ТЕМА: КРОВЬ И КРОВЕТВОРЕНИЕ
КРОВЬ-ТКАНЬ
ЭЛЕКТРОФОРЕЗ БЕЛКОВ ПЛАЗМЫ КРОВИ
ГЕМОГРАММА схематическая запись количественных и качественных показателей форменных элементов крови в пересчете на 1 л крови.
ЭРИТРОЦИТЫ
Форма и размеры определяют качество эритроцитов
УЛЬТРАМИКРОСТРУКТУРА ЭРИТРОЦИТА
ЛЕЙКОЦИТЫ - ИСТИННЫЕ КЛЕТКИ КРОВИ
СДВИГ ЛЕЙКОФОРМУЛЫ ВЛЕВО
ОСНОВНАЯ ФУНКЦИЯ-ФАГОЦИТОЗ
ЭОЗИНОФИЛЬНЫЙ ГРАНУЛОЦИТ
ОСНОВНЫЕ ФУНКЦИИ ЭОЗИНОФИЛЬНЫХ ГРАНУЛОЦИТОВ
ОСНОВНЫЕ ФУНКЦИИ ЛИМФОЦИТОВ
ОБРАЗОВАНИЕ ТРОМБОЦИТОВ
МЕГАКАРИОЦИТ В ТКАНИ ЛЕГКОГО ПРИ ТРАВМЕ ККМ
ГЕМОПОЭЗ В СТЕНКЕ ЖЕЛТОЧНОГО МЕШКА
ПОЭТАПНАЯ ДИФФЕРЕНЦИРОВКА
10.81M
Категория: МедицинаМедицина

Кровь и кроветворение

1. ТЕМА: КРОВЬ И КРОВЕТВОРЕНИЕ

1. Кровь – жидкая ткань внутренней среды.
Общая морфо-функциональная характеристика.
2. Строение и функции форменных элементов.
3. Клинические показатели крови.
Гемограмма и лейкоцитарная формула.
4. Этапы кроветворения в онтогенезе.
5. Миелоидное и лимфоидное кроветворение.

2. КРОВЬ-ТКАНЬ

МЕЖКЛЕТОЧНОЕ
ВЕЩЕСТВО
КЛЕТКИ

ОТНОШЕНИЕ ФОРМЕННЫХ ЭЛЕМЕНТОВ К ПЛАЗМЕ

3.

ПЛАЗМА
ЛЕЙКОЦИТЫ
ЭРИТРОЦИТЫ И
ТРОМБОЦИТЫ

4. ЭЛЕКТРОФОРЕЗ БЕЛКОВ ПЛАЗМЫ КРОВИ


обеспечивают
онкотическое давление
крови

транспортные белки
участвуют в
свертывающей системе
крови
И др.

5. ГЕМОГРАММА схематическая запись количественных и качественных показателей форменных элементов крови в пересчете на 1 л крови.

Включает данные о количестве всех форменных элементов
крови, их морфологических особенностях, СОЭ, содержании
гемоглобина, цветном показателе, гематокритном числе…

6.

7. ЭРИТРОЦИТЫ

8.

9.

ПОЙКИЛОЦИТОЗ
изменение формы
эритроцитов
- СФЕРОЦИТЫ
- ПЛАНОЦИТЫ
- ЭХИНОЦИТЫ
- СТОМАТОЦИТЫ
- СЕРПОВИДНЫЕ

10.

АНИЗОЦИТОЗ - наличие в периферической крови
форменных элементов с размерами, выходящими за
пределы физиологической вариации

11. Форма и размеры определяют качество эритроцитов

12.

показывает на сколько
быстро происходит
оседание эритроцитов,
т.е. агломерация
(склеивание)
эритроцитов

13.

ПОЛИХРОМАТОФИЛЬНЫЙ
ЭРИРОБЛАСТ

14. УЛЬТРАМИКРОСТРУКТУРА ЭРИТРОЦИТА

15.

Сканирующая
электронная
микроскопия
ЛЕЙКОЦИТ

16. ЛЕЙКОЦИТЫ - ИСТИННЫЕ КЛЕТКИ КРОВИ

17.

ЛЕЙКОЦИТЫ
В МАЗКЕ КРОВИ

18.

19.

НЕЙТРОФИЛЬНЫЙ ГРАНУЛОЦИТ

20.

специализированные
лизосомы-пероксидаза,
лизоцим
лизоцим,
щелочную фосфатазу,
лактоферрин, коллагеназу
хемотаксис нейтрофилов

21.

22. СДВИГ ЛЕЙКОФОРМУЛЫ ВЛЕВО

23. ОСНОВНАЯ ФУНКЦИЯ-ФАГОЦИТОЗ

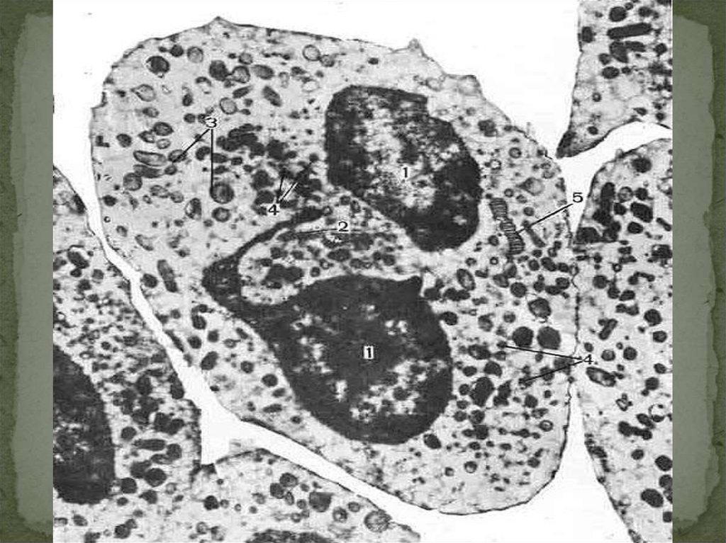
24. ЭОЗИНОФИЛЬНЫЙ ГРАНУЛОЦИТ

лизосомы
пероксидазы, MBP,
эозинофильный
нейротоксин,
гистоминаза

25.

26. ОСНОВНЫЕ ФУНКЦИИ ЭОЗИНОФИЛЬНЫХ ГРАНУЛОЦИТОВ

ПРОТИВОПРОТОЗОЙНАЯ
(АНТИГЕЛЬМИНТОЗНАЯ)
УМЕНЬШЕНИЕ ВОСПАЛЕНИЯ
АЛЛЕРГИЧЕСКОГО ХАРАКТЕРА
ФАГОЦИТОЗ БАКТЕРИЙ, НО В МЕНЬШЕЙ
СТЕПЕНИ
ПЕРЕВАРИВАНИЕ КОМПЛЕКСОВ АНТИГЕНАНТИТЕЛО (ИММУННЫЕ РЕАКЦИИ)

27.

ГЕПАРИН
(ПРЕПЯТСТВУЕТ
СВЕРТЫВАНИЮ
КРОВИ)
ГИСТАМИН
(РАСШИРЯЕТ
КРОВЕНОСТНЫЙ
СОСУД, ПОВЫШАЕТ
ПРОНИЦАЕМОСТЬ)

28.

29.

30.

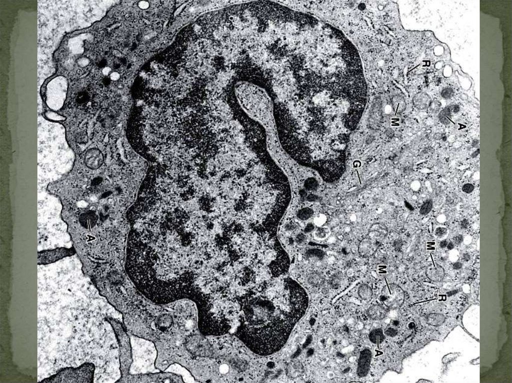
31. ОСНОВНЫЕ ФУНКЦИИ ЛИМФОЦИТОВ

В-ЛИМФОЦИТЫ – СИНТЕЗИРУЮТ АНТИТЕЛА
Т-ЛИМФОЦИТЫ –РЕГУЛИРУЮТ ИММУНИТЕТ
Т-КИЛЛЕРЫ, ЗАЩИТА ОТ ГЕНЕТИЧЕСКИ
ИЗМЕНЕННЫХ СОБСТВЕННЫХ КЛЕТОК
Т-СУПРЕССОРЫ – УГНЕТАЮТ ФУНКЦИИ
РАЗЛИЧНЫХ ЛИМФОЦИТОВ
Т-ХЕЛПЕРЫ – СПОСОБСТВУЮТ
ПРОЛИФЕРАЦИИ И ДИФФЕРЕНЦИРОВКЕ
ЛИМФОЦИТОВ (ЧЕРЕЗ ЦИТОКИНЫ)
О-НУЛЕВЫЕ (НАТУРАЛЬНЫ КИЛЛЕРЫ)

32.

ДИФФЕРЕНЦИРУЮТСЯ В МАКРОФАГИ

33.

34.

МКМ

35.

36.

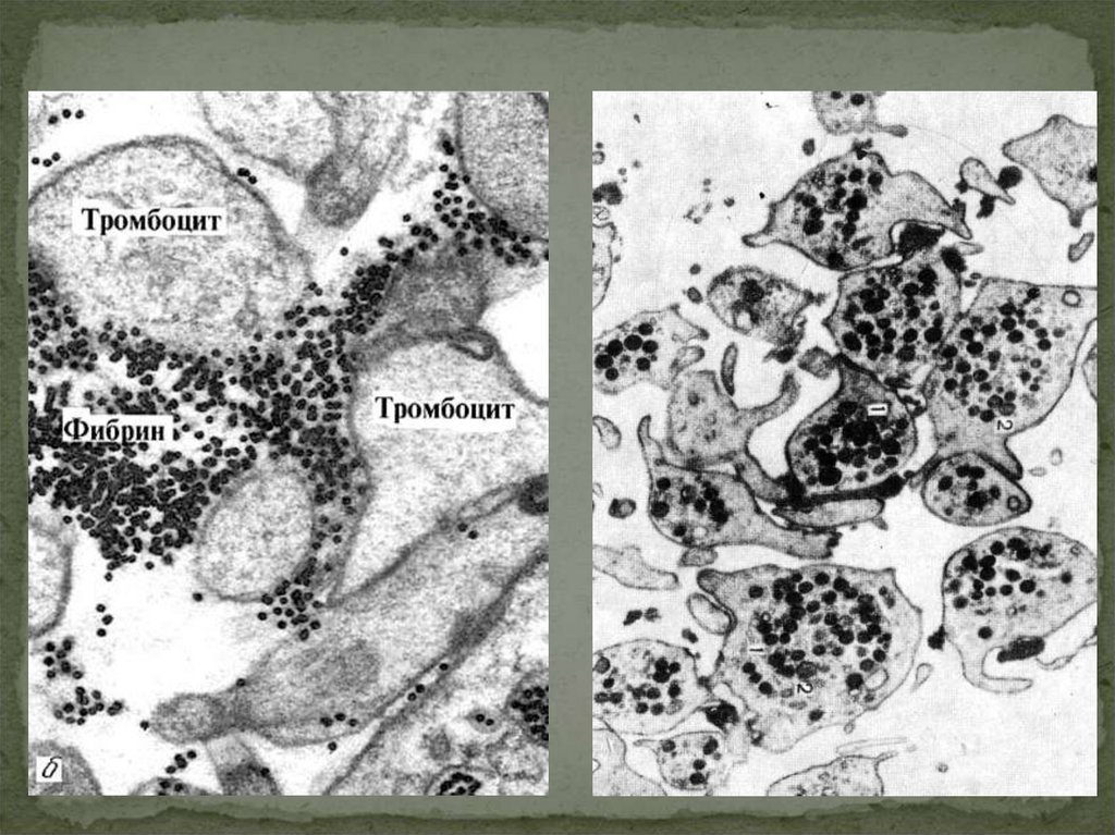
37. ОБРАЗОВАНИЕ ТРОМБОЦИТОВ

38.

39.

40.

41. МЕГАКАРИОЦИТ В ТКАНИ ЛЕГКОГО ПРИ ТРАВМЕ ККМ

42.

Периоды кроветворения
Эмбриональный (гистогенез)
Желточный
Постэмбриональный (регенерация)
2-3 неделя-3 месяц
Гепатотимусолиенальный
медуллотимусолимфоидный
5 неделя -5 месяц
2 месяц
теории
полифилетическая
унитарная

43.

44. ГЕМОПОЭЗ В СТЕНКЕ ЖЕЛТОЧНОГО МЕШКА

45.

46.

47.

ГЕМОЦИТОПОЭЗ
виды
типы
миелоидное
1. Эритропоэз
2. Гранулоцитопоэз
3. Моноцитопоэз
4. Тромбоцитопоэз
лимфоидное
В-
Т-
Мегалобластическое
Нормобластическое

48. ПОЭТАПНАЯ ДИФФЕРЕНЦИРОВКА

Классы
- стволовые;
- полустволовые;
- унипотентные;
- бластные;
- созревающие;
- зрелые клетки

49.

50.

51.

52.

СПАСИБО
ЗА ВНИМАНИЕ
English     Русский Правила