33.45M
Категория:
Медицина
Похожие презентации:
Cell injury. (Subject 2)
The general diagnostics of tuberculosis. (Lecture 2)
Lab 2 Esophagus & Stomach
Asthma. Case study scenario 2
HIV-1 and HIV-2. Human Immunodeficiency Virus
Lymphatic/Hematopoetic System IPM 2
The нeart (PIC). (Chapter 38. Section 2)
Hirn 14-2 (9-10) 5µ
СРСП 3 Сайлауов Б.С. 2-067 ОМ
СРСП 2 Equipment and instruments of dental clinic
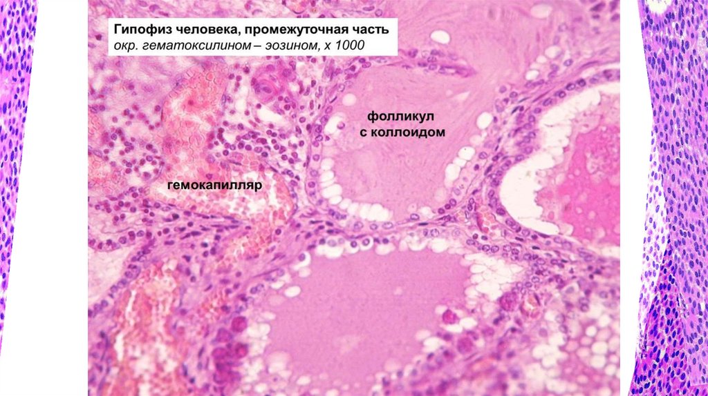
Гипофиз. 2 курс
1.
Гипофиз
Выполнила Бумбу Маргарита Дмитриевна
2 курс 19 группа
English
Русский
Правила