6.28M
Категория: МедицинаМедицина

Тромбоэмболия легочной артерии

1.

ТРОМБОЭМБОЛИЯ ЛЕГОЧНОЙ АРТЕРИИ
Кафедра анестезиологии и реаниматологии. Доцент, к.м.н. Ларин Д.Г.

2.

ТЭЛА – окклюзия сосудистого русла легких тромбами,
первично образовавшимися в венах большого круга
кровообращения либо в правых полостях сердца и
принесенными в него током крови
ОСНОВНЫЕ ИСТОЧНИКИ
90% - тромбы, локализующиеся 10% - тромбы с локализацией в
в глубоких венах н/конечностей, правых отделах сердца и ВПВ
тазовых, почечных венах и в НПВ
Как правило легочная эмболия возникает при наличии
флотирующей верхушки тромба, свободно расположенной в
просвете вены и прикрепленной лишь основанием.

3.

Предрасполагающие факторы ТЭЛА
Значительные предрасполагающие факторы
Перелом бедра или голени
Протезирование бедра или коленного сустава
Объемная полосная операция
Серьезная травма
Повреждение спинного мозга
Умеренные предрасполагающие факторы
Артроскопическая операция на коленном суставе
Катетеризация центральных вен
Химиотерапия
Хроническая сердечная или легочная недостаточность
Гормональная заместительная терапия
Онкология
Прием оральных контрацептивов
Беременность/постнатальный период
Тромбофилия

4.

Незначительные предрасполагающие факторы
Постельный режим более 3 дней
Длительное сидячее положение (в автомобиле или самолете)
Пожилой возраст
Лапароскопическая операция
Ожирение
Беременность/дородовый период
Варикозные вены
КЛАССИФИКАЦИЯ ТЭЛА
По локализации:
- Проксимальный уровень эмболической окклюзии (сегментарные
артерии, долевые и промежуточные артерии), главные легочные
артерии и легочный ствол
- Сторона поражения (левая, правая, двусторонняя)

5.

По характеру гемодинамических расстройств:
По степени нарушения перфузии в легких:

6.

По характеру осложнения:
- Инфаркт легкого или инфарктная пневмония
- Парадоксальная эмболия большого круга кровообращения
- Хроническая легочная гипертензия
Типичный синдром массивной ТЭЛА – коллапс, боли за грудиной, цианоз верхней
половины туловища, тахипноэ, набухание шейных вен. Чаще проявляется один
или два признака. Одни из наиболее часто встречающихся – кратковременная
потеря сознания, одышка, тахикардия.
При инфаркте легкого – плевральные боли, кашель, кровохарканье, плевральный
выпот. Аускультативно – усиление или акцент II тона над трехстворчатым
клапаном и легочной артерией, систолический шум в этих точках. Ритм галопа и
расщепление II тона – плохой прогностический признак.
Над зоной эмболии - ослабление дыхания, шум трения плевры, влажные хрипы

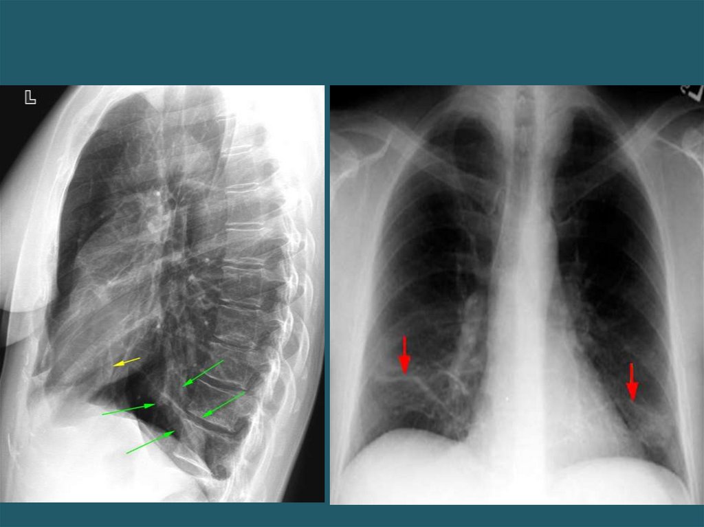
7.

8.

9.

10.


Часто вновь возникающая блокада правой ножки ПГ
Синдром SI- qIII
Выраженный зубец S в V5-V6
Элевация ST и инверсия T в III, V1-V3
P-pulmonale
Аритмии

11.


D-димер - продукт расщепления связанного фибрина.
Концентрация менее 500 мкг/мл – практически исключает ТЭЛА.
Специфичность метода – 45%
Может повышаться при опухолях, септических состояниях и т.д.
Дилатация и снижение сократимости ПЖ
Трикуспидальная регургитация
Уплощение МЖП и ее парадоксальное движение
Диастолическая дисфункция ЛЖ (из-за смещения МЖП)
Легочная гипертензия и гипертрофия ПЖ
Тромбы в правых отделах сердца
Симптом Мак-Коннела – выраженная гипокинезия свободной
стенки ПЖ, но при этом сохраняется сократимость его верхушки

12.

Чувствительность метода для проксимального ТГВ – 90%.
Специфичность – 95%.
Метод дает возможность комбинировать исследование вен
конечностей с КТ – ангиографией грудной клетки, используя
однократное введение контрастного вещества.

13.

14.

Нет
признаков
ТЭЛА
Есть
признаки
ТЭЛА
Нельзя
исключить
ТЭЛА
Низкая
вероятность
Высокая
вероятность
Нельзя
исключить
Лечение не
требуется
Лечение
Дополнит.
обследов .
Лечение не
требуется
Лечение
Дополнит.
обследов .
Высокая
вероятность
ТЭЛА
Подозрение
на ТЭЛА
Норма
Определение
D-димера
Лечение не
требуется
Выше 500
мкг/мл
Спектральная
КТ
Перфузионное
сканирование

15.

Подозрение на ТЭЛА
высокой степени риска
(гипотония, шок)
Возможность срочного
проведения КТ
Нет
Да
ЭХОКГ
Признаки
перегрузки ПЖ
Нет
Искать другие
причины
Тромболизис
не показан
Есть возможность
выполнить КТ,
состояние больного
стабилизировалось
КТ
Да
Другое обследование
недоступно или
состояние больного
нестабильно
(+)
(-)
результат
результат
Проведение
тромболизиса или
эмболэктомии
тромболизис или
эмболэктомии
не показаны

16.

Основные задачи терапии:
Восстановление проходимости легочных артерий
(реперфузионная терапия)
Гемодинамическая и респираторная поддержка
Предотвращение рецидивов ТЭЛА

17.

3-2,5

18.

Консервативное лечение
Нефракционированный гепарин
Сначала в/в болюсно – 5000 ЕД, затем в/в инфузия – 18 ЕД/кг в час.
Подбор дальнейшей дозы – по АЧТВ. Целевое АЧТВ - в 1,5-2 раза
выше первоначального значения.
Альтернативный вариант – п/к введение 450 ЕД/кг в сутки.
В дальнейшем – каждые 8 ч, подбирая дозу таким образом, чтобы
обеспечить увеличение АЧТВ через 4 часа после инъекции в 1,5 – 2
раза выше первоначального значения.
Длительность гепаринизации – 5-7 суток с последующим переходом
на непрямые антикоагулянты (назначать за 4-5 суток до отмены НФГ
При возникновении геморрагических осложнений – прекратить
введение гепарина и провести антидотную терапию:
в/в протамина сульфат 1мг на 100 ЕД введенного НФГ.

19.

Низкомолекулярные (фракционированные) гепарины
Подбор дозы осуществляют, ориентируясь на массу тела.
Вводят п/к в переднюю брюшную стенку.
Далтепарин натрия – 200 МЕ/кг каждые 24 часа или 100 МЕ/кг
каждые 12 часов
Надропарин кальция – 86 МЕ/кг каждые 12 часов или 171 МЕ/кг
каждые 24 часа
Эноксапарин натрия – 150 МЕ/кг каждые 24 часа или 100 МЕ/кг
каждые 12 часов
Длительность гепаринизации – 5-7 суток с последующим переходом
на непрямые антикоагулянты
Стрептокиназа
Вводят в/в капельно в дозе 250 000 - 500 000 МЕ в течение 10 – 15
минут. Затем 100 000 МЕ/ч в течение 24-72 часов. Возможна
инфузия 1 500 000 МЕ в течение 2 ч. На фоне реанимационных
мероприятий.

20.

Альтеплаза
Вводят первоначально в/в болюсом 10 мг, затем в течение 2 часов
начинают в/в капельную инфузию в дозе 90 мг.
Проурокиназа
Вводят первоначально в/в в течение 2-3 минут 2 млн ЕД, затем в
течение 60 минут – 6 млн ЕД часов - в/в капельная инфузия.
Профилактика
Максимально ранняя активизация больных
Эластическая компрессия нижних конечностей
Проведение прерывистой пневматической компрессии ног
Назначение прямых антикоагулянтов в профилактических дозах
пациентам группы риска развития венозного тромбоза (старше
40 лет, онкологический процесс, СН, паралич, перенесенные
ТЭЛА, аритмии и т.д.)
English     Русский Правила