46.15M
Категория: МедицинаМедицина

Мезенхимальные опухоли

1.

Опухоли. Общие положения.
Опухоли из мезенхимальных
тканей. Опухоли из
меланинобразующей ткани

2.

№ 41 Фиброма кожи.
Окраска гематоксилин-эозин.

3.

№ 41 Фиброма кожи.
Окраска гематоксилин-эозин.

4.

№ 41 Фиброма кожи.
Окраска гематоксилин-эозин.

5.

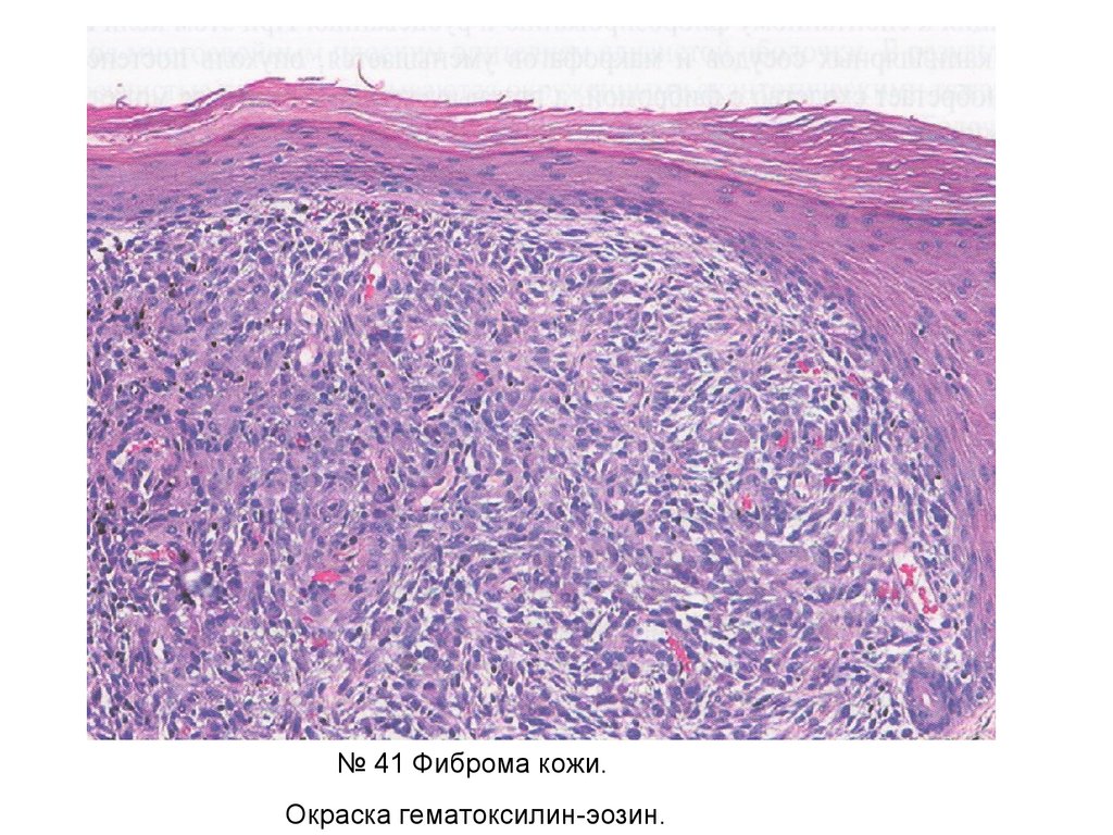
Хаотичное расположение пучков
волокон (проявление тканевого
атипизма)
№ 41 Фиброма кожи.
Окраска гематоксилин-эозин.

6.

№ 50 Фибромиома матки.
Окраска по Ван-Гизон.

7.

Соединительная
ткань — красного
цвета
Гладкомышечная —
желто-зеленая
Ядра - коричнево черные
Проявление тканевого атипизма:
-хаотичное расположение пучков волокон,
-неравномерное расположение
соединительнотканных частей гладкомышечной
ткани
№ 50 Фибромиома матки.
Окраска по Ван-Гизон.

8.

№ 49 Хондрома.
Окраска гематоксилин-эозин.

9.

№ 49 Хондрома.
Окраска гематоксилин-эозин.

10.

Неравномерное расположение зрелых клеток
типа хондроцитов в межуточной ткани («где
густо, где пусто»)
№ 49 Хондрома.
Окраска гематоксилин-эозин.

11.

№ 51 Кавернозная гемангиома печени.
Окраска гематоксилин-эозин.

12.

3
2
Опухоль состоит из сосудов, варьирующих по форме и размеру, с широкими
просветами, заполненными кровью (1).
Выстилка — зрелый эндотелий (2). Четкие границы с печеночной тканью (3).
1
№ 51 Кавернозная гемангиома печени.
Окраска гематоксилин-эозин.

13.

№ 55 Низкодифференцированная фибросаркома.
Окраска гематоксилин-эозин

14.

Резко выражен клеточный
атипизм, мало коллагеновых
волокон (т.к клетки утратили
способность его вырабатывать)
№ 55 Низкодифференцированная фибросаркома. Окраска гематоксилин-эозин

15.

№ 78 Хондросаркома.
Окраска гематоксилинэозин

16.

№ 78 Хондросаркома.
Окраска гематоксилинэозин

17.

№ 78 Хондросаркома. Окраска гематоксилин-эозин

18.

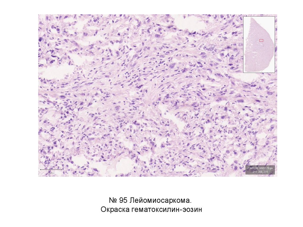
№ 95 Лейомиосаркома.
Окраска гематоксилин-эозин

19.

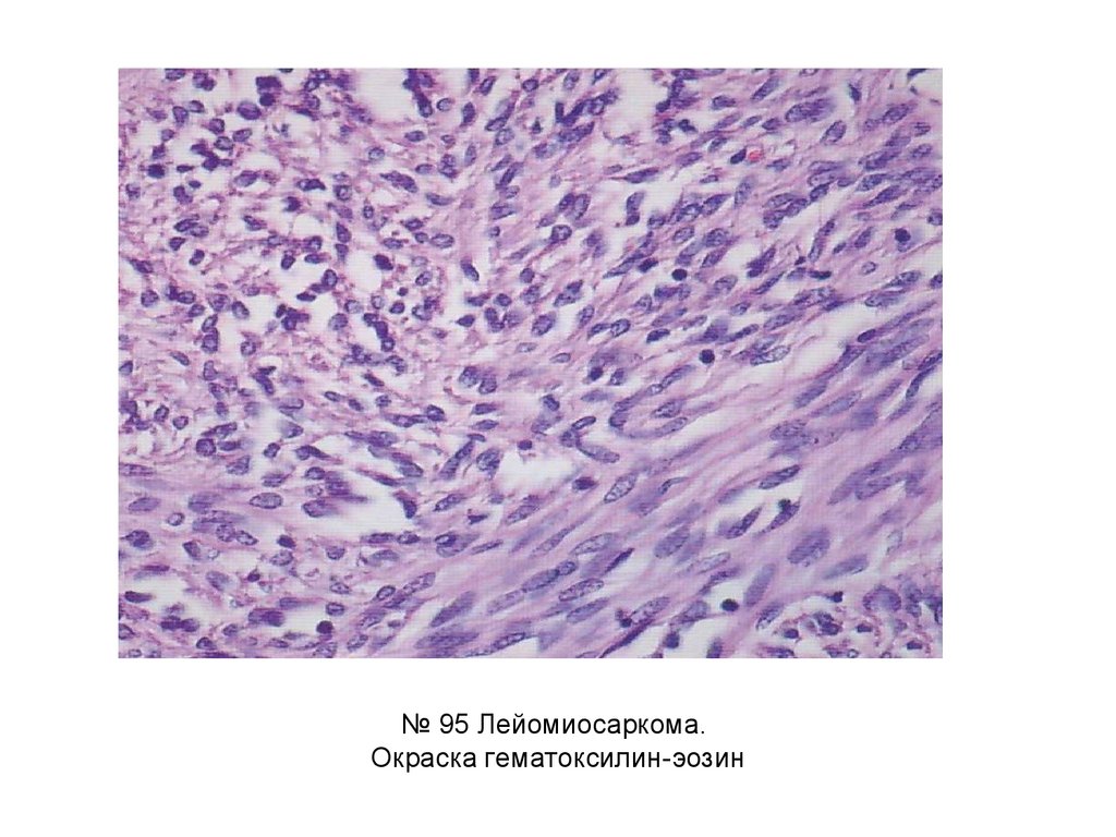
№ 95 Лейомиосаркома.
Окраска гематоксилин-эозин

20.

№ 57 Меланома.
Окраска гематоксилин-эозин

21.

№ 57 Меланома.
Окраска гематоксилин-эозин

22.

Описание макропрепаратов
1)Фибромиома матки
Матка в размере увеличена, деформирована, на разрезе в миометрии
множественные узлы округлой формы плотной консистенции
белесоватого цвета.
2)Хондрома пальца
Палец деформирован, утолщен, на разрезе новообразования
овальной или округлой формы, консистенция хрящевой плотности,
белесоватого цвета на разрезе.
English     Русский Правила