5.96M
Категория: БиологияБиология

Строение матки хищных животных

1.

СТРОЕНИЕ МАТКИ
ХИЩНЫХ ЖИВОТНЫХ
Котягин Егор 2 курс 7 группа

2.

UTERUS
Матка - это толстостенный, полостной,
перепончато-слизисто-мышечный орган, в
котором развивается зародыш и созревает
плод. Небеременная матка располагается в
тазовой и в брюшной полостях. Она лежит
под прямой кишкой и над мочевым пузырем.

3.

СТРОЕНИЕ
Состоит из шейки, тела и двух рогов

4.

CERVIX
Шейка является каудальной частью матки. Она расположена между телом
матки и влагалищем. Вход от тела матки называется внутренним, а со стороны
влагалища – наружным устьем. Устья сообщаются между собой через узкий
канал шейки матки, который открывается только во время стадии возбуждения
полового цикла, родов и при некоторых патологических процессах.
Слизистая оболочка шейки матки - в отличие от остальной части матки не
теряется во время менструации.

5.

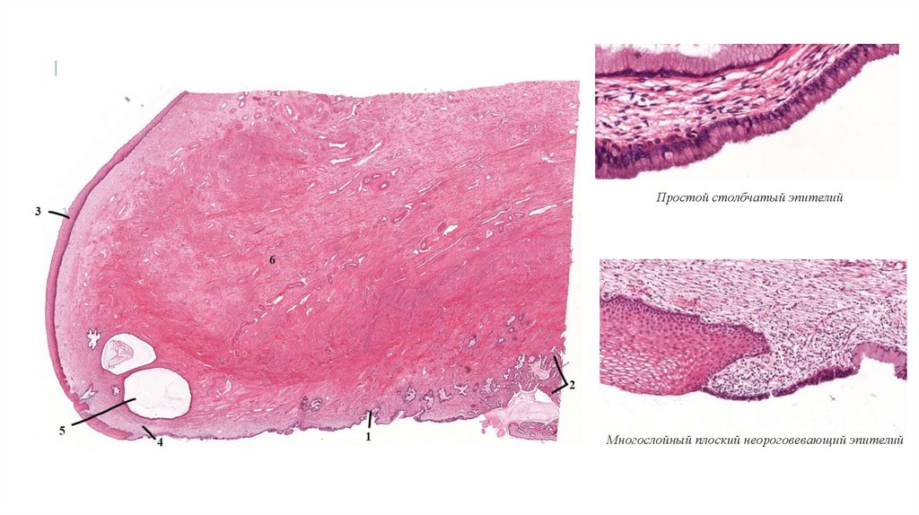
Простой столбчатый эпителий
Многослойный плоский неороговевающий эпителий

6.

CERVIX
1. Эндоцервикс - образует стенку цервикального канала. Состоит из простого столбчатого
эпителия - в основном секретирующие слизь клетки
2. Шейные железы - разветвленные железы из секретирующих слизь клеток,
расположенные в собственной пластинке.
3. Эктоцервикс - часть шейки матки, которая выступает во влагалище и содержит отверстие
матки. Состоит их многослойного плоский неороговевающего эпителия - непрерывно
выстилает слизистую оболочку влагалища.
4. Зона трансформации - резкое соединение секретирующего слизь столбчатого эпителия
эндоцервикса и плоского эпителия эктоцервикса
5. Наботианские кисты - развиваются, когда многослойный плоский эпителий разрастается
на выделяющем слизь простом цилиндрическом эпителии и захватывает большое
количество слизи.
6.Стенка шейки матки - состоит из плотной соединительной ткани, богатой как коллагеном,
так и эластичными волокнами. В отличие от остальной части матки, в ней мало гладких
мышц.

7.

СORPUS UTERI
Тело матки находится между шейкой и рогами, у различных животных оно
выражено по-разному. По сравнению с шейкой тело матки более мягкое. У
собак тело матки узкое, короткое, но сравнительно отчетливо выражено.

8.

Простой столбчатый эпителий
Строма эндометрия

9.

СORPUS UTERI
1. Эндометрий - специализированная слизистая оболочка, которая претерпевает
заметные изменения во время менструального цикла.
2. Функциональный слой - верхние две трети слизистой оболочки, которая образует
железы и теряется во время менструации. Состоит из: простого столбчатого эпителия
- мерцательные столбчатые и нереснитчатые секреторные клетки (peg cells); строма
эндометрия - звездчатые клетки, макрофаги и лимфоциты.
3. Маточные железы.
4. Базальный слой - нижняя треть слизистой оболочки, которая сохраняется во время
менструации и восстанавливает функциональный слой.

10.

СORNUA UTERI
Рога матки отходят от тела матки и у разных животных имеют разную длину и
форму. Различают левый и правый рога. Длина каждого из них составляет у сук
– 9-10см. Самые длинные рога матки у свиней –100-200 см длиной и 2-3см
шириной.
У всех животных длина и ширина рогов матки колеблется в зависимости от
возраста, породы, кормления, содержания и физиологического состояния.

11.

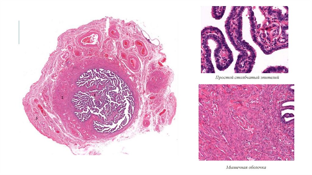
Простой столбчатый эпителий
Мышечная оболочка

12.

СORNUA UTERI
Фаллопиевы трубы транспортирует яйцеклетку из яичника в матку. Его стенка состоит
из трех слоев:
1. Слизистая оболочка - с тонкими продольными складками, которые выступают в
просвет. Эти складки являются отличительной чертой яйцевода. Состоит из простого
столбчатого эпителия. Его части: Реснитчатые клетки - реснички извиваются по
направлению к матке, чтобы помочь продвинуть яйцеклетку или оплодотворенную
зиготу в матку. Peg Cells - выделяют жидкость, которая обеспечивает питательными
веществами яйцеклетку или оплодотворенную зиготу. Также можно найти
соединительную ткань, которая содержит кровеносные сосуды и нервы.
2. Мышечная оболочка - состоит из сильного внутреннего кругового (спирального)
слоя и слабого внешнего продольного слоя, перистальтические сокращения которых
помогают продвинуть яйцеклетку или оплодотворенную зиготу к матке.
3. Серозная оболочка - состоит из простого кубовидного эпителия (или мезотелия),
поддерживаемого тонким слоем соединительной ткани.
English     Русский Правила