3.02M
Категория: МедицинаМедицина

Воспаление. Суть воспаления

1.

Воспаление

2.

Воспаление
• Это защитно-приспособительная реакция
организма на действие патогенного
раздражителя. Проявляется развитием
повреждения ткани, изменений
кровообращения, повышение
проницаемости стенки сосудов, дистрофия
и пролиферации (размножение) клеток.

3.

Суть воспаления
1. Ограничение повреждения (клетки
воспаления)

4.

• 2. Нейтрализация и разрушение
повреждающего агента (фактора).

5.

• 3. Разрушение и эвакуация
нежизнеспособных тканей

6.

Причины возникновения
воспаления:
Физические факторы:
— травма (разрезы, уколы, укусы, ушибы, вибрация, воздействие шума,
сдавление);
— ионизирующая, ультрафиолетовая радиация;
— электрическая энергия;
— высокие (огонь) и низкие (холод) температуры.
Химические факторы:
— кислоты;
— щелочи;
— минеральные и органические вещества;
— эндогенные токсины (желчные кислоты, продукты азотистого обмена).
Биологические факторы:
— вирусы;
— бактерии;
— грибы;
— животные паразиты;
— циркулирующие в крови антитела и активированные иммунные
комплексы.

7.

• Местные клинические проявления
воспаления:
• 1. Покраснение (гиперемия)
• 2. Припухлость (отёк)
• 3. Жар (гипертермия)
• 4. Боль
• 5. Нарушение функции.

8.

9.

10.

Общие признаки воспаления
• Комплекс системных изменений,
сопровождающих острое воспаление,
называют ответом острой фазы или
синдромом системного воспалительного
ответа.
• В некоторой литературе сепсис в форме
септицемии и септикопиемии ставят в один
ряд с понятием “системный воспалительный
ответ”. Однако, это спорное утверждение.

11.

Общие признаки воспаления
• Данные изменения связаны с реакциями
цитокинов, продукция которых стимулируется
бактериальными продуктами. Ответ острой
фазы включает следующие изменения:
- Лихорадку
- Белки острой фазы (прокальцитонин, СРБ)
- Лейкоцитоз (повышение лейкоцитов в крови
со сдвигом лейкоформулы преимуществено
влево)
- Увеличение СОЭ
- Увеличение ЧСС, повышение АД, озноб
- Септический шок

12.

Степени интенсивности воспаления
• Нормэргическое воспаление – заболевание
протекает типично, с умеренными и логичными
клиническими и патоморфологическими
изменениями.
• Гиперэргическое воспаление – заболевание
протекает бурно, симптоматика и клиника резко
выражены.
• Гипоэргическое воспаление – вялотекущие
заболевания, с минимальными клиническими
проявлениями (однако не имеет положительную
динамику при терапии по сравнению с норм- и
гиперэргическим типом воспаления).

13.

Стадии воспаления (компоненты)
• 1. Повреждение клетки (альтерация).
В поврежденной клетке на структурном уровне
нарушаются в первую очередь обменные
процессы (иными словами клетка начинает
голодать, потому что не может адекватно
переварить/усвоить белки, жиры, сахара,
минералы, кислород и тд). Поврежденная клетка
на месте начинает “привлекать” к себе внимание
клеток воспалительного ряда (запускается
имунный ответ). А также воздействуя на
нервные окончания вызывает боль.

14.

• 2. Экссудация и расстройство кровообращения
Рефлекторное сужение альвеол (повышение давления на
месте воспаления) -> расширение капилляров, артериол
(прилив артериальной крови – покраснение/гиперемия) ->
застой крови и лимфы (стадия венозной гиперемии) ->
стаз (остановка кровообращения) – эритростаз,
лимфостаз, лейкостаз.
Далее происходит повышение проницаемости сосудистой
стенки (она становится проницаема для плазмы, белков
плазмы, клеток воспалительного ряда: лимфоциты,
нейтрофилы, макрофаги, базофилы, эозинофилы,
моноциты и тд). Затем происходит пропитывания зоны
воспаления всем вышеперечисленным – место
воспаления становится опухшим (отёкшим), плотным и
называется воспалительным инфильтратом.

15.

• Плазма +
лейкоциты/лимфоциты/эритроциты/макрофаги и тд =
экссудат.
• Экссудат бывает:
- Серозный (как правило много плазмы и лимфоцитов,
прозрачно-желтоватый, может быть мутный, без
специфического запаха)
- Гнойный (как правило много нейтрофилов, макрофагов,
некротизированной ткани, мутно-зеленый, желтый,
может быть зловонный)
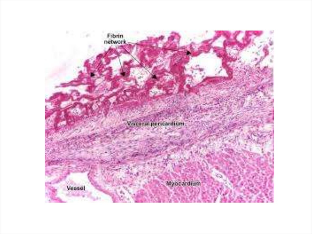
- Фибринозный (+ фибрин-воспалительный белок,
которого в норме в организме быть не должно. Экссудат
с белесоватыми хлопьями, плёнками, налётами и тд)
- Геморрагический (+ обильное количество эритроцитов.
Экссудат красный/бордовый).
- Смешанный: гнойно-фибринозный, серозно-гнойный,
серозно-фибринозный и тд

16.

Серозный экссудат

17.

Гнойный экссудат

18.

Классификация воспалений
• По времени протекания воспаления
выделяют:
1) острое – протекает несколько часов или
дней;
2) хроническое – от нескольких месяцев до
пожизненного.
• В зависимости от этиологического фактора:
1) неспецифическое (полиэтиологическое);
2) специфическое.

19.

• По преобладанию одного из компонентов
воспалительной реакции:
1) экссудативное;
2) пролиферативное (продуктивное).
• По типу экссудата:
1) серозное;
2) фибринозное;
3) гнойное;
4) геморрагическое;
5) катаральное; (преобладает
слизеобразование – конъюктивит, ринит)
6) гнилостное;

20.

Специфическое воспаление на
примере туберкулеза:

21.

22.

23.

Макро и микро некоторых
воспаленных органов и тканей

24.

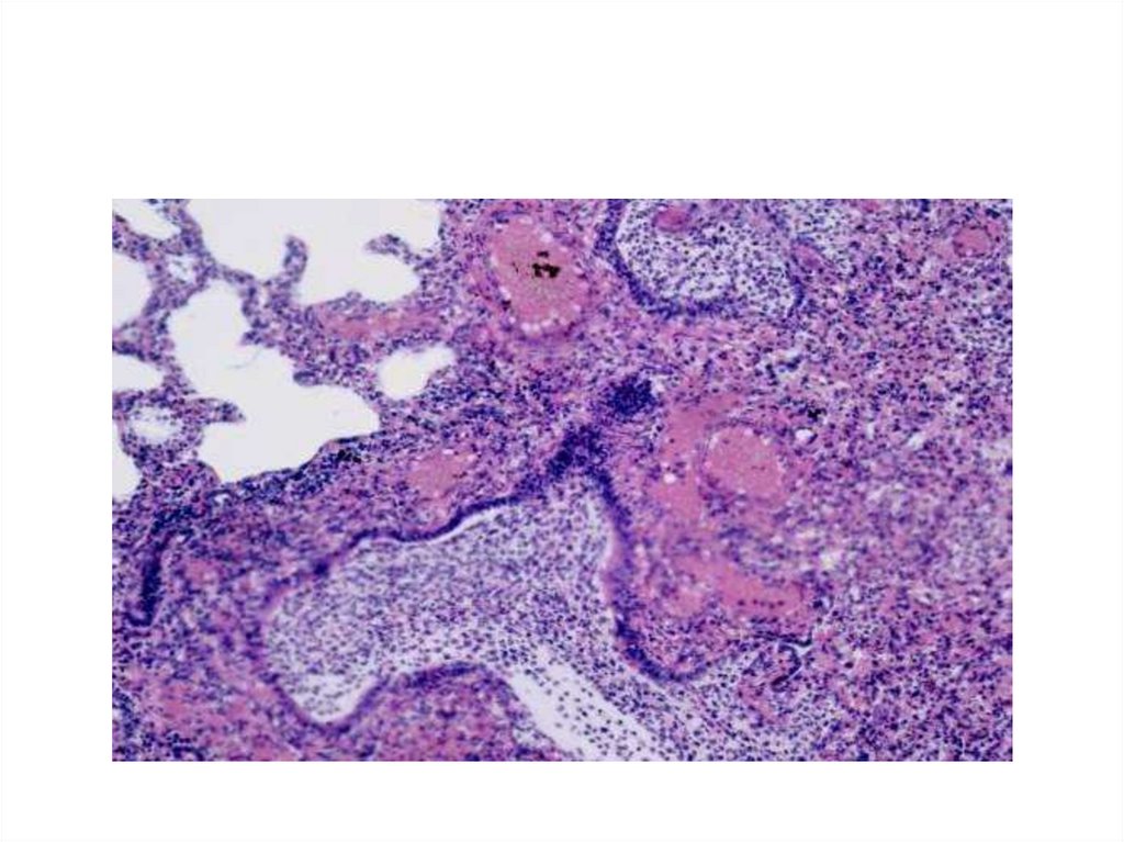
Пневмонии

25.

26.

27.

Пиелонефрит

28.

29.

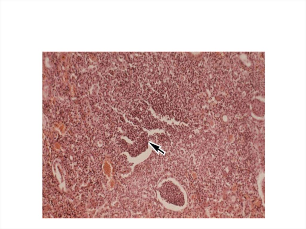
Перикардит

30.

31.

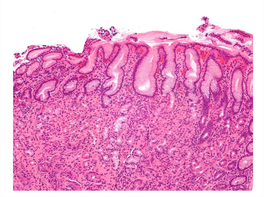
Гастрит
English     Русский Правила