4.13M

Профессия врач - диагност

1.

Профессия
врач - диагност

2.

Путь обучения в профессию врача - диагноста
- Среднее (полное) образование (успешное окончание 11 классов
общеобразовательной школы)
Высшее медицинское образование (обучение медицинском университете - 6 лет)
Ординатура по данной специальности (обучение в ординатуре - 2 года)
Прохождение обучения в центре аккредитации специалистов (курсы повышения
квалификации - каждые 5 лет)
- Сдача на категорию и защита ученой степени - не обязательна, но приветствуется
-

3.

Функциональная диагностика
- Расшифровка кардиограмм
- Исследование суточного ЭКГ- мониторинга по Холтеру
- Исследование суточного мониторинга артериального давления (СМАД)
- Исследование функции внешнего дыхания
- Электроэнцефалография (ЭЭГ)
- Электромиография (ЭМГ)
- Реография
- Фонокардиография

4.

Электрокардиография(ЭКГ)
Электрокардиография — метод регистрации и исследования электрических полей,
образующихся при работе сердца. ЭКГ представляет из себя графическую кривую
записанную на бумажный или электронный носитель

5.

Изменения выявляемые при ЭКГ

6.

Аномалии расположения сердца
электроды слева
электроды справа

7.

Суточный ЭКГ-мониторинг по Холтеру

8.

Суточный ЭКГ-мониторинг по Холтеру

9.

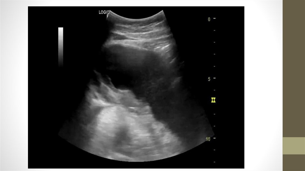
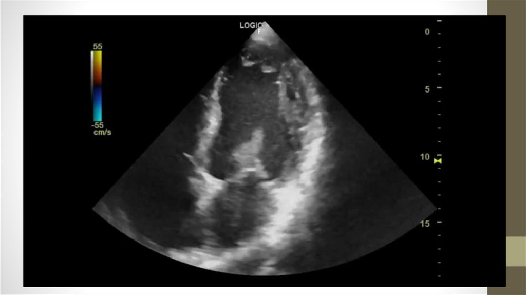
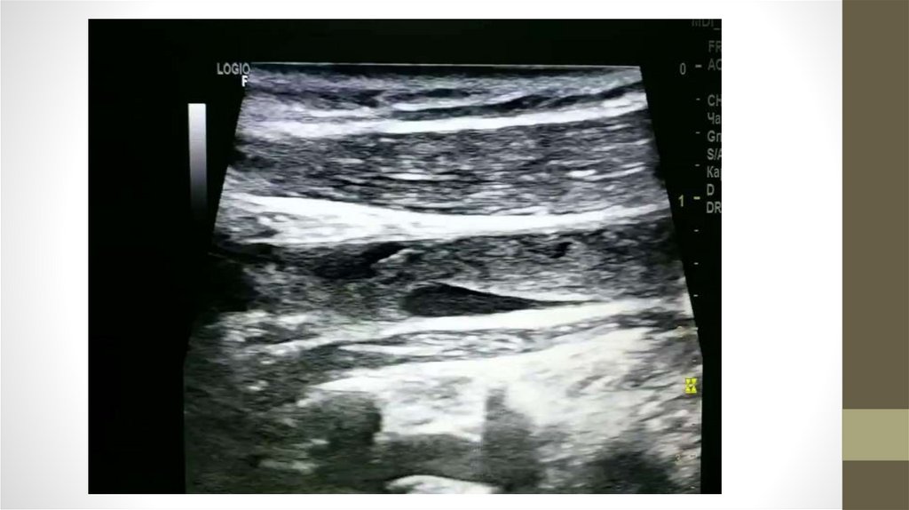
Ультразвуковая диагностика
исследование организма человека или животного с помощью ультразвуковых волн.

10.

Виды звука

11.

12.

Совершенствование аппаратов УЗИ
1970-е годы
настоящее время

13.

Патология,
выявляемая при ультразвуковых
исследованиях

14.

Изменения в сосудах
Атеросклеротические бляшки – наложения на внутренней стенке сосуда (артерии)
холестерина и кальция.
При увеличении бляшки возникает нарушение кровотока по сосуду вплоть до полного
прекращения.
Обычно возникают в пожилом возрасте, но нередко обнаруживаются и у молодых людей.
Причины:
- курение (в том числе электронных сигарет)
- неправильное питание (высококалорийная,
жирная пища - чипсы, гамбургеры, шашлыки,
из напитков - сладкая газировка, энергетики)
- малоподвижный образ жизни
(отсутствие регулярных занятий спортом)
- повышенное артериальное давление

15.

16.

Тромбы
Тромбы - это сгустки крови, которые чаще возникают внезапно и нарушают кровоток
в сосудах

17.

18.

Изменения в поджелудочной железе
Поджелудочная железа - это крупный орган
пищеварительной системы, который принимает
важное участие в переваривании пищи.
Поджелудочная железа наиболее часто
страдает при:
- употреблении алкоголя
- неправильном питании
- отравлениях
- травмах

19.

20.

21.

Изменения в сердце
Изменения в сердце нередко
бывают связаны с воспалением
внутренней оболочки и клапанов
сердца.
Основные причины:
- нелеченные очаги
инфекции в организме
(воспаление небных
миндалин, почек, кариес
зубов)
- у наркозависимых,
наиболее частая причина
употребление
наркотических препаратов

22.

23.

Болезни грязных рук
С грязными руками в
желудок, а затем и в
кишечник могут попадать
яйца паразитов вызывая
различные паразитарные
заболевания

24.

25.

26.

Спасибо за внимание
English     Русский Правила