Пневмонии и антибиотикотерапия
Эпидемиология пневмоний
Основные возбудители: Streptococcus pneumoniae (Пневмококк)
Основные возбудители: Haemophilus influenzae (Гемофильная палочка)
Актуальный возбудитель госпитальных пневмоний: Pseudomonas aeruginosa (Синегнойная палочка)
Основные возбудители: Атипичные (внутриклеточные)
Эпидемиология микоплазменных пневмоний
Патогенез пневмоний
Особенности клиники микоплазменных пневмоний
Внелегочные осложнения, ассоциированные с M. pneumoniae
Микоплазменная пневмония
Рентгенологические признаки микоплазменной пневмонии
Этиологическая верификация микоплазменной пневмонии
Принципы терапии антибактериальными препаратами
Правило: если пациент не переносит какой-либо беталактамный антибиотик, то ему нельзя назначать любой препарат из этой группы
Механизм действия антибиотиков.
Пенициллин
Полусинтетические Пенициллины
В амбулаторном ведении пациентов амоксициллин является самым распространенным антибиотиком
Оксациллин
ПРАВИЛО
Знайте пероральные цефалоспорины:
защищенный цефалоспорин – сульперазон Сульперацеф® (Sulperacef®)
Парэнтеральные цефалоспорины III поколения (лидеры рынка фармпрепаратов)
Карбапенемы (тиенам и меропинем, эртапенем)
ПРАВИЛО
МАКРОЛИДЫ (рокситро-,кларитро-,азитро-, джоза-, мидека-,спирамицин)
Принципы лечения микоплазменной пневмонии
ФТОРХИНОЛОНЫ
фторхинолоны
Лечение пневмонии
Таваник при внебольничной пневмонии
ПРАВИЛО
ПРАВИЛО
Иммуноглобулины
Лечение цитокинами
Диагностика
Критерии качества лечения в стационаре
10.99M
Категория: МедицинаМедицина

Пневмонии_Лебедев

1. Пневмонии и антибиотикотерапия

Профессор П.А.Лебедев

2.

2018г

3. Эпидемиология пневмоний

Пневмонии относятся к числу наиболее распространенных острых
инфекционных заболеваний.
Заболеваемость ВП в РФ в 2017 г. составила 412,3 на 100 тыс. населения со
снижением ростом этого показателя по сравнению с 2016 г. на 1,4% .
Наиболее высокие цифры заболеваемости отмечены в Дальневосточном и
Поволжском федеральным округах (565,3 и 510,2 на 100 тыс. населения
соответственно) .
Согласно данным зарубежных эпидемиологических исследований,
заболеваемость ВП у взрослых (≥ 18 лет) колеблется в широком диапазоне: у
лиц молодого и среднего возраста она составляет 1-11,6‰; в старших
возрастных группах - 25-44‰ . В США ежегодно регистрируется 5-6 млн.
случаев ВП, из них >1,5 млн. человек нуждаются в госпитализации .

4.

Классическая классификация
Отечественных авторов
существенно дополнена
европейским подходом, который
выделяет четыре категории
пациентов с пневмонией.
Отнесение конкретного пациента к
одной из этих групп
автоматически определяет список
возможных возбудителей, что и
лежит в основе эмпирической
антибиотикотерапии (см ниже).
Аллергические инфильтраты
(экзогенный аллергический
альвеолит) и химические факторы
(бензиновая пневмония и т.д.) с
современной точки зрения к
пневмониям не относятся, но
рассматриваются как поражения
легких создающие условия для
возникновения вторичных
пневмоний.

5.

Внебольничная пневмония (ВП) диагностируется в случае
развития заболевания вне стационара, либо в первые 48 ч с
момента госпитализации.
Тяжелая ВП (ТВП) – это особая форма заболевания,
характеризующаяся выраженной острой дыхательной
недостаточностью (ОДН), как правило, в сочетании с
признаками сепсиса и органной дисфункции.
Медленно разрешающаяся/неразрешающаяся ВП отсутствие рентгенологического разрешения очаговоинфильтративных изменений в легких в течение 4-х недель
или их прогрессирование, часто сопровождается более
медленным

6.

7.

ЭТИОЛОГИЯ ВНЕБОЛЬНИЧНОЙ
ПНЕВМОНИИ
Внебольничная
пневмония –
пнекмококк,
атипичные
возбудители.
7

8. Основные возбудители: Streptococcus pneumoniae (Пневмококк)

o Грамположительная, шаровидная бактерия
(диплококк)
o У большого количества здоровых людей
пневмококки населяют слизистые оболочки рта
и носа. При попадании бактерии в нижние
органы дыхания, при отсутствии ответной
реакции организма, они начинают размножаться
и развивают патогенную деятельность.
o Пневмококки являются одним из основных возбудителей менингита,
среднего отита, синусита, внебольничной пневмонии у детей и взрослых.
o Самый высокий процент нечувствительных штаммов отмечен к
тетрациклину (доксициклин) и ко-тримоксазолу (бисептол) (27 и 33 %
соответственно). В России не рекомендовано использование этих
препаратов для лечения респираторных инфекций, вызванных
* МАКМАХ
8
пневмококком*.

9. Основные возбудители: Haemophilus influenzae (Гемофильная палочка)

o Граммотрицительная, мелкая коккобацилла
o H.influenzae можно выделить из носоглотки
90% здоровых людей, но не более 5% из них
являются вирулентными.
o Обусловливает развитие инфекций
дыхательных путей. Роль её увеличивается при
обострениях хронического бронхита и у
пациентов старше 60 лет и с сопутствующими
заболеваниями.
o Штаммы Гемофильной палочки могут вырабатывать β-лактамазу и т.о.
быть устойчивыми к незащищенным бета-лактамам (пенициллин,
ампициллин, амоксициллин).
o Почти все штаммы H.influenzae также малочувствительны и к
макролидам
9
o Высокую эффективность демонстрируют
Фторхинолоны.

10. Актуальный возбудитель госпитальных пневмоний: Pseudomonas aeruginosa (Синегнойная палочка)

o грамотрицательная подвижная палочка.
o один из основных возбудителей гнойновоспалительных процессов, особенно в
условиях стационара, особенно легко
поражает лиц с ослабленным иммунным
статусом.
o высоко резистентна к действию антибиотиков,
устойчива ко многим бета-лактамам, аминогликозидам,
фторированым хинолонам.
10

11. Основные возбудители: Атипичные (внутриклеточные)

o (прежде всего Mycoplasma pneumoniae
и Chlamydia pneumoniae) являются одной из
причин острых инфекций дыхательных путей.
o проникают в организм чаще всего через
дыхательные пути
o инкубационный период длится от 1 до 4
недель
o внутриклеточные (Chlamydia pneumoniae) или мембранные
(Mycoplasma pneumoniae) возбудители. Нечувствительны к
антибактериальным препаратам ,влияющим на образование клеточной
стенки патогенов (бетта-лактамы).
11

12. Эпидемиология микоплазменных пневмоний

Микоплазма является внутриклеточным паразитом и в прежние
годы наиболее часто рассматривалась в связи со способностью
вызывать вялотекущее поражение урогенитального тракта, а
также верхних или нижних дыхательных путей.
Микоплазма (Mycoplasma pneumoniae) относится к числу
наиболее
распространенных
респираторных
патогенов,
вызывающих острые заболевания нижних дыхательных путей,
наряду с пневмококком, гемофильной палочкой и вирусами
Эпидемические вспышки M. pneumoniae встречаются с
интервалом 3 - 7 лет. Они начинаются осенью и могут длиться
в течение нескольких месяцев. Источником M. pneumoniaeинфекции в семьях часто являются дети. Инкубационный
период длится около 3-4 недель.

13.

14. Патогенез пневмоний

Известно четыре патогенетических механизма пневмоний :
аспирация секрета ротоглотки;
вдыхание аэрозоля, содержащего микроорганизмы;
гематогенное распространение микроорганизмов из внелегочного
очага инфекции;
непосредственное распространение инфекции из соседних
пораженных органов или в результате инфицирования при
проникающих ранениях грудной клетки.
Аспирация секрета ротоглотки – основной путь инфицирования респираторных
отделов легких и основной патогенетический механизм развития ВП. В нормальных
условиях полость рта, носа являются резервуаром для около 300 видов различных
микроорганизмов. Их колонизации на стенках бронхов препятствуют местные факторы
защиты: мукоцилиарный клиренс, секреторные иммуноглобулины и т.д. Холодный
воздух, стрессы, голод нарушают факторы защиты, делая возможным инфицирование
нижних дыхательных путей.

15.

Диагноз ВП является определенным при наличии у пациента
рентгенологически подтвержденной очаговой инфильтрации
легочной ткани и, по крайней мере, двух клинических
симптомов и признаков из числа следующих :
а) остро возникшая лихорадка в начале заболевания (t0 > 38,0°С);
б) кашель с мокротой;
в) физические признаки (фокус крепитации/мелкопузырчатых
хрипов, бронхиальное дыхание, укорочение перкуторного звука);
г) лейкоцитоз > 10х109/л и/или палочкоядерный сдвиг (> 10%).
При этом необходимо учитывать и вероятность терапевтической альтернативы известных синдромосходных заболеваний/патологических состояний. Отсутствие или
недоступность рентгенологического подтверждения очаговой инфильтрации в легких
делает диагноз ВП неточным/неопределенным

16. Особенности клиники микоплазменных пневмоний

Наиболее частым клиническим синдромом M. pneumoniaeинфекции является трахеобронхит с гриппоподобными
системными проявлениями. Системные признаки заболевания,
как правило, умеренно выраженные
жалобы на общее недомогание, миалгии, боли в горле,
ретробульбарную головную боль и повышение температуры
тела. Боль и напряжение в области параназальных синусов,
оталгия
описывается
у
подростков
и
у
взрослых.
Вышеуказанные симптомы не отличаются от таковых при
респираторных вирусных инфекциях. Часто затянувшийся
кашель на фоне трахеобронхита (микоплазменной этиологии)
при отсутствии пневмонии иногда симулирует коклюш.

17.

Бронхопневмония
наиболее
часто
распознаваемый
клинический синдром, ассоциированный с M. pneumoniaeинфекцией.
Обычно начало заболевания постепенное, проявляется
недомоганием, головной болью, лихорадкой, фарингитом.
При дальнейшем прогрессировании заболевания и вовлечении
в патологический процесс нижних дыхательных путей
отмечается осиплость голоса и кашель.
Проявления острого ринита не характерны для микоплазменной
пневмонии и обычно позволяют заподозрить вирусную
этиологию.

18.

Отмечается усиление кашля в течение 2 недель заболевания,
затем все симптомы постепенно разрешаются в течение 3-4
недель.
В начальной стадии кашель непродуктивный, но у старших
детей и у подростков выделяется пенистая белая мокрота.
Степень выраженности жалоб обычно выше по сравнению с
объективными клиническими признаками, которые проявляются
позже.
Сухие и влажные хрипы выслушиваются хорошо и похожи на
одноименные аускультативные феномены при бронхиальной
астме и бронхиолите.
С прогрессированием заболевания повышается температура
тела, кашель становится мучительным и у некоторых пациентов
может возникнуть диспноэ.

19.

Имеются сообщения о тяжелой и фатальной
пневмонии, вызванной M. pneumoniae, как у детей,
так и у взрослых.
Фоновая патология в виде иммунодефицита
(особенно гипогаммаглобулинемия), синдром Down,
серповидноклеточная гемоглобинопатия, сердечнолегочная патология предрасполагают к повышенной
восприимчивости к M. pneumoniae.

20. Внелегочные осложнения, ассоциированные с M. pneumoniae

Экзантема/энантема
Гемолиз
Заболевания ЦНС
Артрит
Заболевания сердца
Печеночная дисфункция
Панкреатит
Заболевания глаз

21.

Основной рентгенологический признак ВП - локальное снижение воздушности
легочной ткани (инфильтрация) за счет накопления воспалительного экссудата в
респираторных отделах . Изменения чаще носят односторонний характер,
распространяются на один или два бронхолегочных сегмента. Рентгенологическая
картина ВП определяется типом инфильтрации легочной ткани и стадией
воспалительного процесса.
Очаговый тип инфильтрации отличается неоднородной структурой, состоящей
из многочисленных полиморфных, центрилобулярных очагов с нечеткими контурами,
часто сливающихся друг с другом. В основе данного типа инфильтрации лежит
переход воспалительного процесса из мелких внутридольковых бронхов в окружающую их
Альвеолярный тип инфильтрации (консолидация) при пневмонии наблюдается при
заполнении воспалительным экссудатом воздухосодержащих альвеол, альвеолярных
мешков, альвеолярных ходов и респираторных бронхиол . В результате часть
легочной ткани становится безвоздушной. Отличительной особенностью является
средняя интенсивность тени уплотненного участка легкого, тканевая плотность при
КТ, а также видимость в зоне уплотнения воздушных просветов бронхов (симптом
Воздушной бронхографии.

22.

Типичная верхнедолевая пневмония слева.
Граница нижней доли показана стрелками
https://www.lecturio.com/magazine/pneumonia/?appview=1

23.

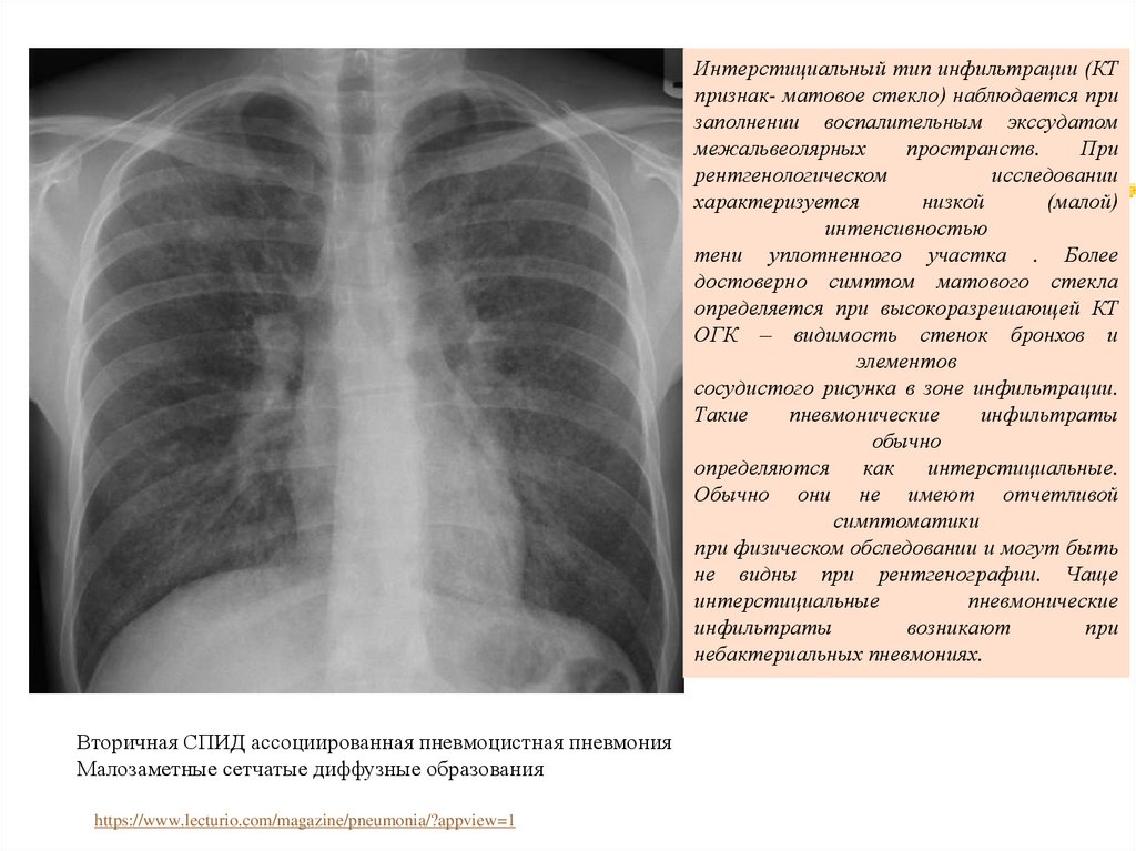
Интерстициальный тип инфильтрации (КТ
признак- матовое стекло) наблюдается при
заполнении воспалительным экссудатом
межальвеолярных
пространств.
При
рентгенологическом
исследовании
характеризуется
низкой
(малой)
интенсивностью
тени уплотненного участка . Более
достоверно симптом матового стекла
определяется при высокоразрешающей КТ
ОГК – видимость стенок бронхов и
элементов
сосудистого рисунка в зоне инфильтрации.
Такие
пневмонические
инфильтраты
обычно
определяются как интерстициальные.
Обычно они не имеют отчетливой
симптоматики
при физическом обследовании и могут быть
не видны при рентгенографии. Чаще
интерстициальные
пневмонические
инфильтраты
возникают
при
небактериальных пневмониях.
Вторичная СПИД ассоциированная пневмоцистная пневмония
Малозаметные сетчатые диффузные образования
https://www.lecturio.com/magazine/pneumonia/?appview=1

24. Микоплазменная пневмония

25.

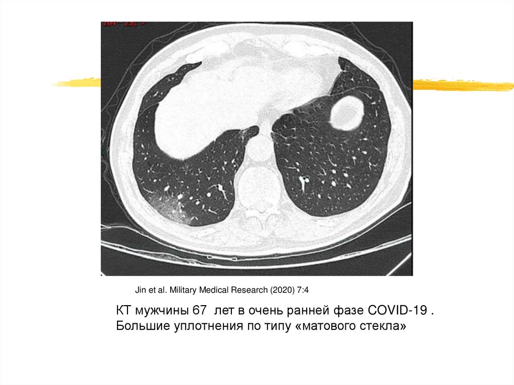
Jin et al. Military Medical Research (2020) 7:4
КТ мужчины 67 лет в очень ранней фазе COVID-19 .
Большие уплотнения по типу «матового стекла»

26. Рентгенологические признаки микоплазменной пневмонии

Пневмония
обычно
описывается
как
интерстициальная или бронхопневмония;
в большинстве случаев вовлекаются нижние доли;
односторонняя пневмония с более выраженным
уплотнением в центре инфильтрата описывается в
75% случаев.
Реже описываются лобарные пневмонии.
Выраженный плевральный выпот не характерен, но
у больных с большим плевральным выпотом,
вызванным M. pneumoniae, заболевание протекает
тяжелее и дольше по сравнению с пациентами без
экссудативного плеврита.

27. Этиологическая верификация микоплазменной пневмонии

серотипирование (ИФА, РСК, РНИФ)
молекулярно-биологическое исследование (ПЦР). Биоматериал
- мазок из носоглотки, мокрота
Стандарт серологической диагностики: ИФА-метод обнаружения
специфических IgM- и IgG-антител (>1:64). Биоматериал ―
венозная кровь.
Применение двух взаимодополняющих методов является
оптимальным
подходом
для
подтверждения
диагноза
инфекции. Так, выявление высокого уровня антител к
M.pneumoniae в сыворотке крови в сочетании с его
обнаружением в отделяемом респираторного тракта методом
ИФА или ПЦР позволяет достоверно подтвердить диагноз
M.pneumoniae–инфекции

28.

Рекомендации по обследованию госпитализированных
пациентов с внебольничной пневмонией
ТВП-тяжелая внебольничная пневмония

29. Принципы терапии антибактериальными препаратами

Антибиотикотерапия является основой лечения любой бактериальной
инфекции.Разработка антибиотиков и их внедрение в клиническую
практику является крупнейшим достижением медицины 20 века.
Чем тяжелее пациент, тем больше потребность в парэнтеральных
антибиотиках , особенно в их комбинациях. Дозы антибиотиков
пропорциональны тяжести состояния, но не менее средних
терапевтических. Кратность введения должна точно соответствовать
рекомендованной.
Антибиотики назначаются согласно деэскалационной стратегии:
Кратковременная до 72 ч парентеральная терапия для достижения
быстрого клинического эффекта, далее лечение желательно теми же
препаратами, но перорально для уменьшения сроков госпитализации,
стоимости лечения, осложнений. Пациенты с легким течением ,
например , внебольничной пневмонии могут первоначально лечиться
таблетированным препаратом (в виде монотерапии, или в
комбинациях).

30.

К критериям достаточности Антибактериальной тервапии
внебольничных пневмоний (ВП) относят следующие:
стойкое снижение температуры тела <37,2ºС в течение
не менее 48 ч;
отсутствие
интоксикационного
синдрома;
частота дыхания <20/мин (у пациентов без хронической
ДН);
отсутствие гнойной мокроты (за исключением
пациентов с ее постоянной продукцией);
количество лейкоцитов в крови <10 х 109/л,
нейтрофилов <80%, юных форм <6%.
Рентгенологические признаки ВП разрешаются медленнее клинических
симптомов и лабораторных изменений, поэтому контрольная рентгенография не
используется для оценки достаточности АБТ

31.

Ситуации, не требующие продолжения терапии
антибиотиками или смены антибактериального
препарата:
- cубфебрильная температура,
- сохранение сухого кашля,
- наличие крепитирующих хрипов,
- сохранение инфильтрации при отчетливой положительной
динамике по данным рентгенологического исследования,
- Сохраняющееся увеличение СОЭ (при нормализации
количества лейкоцитов и формулы крови).

32.

33. Правило: если пациент не переносит какой-либо беталактамный антибиотик, то ему нельзя назначать любой препарат из этой группы

Правило: если пациент не переносит какойлибо беталактамный антибиотик, то ему
нельзя назначать любой препарат из этой
группы (перекрестная аллергия !!!!)
Антибиотики делятся на Беталактамные и все
остальные
БЕТАЛАКТАМЫ (в основе химического
строения в-лактамное кольцо):
Пенициллины ( аминопенициллины,
карбоксипенициллины, уреидопенициллины)
цефалоспорины
карбапенемы

34.

Существуют 3 больших КИТА (Класса)
Антибиотиков которые рекомендованы и
используются при бактериальных инфекциях
дыхательных путей

35. Механизм действия антибиотиков.

Нарушение структуры
ДНК
Фторхинолоны
Рибосома
Нарушение синтеза белка
Макролиды
Нарушение синтеза
клеточной стенки
Бетта-лактамы
Клеточная стенка
Antimicrobial Chemotherapy Harold C. NeuThomas D. Gootz
35

36. Пенициллин

Чувствительны: Пневмококк и стрептококки,
менингококк, спирохеты, возбудители дифтерии,
бруцеллеза, газовой гангрены, лептоспироза, столбняка,
бореллиоза
Не оптимален для лечения внебольничных пневмоний:
Имеет неудобный режим дозирования
Все представители атипичной флоры устойчивы к
пенициллину
При госпитальной инфекции малоэффективен, (поскольку
разрушается беталактомазами бактерий) в т.ч
стафилококки, синегнойная палочка, ацинетобактер,
клебсиелла

37. Полусинтетические Пенициллины

Амоксициллин полностью вытеснил
ампициллин, поскольку более эффективно
действует на гемофильную палочку и
имеет большую биодоступность
Оба убивают энтерококки и анаэробыотсюда дисбактериоз в 5-10%.

38.

ПРЕИМУЩЕСТВА ПРЕПАРАТА
ФЛЕМОКСИН СОЛЮТАБ®
• Высокая биодоступность >-90% (в капсулах – 70%)
• Различные способы приема диспергируемой таблетки
повышение комплаентности
• Предсказуемая фармакокинетика независимо
от способа приема
• Хорошие органолептические свойства
• Меньший риск НЛР со стороны ЖКТ в связи
с более низкой остаточной концентрацией
в кишечнике
• Теперь выпускается и в дозе 1000 мг, что позволяет
назначать его 2 раза в сутки.

39. В амбулаторном ведении пациентов амоксициллин является самым распространенным антибиотиком

Наиболее эффективен в лечении инфекций уха, горла и
носа
Высоко эффективен при нетяжелых обострениях
хронического бронхита, при внебольничных пневмониях
Сочетание с ингибиторами В-лактомаз расширяет спектр
амоксициллина в сторону грамм-отрицательных
бактерий, уменьшает минимальную подавляющую
концентрацию для грамм положительной флоры

40.

НОВАЯ ЛЕКАРСТВЕННАЯ ФОРМА АМОКСИЦИЛЛИНА/КЛАВУЛАНАТА
ФЛЕМОКЛАВ СОЛЮТАБ®
Доза 875/125 2 раза в день
Улучшенные параметры
фармакокинетики клавулановой
кислоты:
• ↑ биодоступности
• ↓ вариабельности всасывания
• ↓ остаточной концентрации в
кишечнике
улучшение переносимости

41. Оксациллин

Является антистафилококковым
препаратом
В ампиоксе и оксампе оксациллина в три
раза меньше необходимого, в итоге- низкая
антистафилококковая эффективность

42. ПРАВИЛО

Цефалоспорины 1 класса (цефазолин(кефзол),
цефалексин, цефалотин) отлично действуют на
грам + кокки т.е. стрептококки и на метициллинчувствительные стафилококки (у нас это
оксациллин-чувствительные стафилококки)
С увеличением класса нарастает эффект на грам() флору
Клиническое значение 2-3 поколений
цефалоспоринов одинаково

43. Знайте пероральные цефалоспорины:

– II
Цефаклор 500 мг по 3 раза в день
Зиннат 500 мг 2 раза в день
– III
Супракс 400 мг 1 раз в день
Они лучше и дешевле ампициллина 4 г/сут
+ гентамицин 160 мг/сут

44.

Супракс Солютаб (цефиксим) - пероральный
цефалоспорин третьего поколения в форме
диспергируемых таблеток

45. защищенный цефалоспорин – сульперазон Сульперацеф® (Sulperacef®)

защищенный цефалоспорин – сульперазон
Сульперацеф® (Sulperacef®)
цефоперазон натрия +сульбактам натрия (в пересчете
на цефоперазон и сульбактам) 250мг+250мг;
500мг+500мг; 1,0г+1,0г
В отличие от цефалоспоринов действует на все анаэробы
Высокоэффективен против синегнойной палочки

46.

47. Парэнтеральные цефалоспорины III поколения (лидеры рынка фармпрепаратов)

Клафоран (Цефотаксим) 1-2 г в/в от 3
до 6 раз в сутки
Роцефин (Цефтриаксон) 1 г в/в 2 раза в
день или 2 г в/в один раз в день

48.

Цефтаролина фосамил (Ceftaroline
fosamil)
200-400мг 2 раза в день
Зинфоро® вводится внутривенно в
виде инфузии 600мг 2 раза в день в
течение 60 минут.
Спектрацеф (Spektracef)таблетки,
покрытые пленочной оболочкой 200 мг;
блистер 7, пачка картонная 2; № ЛП001420, 2012-01-12 от Meiji Seika Pharma
Co., Ltd. (Япония); производитель: Tedec
Meiji Pharma S.A. (Испания)

49. Карбапенемы (тиенам и меропинем, эртапенем)

Очень широкий спектр
Могут применяться как монотерапия сепсиса
Хороши при иммунодефиците
Только парэнтеральное введение
Перекрестная аллергия с беталактамами
Имипенем в/в 1,5-4 г/сут, в/м 500 мг 3 рд
Этарпенем в вену капельно 1 г/сутки однократно
Через 10 дней лечения в организме остаются
грибы, энтерококки, резистентные стафилококки

50.

2019г
MRSA- метициллин-резистентный стафилококк
БЛРС- бета-лактомазы расширенного спектра
P-aerugenosa синегнойная палочка

51. ПРАВИЛО

Аминогликозиды (гента-, стрепто-, кана-, тобрамицин,
амикацин) обладают синергизмом к бета лактамам!!!
Самая частая их комбинация с беталактамами
(амоксициллином, цефалоспоринами,карбапенемами)
-активны только против грам (-)
-неактивны против анаэробов и атипичной флоры
-все обладают нефро- и ототоксичностью
-не показаны при нетяжелых внебольничных пневмониях
-Никогда не назначаются в режиме монотерапии
-более 1 недели не назначать (Если комбинированная терапия с
участием аминогликозидов была эффективной, то аминогликозиды
отменяются в первую очередь)

52.

Среди аминогликозидов у пациентов с тяжелой ВП
определенное значение имеют препараты II-III поколения
(амикацин, гентамицин и др.), обладающие значимой
активностью против P. aeruginosa.
- аминогликозиды не активны в отношении S. pneumoniae,
создают низкие концентрации в бронхиальном секрете и
мокроте, для них характерно развитие ряда серьезных
нежелательных лекарственных реакций. В связи с этим
показания к применению данной группы ЛС у пациентов
с ВП строго ограничены – они могут назначаться как
компонент эмпирической терапии у пациентов с
факторами риска инфицирования P. aeruginosa, либо
использоваться для этиотропной терапии инфекций,
вызванных P. aeruginosa, Acinetobacter spp.

53. МАКРОЛИДЫ (рокситро-,кларитро-,азитро-, джоза-, мидека-,спирамицин)

В основном действуют на грам +, самые ценные из них –
азитромицин (сумамед) и кларитромицин (клацид)
поскольку эффективны против гемофильной палочки
Все макролиды эффективны против внутриклеточных
возбудителей
Можно детям и беременным
При аллергии на Бета-лактамы
Пневмококк устойчив к макролидам в 20-30%

54.

Основным достоинством макролидов является высокая
природная
активность
в
отношении
«атипичных»
микроорганизмов, таких как Mикоплазмы, Хламидии и
Легионеллы.
Современные макролиды, к которым относят в первую очередь
азитромицин и кларитромицин, характеризуются благоприятным профилем
безопасности, удобством приема и отсутствием перекрестной аллергии с влактамными антибиотиками. Макролиды используются при лечении
легионеллезной пневмонии, являются препаратами выбора при ВП,
вызванной M.pneumoniae, C.pneumoniae, C. psittaci.
Как показал ряд ретроспективных и проспективных исследований,
применение макролидов в комбинации с β-лактамами по сравнению с
монотерапией β-лактамами у больных тяжелой ВП (в том числе
пневмококковой бактериемией) улучшало прогноз.
Не влияют на гемофильную палочку (Не назначать при обострениях ХОБЛ)

55. Принципы лечения микоплазменной пневмонии

препаратами выбора являются
макролиды
доксициклин и респираторные
фторхинолоны относятся к группе
альтернативных ЛС

56.

57.

58.

59. ФТОРХИНОЛОНЫ

I-ципрофлоксацин, офлоксацин,
норфлоксацин, пефлоксацин,
ломефлоксацин
II-Левофлоксацин (Таваник0,5 г/сут per os
или в вену). Спарфлоксацин
III-Моксифлоксацин (Авелокс)

60. фторхинолоны

По спектру похожи на аминогликозиды
Перекрестная резистентность внутри группы
Плохая чувствительность к стрептококку в I группе
Хороши при атипичных пневмониях (все)
Лучше при обострениях ХОБЛ, при пневмониях у лиц
старшего возраста
Самый частый побочный эффект- диарея, возникает рано,
в течение первых суток от начала использования

61.

Возможности антибактериальной
терапии внебольничной пневмонии
Бета-лактамы
Новые ФХ
S.pneumoniae
H.influenzae
K.pneumoniae
Атипичные
Макролиды
Ципрофлоксацин

62.

Принятие ключевых решений при ведении больного ВП
- Определение места лечения (амбулаторное или стационарное),
- выбор первоначального антибактериального препарата (АП),
- оценка эффективности АП через 48-72 часа и принятие решения о дальнейшей тактике
лечения,
- продолжительность антибактериальной терапии (АТ),
- принятие решения о переходе с парентерального на оральный путь введения АП,
- необходимость и показания к симптоматической терапии.
В нетяжелых случаях лечение может проводиться амбулаторно. Показаниями для
госпитализации являются:
- возраст старше 65 лет,
- наличие тяжелой сопутствующей патологии (ХОБЛ, сердечная недостаточность,
сахарный диабет, иммунодефицитные состояния и др.),
- невозможность адекватного ухода и выполнения врачебных назначений в домашних
условиях,
- предпочтение стационарного лечения больным или членами его семьи,
- наличие одного из критериев тяжелого течения пневмонии,
- неэффективность антибактериальной терапии в течение 72 часов.

63.

Антибактериальным препаратом выбора у пациентов без
сопутствующих заболеваний и других факторов риска
инфицирования редкими и/или ПРВ является
амоксициллин, альтернативными - макролиды;
Уровень убедительности рекомендаций I (Уровень
достоверности доказательств С) .
Комментарии: Амоксициллин сохраняет высокую
активность в отношении ключевого возбудителя ВП в
данной группе пациентов – S. pneumoniae, а частота
выделения нечувствительных к нему изолятов H. influenzae
остается невысокой , несмотря на то, что
аминопенициллины in vitro не перекрывают весь спектр
потенциальных возбудителей ВП (в частности, не действуют
на Mycoplasma pneumoniae и Chlamidia Pneumoniae.
2019

64.

Антибактериальным препаратами выбора у пациентов с
сопутствующими заболеваниями и/или другими факторами риска
инфицирования редкими и/или полирезистентными возбудителями
являются ингибитор-защищенные пенициллины
(амоксициллин/клавуланат и др.), альтернативными – Респираторные
фторхинолоны и Цефдиторен;
Уровень убедительности рекомендаций I (Уровень достоверности
доказательств С) .
Комментарии: Поскольку вероятность этиологической роли
грамотрицательных бактерий (в том числе обладающих некоторыми
механизмами вторичной антибиотикорезистентности) у этих больных
возрастает, то в качестве препарата выбора им рекомендуются
(амоксициллин/клавуланат, амоксициллин/сульбактам,
ампициллин/сульбактам). Альтернативой является применение
Респираторных ФХ (левофлоксацин, моксифлоксацин, гемифлоксацин)
или цефдиторена.

65.

Концентрация в плазме (мг/л)
ФАРМАКОКИНЕТИКА ТАВАНИКА®
(после приема внутрь и в/в введения 500 мг)
8
6
4
внутрь
в/в
2
0
Введение/прием дозы
0
6
12
18
24
30
36 Время (ч)
Концентрации Таваника в плазме и показатель ПФК сходны
при в/в введении и при приеме внутрь
Лекарственные формы Таваника для приема внутрь и в/в ведения биоэквивалентны,
поэтому не требуется коррекции дозы при ступенчатой терапии
Levofloxacin product monograph, revised 05 Feb 2005

66.

КОНЦЕНТРАЦИИ ТАВАНИКА® В РАЗЛИЧНЫХ
ТКАНЯХ И ЖИДКОСТЯХ ОРГАНИЗМА*
Концентрация
(мкг/мл или мкг/г)
100
80
60
40
20
МПК потенциальных
возбудителей**
0
* через 3-6 часов после приема 500 мг препарата
** чувствительные к Таванику штаммы
Croom K., Goa L. Drugs. 2003; 63: 2769-802 с доп.

67.

ЭФФЕКТИВНОСТЬ МОНОТЕРАПИИ ТАВАНИКОМ®
ПРИ ВНЕБОЛЬНИЧНОЙ ПНЕВМОНИИ
Ступенчатая монотерапия Таваником® не уступает
по эффективности комбинированной терапии
N=224
%
94
100
92
88
92
80
Таваник®
500 мг 1 р/с в/в, затем вн
Азитромицин
500 мг 1 р/с в/в, затем вн
+
цефтриаксон
1 г 1 р/с в/в
60
40
20
p>0,05
p>0,05
0
Клиническая Микробиологическая
эффективность
эффективность
Frank E. e.a. Clin Ther. 2002; 24: 1292-308

68.

69.

70.

71.

Очевидны трудности в принятии решения о выборе АП у больных тяжелыми пневмониями, тем
более что лечение тяжелых пневмоний должно начинаться как можно раньше. Следует
ориентироваться на наиболее частые возбудители тяжелых пневмоний, которыми считаются S.
pneumoniae, S. aureus, Enterobactericae, Legionella pneumophila. В то же время такие возбудители,
как Mycoplasma pneumoniae, H. influenzae обычно не приводят к тяжелому течению
заболевания.
В условиях эмпирической АТ тяжелых пневмоний назначаемый АП должен перекрывать все
вероятные этиологически значимые возбудители заболевания. Если при внебольничных пневмониях
легкого течения можно ограничиться монотерапией - назначением аминопенициллинов (в том числе
и защищенных) или макролидов, то при тяжелых пневмониях оправдана комбинированная АТ.
Практически все клинические рекомендации по лечению тяжелых пневмоний включают
цефалоспорины III поколения (цефотаксим, цефтриаксон) в сочетании с парентерально
вводимыми макролидами (эритромицин, кларитромицин) или назначение защищенных
пенициллинов (амоксициллин/клавулановая кислота) в сочетании с макролидами.
Целесообразность комбинации b-лактамных антибиотиков с макролидами при лечении тяжелых
пневмоний обусловлена вероятностью легионелезной пневмонии и трудностями ее этиологической
верификации. При назначении комбинированной АТ цефалоспоринами III поколения в сочетании с
макролидами летальность при внебольничной пневмонии (особенно среди больных пожилого
возраста) ниже по сравнению с монотерапией цефалоспоринами III поколения. К настоящему
времени имеется целый ряд исследований, свидетельствующих о клинической и бактериологической
эффективности респираторных фторхинолонов (левофлоксацин, моксифлоксацин) в режиме
монотерапии при лечении тяжелых пневмоний, сопоставимой с результатами сочетанной
антибактериальной терапии цефалоспоринами или защищенными пенициллинами в сочетании с
макролидами.

72. Лечение пневмонии

Средней тяжести (показана
госпитализация)
-Парэнтерально цефалоспорин II или III
поколений +амикацин или гентамицин;
-Цефалоспорин + фторхинолон
Тяжелая пневмония (в реанимации)
- Цефалоспорин IYпоколения
(Максипим)+амикацин+метронидазол
или Карбапенемы + Амикацин

73.

ЭФФЕКТИВНОСТЬ МОНОТЕРАПИИ ТАВАНИКОМ®
ПРИ ТЯЖЕЛОЙ ВНЕБОЛЬНИЧНОЙ ПНЕВМОНИИ
Монотерапия тяжелой пневмонии Таваником® у пациентов
госпитализированных в ОРИТ не уступает по эффективности
комбинированной терапии
%
80
79
80
74
78
76
70
60
N=398
40
20
p>0,05
p>0,05
Клиническая
Микробиологическая
p>0,05
0
Таваник®, 500 мг 2 р/д,
в/в, затем вн
O. Leroy, Chest. 2005. 128: 172-183
Микробиологическая
(возбудитель
S.pneumoniae)
Цефотаксим, 1 г 4 р/д, в/в
+ офлоксацин, 200 мг 2 р/д, в/в, затем вн

74. Таваник при внебольничной пневмонии

Препарат 1-го ряда
При нетяжелом течении у амбулаторных
пациентов с факторами риска
Пожилой возраст, сопутствующая патология,
предшествующие антибиотики
При тяжелом течении у госпитализированных
больных
Особенно у пациентов, требующих ИВЛ
Входит в отечественные (с 2003 г.) и зарубежные
рекомендации (ATS, BTS, IDSA, ERS)

75.

ПРЕИМУЩЕСТВА ТАВАНИКА®
• Широкий спектр активности
• Медленное развитие резистентности
• Высокие длительно сохраняющиеся концентрации в
очаге инфекции
• Наличие форм для парентерального введения и
перорального приема, возможность ступенчатой терапии
• Высокая биодоступность
• Однократный режим дозирования
• Доказанная эффективность
• Низкая частота лекарственных взаимодействий
• Высокая безопасность
• Опыт применения у более 300 млн пациентов

76. ПРАВИЛО

Если грам (+) инфекция не поддается
лечению оксациллином, любым
цефалоспорином или карбапенемом –
назначать ванкомицин

77. ПРАВИЛО

ЕСЛИ выявлен анаэроб – лечить метронидазолом в
вену. Нужен при сепсисе, у пациентов с пневмонией
на ИВЛ.
ЕСЛИ гриб - дифлюкан

78. Иммуноглобулины

Показание: тяжелая инфекция, особенно при
иммунодефиците
Внутримышечное введение не эффективно
Препараты: Интраглобин, Октагам, Пентаглобин,
Сандоглобулин
В вену по 25-50 мл без разведения капельно 40 капель в
мин через 1-3 суток, на курс от 3 до 10 инфузий

79.

Всем пациентам с тяжелой ВП показано назначение
парентеральных антикоагулянтов.
Уровень убедительности рекомендаций I,С.
При тяжелой ВП повышается риск системных тромбоэмболий . С
целью профилактики на весь период ограниченной двигательно
активности (постельный режим) рекомендуется назначение
низкомолекулярных
гепаринов
или
нефракционированного
гепарина
Рутинное применение внутривенных иммуноглобулинов у
пациентов с тяжелой ВП, осложненной сепсисом нецелесообразно
ввиду ограниченной доказательной базы и гетерогенности
исследуемой популяции больных
Уровень убедительности рекомендаций I (Уровень достоверности
доказательств С)

80. Лечение цитокинами

Интерлейкин 2 человеческий
рекомбинантный РОНКОЛЕЙКИН
Показания: Сепсис, вторичная
иммунная недостаточность
Дозы: в/в капельно 1 раз в день 0,5-1мг
через 2-3 дня , 2-3 введения

81.

82.

Альтернативой традиционной респираторной поддержке является НВЛ вентиляционное пособие без постановки искусственных дыхательных путей
(интубационной или трахеостомической трубок), что позволяет позволяющая избежать
развития многих инфекционных и механических осложнений ИВЛ и, в то же время,
обеспечить эффективное восстановление газообмена и достижение разгрузки
дыхательной
мускулатуры
у
больных
с
острой
ДН
.
Следует рассмотреть возможность использования НВЛ вместо ИВЛ у пациентов с
сохраненным сознанием, способности кооперации с врачом и стабильной
гемодинамике.
Уровень убедительности рекомендаций 1,С

83. Диагностика

84.

Диагностика (продолжение)
Пневмококковой и легионеллезной антигенурии

85. Критерии качества лечения в стационаре

2019
English     Русский Правила