6.84M
Категория: МедицинаМедицина

Жақсүйектерінің одонтогенді ісік тәрізді құрылымдары

1.

Жақсүйектерінің
одонтогенді ісік
тәрізді
құрылымдары
Орындаған:Құрағанова
Әсем
СТ-16-005-02

2.

Жоспар:
1)Радикулярлы киста дегеніміз не?
Этиологиясы ,патогенезі ,клиникасы ,рентгенограммас
ы,дифф диагностикасы және емі?
2)Фолликулярлы
киста клиникасы ,рентгенограммасы,дифф диагностик
асы және емі?
3)Эпулис клиникасы ,рентгенограммасы,дифф диагнос
тикасы және емі?

3.

Радикулярлы киста дегеніміз не?
Капсула мен сұйықтықтан тұратын
ісік тәрізді құрылым

4.

5.

6.

7.

8.

9.

10.

11.

12.

13.

14.

15.

16.

17.

18.

19.

20.

21.

22.

23.

24.

25.

26.

27.

28.

29.

30.

31.

32.

33.

34.

35.

36.

37.

38.

39.

40.

41.

42.

43.

44.

45.

46.

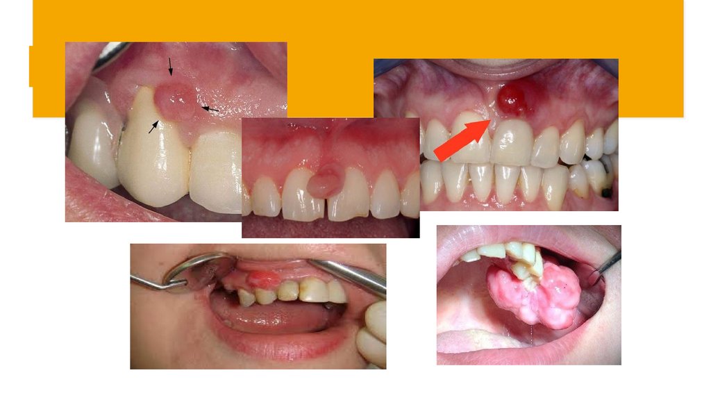
Физикальді тексеру:
Фиброзды түрі:
Қызылиектің вестибулярлық жағында кең, сирек негізде (аяқшамен)
орналасқан және тістерге жақын орналасқан дөңгелек немесе дұрыс
емес пішіннің қалыптасуы тіс аралық арқылы оральды жағына таралуы
мүмкін;
· Бозғылт қызғылт түсті шырышты қабықпен жабылған, беті тегіс немесе
кедір-бұдыр, тығыз эластикалық консистенциялы, ауыртпалықсыз,
қанамайды.

47.


Ангиоматозды түрі:
· Тістің мойнында орналасқан;
· Кішкене кедір бұдырлы , сирек тегіс бет, ашық қызыл түсті
цианотикалық реңкпен, салыстырмалы түрде жұмсақ консистенциямен.
· Жеңіл жарақат кезінде де қан кетеді.

48.


Перифериялық алып жасуша формасы:
· Дөңгелек немесе сопақ пішінді ауыру сезімінсіз түзілім ;
· Кедір-бұдырлы бет, жұмсақ немесе тығыз серпімді консистенциялы, көкшіл-күлгін
түсті.
· Жақтың альвеолярлы бөлігінде орналасқан, қанайды.
· Эпулис бекітілген тістер ығысып, босатылады.

49.

Рентгенографиясы:
Фиброзды форма: альвеолярлы процестің шетін
резорбциялау;
· Ангиоматозды: өзгеріссіз;
· Перифериялық алып жасуша формасы: жақтың
альвеолярлы процесінің кортикальды тақтасының бұзылуы
English     Русский Правила