6.41M
Категория: МедицинаМедицина

Стоматология. Анализ клинического случая

1.

2.

3.

4.

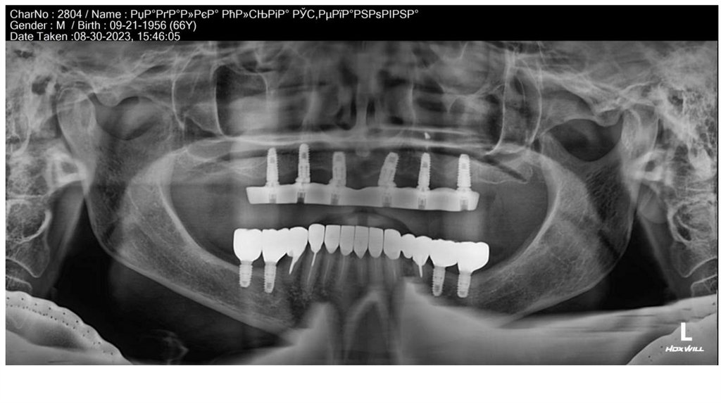
Вопрос №1
• Можно Мухси и Анатолий посмотрят – эти фото панорамный РгСНИМОК.
• Самое главное – если можно пусть Дима посмотрит тоже.
• Мне важно ваще мнение такие щели между мультиюнитом и
каркасом должны быть???
• Мне лично кажется – что должно быть все «заподлицо», но
возможно я ошибаюсь.
• Мне важно авторитетное мнение специалистов.

5.

Пожелания по работе - №1
• Зубы очень длинные – правую сторону я пришлифовала по
длине, при моделировании циркона – надо ориентироваться на
длину правых зубов.

6.

Пожелания по работе - № 2
• Перекрытие нижних зубов – зубами верхними.
• Справа – хорошо. Слева - практически прямой прикус.

7.

Пожелания по работе - № 3
• Дистальное перекрытие – везде зубы в прямом прикусе – надо
сделать больше. Что бы пациент не прикусывал щеки.

8.

Пожелания по работе - № 5
• Сделать ровно относительно – губ и щечных коридоров.
• Слева 24,25,26 – провисли и на уровне режущего края, и на
уровне шеек зубов.
English     Русский Правила