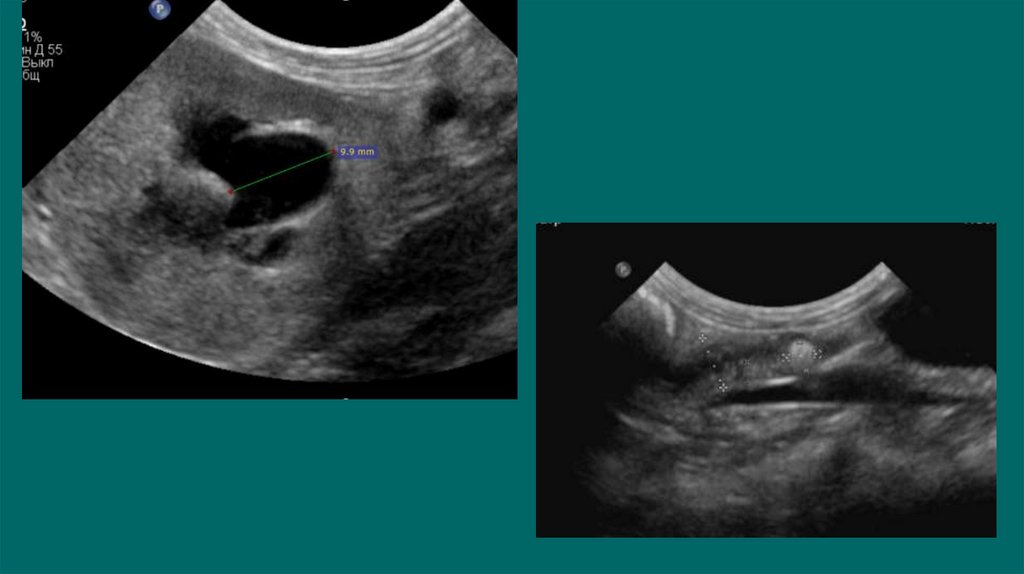
19. Ультразвуковое исследование

Можем обнаружить рентгенпрозрачные уролиты ,оценивать архитектуру
почки, паранефральные ткани, ретроперитониальные ткани, кисты
,инфартуи ы почек, изменение эхогенности, неоплазию, расширение
почечных лоханок и мочеточников, измерить толщину стенки мочевого
пузыря, визуализировать свободную жидкость в брюшной полости
УЗИ мониторинг изменений картины мочевой системы
• размер уретры
• размер лоханки и мочеточников
• количество свободной жидкости

20.

21.

22.

23. Подход к пациенту с ОЗМ

Выявление обструкции
1.Клинические признаки- выраженная дизурия/странгурия.
2.Осмотр – переполненный мочевой пузырь
3.Рентген – размер мочевого пузыря и уретры, исключение конкрементов. УЗИ МВД(размер
уретры,св.жидкость)
Анализы:
Установка в/венного катетера
Стабильный пациент- креатинин, мочевина, калий,натрий, гематокрит.
Пациент в критическом состоянии- креатинин, мочевина, общий белок, альбумин, фосфор, калий,
натрий, общий анализ крови
Стабилизация пациента
Обструкция более 24ч, выраженная азотемия, гиповолемия, гиперкалиемия.
Коррекция шока кристаллоиды 10 мл/кг в/в
Коррекция гиперкалемии – глюконат кальция 10% 0.5- 1. мл/кг за 10- 20 мин(ЭКГ контролем), глюкоза/
инсулиновый раствор.

24. Подход к пациенту с ОЗМ

Анестезия/анальгезия.
• Золетил 1-3 мг/кг в/в + медетомедин 3-5 мкг/кг в/м
• Пропофол 2-8 мг/кг в/в + низкая сакральная или эпидуральная анестезия (лидокаин
1-2%).
Декомпрессионный цистоцентез
• Рекомендован перед промыванием уретры и катетеризацией.Иглы 23-22-21 G
• Удаление большей части мочи
• Избегать переполнения МП в течение 12 часов после проведения.

25. Подход к пациенту с ОЗМ

Катетеризация.
• Вымывание уретральной пробки .
• Катетеризация - специальные катетеры, максимально атравматично, подшивание
катетера только при необходимости, закрытая система для сбора мочи.
• Моча на исследование – микроскопия осадка,+\- окраска по грамму.
• Промывание мочевого пузыря не рекомендуется(только при необходимости и только в момент установки
катетера, стерильные растворы)
Подшивание катетера
• Допустимо подшивание катетера на 12-24 часа
• Пациентам у которых очень большое количество крови и осадка в мочевом пузыре.
• Пациентам с повторной обструкцией, которых готовим к плановой уретростомии.
• В случае лёгкой катетеризации у стабильных пациентов катетер удаляем!
Не рекомендуется назначение профилактической антибиотикотерапии!

26.

Показания к уретростомии.
Рецидивирующие обструкции уретры несмотря на терапевтическое лечение
Стриктура/ неоплазия уретры/ разрыв уретры(контрастирование уретры)
Значительная травма полового члена/уретры, невозможность катетеризации в
момент ОЗМ.

27.

28.

29.

30. Диагностические критерии в определении уроабдомина

Визуальная диагностика
Данные
Рентгенография
Потеря детализации органов, обнаружение свободной жидкости.(подозрение)
Выход контраста за пределы мочевого тракта(подтверждение)
УЗИ
Свободная жидкость в брюшной полости(подозрение).Визуализация потока
жидкости из мочевого тракта(подтверждение)
КТ
«Затеки» свободной жидкости в брюшной полости(подозрение) Выход контраста за
пределы мочевого тракта(подтверждение)
Сравнение перитонеальной жидкости и сыворотки крови
Уровень креатинина
В перитонеальной жидкости в 2и более раза выше, чем в сыворотке
(подтверждение).В перитонеальной жидкости выше(подозрение)
Уровень калий
В перитонеальной жидкости в1,4 и более раза выше, чем в сыворотке
(подтверждение).
В перитонеальной жидкости выше(подозрение)

31.

Обструкция мочеточника.
Мелихова Евгения
Ветеринарные клиники
«Ветдоктор», Екатеринбург

32. Анатомия

33.

34. Видео

35. Причины

Обструкция уролитами
Эктопия мочеточника
Новообразования
Стриктуры
Послеоперационный отек мочеточника
Лигирование при ОГЭ
Сдавление
Аномалия развития

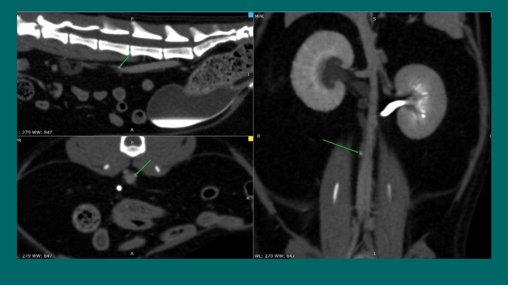
36. Уретеролитиаз-гидронефроз

До 98% уретеролитов у кошек и до 50% у собак состоят из оксалата кальция(Berent, 2011).
Клинические признаки:
Резкое ухудшение состояния(отказ от еды, рвота, депрессия),снижение тургора ,уремический
запах из ротовой полости, увеличение/болезненность почки.
Синдром большой и маленькой почки
Диагноз: УЗИ. Рентген. Пиелография. КТ(урография)
Доп.методы :ОАМ/СБК/Бак.посев мочи.
Лечение
Консервативное(растворение уролита,альфа-адреноблокаторы,симптоматическое).
Хирургическое

37. Обструкция мочеточника

Обструкция приводит к снижению почечного кровотока на 60-% в первые 24 часа и на 80% за
первые 2 недели.(Berent, 2011).
Если обструкция устранена в течении 4 дней, прогноз на восстановление функции почек
хороший. Через 14 дней СКФ восстановится примерно на 50% от первоначального уровня.
При обструкции более 40 дней возможно восстановление только небольшого числа нефронов
или функции почек может быть полностью утеряна( Kyles,2006).
Односторонняя обструкция
Оценка второй почки.
Размер конкремента крупный (> 2 мм)/мелкий (<2 мм)
Двусторонняя обструкция 20-25% кошек, 12 % собак.
Полная двусторонняя обструкция - летальный исход 48-72ч!

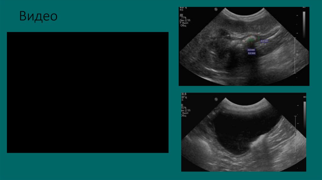
38. УЗИ

Дилатация лоханки более 13 мм - обструкция
При диаметре лоханки более 8мм-высокая
вероятность обструкции

39. Клиническое значение расширения лоханки при УЗИ у кошек/собак

УЗИ 81 собаки и 66 кошек с раширением лоханки.
Было сформировано 6 групп:
1.Клинически нормальная функция почек;
2.Клинически нормальная функция почек при диурезе;
3.Пиелонефриты;
4. Неинфекционной почечной недостаточностью;
5. Обструкция выносящего тракта;
6.Смешанные необструктивные аномалии
Ширина лоханки в 1 группе была ниже, чем в 3-5 группах (среднее значение 2 мм у собак и 1.6 мм у
кошек), но не было
специфичной разницы от группы 2
во 2 группе среднее значение 2.5 у собак и 2.3 у кошек
в 3 группе - 3.6 мм и 4 мм соответственно
в 4 группе - 3.1 мм и 2.8 мм
в 5 группе - 15.1 мм и 6.8 мм
в 6 группе – 3.8 мм и 3.0 мм

40. Экскреторная урография

Рентгенологическое исследование с внутривенным введением контраста .
Показания:
Субъективно функцию почек СКФ, пиелоэктазию, гидронефроз, оценить проходимость
мочеточников, обнаружение эктопии мочеточников ,обнаружении разрывов на уровне от
мочеточников до мочевого пузыря
Подготовка пациента:
1.Голодная диета 12-24 ч, при необходимости очистительная клизма.
2.Стабильная гемодинамика
3.Установка в/в катетера/Инфузия
4.При необходимости под седацией
Техника
Получение обзорных боковых и ВД снимков (важно отсутствия каловых масс
Введение йодсодержащего контраста в дозе 400-800мг/кг йода(Омнипак,Урографин) в/в болюсно
Получаем латеральные и ВД снимки сразу после введения контраста ,а затем через 5,20, и 40 минут
Для обнаружения эктопии мочеточника могут быть использованы косые снимки
Рекомендован в/в ведение жидкостей в момент или после для поддержания гидратации и индукции диуреза.

41.

42. Пиелография

Определения локализации обструкции мочеточников у кошек с азотемией
Снижен риск попадания контраста в почки при нефропатии
Техника
Проводится под УЗИ контролем.
Тонкоигольная аспирация содержимого из лоханки(пиелоцентез)
Спинальной иглой или иглой диаметром 22G вводят под углом 45
Введение йодсодержащего контраста йода(Омнипак,Урографин)
Объем контрастного вещества должен составлять половину объема аспирационной мочи
Dominique Penninck, Marc-Andre d Anjou.2008-2015

43.

44. Лечение

oКонсервативное
Лечение
Инфузионная терапия
Диуретики ?
Миорелаксанты
Разрешение острой азотемии(гемодиализ)
oХирургическое
Уретеротомия
Реимплантация мочеточника
Пластика мочеточника по Боари
Нефровезикулярное шунтирование (SUB)
Стентирование мочеточника

45. Инфузионная терапия

С осторожность. Внимательный мониторинг.
Контроль диаметра лоханки(1-2 р/д) и диуреза
Взвешивать пациента 2-3 раза.
Растворы:
Изотонические кристаллоиды(Рингер лактат, Cтерофундин, Нормоосол-R)
Коррекция дегидратации за первые сутки
Далее инфузия в поддерживающем объеме 1-2мл/кг/ч
Коррекция электролитных нарушений (коррекция гиперкалиемии)
Спорно? при обструкции в дистальной части?
Маннитол – 0.25-0.5 гр/кг за 10- 20 мин (после устранения дегидратации, только при
консервативной терапии) при отсутствии улучшений через 24 ч прекратить.
Консервативное лечение 2-3 дня

46.

Обезболивание
ИПС Лидокаин 10% 0,6-1,2мг/кг/ч (15-30-50 мкг\кг\мин)
Маропитант вв/пк 1мг/кг 2-4 раза в сутки
Буторфанол, фентанил
Спазмолитики
• Теразозин:
Кошки 0.125-0,25 мг/на кошку 1 - 2 раза в день
Собаки 1 мг на 8 – 15 кг. 2мг для собак более 15 кг 2-3 раза/сутки – мониторинг АД
• Тамсулозин:
Соб 0,1-0,2мг/10 кг 1-2 раза в сутки
Кош 0,004-0,006мг/кг 1-2 р/сут
• Амитриптилин – 0.5-1 мг\кг п\о 1р/сут
Сирдалуд 0,25-1мг/кош 2 раза/сут
Габапентин внутрь 10 мг/кг 2 раза в сутки
Антибиотикотерапия
только при выявлении инфекции МВП - до результатов посева.
Выбор препаратов:
фторхинолоны 3-го поколения(марфлоксин/энрофлоксацин);
цефалоспорины 3-го поколения(цефотаксим/цефтазидим)

47. Показания к операции

o Наличие обструкции – лоханка более 8-13 мм
o Гиперкалиемия, олигурия, анурия (связанные с полной обструкцией
мочеточников)
o
Если 48 часов отрицательная динамика по узи(размер лоханки) и не
разрешается азотемия на консервативном лечении.
o Консервативное лечение малоэффективно при обструкции вызванной
стриктурами, неоплазией, врожденной аномалией.
o Антибактериальная терапия за 60 мин до начала хиругии, препараты
выбора цефалоспорины 3-го поколения

48.

49. Тотальный гидронефроз

50.

51. Видео

52.

● Обструкция мочеточника

53. Видео

54. На лечение через 3 месяца

55. Видео

56. Гидронефроз это не всегда нефроэктомия

57. Эктопия мочеточника

o
Могут быть экстрамуральные/интрамуральные
o
Чаще у сук
o
Клинические признаки подтекание мочи
o
Осложнения восходящая бактериальная инфекция
o
Диагностика УЗИ/Урография(Рс,КТ)/Эндоскопия
o
Лечение хирургическое

58.

59.

60. Новообразования мочевого пузыря

Чаще переходно-клеточная карцинома
Гидронефроз/гидроуретер развиваются при поражении области
треугольника мочевого пузыря
Симптомы: Гематурия, дизурия.
Диагностика: УЗИ /КТ, цистоскопия, травматическая катетризация.
Лечение:
Хирургическое/НПВС
Прогноз неблагоприятный(продолжительность жизни обычно менее 1
года после постановки диагноза)

61.

62.

Острое повреждение почек
Мелихова Евгения
Ветеринарные клиники
«Ветдоктор», Екатеринбург

63.

Функциональной единицей почки –нефрон, состоящий из пучка
капилляров(клубочек)и окруженного капсулой Боумана, ведущий к
почечным канальцам.
Клубочек и капсула производят ультрафильтрацию плазмы крови,
которая зависит от гидростатического давления(АД,
приносящие/выносящие артериолы).
Отрицательный заряд на мембране капсулы исключает фильтрацию
белка плазмы и потери их с мочой .
Почечные канальцы:
Проксимальные-происходит реабсорбция натрия и изоосмотической
воды, глюкозы ,аминокислоты
Петля Генле – Основная функция петли заключается в реабсорбции воды
в нисходящем отделе и обратном перемещении ионов хлора, калия и
натрия в кровеносное русло.
Функция дистальной части нефрона регулируется гормонами
(паратиреоидный, кальцитриол поддерживают гомеостаз кальция ,
антидиуретический гормон и альдостерон корректируют обмен натрия,
калия и воды

64. Сосудистая сеть почек

1.
2.
3.
4.
5.
Почечная артерия и вена
Междолевые артерии и вены
Дуговые артерии и вены
Междольковые артерии и вены
Сосудистые клубочки
Почечная артерия снабжает почки кислородом, для производства энергии
почечными клетками
20-25% объема сердечного выброса поступает к почкам

65.

Острое повреждение почек-синдром при котором поражение почек
вызывает снижение СКФ, поражение нефрона, вследствие нарушения
экскреторной функции мочи, формируется олигоанурия, азотемия и
уремия.
Если диагноз установлен на ранних сроках и проведена интенсивная
терапия, процесс обратим!

66.

Азотемия это увеличение содержания в сыворотке крови мочевины/креатина
Уремия это клинический синдром, который развивается вследствие тяжелой или
продолжительной почечной азотемией.
Азотемия :
Преренальная
Ренальная
Постренальная
Острое поражение почек-резкое снижение почечной функции
Хроническая болезнь почек-почечная недостаточность в течении трех месяцев.

67.

Преренальные
Ренальные
Постренальные
Уменьшение ОЦК
Гиповолемия
Кровотечение
Гипотензия
Вазодилатация
Васкулит
Снижение СВ
Застойная СН
Перикардиальный выпот
Гипоадренокортицизм
Анемия
Снижение почечного кровотока
Тромбоз почечной артерии
Разрыв /травма почечной артерии
Инфекционные патологии
Пиелонефрит
Лептоспироз
Нефропатия при болезни Лайма
Эрлихиоз
Патология клубочков
Гломерулонефрит/склероз
Амилоидоз
Неоплазия почек
Лимфома
Аденокарцинома
Патологии канальцев
интерстициальный нефрит
Токс.вещества
Мышьяк
Витамин D
Этиленгликоль
Виноград/изюм(собаки)
Лилия (кошки)
Фарм. средства
иАПФ,ацикловир,азатиоприн,
цисплатин,карбаплатин,
циклоспорин,диуретики,НПВС
окситетрациклин
Препараты для диагносики
Гадолиний
Обструкция почечных канальцев
Пиелонефрит
Мочевые включения,
обструктирующий просвет канальцев
Обструкция мочеточников
Уролиты
Стриктуры мочеточников
Уретерит
Кисты
Эктопия мочеточников
Объемные образования треугольника
мочевого пузыря
Частичная обструкция или компрессия
мочеточников ввиду неоплазии
Обструкция уретры
Уролиты
Стриктура уретры
Травмы
Обструктирующий гематомы
Кристаллические стриктуры
Нарушения целостности
Разрыв/травмы мочевого пузыря
Повреждение уретры
Разрывы травмы мочеточников/почечной
лоханки

68. Острое повреждение почек

Резкое снижение функции почек , проявляется повышением креатинина в крови, чаще
сопровождается снижением объема выделяемой мочи.
Классификация острого повреждения почек (ОПП) IRIS, 2016
Классификация RIFLE определение степени тяжести патологии
Поражение почек (преренальные, ренальные, постренальные , патология нефронов)Резкое
снижение кровотока в почечной артерии клубочке, со снижающейся клубочковой фильтрацией ,
способствующие возникновению олигурии. Происходит ишемия, отек и гибель канальцевых
клеток.
Главный приоритет терапии коррекция нарушение перфузии и дефицита гидратация(устранение
преренальных факторов ),обеспечение проходимости мочевыводящих путей (исключение
постренальных факторов)
Важно поддерживать перфузию и гидротацию ,избегать объемной перегрузки

69.

Классификация острого повреждения почек (ОПП)
Стадия
Креатинин
Клиническое
описание
I.
<140 ммоль/л
Неазотемическая,
м.б рост креатинина
на 26 ммоль/л за 48 ч
II.
141-220 ммоль/л
Слабая азотемия
III.
221-439 ммоль/л
Умеренная тяжелая
ОПН
IV.
440-880 ммоль/л
Прогрессирующая
потеря
V.
>880 ммоль/л
функции почек
http://www.iris-kidney.com/education/pdf/4_ldc-revised-grading-of-acute-kidney-injury.pdf

70. Классификация острого повреждения почек IRIS, 2016

Подкотигории к стадии основаны на скорости образования мочи
Олигоануричные пациенты
• Анурия в течении 6 часов
• Олигурия < 1мл/кг/ч
Неолигуричные пациенты
Скорость образования мочи > 1мл/кг/час
ПРОГНОЗ
1.Пациенты с 1-2 ст ОПП имеют хороший прогноз. Функция почек может быть восстановлена в
течении 2-5 суток.
2.Пациенты с более высокой стадией ОПП, у которых во время лечения стадия повышается имеют
худший прогноз
3.Пациенты с 4-5 стадиями ОПП могут погибнуть не смотря на лечение или ЗМТ на неопределенное
время.

71. Классификация острого повреждения почек IRIS, 2016.

Исход болезни
После стабилизации состояния пациент может быть выписан с ХБП 2-4
стадии с рекомендациями.
Не смотря на лечение может быть летальный исход
Если концентрация в норме креатинина и клинические признаки
выздоровления пациент переходит в группу ХБП 1 стадии

72. Система RIFLE группы экспертов ADQI и ее модификация в вет. медицине собак.

Система RIFLE группы экспертов
ADQI и ееимодификация
в вет. медицинеКритерии
собак. уровня
Степень
Уровень креатинина
Объем мочи
тяжести
СКФ
креатинина
ветеринарии
R-риск ОПП
Креатинин
повышен в >1,5 раза .или
СКФ снижение на >25 %
<0,5 мл/кг/ч в течении 6 ч
1,3-2,0мг/дл
(116-174 мкмоль)
I-повреждение почек
Креатинин повышение в >
2,0 раза
СКФ снижение на >50%
<0,5 мл/кг/ч в течении 12 ч
2,0-3,9 мг/дл
(175-347,9 мкмоль/л)
F-недостаточность функции
почек
Креатинин повышение > 3
раза или СКФ снижение на
>75 %
<0,3 мл/кг/ч в течении 24ч
или анурия в течении 12
часов.
>3,9мг/дл(>347,9мкмоль/л)
Исход болезни
L-утрата почечной
функции
Стойкая ОПН или полная потеря
функции почек ,требующая
заместительной терапии > 4
недель
Не оценивается
E-терминальная стадия
Терминальная стадия
почек, диализ требуется
в течении более 3
месяцев и более
Не оценивается

73. Лаб диагностика

Мочевина является маркером СКФ, но может повышаться при снижении почечного кровотока,
после кормления белковой пищи ,ЖКТ кровотечения.
Уровень креатинина является клиническим маркером почечной функции(отражает СКФ, скорость
проходимости канальцев) Определения значения СДМА.
Увеличение мочевины/креатинина крови во время терапии означает прогрессирующие
повреждение почек, предупреждает о развитии олигурии.
Гликемия У кошек почечный порог 14-17 ммоль/л, у собак 10ммоль/л. Обнаружение глюкозы в
моче, при уровне ниже в крови указывает паатологию проксимальных канальцев
Поводить контроль электролитов:
Определение уровня калия может увеличиваться при снижении мочевыдения (ОЗМ ,разрыв
стенки).При ХБП тенденция к снижению
Определение кальция Гиперкальцемия м.б причиной ОПН или следствием ХБП, снижение при ХБП
сопровождается гипоальбуминемии
Определение фосфора Гиперфосфатемия у пациентов с ОПН, ХБП ввиду снижения СКФ.
Повышение фосфора приводит вторичному почечному гиперпаратиреозу.
Контроль белков . Гипоальбуминемия при патологии клубочков, потеря антитромбина /контроль

74.

Анализ мочи
Лучше исследовать мочу путем цистоцентеза (под контролем узи !)
Повышение плотности преренальная азотемия/обезвоживание; при гематурии(моча красного
цвета),билирубинурии(ярко-желтная, зеленоватая) метгемоглобинурии (коричневая, черная)
Изостенурия 1,008-1,020,при повышении мочевины/креатина в крови признаки патологии МВС
Гипостенурия (менее 1,008)дифф. д психогенная жажда, несахарный диабет
Протеинурия с осадком (эритроциты, лейкоциты,бактерии)+ взятие бак.посева.
Без осадка исследовать соотношение белок/креатинин, ГГТ/креатинин,делать вывод о
локализации пат. процесса.
ОАК
Учитывать гидратацию пациента. ХБП чаще анемия (вторично снижение выработки
эритропоэтина), гемоконцентрация указывает на обезвоживание.

75. Мониторинг за состоянием пациента

• Измерение массы тела во время проведения инфузионной терапии(оценка задержки жидкости,
потеря в третье пространство особенно у кошек и собак мелких пород, с потенциально
непереносимостью инфузии взвешивание проводят каждые 4-6 ч)
• Оценка гидратации (ЧСС, пульс , слизистые)
• Скорость образования мочи (постановка мочевого катетера подключенного к закрытой системе
сбора мочи )
o Полиурия выделение мочи >2 мл/кг/ч
o Олигурия выделение мочи < 0,5 мл/кг/ч
o Анурия –объем мочи < 0,03/кг/ч
• Олигурия/анурия указывает на поражение почек, оценивать исключительно у
пациентов с адекватным АД, ,адекватной гидратации, при наличии системы для сбора
мочи (без перегибов и обструкций катетера)

76. Преренальная азотемия

Преренальная патологии приводят к снижению СКФ и уменьшению обеспечения кислорода
тканей почек
Снижение эффективного объема циркулирующей крови является основной причиной азотемии
у пациентов ОРИТ (гиповолемия, кровопотеря, патологии сердца ,гипотензия, нарушение
распределения крови )
Тромбоз или окклюзия почечных артерий или вен
При отсутствии патологии почек вследствие недостаточной перфузии и дегидратации (
удельный вес мочи в норме/ повышен, уровень мочевины и креатинина повышен, повышение
уровня гематокрита
Коррекция преренальной азотемии нацелена в первую очередь на восстановление баланса
жидкости в течении 2- 6 ч
НО перегрузка жидкостью опасна (отек клеток почек), патологии сердца, васкулит,
гипоальбуминемия ,восполнение объема жидкости более длительное 12-24 ч

77. Ренальная ОПП

Острый канальцевый некроз.
Чаще развивается токсический, может так же из-за ишемии.
Поражение проксимальных канальцев. Всасывающая и выделительная функция
приводит токсины именно в этот отдел нефрона.
В осадке мочи могут появляться цилиндры, почечный эпителий, далее могут
повреждаться целые нефроны, снижение СКФ и развивается азотемия.

78. Отравление этиленгликолем

• Входит в состав антифриза. Сладкий,без запаха.
• Быстрой всасывается.
• Стадийность-депрессия,атаксия, судороги,развивается гипокальциемия,3 стадия анурическая
• признаки увеличения почек/болезненность, неврологические нарушения.
Лечение:
• Если только выпила ,можно вызвать рвоту,начать давать сорбенты. Промывание желудка не
эффективно.
• Инфузионная терапия, коррекция метаболического ацидоза (гидрокарбанат натрия)
• Ингибиторы
Антидот 4-метилпиразол:
Протокол для собак начальная доза 20 мг/кг в/в, затем 15 мг/кг через 12 и 24 ч после введения
начальной дозы, затем 5 мг через 36 ч
Для кошек начальная доза 125 мг/кг, затем через 12,24 и 36 ч по31,25 мг/кг
Этанол 7% раствор вводят в дозе 8,6мл/кг, далее ИПС 1,43мл/кг/ч в течении 48 ч
• Диализ

79. Отравление лилейными

o Токсичны для кошек.
o Смертность при лечении 50%.
o Токсины вызывают гибель эпителиальных клеток канальцев
o Клинические признаки развиваются быстро-рвота, диарея, вялость.
o Через 12 ч развивается азотемия, гиперкалиемия. Выраженная полиурия-приводит к дегидратации
o Через сутки в моче: изостенурия, глюкозурия, протеинурия ,цилиндры.
o Через 1-2 дня развивается олигурия или анурия.
Лечение
• Специфической терапии нет.
• Промывание желудка если только съел
• Инфузия 2-3 раза превышает поддерживающий.
• При олигурии или анурии-диализ. Но прогноз может быть неблагоприятным .
• Прогноз может быть хорошим если поступила в полиурическую фазу ОПН

80. Отравление виноградом/изюм

o Не всегда и не у всех вызывают ОПП у собак.
o Механизм не известен.
o Некроз прокисмальных канальцев
o Смертность 50%
o Клинические признаки : Рвота, диарея, вялость. Быстро развивается дегидратация,
через 1-2 суток азотемия. По ОАМ почечный эпителий.
Лечение:
o Специфического нет
o Инфузионная терапия ,коррекция электролитов.
o При олигурии или анурии-диализ

81. Отравление витамином D

o Превышенное содержание витамина в рационе.
o
Гиперкальциемия оседают в почечных канальцах и вызывают некроз.
o Антидиуретический эффект ,вызывает полиурию, дегидратация и преренальную
азотемию.
o
Клинические признаки: постепенно развиваются ПУ/ПД, рвота ,анорексия, запор.
o
Диагностика: iCa, гиперкальциемия, витD, азотемия.
Лечение :
Инфузионная терапия с введением фуросемида.

82. Токсины

o НПВС
o иАПФ
o Аминогликозиды (гентамицин, амикацин)
o Контрастные йодсодержащие препараты
o ХТ (доксорубицин для кошек)
o При назначении нефротоксичных препаратов проводить измерение
соотношение ГГТ/креатинин.

83. Терапия ОПП

o Животные с нефротическим синдромом избыточно гидратированы.
o Не рекомендуется введение больших объемов солевых растворов.
o Коллоидные растворы противопоказаны
o Перед началом терапии оценка степени дегидратации/гиповолемии АД,Т тела.
o Контроль веса 3-4 раза в день.
o Опорожнение мочевого пузыря. Оценка скорости образования мочи(уретральный
катетер, взвешивать пеленки)

84.

Терапия ОПП
o При гиповолемии болюс жидкости 10-30мл/кг. Восполнение ДЖ 2-6 ч, далее ПО+ДП
Оценка скорости инфузии 1-4 раза/день.
Цель : коррекция нарушения почечной гемодинамики/восстановление водного баланса
o Коррекция метаболического ацидоза (бикарбанат)
o Коррекция Гиперкалиемии:
10% глюконат кальция 0,5-1 мл/кг-за 10-20 мин контроль ЭКГ,
инсулин+декстроза 20-40% короткий инсулин 0,5ед/кг с декстрозой 2 гр/ед-30минут(риск гипогликемии)
o РУТИННОЕ ИСПОЛЬЗОВАНИЕ- не рекомендовано
Если гидратация восстановлена, скорость образования мочи снижена менее 1 мл/ч можно фуросемид в дозе
0,5-2мг/кг, последующей инфузией 1мг/кг/ч до 6 часов. Если объём мочи увеличивается можно вводить
фуросемид, либо болюсы..
Если выделение мочи не увеличивается прекратить введение .
o Диуретики могут помочь перевести «олигуричного» пациента в «полиуричного»
Loop diuretics in the management of acute renal failure: a systematic review and meta-analysis
Sean M Bagshaw, Rinaldo Bellomo, Anthony Delaney- 2007 Март; 9(1):60-8.

85. Терапия ОПП

o Маннит не применять при гипергидратации/перериферических отеках.
"Можно" использовать при канальцевом некрозе (иск отравление этиленгликолем) в дозе 0,25-0,5г/кг
и повторить однократно если объем мочи не увеличился за 30-60 мин, НЕ следует превышать
общую суточную дозу 3г/кг.
o Дофамин низкие дозы , дозы 2,5-5 мкг/кг/мин расширение почечных сосудов, увеличение СКФ
(блокирует реабсорбцию натрия). Экспериментально у собак с тяжелой нефротоксиностью ,
применение фуросемида+дофамина приводило к восстановлению нормального объема мочи при
олигурии (можно пробовать если другие методы не эффективны или не доступны)
o При стойкой анурии/олигурии рекормендовано переходить на ЗПТ
o Гиперфосфатемия терапия фосфатбайндерами препараты алюминия 30-90мг/кг/сутки

86. Гемотрансфузия рекомендована, улучшает перфузию почек и доставку кислорода Противопоказания: острый

гемолиз/гипергидратация/анурия
Возможно развитее отсроченных иммунных реакций.

87. Показания ЗМТ-диализ

Олигурия/анурия после восстановления гидратации
Прогрессирующая азотемия
Угрожающие осложнения гипергидратация/отек легких.
Гиперкалиемия/ацидов не отвечающие на терапию
Острое отравление веществом, которое возможно удалить только с
помощью диализа

88.

Особенности питательной поддержки-не ограничивать белок, так как ОПП
гиперкатаболическое состояние.
Чаще используем гастро диету.
Рекомендована установка стомы(длительный период снижения аппетита)
Сипмтоматическое лечение направлено на уремическую гастропатию (рвота, тошнота),
может развиваться артериальная гипертензия9 не использовать иАПФ)
ОПП- приводит к панкреатиту( или панкреатит к ОПП).Обезболивание (анальгин, ИПС
лидокаин, лучше местная анестезия в/брюшинное введение лидокаина/бупивакаина)
Контроль калий, ацидоза,гидротации, АД, диуреза.
Опасность в перегрузке жидкости!

89. Длительно терапии?

24-48 часов будет понятно погибнет /дальше продолжаем лечение. В
среднем 3-7 дней
Стабильный пациент –амбулаторное лечение, кормление по стоме, п/к
инфузии, симптомотерпия, оценка каждые 3-5 дней
Пациент с анурией, гиперкалиемией, ацидозом не корректируется за
первые сутки-диализ
В течении 1-6 недель –оценка степени восстановления почек
Требуется время !

90.

91.

Спасибо за внимание!
English     Русский Правила