8.58M
Категория: МедицинаМедицина

Цереброваскулярные болезни. Ревматизм. Приобретенные пороки сердца

1.

Цереброваскулярные болезни.
Ревматизм. Приобретенные
пороки сердца.

2.

№ 11 Кровоизлияние в головной мозг.
Окраска гематоксилин-эозин.

3.

№ 133 Острый бородавчатый эндокардит.
Окраска гематоксилин-эозин.

4.

1)Зона фибриноидного некроза
(дезорганизации
соединительной ткани)
2)Нормальная конфигурация
створки ( первая ревматическая
атака),
3)Белый тромб,
4)Диффузные круглоклеточные
инфильтраты
№ 133 Острый бородавчатый эндокардит.
Окраска гематоксилин-эозин.

5.

№134 Возвратно-бородавчатый эндокардит.
Окраска гематоксилин-эозин.

6.

Старые изменения:
1)склероз с
васкуляризацией
Створка деформирована
Свежие изменения:
2)зона фибриноидного
некроза или
фибриноидного
набухания,
3)Белый тромб
4)диффузные
круглоклеточные
инфильтраты
№134 Возвратно-бородавчатый эндокардит.
Окраска гематоксилин-эозин.

7.

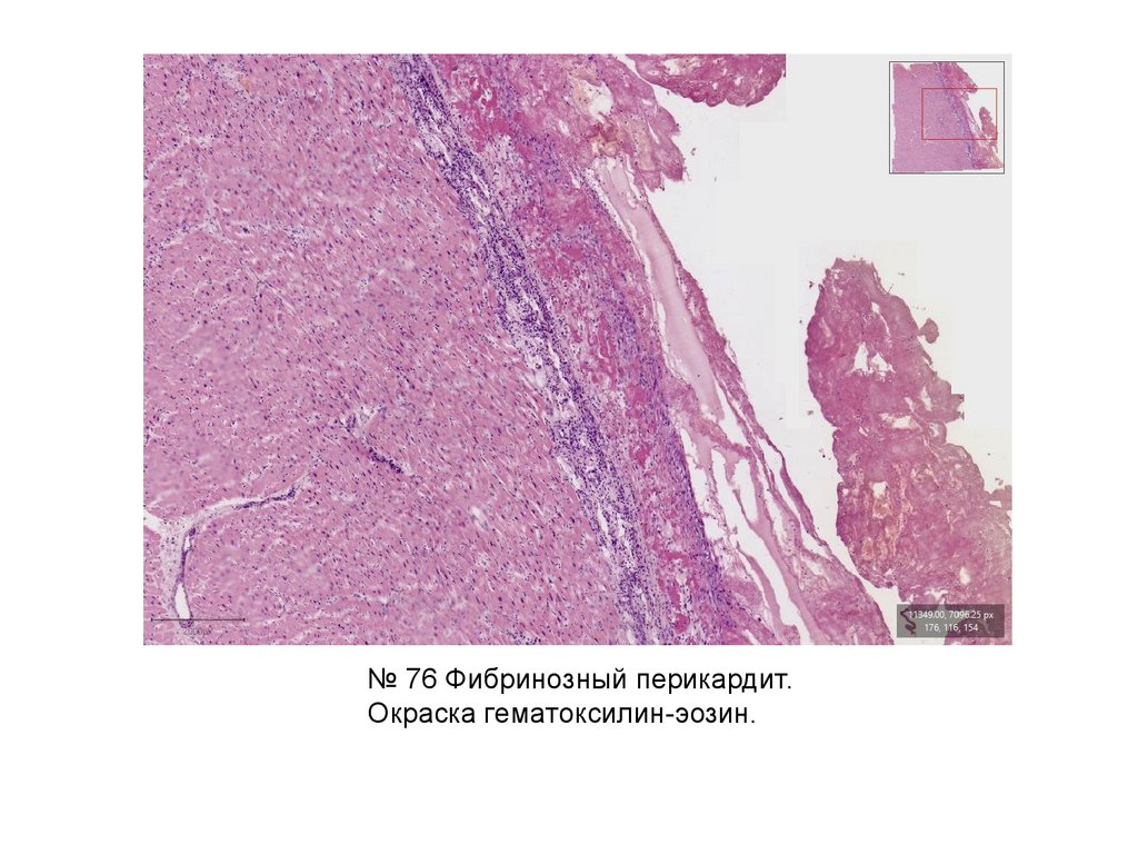
№ 76 Фибринозный перикардит.
Окраска гематоксилин-эозин.

8.

№ 76 Фибринозный перикардит.
Окраска гематоксилин-эозин.

9.

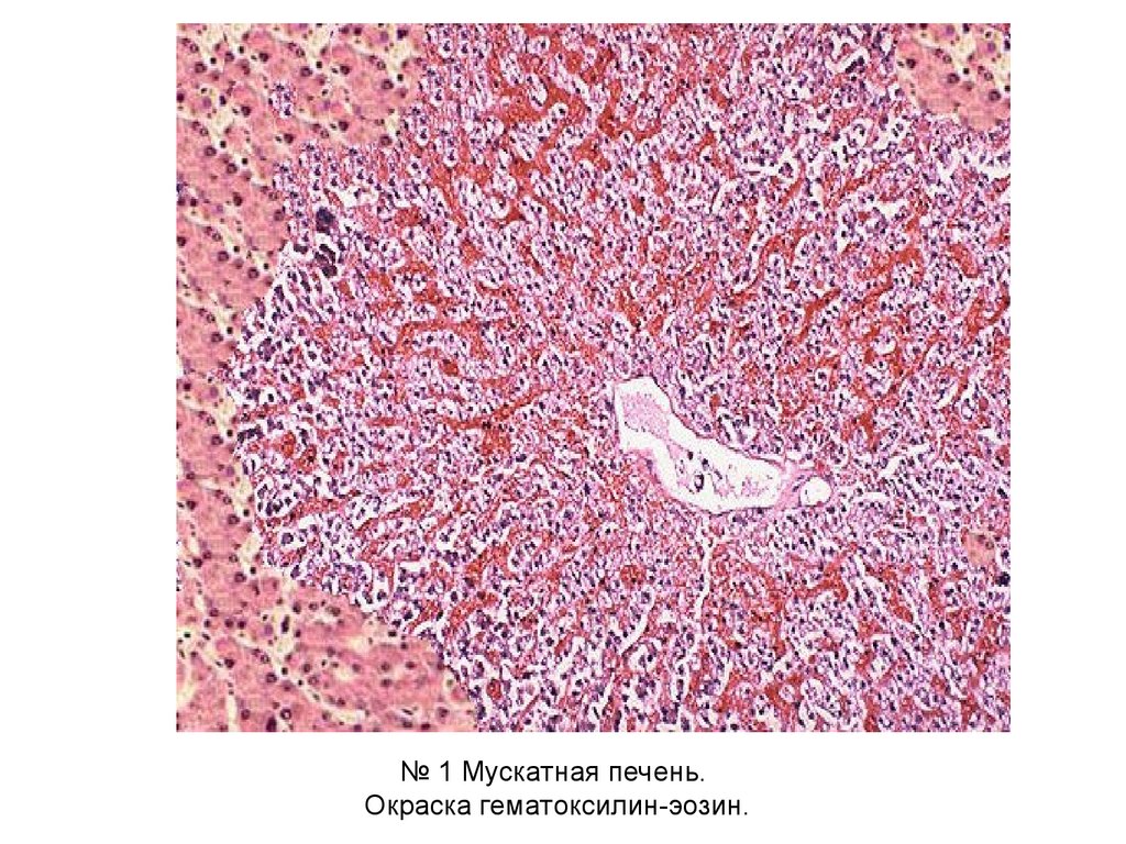
№ 1 Мускатная печень.
Окраска гематоксилин-эозин.

10.

Макропрепараты
1. Острый бородавчатый эндокардит
Створки митрального клапана тонкие, хордальные нити тонкие, на створках
наложения плотные светло-серые с шероховатой поверхностью.
English     Русский Правила