Диффузный токсический зоб, Базедов зоб
Коллоидный зоб (струма)
Лимфатический узел при лимфоме Ходжкина
Печень при лимфоцитарном лейкозе
Печень при миелолейкозе
Пигментный невус
Меланома
Эндоцервикоз шейки матки
Фиброаденома молочной железы
16.44M

микро 3 коллок расшифр

1.

2.

3.

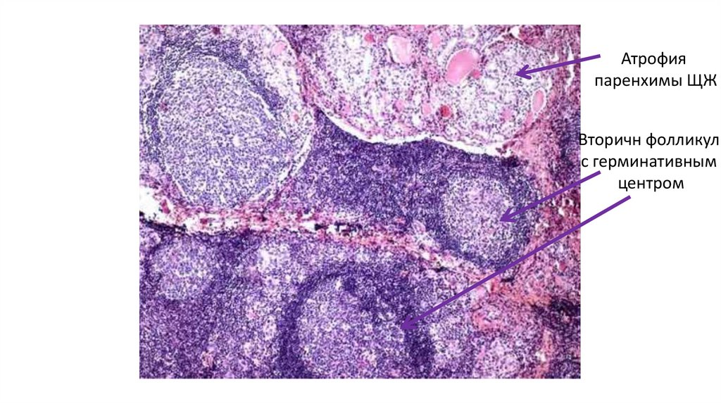
4. Диффузный токсический зоб, Базедов зоб

5. Коллоидный зоб (струма)

6.

Атрофия
паренхимы ЩЖ
Вторичн фолликул
с герминативным
центром

7.

8. Лимфатический узел при лимфоме Ходжкина

Клетка
Ходжкина
Клетка
РидБерезовскогоШтернберга

9. Печень при лимфоцитарном лейкозе

Желчн.
проток
артерия
Вена

10. Печень при миелолейкозе

11. Пигментный невус

12. Меланома

13. Эндоцервикоз шейки матки

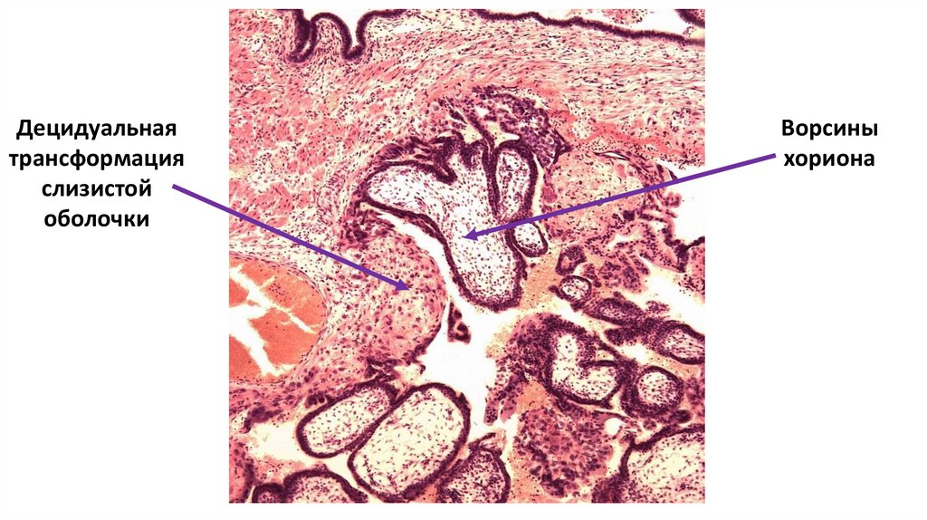
14.

Децидуальная
трансформация
слизистой
оболочки
Ворсины
хориона

15.

16.

Элементы
цитотрофоб
ласта
Элементы
синцитиотр
офобласта

17. Фиброаденома молочной железы

English     Русский Правила