Нервная система
Классификация НС
Клеточный состав
Нейрон. Нейроцит
Нервные окончания
Синапс
Нервные волокна
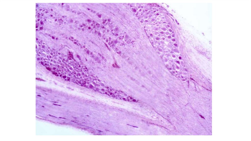
Спинномозговой узел (спинальный ганглий) - скопление тел нейронов в ПНС Спинномозговой узел не является нервным центром – нет
Рефлекторные дуги - Цепочка нейронов, связанных синапсами, которая обеспечивает проведение нервного импульса от рецептора
Функциональная классификация нейронов
Вегетативные узлы
Спинной мозг
Нейропиль: • Локализация: серое вещество между нейронами • Строение: сеть, образованная отростками глиальных клеток и нервными
11.22M
Категория: БиологияБиология

Торопикна 1нервная система

1. Нервная система

2. Классификация НС

3. Клеточный состав

1. Нейроны (нейроциты, неврные клетки) - выработка и
проведение нервного импульса.
2. Нейроглия - поддерживает жизнедеятельность нейронов
(защита, опора, трофика, барьерная и т.д.)
• Макроглия
• Микроглия

4. Нейрон. Нейроцит

5.

6.

7. Нервные окончания

8. Синапс

9. Нервные волокна

10.

Распространение
нервного импульса в
нервных волокнах
Безмиелиновые:
• Натриевые каналы расположены по
всей длине волокна
• Импульс идет медленно от канала до
канала
Миелиновые:
• Натриевые каналы только в
перехватах Ранвье
• Миелин изолирует и заряд не теряется
• Импульс идет сальтаторно или
скачкообразно – по перехватам Ранвье

11.

Нервный ствол (переферический нерв)
Нервный ствол или нерв – скопление нервных волокон в ПНС, покрытые оболочками
из соединительной ткани

12. Спинномозговой узел (спинальный ганглий) - скопление тел нейронов в ПНС Спинномозговой узел не является нервным центром – нет

синапсов
(переключения сигнала)

13.

14.

15.

ВЕГЕТАТИВНЫЙ НЕРВНЫЙ УЗЕЛ (ГАНГЛИЙ)
По расположению:
1. паравертебральные – симпатические;
2. превертебральные – симпатические;
3. околоорганные – парасимпатические;
4. внутриорганные (интрамуральные) – парасимпатические.
Т.е. симпатические ганглии всегда расположены около спинного мозга, а парасимпатические –
рядом с органами или в самом органе
МИФ-клетки – малые интенсивно флюоресцирующие нейроны (МСГ – мелкие
гранулосодержащие) – тормозные, тормозят синаптическую передачу (дофамин, серотонин,
энкефалин)
• Клетки Догеля – 1, 2 и 3 типов, относят к метасимпатической нервной системе
Два вида волокон: В ганглий приходят – преганглионарные волокна: ˗ формируют отростки нервных
клеток, расположенных в ЦНС; ˗ это миелиновые нервные волокна.
Из ганглиев выходят – постганглионарные волокна: ˗ их формируют отростки нервных клеток
ганглия, это миелиновые и безмиелиновые нервные волокна

16.

17.

18. Рефлекторные дуги - Цепочка нейронов, связанных синапсами, которая обеспечивает проведение нервного импульса от рецептора

чувствительного нейрона до
эффекторного окончания рабочем органе

19. Функциональная классификация нейронов

20. Вегетативные узлы

• Симпатический
• Парасимпатический

21. Спинной мозг

22.

23.

БЕЛОЕ ВЕЩЕСТВО
Строение: 1. миелиновые нервные волокна, собранные пучками,
канатиками; 2. нейроглия.
Канатики
1. дорзальный (задний) канатик
2. вентральные канатики
3. латеральные канатики
+НЕЙРОГЛИЯ

24.

25.

Согласно Б. Рекседу, серое вещество спинного мозга подразделяется на десять пластинок,
которые располагаются последовательно и нумеруются от верхушки заднего рога к
верхушке переднего. Пластинки определяются на основе плотности расположения нейронов
и их цитологических особенностей (размер, форма и т.д.). Пластинки I-VI находятся в
задних рогах, VII пластинка – в промежуточной зоне, VIII-IX пластинки – в передних рогах,
X пластинка представляет собой область вокруг центрального канала
В I пластинке располагается краевое (дорсомаргинальное) ядро, аксоны нейронов которого
формируют собственные пучки спинного мозга.
II и III пластинки располагаются в верхушке заднего рога и соответствуют студенистому
веществу (заднему студенистому веществу). IV пластинка располагается ближе к основанию
заднего рога, в ней находятся собственное ядро заднего рога и ретикулярное ядро спинного
мозга. V и VI пластинки образуют основание заднего рога и содержат грудное ядро. VII
пластинка – широкая полоска серого вещества, соответствующая латеральному отделу
промежуточного серого вещества.
VIII пластинка соответствует основанию передних рогов, в центре которой располагается собственное ядро переднего
рога
IХ пластинка соответствует вентролатеральной части верхушки передних рогов, в ней располагается
переднемедиальное и переднелатеральное ядра.
Х пластинка (центральное студенистое вещество) – это слой серого вещества, окружающий центральный канал,
который представлен преимущественно глиоцитами.

26. Нейропиль: • Локализация: серое вещество между нейронами • Строение: сеть, образованная отростками глиальных клеток и нервными

волокнами
English     Русский Правила