2.32M
Категория:
Медицина
Похожие презентации:
Возрастные особенности микрофлоры полости рта
Нормальная микрофлора полости рта. Особенности микробной флоры полости рта человека
Микрофлора полости рта. Состав. Участие в физиологических и патологических процессах полости рта
Зубной налет. Микрофлора полости рта здоровых лиц
Полость рта
Кариесогенные факторы в полости рта. Способы их выявления и устранения. Роль микрофлоры полости рта и факторов защиты
Гигиена полости рта
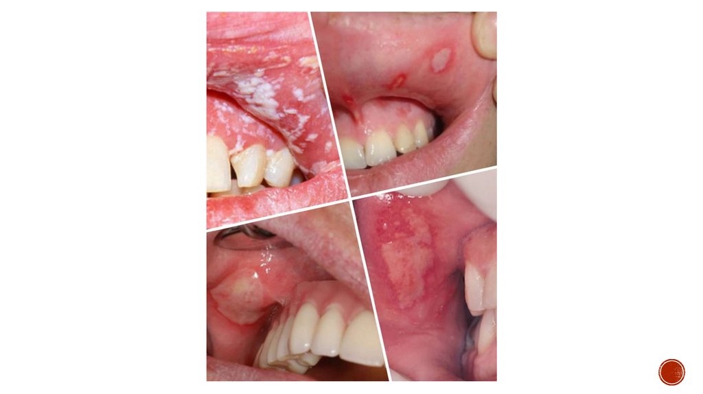
Лейкоплакия полости рта
Туберкулез полости рта
Гигиена полости рта
Микрофлора полости рта
1.
Микрофлора полости рта
ОС-202 Смирновой Ксении
English
Русский
Правила