Особенности поясничных позвонков
Крестец (os sacrum) и копчик (os coccygis)
Плечевая кость(Humtrus)
Как запомнить кости запястья!
14.64M
Категория: БиологияБиология

Презентация Т.2.З.1. ПЗ СТМ

1.

НОРМАЛЬНАЯ АНАТОМИЯ
Тема 2. Позвоночный столб. Особенности строения
позвонков. Кости пояса верхней конечности, кости
свободной верхней конечности.
(ПРАКТИЧЕСКОЕ ЗАНЯТИЕ)
Проводит: преподаватель кафедры нормальной анатомии
Березовская Нина Юрьевна
Москва, 2025
1

2.

3.

4.

Шейные позвонки(7):
1(atlas):
- нет тела и остистого отростка
-в виде кольца, состоящего из 2-ух дуг(передней и задней),соединенных латеральными массами
-лат.массы сверху имеют овальную вогнутую суст.поверх-ть(затылочная кость)
-лат.массы снизу имеют почти плоскую нижнюю суставную поверх-ть(2 шейным)
-передняя дуга на передней поверх-ти имеет передний бугорок, а на задней поверхности-ямку зуба(соед.с зубом 2 шейного
позвонка)
-на верхней поверхности задней дуги –борозда позвоночной артерии(иногда это канал)
2(осевой, эпистрофей, axis):
-есть зуб, оканчивающийся верхушкой
-на передней поверх-ти зуба передн.суст.поверх-ть(соединение с атлантом), на задн.поверх-ти-задняя суст.поверхть(поперечная связка атланта)
-на поперечных отростках нет передних и задних бугорков и борозды с/м нерва
3-7 позвонки:
-небольшие, низкие тела позвонков
-тела позвонков постепенно расширяются
-позвоночное отверстие широкое, по форме близкое к треугольной форме
-суст.отростки короткие, стоят косо, суст.поверх-ти плоские или слегка выпуклые
-поперечн.отросток состоит из переднего(рудимент ребра)и собственно поперечн.отростка-между ними позвоночноартериальное отверстие(артерия,вена,симпатич.ствол)
3-6 позвнки:
-возвышаются боковые края на верхней поверх-ти тел, образуя крючок тела( uncus corporis)
2-7 позвонки:
-остист.отростки увеличиваются в длину и до 7-ого включительно расщеплены на концах, имеют слабо выраженный наклон книзу
-поперечн.отростки короткие и направлены в стороны
-на поперечн.отростках есть борозда с/м нерва(шейный нерв), следовательно, передние и задние бугорки на концах поперечных
отростков
6 позвонок:
-передний бугор поперечного отростка ососбенно развит(сонный бугорок)-общая сонная арт.
7 позвонок (выступающий-prominens):
- длинный нераздвоенный остистый отросток
-длнные поперечн.отростки
-поперечные отверстия в поперечн.отростках малы или отсутствуют
-на нижнем крае боковой поверх-ти тела-фасетка(реберная ямка)-место сочленения с головкой 1 ребра

5.

Грудные позвонки(12):
-тела позвонков выше и толще шейных
-размер тел позвонков увеличивается по направлению к поясничным
-на заднебоковой поверх-ти тел 2 фасетки(верхние и нижние реберные ямки)-2 позвонка образуют полную суставную ямку(место
сочленения с ребром)
-дуги образуют округлой формы позвоночные отверстия, но меньше, чем у шейных
-поперчн.отросток кнаружи и кзади и имеет небольшую реберную ямку поперечного отростка(сочленение с бугорком ребра)
- суст.поверх-ть суст.отростков во фронтальной плоскости: у верхн.суст.отростка направлен кзади, у нижнего-кпереди
-остистые отростки 3хгранные, длинные, остроконечные, обращены книзу.
- в среднем отделе грудных позвонков остистые отростки один над другим(в виде черепицы)
-нижние грудные позвонки по форме приближаются к поясничным
1 позвонок:
-сверху на теле-полная реберная ямка(сочленение с головкой 1 ребра), а снизу-полуямка(сочленение с головкой 2 ребра)
10 позвонок:
-одна полуямка у верхнего края тела
11-12 позвонки:
-только по одной полной ямке посередине боковых поверхностей тел позвонков
-на задней поверхности поперечн.отростков –добавочные и сосцевидные отростки
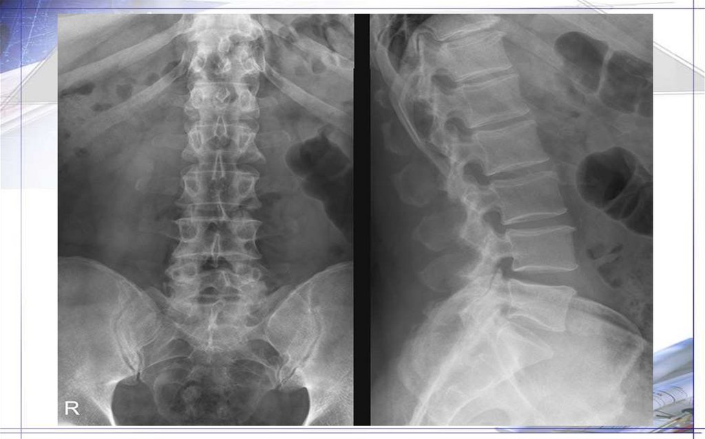
Поясничные позвонки(5):
-тела позвонков бобовидной формы, массивные
-дуги сильно развиты
-позвоночное отверстие больше, чем у грудных позвонков
-позвоночное отверстие неправильной треугольной формы
-поперечные отростки впереди суставных, удлинены, сжаты спереди назад, идут латерально и несколько назад
-большая часть поперечного отростка –реберный отросток(рудимент ребра)
- на задней поверх-ти основания реберного отростка –добавочный отросток-рудимент поперечного отростка(короткий,
широкий.утолщен, закруглен на конце)
-суст.отростки идут кзади от поперечных и располагаются почти вертикально
-суст.поверх-ти в саггитальной плоскости(вогнутая верхняя медиально, выпуклая нижняя латерально)-суст.отростки одного
позвонка охватывают с боков нижние суст.отростки другого позвонка
-на задне-наружном крае верхнего суст.отростка-небольшой сосцевидный отросток(прикрепление мышц)

6.

7.

8.

9.

10.

11.

12.

13.

14.

15.

16.

17.

18. Особенности поясничных позвонков

19.

Рентгенограмма верхних
шейных позвонков в прямой
проекции
1. Ножка дуги шейного позвонка
2. Дуга осевого позвонка
3. Остистый отросток шейного позвонка
4. Боковые массы атланта
5. Зуб осевого позвонка
6. Верхняя суставная поверхность
второго шейного позвонка
7. Передняя дуга атланта
8. Задняя дуга атланта

20.

21.

Рентгенограмма шейного
отдела позвоночника в
прямой проекции
1. Межпозвонковое пространство
2. Полулунные отростки
3. Ножка дуги позвонка
4. «Боковые массы» тел позвонков
5. Дуга позвонка
6. Остистые отростки
7. Подъязычная кость
8. Щитовидный хрящ

22.

Рентгенограмма шейного отдела
позвоночника в боковой
проекции
1. Атлант
2. Остистый отросток
3. Дуга позвонка
4. Ножка дуги шейного позвонка
5. Межпозвонковое пространство
6. Верхний суставной отросток
7. Нижний суставной отросток
8. Проекция позвоночного канала
9. Тело позвонка
10. Превертебральные мягкие ткани
11. Реберно-поперечные отростки шейного
позвонка

23.

24.

25.

26.

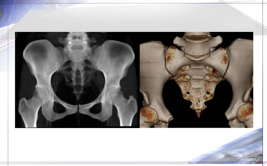
27. Крестец (os sacrum) и копчик (os coccygis)

28.

29.

30.

31.

32.

33.

34.

35.

36. Плечевая кость(Humtrus)

37.

38.

39.

40.

41.

42.

43.

44.

45.

46.

47. Как запомнить кости запястья!

• На Ладье (ладьевидная кость) при Луне
(полулунная кость) Трое (трехгранная кость)
ели Горох (гороховидная кость), И снимали с
Крючка (крючковатая кость) рыбьи Головы
(головчатая кость), Да сложили потом
Трапециевидную(трапециевидная кость)
Трапецию (трапеция)
English     Русский Правила