ЗЛОКАЧЕСТВЕННАЯ МЕЗОТЕЛИОМА
Разновидности асбеста
Гистологические типы мезотелиом
Клиническая картина
Обследование
Период выживаемости
Лечение
524.00K
Категория: МедицинаМедицина

Злокачественная мезотелиома

1. ЗЛОКАЧЕСТВЕННАЯ МЕЗОТЕЛИОМА

2.

• Злокачественная мезотелиома
образуется из мезотелиальных клеток,
выстилающих плевральную полость.
Лица, находящиеся в контакте с
асбестом, более подвержены развитию
данной опухоли. Злокачественная
мезотелиома характеризуется очень
плохим прогнозом.

3. Разновидности асбеста


хризотил-асбест
амозит
крокидолит (Южная Африка).
Антофиллит
• Используется - изоляционные
материалы, кровельные и черепичные
покрытия, прокладки тормозов

4. Гистологические типы мезотелиом


Эпителиальные
Мезенхимальные
Смешанная
Недиференцированная
35-40%
20%
35-40%
5-10%

5. Клиническая картина

• Боль
• Снижение массы тела
• Приступообразный сухой
кашель
• Одышка

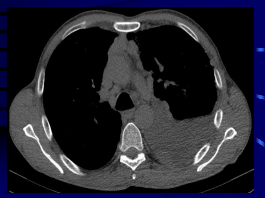
6. Обследование


Рентгенологическое исследование
Компьютерная томоргафия.
Ультрозвуковая биолокация.
Исследование плевральной жидкости.
Функциональное обследование.

7.

8. Период выживаемости


Средний
1 ст.
II ст.
III ст.
4-12 мес.(8-14 мес.)
10 мес.
9 мес.
5 мес.

9.

• Опухоль ограничена париетальной и/или
висцеральной плеврой на одной стороне грудной
полости.

10.

11.

• Опухоль распространяется на любой из следующих
органов: легкое на стороне поражения,
внутригрудную фасцию, диафрагму, перикард.

12.

13.

• Опухоль распространяется на любой из следующих
органов: мышцы грудной стенке на стороне
поражения, ребра, органы или ткани средостения.

14.

• Опухоль, непосредственно
распространяется на
противоположную плевру,
противоположное легкое,
брющину, органы брющной
полости, ткани шеи.

15.

16. Лечение


Хирургическое.
Химиотерапия (доксорубицин)
Лучевая терапия.
Паллиативная терапия.
English     Русский Правила