реконструкция проксимального отдела бедра после неудач в лечении ТРАВМ
Проблема
Решения
АлгоритМ
АлгоритМ
АлгоритМ
Intra-op
Intra-op
Intra-op
Intra-op
Intra-op
Intra-op
Intra-op
Intra-op
Через 2 месяца
АлгоритМ
АлгоритМ
Failure of proximal femoral locking compression plate: a case series
Mechanical Failure After Locking Plate Fixation of Unstable Intertrochanteric Femur Fractures
Poller (transmedullary) спицы
АлгоритМ
АлгоритМ
АлгоритМ
Вальгизирующая остеотомия
Несращение
Остеотомия
Сделали...
Прошло 4 месяца... что дальше?
Сделали
1 год спустя...
6 лет
Интрамедуллярный остеосинтез сегодня доминирует при фиксации вертельных переломов
Материал и методы
Предоперационное планирование
Предоперационное планирование
Предоперационное планирование
Проблема
Решение 1
Предоперационное планирование
Техника
техника
стержень (джойстик) 8 mm
Джойстик закреплен к дистальной опоре
3 месяца
6 мес.
Решение 2
Джойстик
Коррекция
Не забываем о ротации!
Не забываем о ротации!
Еще один вариант техники…
антеверсия
Результаты
♂ 25
Результат через 1 год
Результат через 1 год
3 месяца после операции
3 месяца после операции
3 месяца после операции
Косметический результат межвертельной остеотомии
1 год
До
Ревизионный остеосинтез
Ревизионный остеосинтез
Ревизионный остеосинтез
Ревизионный остеосинтез
Импортозамещение?
Отечественная конструкция
Тот же имплантат
Еще раз, внимательно!
Варусная деформация проксимального отдела бедра
Варусная деформация проксимального отдела бедра
Пример
Обсуждение
Не забываем
Спасибо за внимание!
18.35M
Категория: МедицинаМедицина

Реконструкция проксимального отдела бедра после неудач в лечении травм

1. реконструкция проксимального отдела бедра после неудач в лечении ТРАВМ

РЕКОНСТРУКЦИЯ
ПРОКСИМАЛЬНОГО ОТДЕЛА
БЕДРА ПОСЛЕ НЕУДАЧ В
ЛЕЧЕНИИ ТРАВМ
А.Н.Челноков, А.С.Шалин
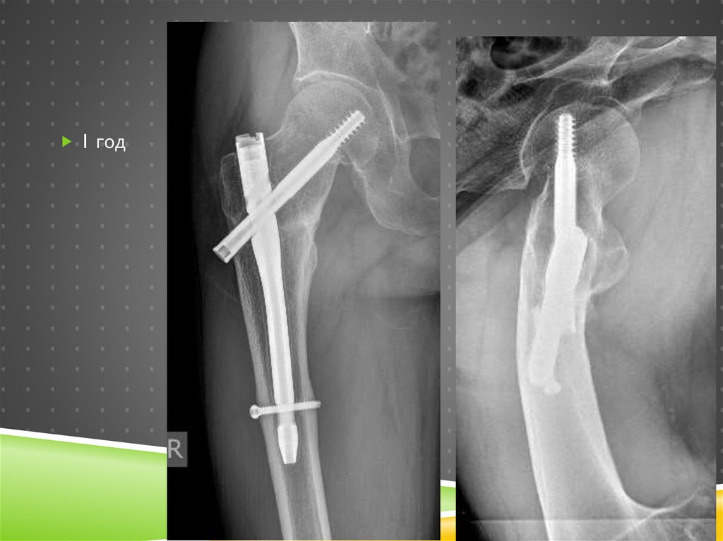
Уральский НИИ травматологии и ортопедии им.
В.Д.Чаклина
Екатеринбург

2. Проблема

Варус
Смещение по ширине
Несращения
шейки бедра
вертельной области
подвертельной
2

3. Решения

РЕШЕНИЯ
Несращения шейки бедра
В гериатрии – эндопротезирование
У более молодых – реконструктивные операции с
сохранением сустава
Реостеосинтез?
Вальгизирующая остеотомия
Вертельные и подвертельные несращения и деформации
Вальгизирующая остеотомия

4.

HTTP://WEBORTO.NET

5. АлгоритМ

АЛГОРИТМ
Уровень
Шейка бедра
Вертельная область
Подвертельная
Подвижность (если убрать имплантат)
Как при свежем переломе
+/ Точно нет (неправильное сращение)
Возраст
Молодой
Уже нет

6. АлгоритМ

АЛГОРИТМ
Уровень
Вертельная область
Подвижность (если убрать имплантат)
Как при свежем переломе
Удаление и реостосинтез
+/ Остеоклазия или остеотомия
Точно нет (неправильное сращение)
Вальгизирующая остеотомия

7. АлгоритМ

АЛГОРИТМ
Уровень
Вертельная область
Подвижность (если убрать имплантат)
Как при свежем переломе
Удаление и реостосинтез
+/ Остеоклазия или остеотомия
Точно нет (неправильное сращение)
Вальгизирующая остеотомия

8.

Египет, наши
дни
♀ 74
Операция 2
недели назад
Cut-out кпереди
8

9. Intra-op

INTRA-OP
1
9

10. Intra-op

INTRA-OP
10

11. Intra-op

INTRA-OP
11

12. Intra-op

INTRA-OP
Frame
application
12

13. Intra-op

INTRA-OP
5
13

14. Intra-op

INTRA-OP
6
14

15. Intra-op

INTRA-OP
7
15

16. Intra-op

INTRA-OP
8
16

17. Через 2 месяца

ЧЕРЕЗ 2 МЕСЯЦА
Ходит с нагрузкой
на ногу
17

18.

6 мес.

19. АлгоритМ

АЛГОРИТМ
Уровень
Подвертельная
Подвижность (если убрать имплантат)
Как при свежем переломе
Удаление и реостеосинтез
+/ Остеоклазия или остеотомия + дистрактор
Точно нет (неправильное сращение)
Корригирующая остеотомия

20. АлгоритМ

АЛГОРИТМ
Уровень
Подвертельная
Подвижность (если убрать имплантат)
Как при свежем переломе
Удаление и реостеосинтез
+/ Остеоклазия или остеотомия + дистрактор
Точно нет (неправильное сращение)
Корригирующая остеотомия

21.

21
21

22.

22
22

23.

Plating+BG
Courtesy D.Kuldjanov (St
Louis Univ.)
23
23

24. Failure of proximal femoral locking compression plate: a case series

FAILURE OF PROXIMAL FEMORAL
LOCKING COMPRESSION PLATE: A CASE
SERIES
Не так все хорошо….
7 разрушений PF LCP
4 перелома пластины, 3 потеря фиксации
Glassner PJ, Tejwani NC.
J Orthop Trauma. 2011 Feb;25(2):76-83.
24

25. Mechanical Failure After Locking Plate Fixation of Unstable Intertrochanteric Femur Fractures

MECHANICAL FAILURE AFTER LOCKING
PLATE FIXATION OF UNSTABLE
INTERTROCHANTERIC FEMUR FRACTURES
29 больных
LCP (причем Synthes, Paoli, Ca – не Рыбинск!)
Несостоятельность фиксации – 11 (37%)!!!
Streubel PN, Moustoukas MJ, Obremskey WT // J
Orthop Trauma. 2012 Apr.
25

26.

26

27.

27

28.

28

29.

29

30.

30

31. Poller (transmedullary) спицы

POLLER (TRANSMEDULLARY) СПИЦЫ
31

32.

32

33. АлгоритМ

АЛГОРИТМ
Уровень
Шейка бедра
Вертельная область
Подвертельная
Подвижность (если убрать имплантат)
+/ Точно нет (неправильное сращение)
Возраст
Молодой
Уже нет

34. АлгоритМ

АЛГОРИТМ
Уровень
Шейка бедра
Вертельная область
Подвертельная
Подвижность (если убрать имплантат)
+/ Точно нет (неправильное сращение)
Возраст
Молодой
Уже нет

35. АлгоритМ

АЛГОРИТМ
Уровень
Шейка бедра
Вертельная область
Подвертельная
Подвижность (если убрать имплантат)
+/ Точно нет (неправильное сращение)
Возраст
Молодой
Уже нет

36. Вальгизирующая остеотомия

ВАЛЬГИЗИРУЮЩАЯ ОСТЕОТОМИЯ
McMurray – медиализирующая
Нарушает ось конечности
Осталась в прошлом
C латерализацией диафиза ( Marti R. et al., 1989)
Нормализует ось конечности
36

37. Несращение

НЕСРАЩЕНИЕ
4 мес. после DHS
37

38. Остеотомия

ОСТЕОТОМИЯ
Разрез 20 см (Silva P., 2011)
Длительность 90-200 мин.
Кровопотеря 400-1500 мл
(Necmioglu S. et al., 2004)
Сращение 80-85%, но…
Не велика ли медиализация
большого вертела?
Резко уменьшено плечо рычага
отводящих мышц
38

39.

♀ 35
4 мес. после
остеосинтеза
Что делать?
39
39

40. Сделали...

СДЕЛАЛИ...
40
40

41. Прошло 4 месяца... что дальше?

ПРОШЛО 4 МЕСЯЦА... ЧТО ДАЛЬШЕ?
1. Эндопротезирование
2. Вальгизирующая остеотомия, фиксация
пластиной
3. Вальгизирующая остеотомия, фиксация
гвоздем
4. Реостеосинтез винтами
5. Закрытый интрамедуллярный
реостеосинтез (PFN, рекон.)
6. Убрать винты, само захряснет
41
41

42. Сделали

СДЕЛАЛИ
42
42

43. 1 год спустя...

1 ГОД СПУСТЯ...
Через 2 года -
жалоб нет
Родила
43
43

44. 6 лет

6 ЛЕТ
Жалоб нет
Головка
сферична

45. Интрамедуллярный остеосинтез сегодня доминирует при фиксации вертельных переломов

ИНТРАМЕДУЛЛЯРНЫЙ ОСТЕОСИНТЕЗ
СЕГОДНЯ ДОМИНИРУЕТ ПРИ ФИКСАЦИИ
ВЕРТЕЛЬНЫХ ПЕРЕЛОМОВ
Почему не применять при реконструктивных операциях?
Единичные публикации
45

46. Материал и методы

МАТЕРИАЛ И МЕТОДЫ
52 больных
Несращения шейки бедра (11),
Вертельные несращения (17)
Деформации проксимального отдела бедра (24)

47. Предоперационное планирование

ПРЕДОПЕРАЦИОННОЕ
ПЛАНИРОВАНИЕ
Скиаграмма
Коррекция шеечно-
диафизарного угла
Снимок в приведении (если нет
подвижности отломков)
Коррекция длины
Только за счет угловой коррекции
Удлинение на уровне
межвертельной остеотомии
Удлинение на другом уровне
Сразу или потом

48. Предоперационное планирование

ПРЕДОПЕРАЦИОННОЕ
ПЛАНИРОВАНИЕ
Скиаграмма
Коррекция шеечно-
диафизарного угла
Снимок в приведении (если нет
подвижности в зоне несращения)
Коррекция длины
Только за счет угловой коррекции
Удлинение на уровне
межвертельной остеотомии
Удлинение на другом уровне
Сразу или потом

49. Предоперационное планирование

ПРЕДОПЕРАЦИОННОЕ
ПЛАНИРОВАНИЕ
Скиаграмма
Коррекция шеечно-
диафизарного угла
Снимок в приведении (если нет
подвижности в зоне несращения)
Коррекция длины
Только за счет угловой коррекции
Удлинение на уровне
межвертельной остеотомии
Удлинение на другом уровне
Сразу или потом

50. Проблема

ПРОБЛЕМА
Как достичь желаемого положения фрагментов и удержать его до
введения и запирания гвоздя?

51. Решение 1

РЕШЕНИЕ 1
Fixator-assisted nailing
Использование аппарата внешней фиксации

52. Предоперационное планирование

ПРЕДОПЕРАЦИОННОЕ ПЛАНИРОВАНИЕ
Скиаграмма
Коррекция шеечно-
диафизарного угла
Снимок в приведении (если
нет подвижности отломков)

53. Техника

ТЕХНИКА
130°

54. техника

ТЕХНИКА
130°
Уровень остеотомии

55.

♂68
6 мес.
Несращение
Варус
55
55

56.

2,8-3,2 mm спица
В заднем отделе
шейки и головки
56
56

57.

57
57

58.

58
58

59. стержень (джойстик) 8 mm

СТЕРЖЕНЬ (ДЖОЙСТИК) 8 MM
59
59

60. Джойстик закреплен к дистальной опоре

ДЖОЙСТИК ЗАКРЕПЛЕН К ДИСТАЛЬНОЙ
ОПОРЕ
60
60

61.

PerQ остеотомия
61
61

62.

Тракция (крыло -
дистальное бедро)
Джойстик закреплен к
дистальной опооре!
62
62

63.

Вальгизация получилась?
63
63

64.

64
64

65.

65
65

66.

66
66

67. 3 месяца

3 МЕСЯЦА
67
67

68. 6 мес.

6 МЕС.
68

69.

♂57
перелом шейки
бедра
2 недели назад

70. Решение 2

РЕШЕНИЕ 2
Использование
джойстика без
аппарата
На боку

71. Джойстик

ДЖОЙСТИК
В заднем
отделе шейки
и головки

72.

Точка
входа

73.

Отклоняющие спицы
Разметка остеотомии

74.

Остеотомия

75. Коррекция

КОРРЕКЦИЯ
Отведение бедра
Приведение центрального
отломка
Джойстик
Точка опоры под бедром

76. Не забываем о ротации!

НЕ ЗАБЫВАЕМ О РОТАЦИИ!
K-wire – позиция
джойстика

77. Не забываем о ротации!

НЕ ЗАБЫВАЕМ О РОТАЦИИ!
25°
Джойстик – индикатор
плоскости анте- (ретро) версии шейки бедра!
Что видим?
Правильно,
ретроверсия

78.

Введение
гвоздя

79.

Введен

80.

Спица

81.

Спица

82.

Канал

83.

Винт

84.

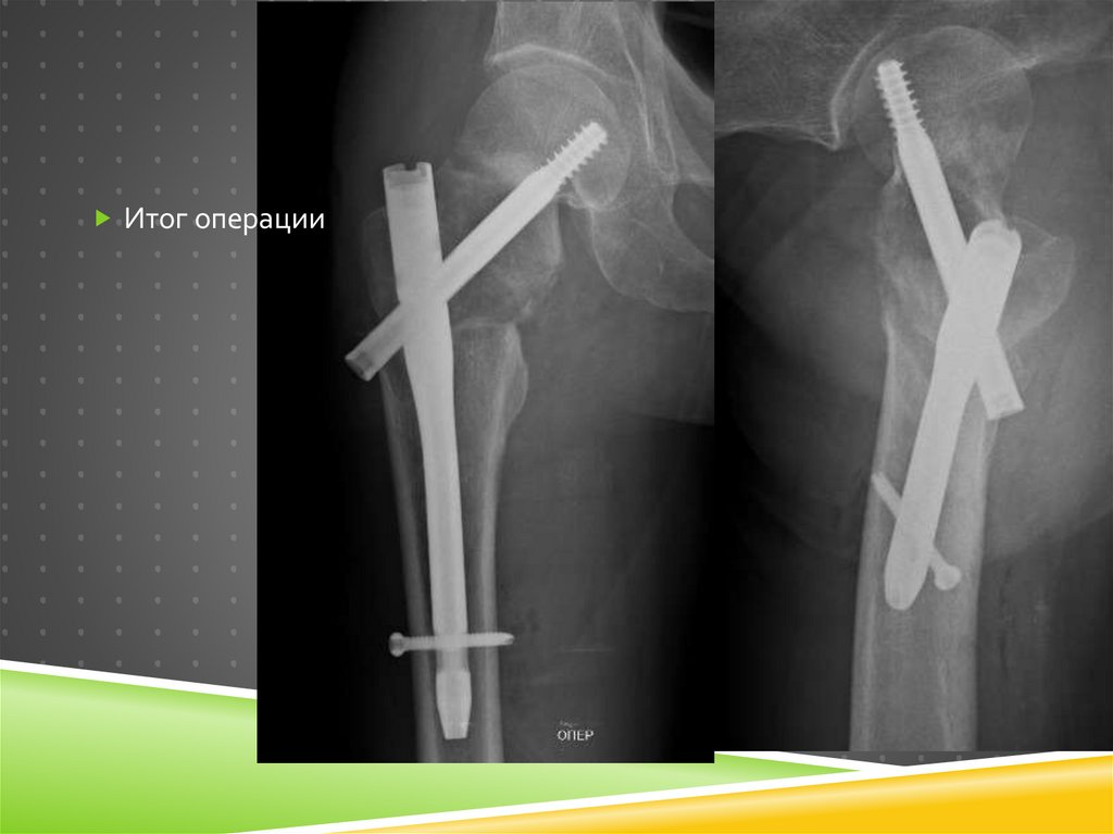
Итог операции

85.

1 год

86.

1 год

87. Еще один вариант техники…

ЕЩЕ ОДИН ВАРИАНТ ТЕХНИКИ…
Деформация

88.

Джойстик

89.

Спица 130 град.
Отграничивающие
спицы

90.

Ретроградно канал
и проводник

91.

Ретрградно канал и
проводник

92.

Проводник введен

93.

Остеотомия
Нижний край
костного канала

94.

Проводник в дистальный
отломок

95.

Гвоздь

96.

Дальше…
Спицы AP2
надо убрать
перед
сверлением
канала под
винт

97.

Итог

98.

2 мес.

99. антеверсия

АНТЕВЕРСИЯ
После введения
винта в шейку бедра
восстанавливаем
нормальную
антеверсию 10-15°
После этого –
дистальное
запирание

100. Результаты

РЕЗУЛЬТАТЫ
Средняя коррекция 38±5°
Кровопотеря min.
Полная нагрузка через 3 мес. 38/49
Сращение 42/52
Аваскулярный некроз, сut-out из-за дефектов головки после
предшествующих операций 8/52 => THA

101. ♂ 25

4 мес. после
остеосинтеза

102.

103. Результат через 1 год

РЕЗУЛЬТАТ ЧЕРЕЗ 1 ГОД

104. Результат через 1 год

РЕЗУЛЬТАТ
ЧЕРЕЗ 1
ГОД

105.


28
Еще один пропущенный # проксимального
отдела
105
105

106.

106
106

107. 3 месяца после операции

3 МЕСЯЦА ПОСЛЕ ОПЕРАЦИИ
107
107

108. 3 месяца после операции

3 МЕСЯЦА ПОСЛЕ ОПЕРАЦИИ
108
108

109. 3 месяца после операции

3 МЕСЯЦА ПОСЛЕ ОПЕРАЦИИ
109
109

110. Косметический результат межвертельной остеотомии

КОСМЕТИЧЕСКИЙ РЕЗУЛЬТАТ
МЕЖВЕРТЕЛЬНОЙ ОСТЕОТОМИИ
6 мес.
110
110

111. 1 год

1 ГОД
111

112. До

ДО
Removal
Результат

113. Ревизионный остеосинтез

РЕВИЗИОННЫЙ ОСТЕОСИНТЕЗ
В чем
проблема?

114. Ревизионный остеосинтез

РЕВИЗИОННЫЙ ОСТЕОСИНТЕЗ
Должен
исправлять
ошибки
предыдущего
этапа?

115. Ревизионный остеосинтез

РЕВИЗИОННЫЙ ОСТЕОСИНТЕЗ
Закономерный
результат

116. Ревизионный остеосинтез

РЕВИЗИОННЫЙ ОСТЕОСИНТЕЗ
Пора делать настоящий
остеосинтез?
Плюс вальгизирующая
подвертельна остеотомия
А ведь можно было просто
правильно выполнить
первичный остеосинтез!
Хотя… если всегдаделать
все правильно, это приведет
к professional burn-out
syndrome

117. Импортозамещение?

ИМПОРТОЗАМЕЩЕНИЕ?

118.

♂56
3 мес. после травмы
Сросшийся перелом
Varus malunion

119. Отечественная конструкция

ОТЕЧЕСТВЕННАЯ КОНСТРУКЦИЯ
Post-op
Телескопирование
винта нужно?
Правильно, не нужно
Статическая фиксация
стопорным винтом
(скомбинированным с
end cup)
Наглухо, Карл!

120.

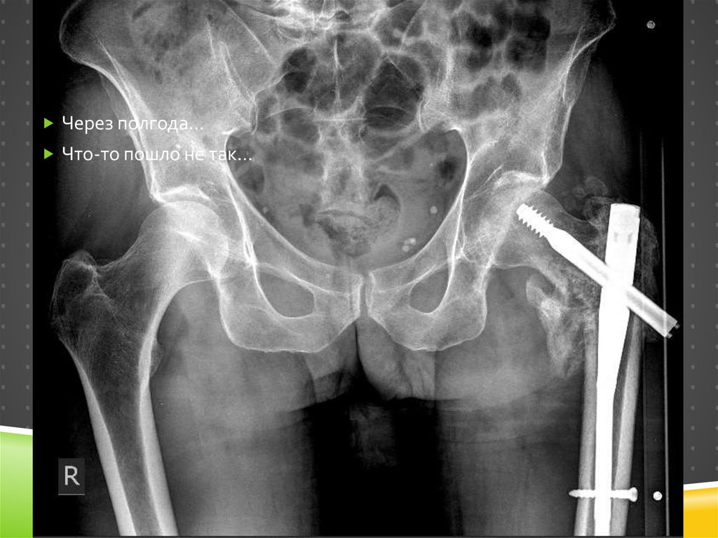
Через полгода…
Что-то пошло не так…

121.

Ревизионный остеосинтез
Уже более правильный
имплантат
Все проблемы решены?

122.

Через 2 мес.

123.

Post-op

124.

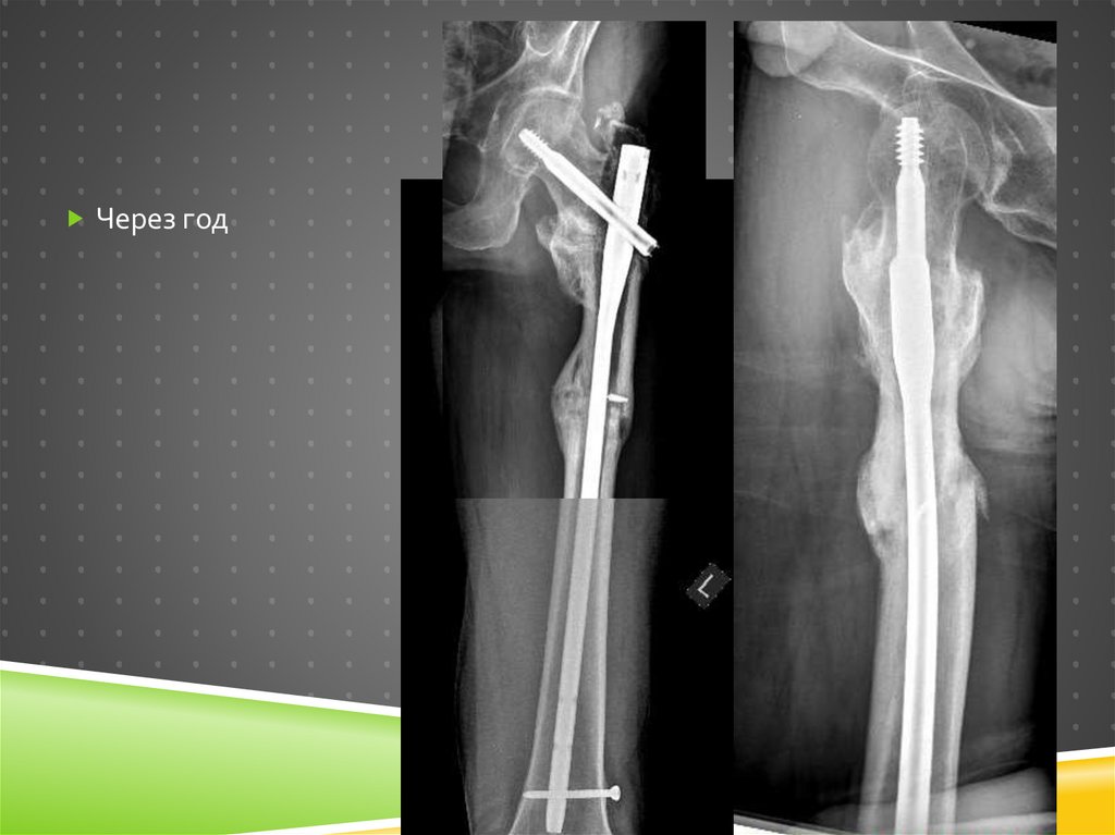
Через год

125. Тот же имплантат

ТОТ ЖЕ ИМПЛАНТАТ
Нужно телескопирование?
Правильно, нужно
Динамическая фиксация стопорного
винта

126.

Вот такое
телескопирование…

127. Еще раз, внимательно!

ЕЩЕ РАЗ, ВНИМАТЕЛЬНО!
Динамическая
фиксация винта –
телескопируется все,
кроме него!!!
Статическая
фиксация винта –
телескопирование!!
!

128.

Они остаются на месте, когда должны двигаться, и двигаются, когда
должны стоять, Карл!

129.

130. Варусная деформация проксимального отдела бедра

ВАРУСНАЯ ДЕФОРМАЦИЯ
ПРОКСИМАЛЬНОГО ОТДЕЛА БЕДРА
Без укорочения – длина уравнивается только
при коррекции ШДУ
Джойстик(и) в головку и шейку бедра
Отклоняющие спицы
Нужна подвижность!
Тракция
Закрытая остеоклазия
PerQ остеотомия
Одномоментная коррекция
130

131. Варусная деформация проксимального отдела бедра

ВАРУСНАЯ ДЕФОРМАЦИЯ
ПРОКСИМАЛЬНОГО ОТДЕЛА БЕДРА
С укорочением – только вальгизация не
уравнивает длину
Наложение аппарата, perQ остеотомия
Гексапод – это наше все! (Л.Н.Соломин)
Дозированная коррекция ШДУ и длины (2-4
нед.)
Частичный демонтаж аппарата на столе
Оставить джойстик в головке и шейке!
Отклоняющие спицы
131

132. Пример

ПРИМЕР
Хотели
протезировать…
Да призадумались
132

133.

1
133

134. Обсуждение

ОБСУЖДЕНИЕ
Менее инвазивная процедура
Не нужно иссекать костный клин
Меньше трансфузионные потребности
Быстрое воостановление
Лучше косметика
Результаты по крайней мере не хуже,
чем при традиционном подходе

135. Не забываем

НЕ ЗАБЫВАЕМ
Оценка состояния головки и шейки бедра перед
ревизионной операцией
Несращения шейки
Реостеосинтез не стоит пытаться делать
Только вальгизирующая остеотомия (если не
эндопротез)!
Размеры и положение каналов от имплантатов
Вводить новый имплантат в интактные участки
Замещать дефекты?
Аллокость, костный цемент

136. Спасибо за внимание!

СПАСИБО ЗА ВНИМАНИЕ!
http://weborto.net
English     Русский Правила