СИСТЕМНАЯ СКЛЕРОДЕРМИЯ
Определение
Эпидемиология
Этиология, патогенез
Классификация
Варианты течения ССД
Клиника
Критерии ССД (Гусева Н.Г. 1993)
Дифференциальная диагностика
Лечение
Лечение больных с учётом доминирующей патологии
Программа диагностического поиска при ДБСТ
Формулировка диагноза
1.84M
Категория: МедицинаМедицина

СИСТЕМНАЯ СКЛЕРОДЕРМИЯ

1. СИСТЕМНАЯ СКЛЕРОДЕРМИЯ

Медицинский институт
Кафедра пропедевтической и факультетской терапии с
курсом эндокринологии и ЛФК
К.м.н., доцент Карелин А.П.

2. Определение

Системная склеродермия – прогрессирующее
полисиндромное заболевание с характерными
изменениями
кожи,
опорно-двигательного
аппарата, внутренних органов (лёгкие, сердце,
ж-к.
тракт,
почки),
распространёнными
вазоспастическими
нарушениями
по
типу
синдрома Рейно, в основе которых лежит
поражение
соединительной
ткани
с
преобладанием фиброза и сосудистая патология
по типу облитерирующего эндартериита.
По распространённости среди ДБСТ занимает 2е место после СКВ – 6–7%.

3. Эпидемиология

Заболевают лица от 10 мес. до 80 лет, но
чаще заболевают в возрасте 30 – 40 лет.
Соотношение М : Ж – 1 : 8 – 10.
В группе шахтёров соотношение обратное.
Первичная заболеваемость – 2,7 – 19 на 1
млн. населения.

4. Этиология, патогенез

Не ясны, обсуждается вирусная теория.
Многие патогенетические аспекты сходны с
СКВ, но аутоиммунные реакции выражены
слабее.
“Пусковыми” механизмами могут быть
травмы,
в
т.ч.
психические,
переохлаждение, роды, аборт, инфекция,
воздействие химических веществ, в т.ч.
полихлорвинил, силиконовые имплантанты.

5.

Воздействие этих факторов может вызвать
или
реализовать
дефект
коллагенсинтезирующих
клеток,
проявляющихся изменениями биосинтеза и
гиперпродукцией коллагена.
Эта
возрастающая
автономность
фибробластов
проявляется
генерализованным
фиброзом
при
нарушении
межклеточного
и
внутритканевого
взаимодействия
компонентов соединительной ткани.

6. Классификация

В зависимости от распространённости
поражения
кожи
и
основного
симптомокомплекса выделяют:
диффузная форма (dSSc),
лимитированная форма (lSSC),
склеродермия
без
склеродермы
(scleroderma sine scleroderma)
перекрёстные формы (overlap-syndromes)
ССД+РА, ССД+ДМ и др.,
ювенильная склеродермия

7. Варианты течения ССД

острое: (недели, месяцы – 10%): быстрое
прогрессирование
поражения
кожи
и
внутренних органов:
лёгких – интерстициальная пневмония с
исходом в пневмофиброз,
сердце – кардиосклероз,
почек – “истинная склеродермическая
почка”.
Летальный исход – через 1 год от ХПН.

8.

подострое: (1 – 2 года – 25%): более
постепенное – кожа – плотный отёк и
индурация,
рецидивирующий полиартрит,
миозит и миастенический синдром,
поражение внутренних органов,
вазомоторные трофические расстройства.

9.

хроническое: (многие годы – 65%):
сосудистые нарушения по типу синдрома
Рейно,
затем присоединяется
специфическое
поражение кожи и внутренних органов.
В зависимости от клинико-лабораторных
показателей определяются и степени
активности процесса.
Степень активности: I - минимальная, II умеренная , III - высокая.

10. Клиника

Поражение кожи – 90%.
“Кисет”, “корсет”, “панцирь”, амимичность,
атрофия,
маскообразность,
сухость,
гиперпигментация, алопеция.
Синдром
Рейно
в
нарушения, симптом
гангрена пальцев.
95%,
трофические
“крысиных укусов”,
Поражение суставов – 90%.
Артрит, артралгии, периартриты с исходом в
контрактуры и деформацию, остеолиз
ногтевых фаланг.

11.

12.

13.

14.

15.

16.

17.

18.

19.

20.

21.

22.

23.

Кисти отёчны (при
надавливании ямка не
остаётся), кожа лоснится,
малоподвижна и натянута,
волос нет.
Бледные участки кожи
(спазм сосудов)
располагаются вперемешку
с красными (гиперемия).
Кончики пальцев сужаются
на конус, ногти
деформированы.
Дистальная фаланга
второго пальца левой руки
частично утрачена.

24.

25.

26.

27.

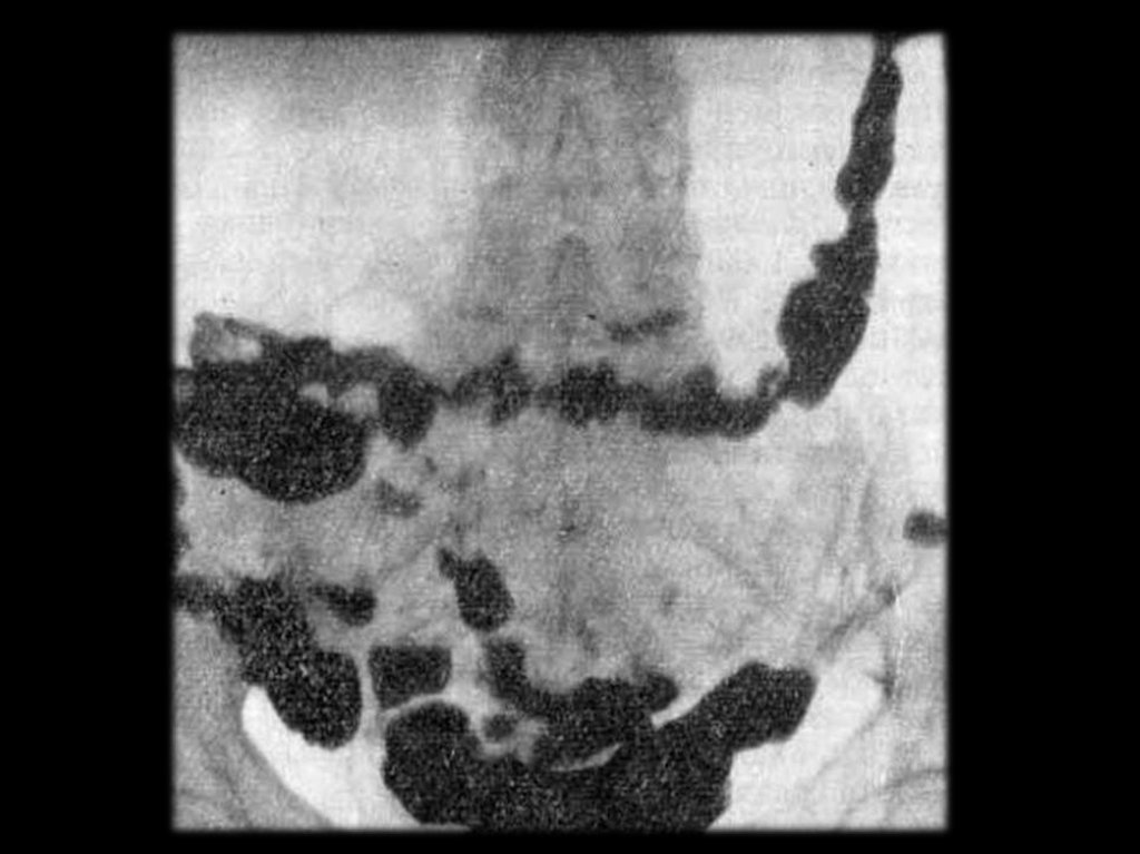
Желудочно-кишечный тракт – 70%.
Пищевод – дисфагия, отрыжка, срыгивание,
Кишечник – запоры, нарушение всасывания
изжога, зияние розетки кардии.
– спруподобный синдром.

28.

29.

30.

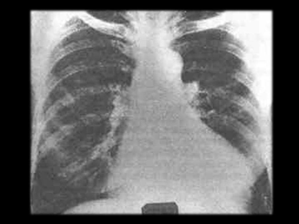
Лёгкие – 30 – 80%.
Прогрессирующий
пневмосклероз,
преимущественно в базальных отделах.
Сердце – 80%.
Фиброз
миокарда
по
типу
“инфарктноподобного” вплоть до развития
сердечной недостаточности. Поражение
эндокарда с формированием пороков
сердца.

31.

«Сотовое лёгкое»

32.

33.

34.

35.

Почки – 40% (на аутопсии 70 – 100%).
От преходящей протеинурии до тяжёлой
нефропатии, определяющей прогноз.
Существуют атипичные формы, когда на
первый план выходит поражение внутренних
органов – лёгких, сердца без признаков
поражения кожи (scleroderma sine scleroderma).
Общие симптомы: лихорадка, похудание,
слабость, утомляемость.
При наличии кальциноза кожи, выделяют CREST–
синдром:
C – кальциноз,
R – синдром Рейно,
E – нарушение моторики пищевода,
S – склеродактилия,
T – телеангиэктазия.

36.

Очаговая склеродермия, бляшковидные формы

37.

38.

39.

40.

41.

Очаговая склеродермия, линейные формы («удар саблей»)

42.

43.

44.

45. Критерии ССД (Гусева Н.Г. 1993)

Основные
Периферические:
синдром Рейно.
Склеродермическое поражение кожи.
Суставно-мышечный
синдром
контрактурами).
Остеолиз.
Кальциноз

Висцеральные:
базальный пневмосклероз.
Крупноочаговый кардиосклероз.
Склеродермическое
поражение
пищеварительного тракта.
Острая склеродермическая нефропатия.
Лабораторные:
Специфические
АНА
(анти-СКЛ-70
антицентромерные антитела)
и

46.

Дополнительные
Периферические:
гиперпигментация кожи.
телеангиэктазии.
Трофические нарушения.
Полиартралгии.
Полимиалгии, полимиозит.
Висцеральные:
лимфаденопатия.
Полисерозит (чаще адгезивный).
Хроническая нефропатия.
Полиневрит, поражение цнс.

47.

Общие:
потеря массы тела более 10 кг.
лихорадка, чаще субфебрильная.
Лабораторные:
увеличение СОЭ более 20 мм/ч.
гиперпротеинемия более 85 г/л.
гипергаммаглобулинемия
более
23%.
Антитела к ДНК или АНФ.
Ревматоидный фактор

48.

Для постановки достоверного диагноза
необходимо наличие любых трёх основных
диагностических критериев или одного из
них (2, 4, 8-го) в сочетании с тремя и более
вспомогательными.

49. Дифференциальная диагностика

Ревматоидный артрит, при преимущественном
поражении суставов.
Полимиозит при мышечных изменениях.
Миксома левого предсердия, вибрационная
болезнь – синдром Рейно.
Очаговая склеродермия – стрии на коже.
Индуцированная склеродермия.
Фиброзирующие
альвеолиты
изолированном поражении лёгких.
при

50.

Лабораторные данные
Неспецифичны
и
отражают
степень
активности процесса: ускоренная СОЭ,
гипергаммоглобулинемия,
гипохромная
анемия, анти-ДНК, РФ.
Из
специфичных
тестов
известно
определение уровня оксипролина в моче –
аминокислоты
в
большом
количестве
содержащейся в коллагене.

51. Лечение

Д-пеницилламин (купренил) до 1 000 мг,
поддерживающая доза – 300 – 400 мг;
Вазопростан (алпростадил) 20 – 40 мг. (1 –
2 ампулы) в 200,0 физраствора в/в
капельно через день или каждый день. На
курс 10 – 20 инфузий.
Преднизолон – 30 – 40 мг. (в лечении не
занимает лидирующего положения);

52.

Аминохинолиновые препараты 1 – 2 табл.;
Иммунодепрессанты (азатиоприн, имуран);
Сосудистые средства: антагонисты
(нифедипин, коринфар 30 – 80 мг);
Са2+
Аппликации с димексидом, дезагреганты,
лидаза.

53. Лечение больных с учётом доминирующей патологии

Патология
Кожи (быстро
прогрессирующая
индурация)
Синдром Рейно
(язвы, некрозы)
Лечение
купренил (600-1000 мг/сут),
преднизолон (20-40 мг/сут),
кетотифен (2 мг/сут)
ДМСО, лидаза
нифедипин (30-60 мг) и др.,
кетансерин (40-80 мг)
каптоприл (25-50 мг) и др., вазапростан,
трентал, курантил, реополиглюкин,
тиклид, мадекассол (мазь)

54.

Патология
Лечение
Опорнодвигательного
аппарата
(артрит, миозит,
контрактуры)
преднизолон (20-50 мг),
метотрексат и др.,
купренил
(300-600
мг),
НПВП,
аминохинолины, физиотерапия, ЛФК
Лёгких
(фиброзирующи
й альвеолит,
лёгочная
гипертензия)
преднизолон (30-40 мг),
купренил (600 мг).
циклофосфан (100 мг/сут, 200 мг/нед),
нифедипин (30-60 мг),
каптоприл (25-100 мг)

55.

Патология
Сердца (миокардит,
кардиофиброз, ишемия и
некроз миокарда,
нарушения ритма)
Лечение
преднизолон (30-40 мг),
купренил (600 мг),
каптоприл (25-50 мг),
нифедипин и др.,
антиаритмики
Ж-к т (рефлюкс-эзофагит, Н2-блокаторы (зантак, фамотидин),
стриктура пищевода,
омез (20-40 мг),
нарушение всасывания)
а-биотики: тетрациклин, клацид
Почек (истинная/острая каптоприл (50-250 мг) и др.,
склеродермическая почка, нифедипин (60-90 мг),
ренальная гипертония)
ПФ, гемосорбция

56. Программа диагностического поиска при ДБСТ

Признаки системности процесса:
Лихорадка
неясной
этиологии,
нечувствительная к антибиотикам;
Ускоренное СОЭ;
Немотивированное
похудание,
слабость;
Анемия;
Признаки поражения одного или
многих органов и систем.

57.

Сходная симптоматика:
Онкологические: лимфопролиферативные,
Паранеопластические,
Метастатические процессы,
Опухоли почек, кишечника, печени.
Инфекции:
сепсис,
tbs,
бруцеллёз,
малярия,
менингиты, пневмонии, бактериальный
эндокардит

учётом
их
и
как
осложнений).

58.

Редкие болезни:
амилоидоз (первичный и вторичный),
саркоидоз,
лекарственная болезнь,
заболевания кишечника:
болезнь Крона,
неспецифический язвенный колит,
люпоидный гепатит,
эндокринной системы:
токсический зоб,
гипоталамический синдром,
болезнь Аддисона,
порфириновая болезнь.
Характер
поражения
соединительной
ткани:
воспалительный, склеротический, дистрофический.

59. Формулировка диагноза

нозологическая форма;
характер течения болезни – изучение анамнеза
по первичной реакции на болезнь, темпам её
развития и характерной симптоматики;
активность болезни: выраженность клиникоиммунологических проявлений болезни на
момент обследования;
перечень органов и систем (мишеней) с
указанием характера их поражений и степени
функциональной недостаточности;
наличие сопутствующих заболеваний;
осложнения лекарственной терапии.
English     Русский Правила