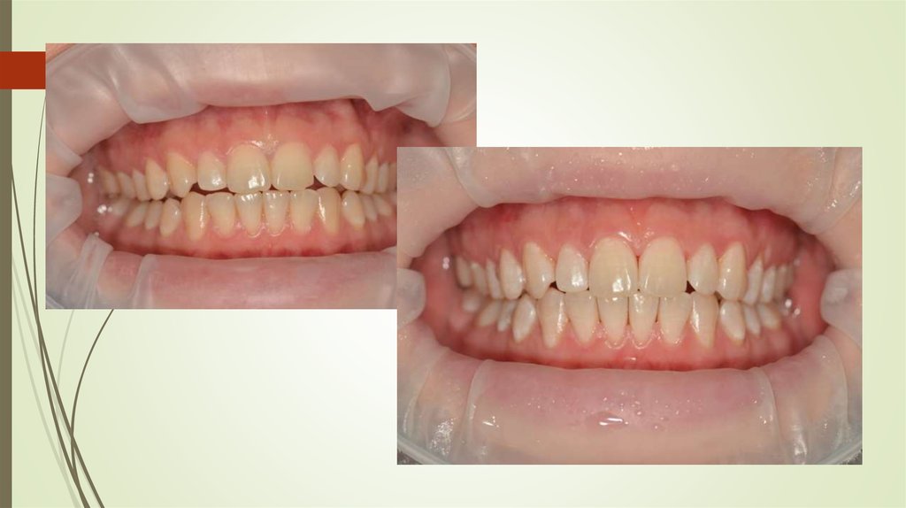
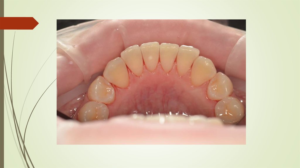
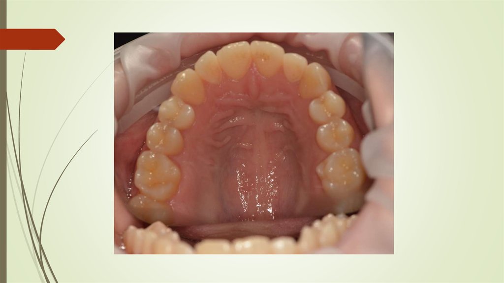
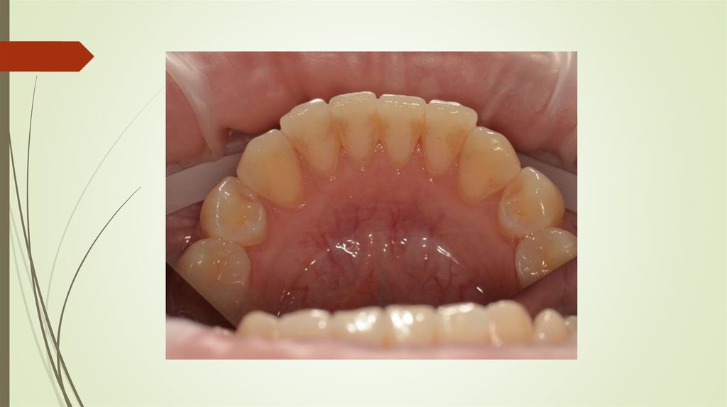
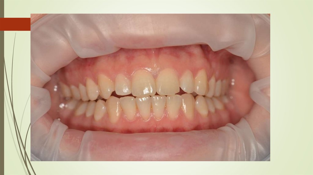
ПГПР +косметическое отбеливание
27.24M
Категория: МедицинаМедицина

ПГПР +косметическое отбеливание

1. ПГПР +косметическое отбеливание

ДОКТОР Ермина
Анна Александровна
English     Русский Правила