38.76M
Категория: МедицинаМедицина

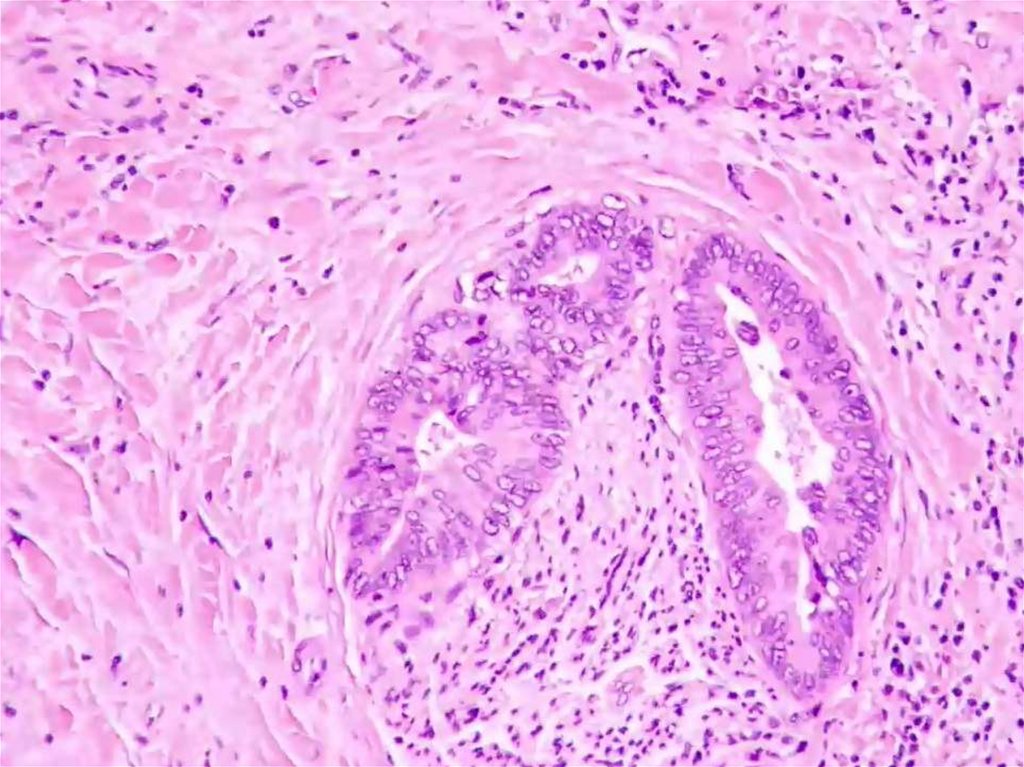
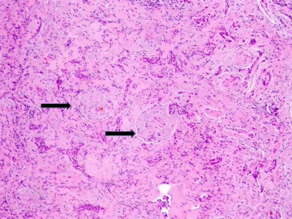
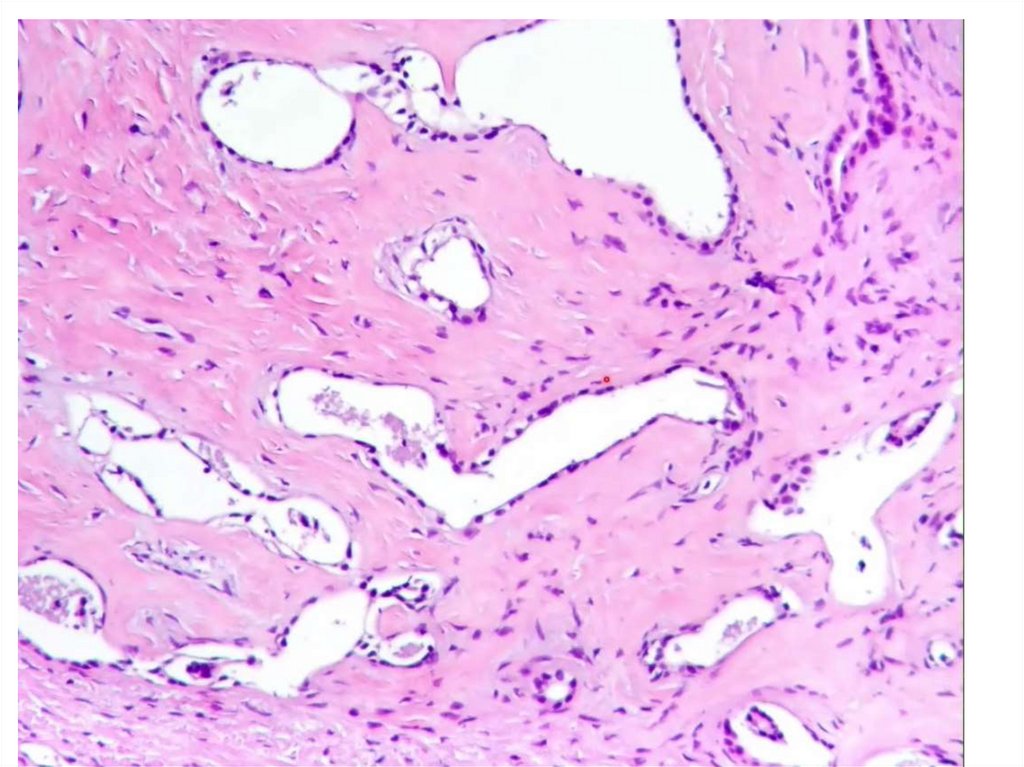
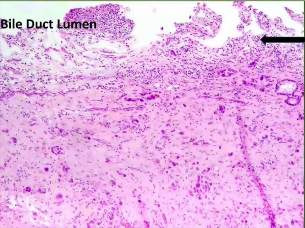
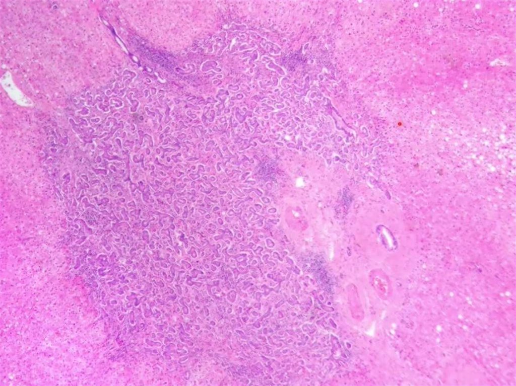
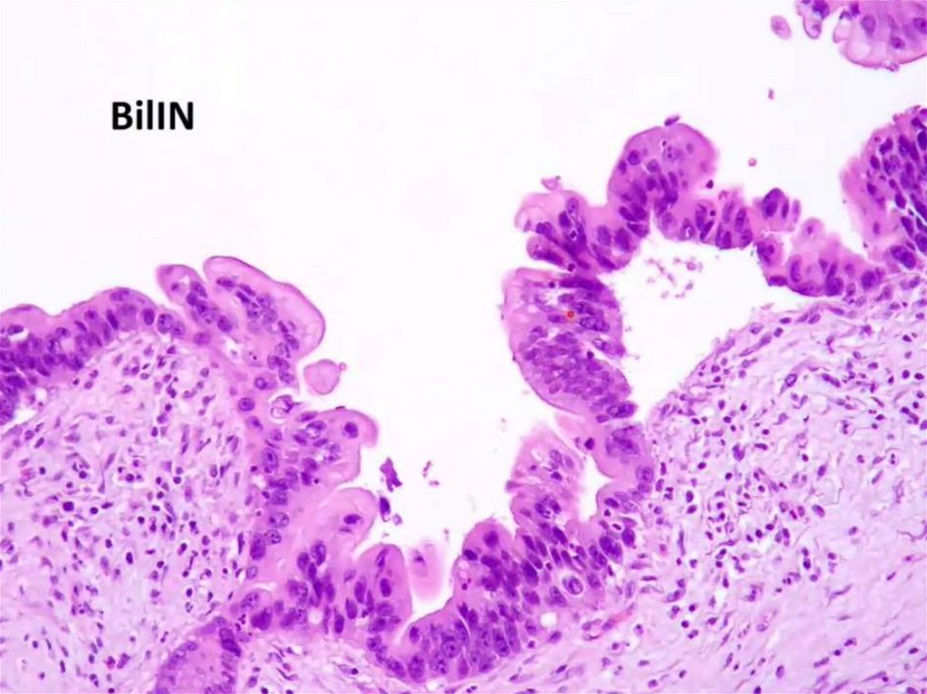
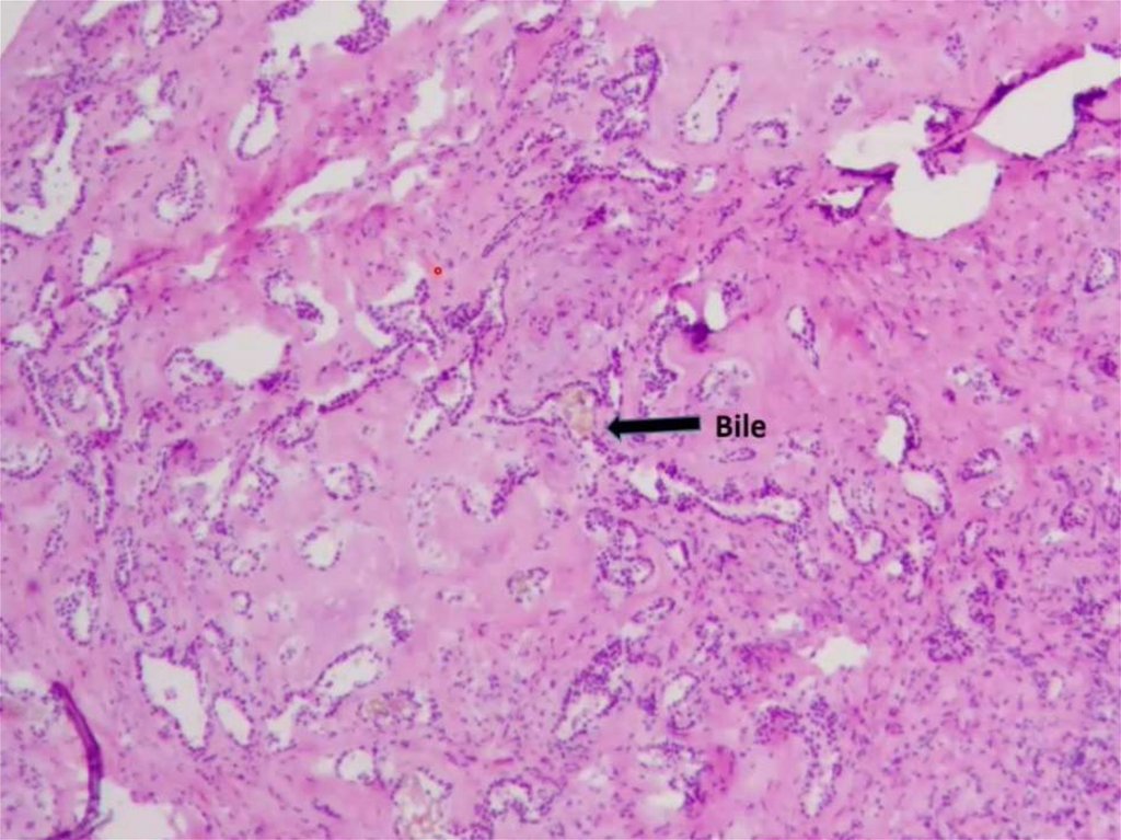
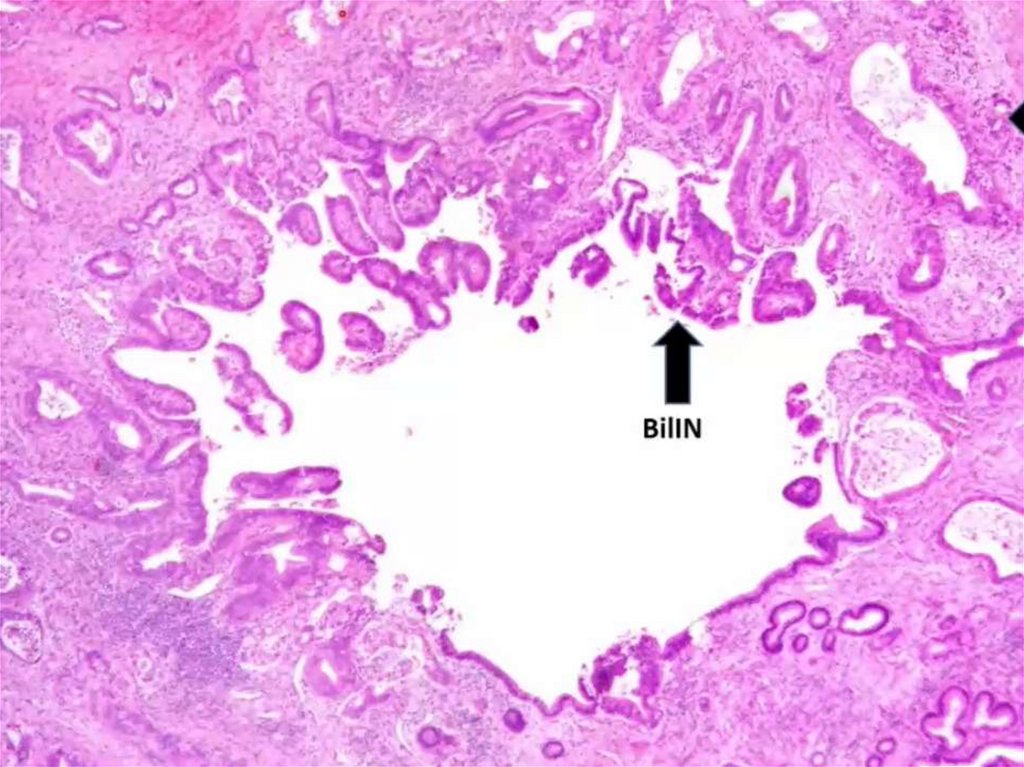
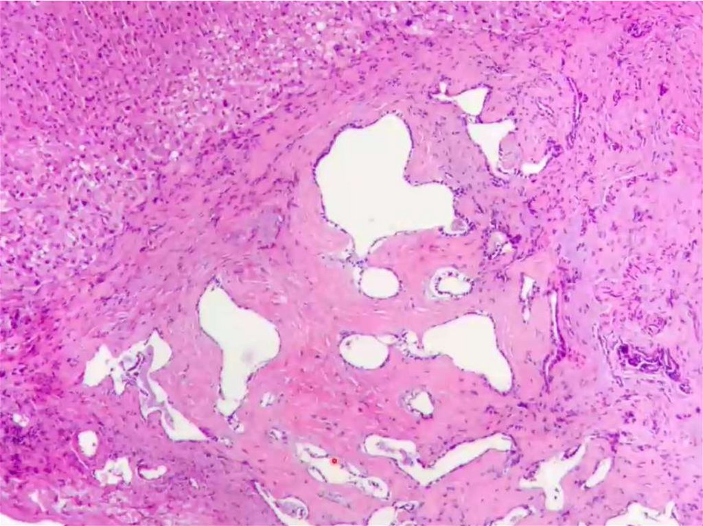
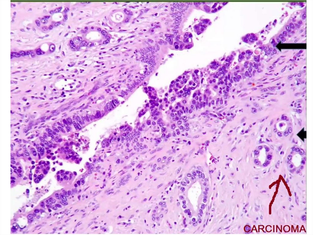
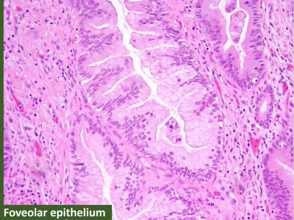
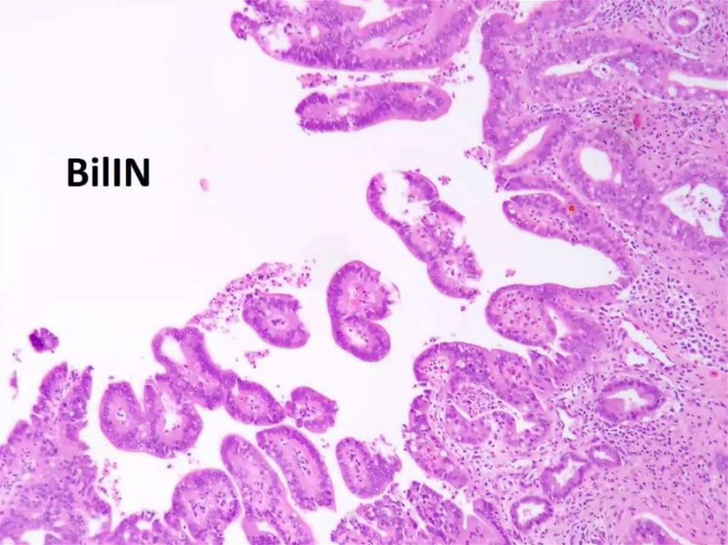
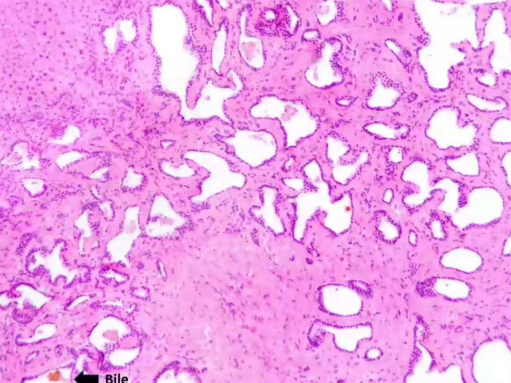
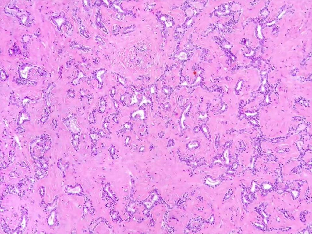
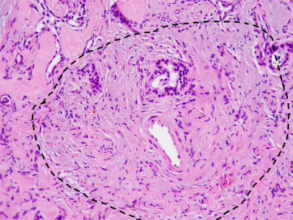
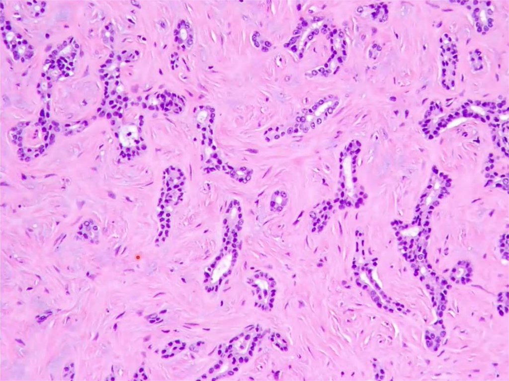
Cholangicarcinoma

1.

English     Русский Правила