12.56M
Категория: МедицинаМедицина

Лучевая диагностика опорнодвигательного аппарата

1.

Лучевая диагностика опорнодвигательного аппарата
Кафедра современных методов диагностики и
радиолучевой терапии
Заведующий кафедрой:
профессор, д.м.н.
Рязанов Владимир Викторович
Преподаватель: ассистент кафедры
Савалей Евгения Александровна

2.

Сколиоз
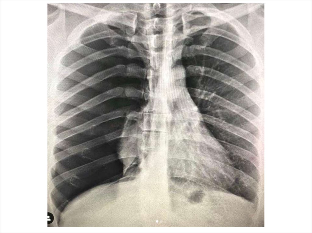
На рентгенограмме грудного отдела
позвоночника в прямой проекции стоя
определяется отклонение оси
позвоночника вправо с
формированием сколиотической дуги
на уровне Th6-Th11, угол сколиоза 1100
(4 степень сколиоза)

3.

На рентгенограммах грудного и поясничного отделов позвоночника в
двух проекциях лёжа отклонение оси позвоночника влево на уровне Th4Th12, угол сколиоза 650 (4 степень сколиоза) с правосторонней
противодугой на уровне Th12-L4, угол сколиоза 450. Признаки
патологической ротации тел позвонков 4 степени. Грудной кифоз усилен
(угол кифоза 720). Вентральная клиновидность тел грудных позвонков на
высоте кифоза. Снижение высоты межпозвонковых дисков.

4.

Патологические изгибы в
сагиттальной плоскости

5.

Причины сколиоза и патологических
изгибов в сагиттальной плоскости
• Мышечные
• Костные
– Травматические
– Врождённые аномалии
• Неврологические

6.

Полупозвонок

7.

8.

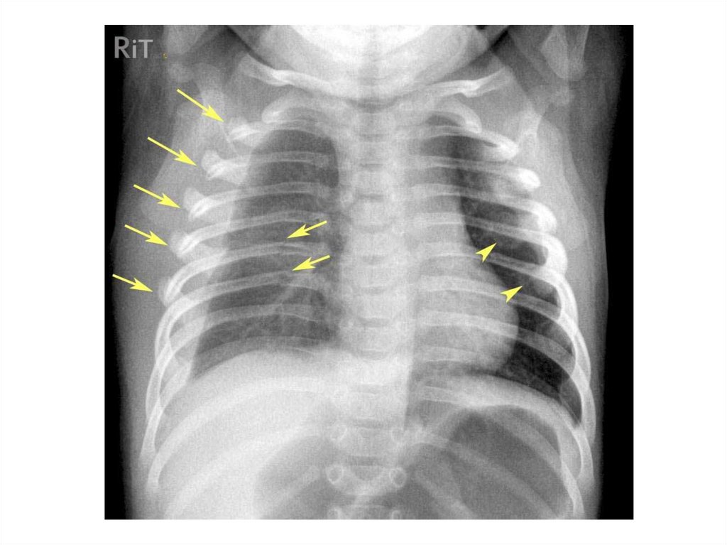
Сращение рёбер

9.

Ребро Люшка

10.

Сращение позвонков

11.

Воронкообразная деформация
грудной клетки
Индекс Хеллера
Индекс Гижицкой

12.

Переломы костей свода черепа
• Линейные
• Оскольчатые:
– Без вдавления (простой)
– Вдавленные
• Импрессионный
• Депрессионный
• Травматическое расхождение швов

13.

Линейный перелом
На рентгенограммах черепа в двух проекциях
линейный перелом правой теменной кости

14.

Вдавленный импрессионный перелом

15.

16.

Вдавленный депрессионный
перелом

17.

Расхождение швов

18.

КТ при черепно-мозговых травмах
• Оперативно
• Информативно
субдуральная
эпидуральная

19.

Переломы позвонков
• Переломы тел позвонков
• Переломы дуг
• Переломы отростков
Типы повреждения позвоночника:
• Компрессионный (А)
• Дистракционный (В)
• Ротационный (С)

20.

21.

22.

КТ и МРТ при переломе позвонков
• Состояние спинного мозга

23.

МРТ при переломах
позвонков

24.

ПОВТОРЕНИЕ
Что является источником излучения в ПЭТ?
1. Человек
2. Рентгеновская трубка
3. РФП
4. Солнце
5. Датчик

25.

Какой вид контраста используют для
внутривенной рентгенографии?
1.
2.
3.
4.
5.
Гадолинийсодержащий
Водонерастворимый
Негативный
Водорастворимый
Жирорастворимый

26.

Какой вид излучения используется в
мультиспиральной компьютерной
томографии?
1.
2.
3.
4.
5.
Инфракрасный
Гамма-излучение
Рентгеновский
Альфа-излучение
Ультразвуковые волны

27.

На границе с какой средой
ультразвуковые волны отражаются?
1.
2.
3.
4.
5.
6.
Жидкость
Газ
Мышца
Кость
Хрящ
Камень

28.

Назовите
• Вид исследования
• Область исследования
• Патологию

29.

30.

31.

32.

33.

34.

35.

36.

37.

38.

39.

40.

41.

42.

43.

44.

45.

46.

47.

48.

49.

50.

51.

52.

53.

54.

Молодцы!
English     Русский Правила