16.16M
Категория: МедицинаМедицина

Семиотика сердца

1.

Алтайский государственный
медицинский университет
Кафедра пропедевтики
детских болезней

2.

Эмбриогенез сердца

3.

2-я неделя внутриутробного
развития
Из 2-х зачатков формируется сердечная трубка,
расположенная в области шеи.

4.

3 и 4 недели внутриутробного
развития
Деление сердца плода на
правую и левую половины
начинается с конца 3-й недели
гестационного возраста. В
конце 4 недели формируется
межжелудочковая
перегородка. Вначале в ее
верхнем
отделе
имеется
межжелудочковое отверстие.
Однако у плода оно быстро
зарастает в виде перепончатой
части.

5.

6-я неделя внутриутробного
развития
На 6 неделе гестационного
возраста сердце у плода
трехкамерное (соединены
предсердия). Затем между
предсердиями
рядом
с
первичной
перегородкой
формируется
вторичная
перегородка.
В
обеих
имеется
овальное
отверстие.

6.

Риск развития аномалий сердца
После
образования
перегородок
формируется
клапанный
аппарат.
Структурное оформление сердца (оно
становится 4-камерным) и крупных
сосудов заканчивается на 7-8 неделях
гестационного возраста.

7.

Поэтому
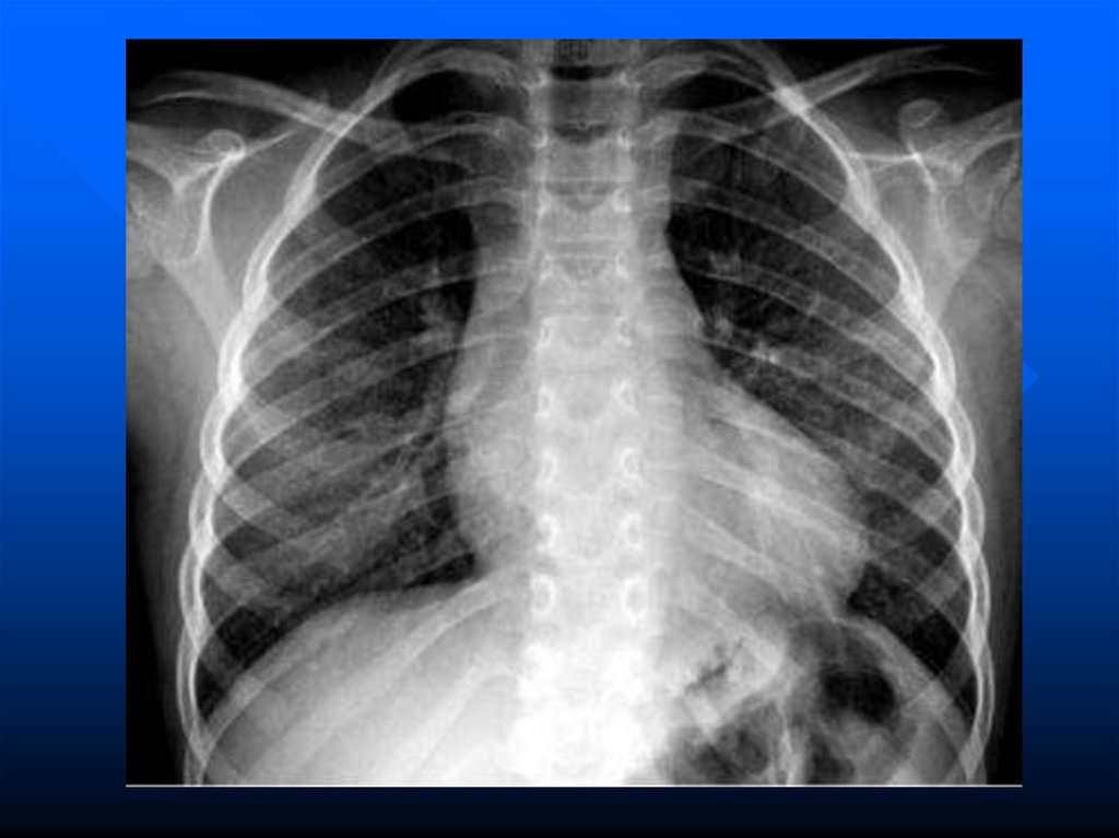
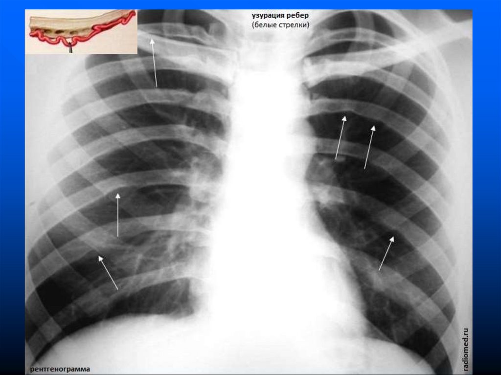
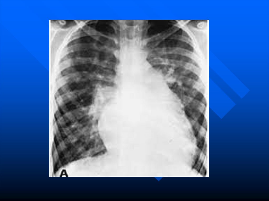
внутриутробные
аномалии сердечно-сосудистой
системы возникают с 3 по 8
неделю развития плода.

8.

Кровообращение плода
наличие плацентарного
кровообращения;
нефункционирующий
малый круг
кровообращения;
поступление крови в
большой круг
кровообращения в обход
малого через два праволевых шунта (сообщения
между правой и левой
половинами сердца и
крупными кровеносными
сосудами);

9.

Кровообращение плода
значительное превышение
минутного объема большого
круга кровообращения (наличие
право-левых шунтов) над
минутным объемом малого
круга (нефункционирующие
легкие);
обеспечение всех органов плода
смешанной кровью (более
оксигенированная кровь
поступает в печень, головной
мозг и верхние конечности);
практически одинаковое низкое
АД в легочной артерии и аорте.

10.

Адаптации плода к условиям плацентарного
кровообращения способствуют:
увеличение дыхательной поверхности
плаценты;
увеличение скорости кровотока;
нарастание содержания Hb и
эритроцитов в крови плода;
наличие HbF, обладающего более
значительным сродством к кислороду;
относительно низкая потребность тканей
плода в кислороде.

11.

Кровообращение у плода обеспечивается
сократительной способностью сердца плода и
отделено от системы кровообращения у
матери.
Частота сердечных сокращений у эмбриона 1535 в 1 мин., затем она увеличивается до 125130 в 1 мин.
При аускультации I и II тоны одинаковы по
громкости, интервалы между I и II тонами
равны интервалам между II и I тонами, что
напоминает удары метронома.

12.

Кровообращение новорождённого
начинает
функционировать
легочное
дыхание,
что
значительно
уменьшает
сопротивление кровообращения в
легочном русле и в 5 раз
увеличивает
кровообращение
через легкие;
начало полноценного легочного
кровообращения
приводит
к
значительному
повышению
давления в левом предсердии, что
прижимает перегородку к краю
отверстия и прекращает сброс
крови из правого предсердия в
левое

13.

Таким образом
сразу
после
рождения
перестают
функционировать 6 основных структур
внутриутробного кровообращения:
1.пупочная вена,
2.Аранциев проток
3.2 пупочные артерии
4.овальное окно
5.Боталлов проток

14.

Сроки закрытия плодных
коммуникаций
после
первого
вдоха
новорожденного
возникает спазм Боталлова протока, движение
крови
через
него
прекращается.
Функциональное закрытие протока длится 1015 часов первого дня жизни.
Анатомическое закрытие у доношенного
ребенка чаще заканчивается на 3-м месяце, у
недоношенного - в конце первого года жизни.
Поэтому
в
первые
месяцы
при
кратковременном
апноэ
и
повышении
давления в малом кругу кровообращения
венозная кровь через Боталлов проток может
сбрасываться в аорту

15.

Размеры сердца:
сердце у новорожденного
относительно
больше,
нежели
у
взрослого
человека (соответственно
0,8% и 0,4% от массы тела);
наиболее
интенсивный
рост сердца происходит в
возрасте 2-6 лет;
до 15-16 лет масса его
увеличивается в 10 раз.

16.

АФО сердца
новорождённого
у
новорожденного
сердце
занимает
относительно большой
объем грудной клетки
правый
и
левый
желудочки
у
новорожденного
примерно одинаковы;
после
отмечается
интенсивный
рост
левого сердца
в 16 лет масса левого
желудочка почти в 3
раза больше правого.

17.

АФО сердца
новорождённого
предсердие и магистральные
сосуды у новорожденного
относительно
больших
размеров, по отношению к
желудочкам, чем у старших
детей;
дифференцировка
частей
сердца заканчивается к 10-14
годам; в этом возрасте оно по
показателям
соотношения
(кроме
размеров)
приближается
к
сердцу
взрослого человека.

18.

АФО сердца
новорождённого
В связи с более высоким
стоянием диафрагмы сердце
новорожденного находится
в
более
высоком
положении, ось сердца
лежит почти горизонтально;
до конца первого года
жизни она принимает косое
положение.
У новорожденного сердце
имеет шаровидную форму,
поперечный размер может
быть больше продольного.
Постепенно
сердце
приобретает грушевидную
форму.

19.

Границы сердечной тупости при
перкуссии (по В.И.Молчанову)
Возраст
Границы
0-1 год
2-6 лет
7-12 лет
Относительная тупость
Правая
Верхняя
Левая
Правая
парастернальная
линия
Немного кнутри от
правой
парастернальной
линии
Середина
расстояния между
правой
парастернальной
линией и правой
стернальной
2 ребро
2 межреберье
3 ребро
2 см кнаружи
от левой
среднеключичной
линии
1 см кнаружи
от левой
среднеключичной
линии
По
среднеключичной
линии

20.

Особенности сердечных
тонов
На верхушке сердца
Новорожденные: I I тон > I тона;
3 – 5 день: I тон = I I тону;
2 – 3 месяц: на верхушке I тон > I I тона

21.

Особенности сердечных
тонов
На основании сердца
Новорожденные: I I тон > I тона;
1 месяц – 1,5 года: I тон = I I тону;
1,5 года – 11 лет: I I тон > I тона с
акцентом на легочной артерии;
12 лет: I I тон > I тона I I тон > I тона
акцента нет;
Старше 12 лет: I I тон > I тона с акцентом
на аорте.

22.

Формулы для определения АД
(И.М.Воронцов, 1985)
У старших детей на
верхних
конечностях:
систолическое
давление = 90 + 2n,
диастолическое
давление = 60 + n,
где n - возраст
ребенка (до 15 лет).

23.

ЧСС
у детей
Новорожденный -- 120-140 (до 160)
Грудной период ---- 120
5 лет ------------------ 100
10 лет ---------------- 85
12 лет ---------------- 80
15 лет ---------------- 70-75 уд. в 1 мин.

24.

Соотношение между частотой
дыхания и частотой пульса у
детей зависит от возраста
у новорожденного
1:2-2,5
в грудном периоде
1:2,5-3
в дошкольном возрасте
1:3,5-4
у школьников
1:4-5

25.

Семиотика основных
поражений
органов
кровообращения

26.

Жалобы
Боль в области сердца:
характер боли - острая, тупая, жгучая, колющая;
время ее возникновения - ночью, днем или
постоянно, при нервно-психической, физической
нагрузке или в спокойном состоянии;
связь боли с положением больного - изменение боли
при подъеме, на левом или правом боку;
иррадиация боли - особенно в левую руку;
возможное изменение при приеме лекарственных
средств

27.

Жалобы
сердечную одышку, которая у больного
может
проявиться
тяжелым
вдохом,
остановкой во время движения вверх, может
сопровождаться стоном;
ощутимое
сердцебиение (в спокойном
состоянии или при физической нагрузке);

28.

Жалобы
бледность,
цианоз
кожных
покровов;
необходимо выявить условия, при которых
они возникают, их характер;
боль в области крупных и мелких суставов;
отеки нижних конечностей и других частей
тела;
резкую головную боль, головокружение,
тошноту,
рвоту
при
повышении
артериального давления (АД).

29.

Жалобы общего характера: повышение
температуры, утомляемость, слабость,
головная боль, нарушение памяти,
снижение аппетита, уменьшение массы
тела

30.

Жалобы у детей грудного возраста
внезапный
крик,
беспокойство
ребенка,
сменяющееся
успокоением,
продолжительной
вялостью и бледностью;
нарушения акта сосания: ребенок начинает сосать
материнскую грудь, но после короткого времени
перестает, и появляются признаки усталости,
одышки; после отдыха снова сосет грудь, но тоже
короткое время;

31.

Жалобы у детей грудного возраста
одышечно-цианотические приступы - внезапные
бледность, одышка и плач сменяются цианозом,
потерей сознания, апноэ и судорогами;
значительное потоотделение, иногда с повышением
температуры тела;
цианоз и бледность кожных покровов.

32.

Анамнез жизни
В детском возрасте патология сердца может
быть врожденного генеза или развиваться как
осложнение многих заболеваний, вызвавших
поражение миокарда.
Сбор акушерского анамнеза должен быть
проведен очень внимательно: токсикозы
беременности, нефропатии, токсоплазмоз,
инфекционные
заболевания
матери,
профессиональные вредности - все это может
быть причиной врожденных заболеваний
сердца.

33.

Анамнез жизни
В дошкольном и школьном возрасте
патология
сердечно-сосудистой
системы
может развиться как осложнение острых и
хронических
инфекций,
аллергических
заболеваний (ревматизм).
Расстройства сердечно-сосудистой системы
функционального характера могут быть
связаны с патологией нервной системы,
особенно в период полового созревания. В
таком случае нарушения со стороны сердца и
сосудов
могут
быть
неревматического
происхождения.

34.

Вынужденное положение
полусидя и сидя опустив ноги, опираясь спиной на
подложенные подушки. Такое положение способствует оттоку
крови в нижние конечности, снижает ее застой в малом кругу
кровообращения, улучшает экскурсию диафрагмы;
при экссудативном перикардите больной лежит или
сидит в вынужденном коленнолоктевом положении,
что уменьшает боль в области сердца;
на корточках, когда колени прижаты к животу,
ребенок находится при одышечно-цианотических
пароксизмах (болезнь Фалло);
при
сосудистой
недостаточности
(коллапсе)
положение пассивное - больной лежит.

35.

Цвет кожных покровов:
бледность (коллапс, пороки сердца с
артериально-венозным шунтом );
цианоз - синдром обусловлен гипоксемией,
однако если при заболеваниях органов дыхания синюшность
кожи респираторного происхождения, то при патологии
сердечно-сосудистой системы циркуляторного
генеза.
(пороки
сердца
с
венозноартериальным шунтом);
цианоз бывает общим и местным
(= локальным);

36.

Симптомы
«барабанных
палочек» и
«часовых стекол» признаки
хронической
недостаточности
кровообращения

37.

«Часовые стёкла»

38.

Отеки сердечного генеза:
вначале появляются на стопах;
у маленьких детей и тяжелых больных, если
они находятся в горизонтальном положении,
еще в области поясницы и крестца, т.е. в ниже
расположенных частях туловища;
у мальчиков - в области мошонки;
при ухудшении состояния кроме указанных
мест отеки отмечаются на голенях, бедрах,
появляется одутловатость лица, развиваются
асцит и гидроторакс: возникает анасарка общий отек всего тела;

39.

Семиотика нарушений,
определяемая пальпаторно
Увеличение частоты по сравнению с нормой
более чем на 10% - тахикардия - один из
первых признаков интоксикации при многих
заболеваниях разных органов бактериальной и
вирусной этиологии. Повышение температуры
тела на каждый градус выше 37°С учащает
пульс на 10-15 сердечных сокращений в
минуту у детей раннего возраста, в среднем на
8 сокращений у старших больных.

40.

Семиотика нарушений,
определяемая пальпаторно
Кроме того, тахикардия сопровождает
заболевания сердечно-сосудистой системы
(недостаточность
кровообращения,
вегетативно-сосудистая дистония), а также
такую патологию эндокринной системы, как
гипертиреоз, патологию крови - анемию и др.
Если при этом пульс внезапно повышается
выше 180 в 1 мин., это называется
пароксизмальная тахикардия.

41.

Семиотика нарушений,
определяемая пальпаторно
Уменьшение частоты пульса на 10% и более
по сравнению с нормой - брадикардия —
бывает
при
миокардите,
запущенной
гипотрофии,
гипертонии,
в
период
выздоровления
после
скарлатины
(«скарлатинозный»
пульс)
и
других
инфекционных заболеваний.
Брадикардия встречается в норме, может
быть у спортсменов, здоровых недоношенных
детей.

42.

Верхушечный толчок
смещение влево указывает на расширение
левого желудочка или всего сердца; а также
бывает при артериальной гипертензии,
правосторонних пневмотораксе, гемотораксе,
экссудативном плеврите;

43.

Верхушечный толчок
смещение вправо происходит при левосторонних
экссудативном
плеврите,
пневмотораксе,
гемотораксе; а также при очень редкой аномалии
развития, когда большая часть сердца размещена в
грудной клетке в правую сторону от срединной
линии, т.е. при декстрокардии; опущение вниз
отмечается при дилатации левого желудочка,
недостаточности клапанов аорты и эмфиземе
легких;

44.

Верхушечный толчок
поднятие вверх бывает при ателектазе
легких, является признаком высокого
стояния диафрагмы при метеоризме,
асците (одновременно смещается влево).

45.

Верхушечный толчок
верхушечный
толчок
называется
отрицательным, когда во время систолы
грудная клетка на месте толчка не
выпячивается, а втягивается внутрь
(симптом Маккензи - английский врач
XIX-XX века). Этот симптом бывает при
слипчивом перикардите, когда перикард
срастается с передней стенкой грудной
клетки.

46.

Границы сердца
Наиболее частые
причины расширения
границ относительной
сердечной тупости:
врожденные и
приобретенные пороки
сердца ;
миокардит;
фиброэластоз;

47.

Границы сердца
расширения
левой
границы могут стать
заболевания
других
органов и систем метеоризм,
асцит,
атония
диафрагмы,
опухоли средостения,
правосторонний
пневмо- и гемоторакс,
экссудативный
плеврит

48.

Дифференциальный диагноз шумов
неорганического и органического генеза
Критерий
Неорганические
Органические
Время выслушивания
Систолические
Сист+диастолические
Связь с тоном
Не связаны
Связаны
Место выслушивания
Верхушка, т.Боткина
В любой точке (>2-x)
Иррадиация
Нет
Да
Изменение при вдохе
Ослабевают
Не меняются
Физическая нагрузка
Исчезают
Усиливаются
Положение тела
Ослабевают
Сохраняются
Динамика на фоне
лечения
Исчезают
Необратимы
Звуковая интенсивность
Тихие
Громкие, грубые

49.

КЛАССИФИКАЦИЯ ВРОЖДЕННЫХ
ПОРОКОВ СЕРДЦА
(Marder 1953 г.)
НАРУШЕНИЕ ГЕМОДИНАМИКИ
I. Обогощение малого круга кровообращения
БЕЗ ЦИАНОЗА
Открытый артериальный проток.
Дефекты межпредсердной перегородки.
Дефекты межжелудочковой перегородки.
Атрио-вентрикулярные коммуникации
С ЦИАНОЗОМ
Комплекс Эйзенмейгера.
Транспозиция магистральных сосудов.
Общий артериальный ствол (истинный).

50.

КЛАССИФИКАЦИЯ ВРОЖДЕННЫХ
ПОРОКОВ СЕРДЦА
(Marder 1953 г.)
НАРУШЕНИЕ ГЕМОДИНАМИКИ
II.Обеднение малого круга кровообращения
БЕЗ ЦИАНОЗА
Изолированный стеноз легочной артерии.
С ЦИАНОЗОМ
Болезнь Фалло.
Трикуспидальная атрезия.
Транспозиция магистральных сосудов со стенозом
легочной артерии.
Общий артериальный ствол (ложный).
Болезнь Эбштейна.

51.

КЛАССИФИКАЦИЯ ВРОЖДЕННЫХ
ПОРОКОВ СЕРДЦА
(Marder 1953 г.)
НАРУШЕНИЕ ГЕМОДИНАМИКИ
III.Обеднение большого круга
кровообращения
БЕЗ ЦИАНОЗА
Изолированный аортальный стеноз.
Каорктация аорты.

52.

КЛАССИФИКАЦИЯ ВРОЖДЕННЫХ
ПОРОКОВ СЕРДЦА
(Marder 1953 г.)
НАРУШЕНИЕ ГЕМОДИНАМИКИ
IV. Без нарушения гемодинамики
БЕЗ ЦИАНОЗА
Истинная и ложная декстракардия.
Болезнь Толочинова-Роже.
Аномалия положения внутренних
органов и сосудов.
Сосудистое кольцо.

53.

Фазы течения врожденных
пороков сердца
(К.Ф.Ширяева):
1. Фаза первичной адаптации.
2. Фаза относительной
компенсации.
3. Фаза терминальная.

54.

Заболевания, характеризующиеся
избирательным поражением сердца
и крупных сосудов /пороки сердца/.
Для их характеристики следует выделить, ряд синдромов.
Экстракардиальный
синдром:
снижение
аппетита,
бледность,
потливость,
утомляемость
(особенно
выражена у детей до года при кормлении), задержка
массы и роста.
Кардиальный синдром:
а) субъективный - ощущение "нехватки" воздуха,
сердцебиение, одышка, утомляемость; б/болевой - боли
в области сердца;
б) объективные данные, получаемые при аускультации.

55.

Локальный синдром:
а) правый тип - выбухание грудной клетки в 3-4 м/р у края
грудины слева, пальпаторно толчок в 3-4 м/р у края
грудины слева, увеличение границы сердца вправо;
б) левый тип - усиление верхушечного толчка, смещение
его влево и вниз, увеличение границы сердца влево;
в) дрожания - мелкая локальная вибрация определенного
участка грудной клетки;
г) слабости - ослабление верхушечного толчка,
расширение, смещение его влево.
ЭКГ- синдром: изменения на ЭКГ.
Особенности: симптомы характерные для данного
патологического состояния.
Р-синдром: изменения на рентгенограмме

56.

КРИТЕРИИ ДИАГНОСТИКИ ДЕФЕКТА МЕЖПРЕДСЕРДНОЙ
ПЕРЕГОРОДКИ
Кардиальный
синдром:
субъективный (при
больших
дефектах),
объективный – не
громкий
систолический
шум во II-III м/р
слева от грудины,
акцент II тона на
ЛА
ЭКГ-синдром:
увеличение правых
отделов
ДМПП
Р-синдром:
увеличения ПП, ПЖ
(выражен),
артериальная
легочная
гиперволемия
Особенности:
частые заболевания
органов дыхания

57.

КРИТЕРИИ ДИАГНОСТИКИ ДЕФЕКТА
МЕЖЖЕЛУДОЧКОВОЙ ПЕРЕГОРОДК
Локальный
синдром: правый
тип, дрожание –
систолическое над
областью сердца
ДМЖП
Кардиальный синдром:
субъективный
(умеренный), болевой
(нерезкий), объективный
– громкий
пансистолический шум с
эпицентром в III-IV м/р
слева от грудины,
акцент II тона на ЛА
ЭКГ-синдром:
увеличения ЛЖ и ПЖ,
нарушения атриовентрикулярной
проводимости
Р-синдром: увеличения
ЛЖ (умеренное) и ПЖ
(резко выражено), ЛП
(незначительное),
артериальная легочная
гиперволемия и
гипертензия
Особенности: частые
заболевания органов
дыхания
Синдром НК
(тотальная)
развивается поздно

58.

59.

60.

КРИТЕРИИ ДИАГНОСТИКИ ОТКРЫТОГО АРТЕРИАЛЬНОГО
ПРОТОКА
Кардиальный синдром:
субъективный (не
выражен), болевой
(острый), объективный
– систолодиастолическийически
й шум с эпицентром во
II м/р слева от грудины,
усиливающийся на
вдохе, выслушивается
в межлопаточном
пространстве, акцент II
тона на ЛА
Локальный
синдром:
дрожание –
систолическое
во 2 м/р слева
ОАП
ЭКГ-синдром:
гипертрофия ЛЖ
Р-синдром: увеличения ЛЖ,ПЖ ,ЛП
(умеренное), «Пляска» корней легких,
расширение аорты
Особенности: частые
воспалительные заболевания
органов дыхания

61.

62.

КРИТЕРИИ ДИАГНОСТИКИ ТЕТРАДЫ ФАЛЛО
ЭКГ-синдром: гипертрофия и
перегрузка ПЖ, гипертрофия
правого предсердия
Экстракардиальный
синдром: рано и выражен
Локальный синдром:
правый тип
ТФ
Кардиальный
синдром:
объективный –
грубый
систолический шум в
III-IV м/р слева от
грудины,
систолический шум
во II-III м/р слева от
грудины, усиление I т.
на верхушке,
ослабление II т. на ЛА
Р-синдром: артериальное
малокровие, увеличение ПЖ и
ПП, форма сердца «голландский башмачек»
Особенности: развитие цианоза с
первых месяцев жизни,
одышечно-цианотические
приступы
Синдром НК (ПЖН) развивается рано

63.

64.

65.

66.

КРИТЕРИИ ДИАГНОСТИКИ КОАРКТАЦИИ АОРТЫ
Кардиальный синдром:
субъективный (выражен),
объективный – слабый
систолический шум над
сердцем, усиление II тона на
аорте, сосудистый
систолический шум
ЭКГ-синдром: гипертрофия,
затем дилятация ЛЖ
КА
Р-синдром: увеличения ЛЖ ,
постстенотическое
расширение аорты
Особенности: повышение
давления на руках и снижение
на ногах, коллатеральные
пульсирующие сосуды

67.

68.

69.

70.

71.

72.

СПАСИБО ЗА ВНИМАНИЕ!
ВОПРОСЫ?
English     Русский Правила