Лучевые исследования при заболеваниях печени, желчевыводящих путей, поджелудочной железы
Компьютерная томограмма с контрастированием у больного с жировой печенью. Резко снижен коэффици­ент поглощения паренхимы,
Жировая дистрофия печени
Компьютерная томограмма печени. Жировой гепатоз
774.00K
Категория: МедицинаМедицина

Лучевые исследования при заболеваниях печени, желчевыводящих путей, поджелудочной железы

1. Лучевые исследования при заболеваниях печени, желчевыводящих путей, поджелудочной железы

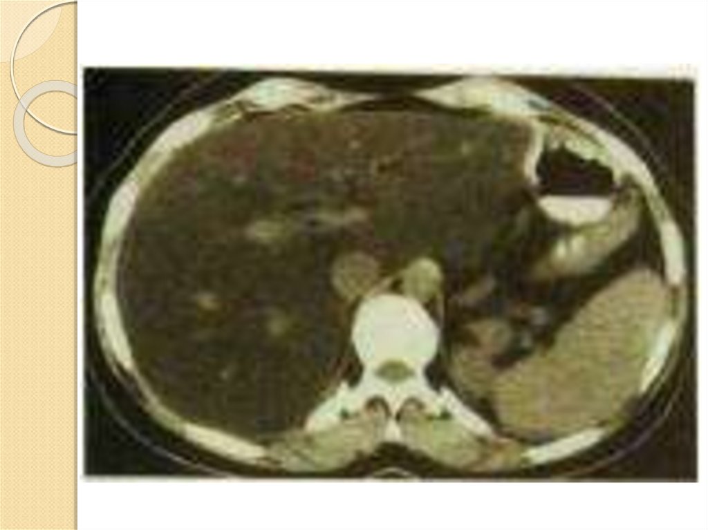
2. Компьютерная томограмма с контрастированием у больного с жировой печенью. Резко снижен коэффици­ент поглощения паренхимы,

Компьютерная томограмма с контрастированием у больного
с жировой печенью. Резко снижен коэффициент поглощения
паренхимы, выделяются кровеносные сосуды.

3. Жировая дистрофия печени

4. Компьютерная томограмма печени. Жировой гепатоз

English     Русский Правила