31.10.2018ж. Жасалған операциялар тізімі.
1.КУСАИНОВА ГУЛЬФИЯ    31.01.1990 (28жас)
2.НУРБАЕВА ХАЛИПА ШОНГАРАЕВНА     18.09.1963 (55 жас)
БЕЙСЕМБЕКОВА ЖАНЫЛ ХАМИТОВНА     10.12.1965 (53 жас)
ЛОХМАНОВА ЗЕЙНБУБИ АЗИСОВНА     14.03.1965 (53жас)
01.11.2018ж. Жасалған операциялар тізімі.
КАМЗАХМЕТОВ НУРЛАН     12.06.1947 (71 жас)
ЕЛИКБАЕВА АЛИЯ АБДИКАДЫРОВНА     12.10.1981 (37жас)
КЕМЕШ ҚАЙДАР     15.02.1986 (32 жас)
02.11.2018ж. Орындалатын операцияларға клиникалық талдау.
КУАТБЕКОВ АСКАР     28.12.1970 (37жас)
7.27M
Категория: МедицинаМедицина

Жасалған операциялар тізімі

1. 31.10.2018ж. Жасалған операциялар тізімі.

2. 1.КУСАИНОВА ГУЛЬФИЯ    31.01.1990 (28жас)

1.КУСАИНОВА ГУЛЬФИЯ 31.01.1990
(28жас)
Диагноз: IV, V оң табан сүйектерінің жабық
сынуы, ығысумен.
Операция: V табан сүйегінің ашық репозциясы,
остеосинтез пластинамен. IV табан сүйегінің
жабық репозицясы, остеосинтез спицамен.

3.

4.

5. 2.НУРБАЕВА ХАЛИПА ШОНГАРАЕВНА     18.09.1963 (55 жас)

2.НУРБАЕВА ХАЛИПА
ШОНГАРАЕВНА 18.09.1963
(55 жас)
Диагноз: Оң тізе буынының жабық жарақаты.
Буын блокадасы.
Операция: оң тізе буынының емдікдиагностикалық артроскопиясы. Оң тізе
буынының ішкі менискінің парциальды
резекциясы. Вапоризация, лаваж, буын
санациясы.

6. БЕЙСЕМБЕКОВА ЖАНЫЛ ХАМИТОВНА     10.12.1965 (53 жас)

БЕЙСЕМБЕКОВА ЖАНЫЛ
ХАМИТОВНА 10.12.1965
(53 жас)
• Диагноз: сол шыбық сүйегінің біткен
сынығы, темір пластиналы конструкция.
• Операция: темір пластиналы
конструкцияны сол шыбық сүйегінен алу.

7. ЛОХМАНОВА ЗЕЙНБУБИ АЗИСОВНА     14.03.1965 (53жас)

ЛОХМАНОВА ЗЕЙНБУБИ
АЗИСОВНА 14.03.1965
(53жас)
Диагноз: Оң тізе буынының жабық жарақаты.
Буын блокадасы.
Операция: оң тізе буынының емдікдиагностикалық артроскопиясы. Оң тізе
буынының ішкі менискінің парциальная
резекциясы. Вапоризация, лаваж, буын
санациясы.

8. 01.11.2018ж. Жасалған операциялар тізімі.

9. КАМЗАХМЕТОВ НУРЛАН     12.06.1947 (71 жас)

КАМЗАХМЕТОВ
НУРЛАН 12.06.1947
(71 жас)
Диагноз:Оң жақ ортан жілік сүйек мойынының
жабық сынығы.
Операция: Оң жақ жанбас-сан буының тотальді
эндопротездеу.

10.

11. ЕЛИКБАЕВА АЛИЯ АБДИКАДЫРОВНА     12.10.1981 (37жас)

ЕЛИКБАЕВА АЛИЯ
АБДИКАДЫРОВНА 12.10.1981
(37жас)
Диагноз: оң тобық буынының артрозы.
Операция: оң тобық буынының артродезі.

12.

13. КЕМЕШ ҚАЙДАР     15.02.1986 (32 жас)

КЕМЕШ ҚАЙДАР 15.02.1986
(32 жас)
• Диагноз: сол ортан жілік сүйегінің біткен
сынығы, интрамедулярлы темір
конструкция.
• Операция: интрамедулярлы темір
конструкцияны сол ортан жілік сүйегінен
алу.

14. 02.11.2018ж. Орындалатын операцияларға клиникалық талдау.

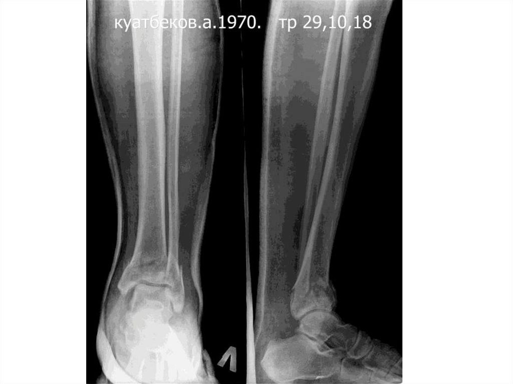
15. КУАТБЕКОВ АСКАР     28.12.1970 (37жас)

КУАТБЕКОВ АСКАР 28.12.1970
(37жас)
• Сол асықты жіліктің төменгі 1/3 сынуы,
ығысумен. Шыбық сүйектің жоғарғы 1/3
бөлігінің ығысумен сынуы. Сол балтырдың
жоғарғы 1/3 жыртылған жарасы.
English     Русский Правила