рентгенограммы для экзамена
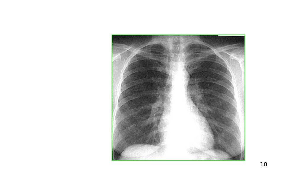
Рентгенограмма органов грудной клетки в прямой проекции
Ателектаз
Просветление легочного поля - эмфизема
Гидроторакс
Гидронефроз. Экскреторная урография
Пневмоторакс
Конфигурация сердца (аортальная)
Митральная конфигурация сердца
Дуги сердца
Язвенная болезнь желудка
Неспецифический язвенный колит
Отек легких, застой по малому кругу кровообращения
Трапециевидная конфигурация сердца
Изменения при ревматоидном артрите
Долевая пневмония
Бронхоэктатическая болезнь
Ангиография сосудов нижних конечностей
3.85M
Категория: МедицинаМедицина

Рентгенограмма органов грудной клетки

1. рентгенограммы для экзамена

2. Рентгенограмма органов грудной клетки в прямой проекции

10

3. Ателектаз

30

4.

Инородное
Инородное тело.
тело. Клапанная
Клапанная эмфизема
эмфизема
41

5. Просветление легочного поля - эмфизема

Просветление
Просветление легочного
легочного поля
поля -- эмфизема
эмфизема
44

6. Гидроторакс

59

7. Гидронефроз. Экскреторная урография

8. Пневмоторакс

9. Конфигурация сердца (аортальная)

10. Митральная конфигурация сердца

11. Дуги сердца

12. Язвенная болезнь желудка

13. Неспецифический язвенный колит

14. Отек легких, застой по малому кругу кровообращения

15. Трапециевидная конфигурация сердца

16. Изменения при ревматоидном артрите

17. Долевая пневмония

18. Бронхоэктатическая болезнь

19. Ангиография сосудов нижних конечностей

English     Русский Правила