Дыхательная система
Носовая полость
Гортань
Образование звука
Трахея и бронхи
Транспорт газов кровью
ОРВИ
Методы гистологического исследования органов дыхательной системы
Методы гистологического исследования органов дыхательной системы
Методы гистологического исследования органов дыхательной системы
11.76M
Категория: МедицинаМедицина

Дыхательная система

1. Дыхательная система

2.

3.

Дыхательная система
Легкие
Дыхательные
(воздухоносные) пути
Носовая полость
Носоглотка
Глотка
Гортань
Трахея
Бронхи

4. Носовая полость

• В каждой половине
имеются три носовые
раковины (верхняя,
средняя и нижняя),
которые образуют три
носовых хода.
• Слизистая полость носа
выстлана мерцательным
эпителием, содержит
секрет слизистых клеток,
обволакивающих
частички пыли и
увлажняющих воздух,
большое число
кровеносных сосудов,
обеспечивающих
согревание воздуха.

5. Гортань

Функции
1. Обеспечивает
прохождение
воздуха
2. Голосовой
аппарат
3. Участвует в акте
глотания

6. Образование звука

• В средней части гортани
на боковых стенках
имеется 2 пары складок,
образованные верхними
(ложными) и нижними
(истинными) голосовыми
связками, натянутыми
между щитовидными и
черпаловидными
хрящами. Пространство
между связками
называется голосовой
щелью.
Образование
звука

7. Трахея и бронхи

• Трахея – трубка (1015 см), состоящая их
хрящевых полуколец.
• Трахея делится на
два главных бронха –
левый и правый,
которые имеют
хрящевые кольца.

8. Транспорт газов кровью

• Перенос кислорода от
легких к тканям и
углекислого газа из
тканей к легким.
Включает газообмен
между альвеолярным
воздухом и кровью
легочных капилляров;
движение по органам
кровообращения;
переход газов из
кровеносных
капилляров органа в
клетки.

9. ОРВИ

10.

Естественные хозяева гриппа по подтипам антигенов

11.

Геморрагическая пневмония при гриппе

12.

Геморрагический трахеит при гриппе

13.

Геморрагический трахеит при гриппе

14.

Гиалиновые мембраны (РДСС взрослых) при гриппе

15.

Надпочечники при синдроме Уотерхауса-Фридериксена

16.

Надпочечник при синдроме Уотерхауса-Фридериксена

17.

Ложный крупп при парагриппе

18.

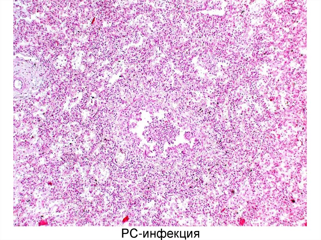
РС-инфекция

19.

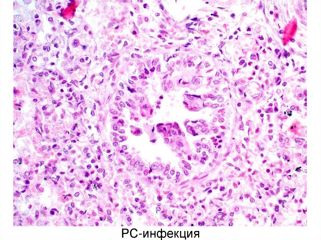
РС-инфекция

20.

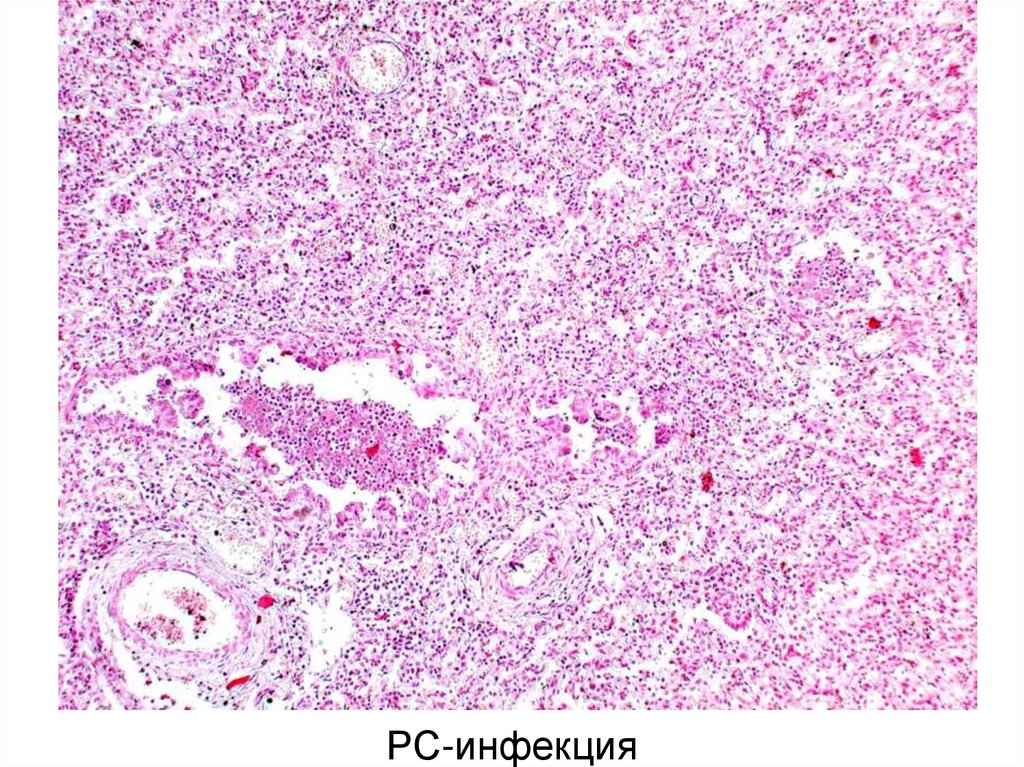
РС-инфекция

21.

Конъюнктивит при аденовирусной инфекции

22.

Клетки-чернушки при аденовирусной инфекции

23.

Клетки-чернушки при аденовирусной инфекции

24. Методы гистологического исследования органов дыхательной системы

• Основной: гематоксилин-эозин –
прокрашивает все структуры либо в
синий (ядра, соли кальция) либо в
красный цвет (цитоплазма, отложение
белков)

25. Методы гистологического исследования органов дыхательной системы

• Дополнительные: фосфорновольфрамовый гематоксилин (ФВГ) –
для выявления волокон фибрина,

26. Методы гистологического исследования органов дыхательной системы

• Дополнительные: по Ван-Гизону – для
выявления разрастания рубцовой ткани

27.

Спасибо за внимание!
English     Русский Правила